medigraphic.com
ENGLISH

Revista Mexicana de Pediatría

ISSN 0035-0052 (Impreso)
  • Mostrar índice
  • Números disponibles
  • Información
    • Información general        
    • Directorio
  • Publicar
    • Instrucciones para autores        
    • Envío de artículos
  • medigraphic.com
    • Inicio
    • Índice de revistas            
    • Registro / Acceso
  • Mi perfil

2024, Número 2

<< Anterior Siguiente >>

Rev Mex Pediatr 2024; 91 (2)


Bezoar fúngico renal en un lactante: reporte de un caso

Manjarres-Figueredo, Paola Andrea1; Meza-Bertel, Camila1; Paba-Zarante, Jessie Alejandro1; Jiménez-Rodelo, Jairo de Jesús2; Barrios, Emil Julio3
Texto completo Cómo citar este artículo 10.35366/119129

DOI

DOI: 10.35366/119129
URL: https://dx.doi.org/10.35366/119129
Artículos similares

Idioma: Español
Referencias bibliográficas: 10
Paginas: 68-71
Archivo PDF: 301.24 Kb.


PALABRAS CLAVE

infección de vías urinarias, uropatía obstructiva, bezoar fúngico, lactante.

RESUMEN

Introducción: un bezoar o bola fúngica es una complicación rara de infección urinaria debido a la colonización de una cavidad por un hongo, que genera acumulación de hifas. Objetivo: presentar el tratamiento médico y quirúrgico de una bola fúngica renal en un lactante atendido por fiebre prolongada. Descripción del caso clínico: masculino de 11 meses de edad, con antecedente de enfermedad de Dandy-Walker, hospitalizado por fiebre prolongada inicialmente atribuida a sinusitis maxiloetmoidal y una infección de vías urinarias por Pseudomonas aeruginosa tratadas por 15 días. Por persistencia de la fiebre se realiza ultrasonografía y tomografía que evidenciaron pionefrosis y nefrolitiasis con dilatación del tracto urinario. Por ureterorrenoscopia se encontró lesión purulenta compatible con un bezoar fúngico, confirmado por patología. Es tratado con el drenaje de la secreción y antifúngico sistémico (anfotericina B) y oral (fluconazol) con resolución del problema. Conclusiones: los bezoares fúngicos son una causa rara de pielonefritis y abscesos renales en niños, que puede conducir a uropatía obstructiva y lesión renal. Su identificación por imagen y el manejo médico-quirúrgico son necesarios para su resolución completa.



INTRODUCCIóN

Un bezoar o bola fúngica es una masa de micelio causada por la colonización de una cavidad por un hongo.1,2 Los bezoares a nivel del tracto urinario ocurren en el contexto de una funguria o fungemia, y se consideran condiciones clínicas infrecuentes.2

Existen escasos reportes de pacientes, solos o en series. JM Babut y colaboradores informaron dos recién nacidos a término con diagnóstico prenatal de uropatía con deterioro de la función renal causados por un bezoar fúngico;3 asimismo, Flanagan y colegas informaron sobre dos lactantes con esta enfermedad posterior a la inserción de un stent ureteral.2

Los bezoares fúngicos se presentan principalmente en neonatos y lactantes con factores predisponentes como: exposición prolongada a antibióticos y corticoides, nutrición parenteral, prematuridad extrema y uso de catéteres urinarios y centrales. Las bolas fúngicas pueden desarrollarse a nivel del parénquima renal o en el sistema de drenaje, donde causan obstrucción cuando se forman en la unión ureteropélvica.4 El germen principal es la Candida spp.5,6 El diagnóstico se basa en la sospecha clínica y en estudios de imagen, principalmente la ultrasonografía renal, considerando como diagnósticos diferenciales los tumores pielocaliciales y la nefrocalcinosis.2,3

Presentamos el caso de un lactante con fiebre prolongada causada por una bola fúngica renal por Candida spp., manejado con tratamiento médico y quirúrgico con recuperación completa.



DESCRIPCIÓN DEL CASO CLÍNICO

Lactante masculino de 11 meses de edad, en estado nutricional adecuado (peso: 9.8 kg, talla: 77 cm), con antecedente de enfermedad de Dandy-Walker pero sin manejo quirúrgico. Llega por fiebre persistente de 20 días de evolución, previamente tratado por sinusitis maxiloetmoidal identificada por tomografía de senos paranasales, recibiendo por siete días ceftriaxona endovenosa. Posteriormente se identifica infección de vías urinarias altas causada por Pseudomonas aeruginosa, tratado con meropenem por ocho días. Esta infección urinaria fue el segundo episodio en su vida.

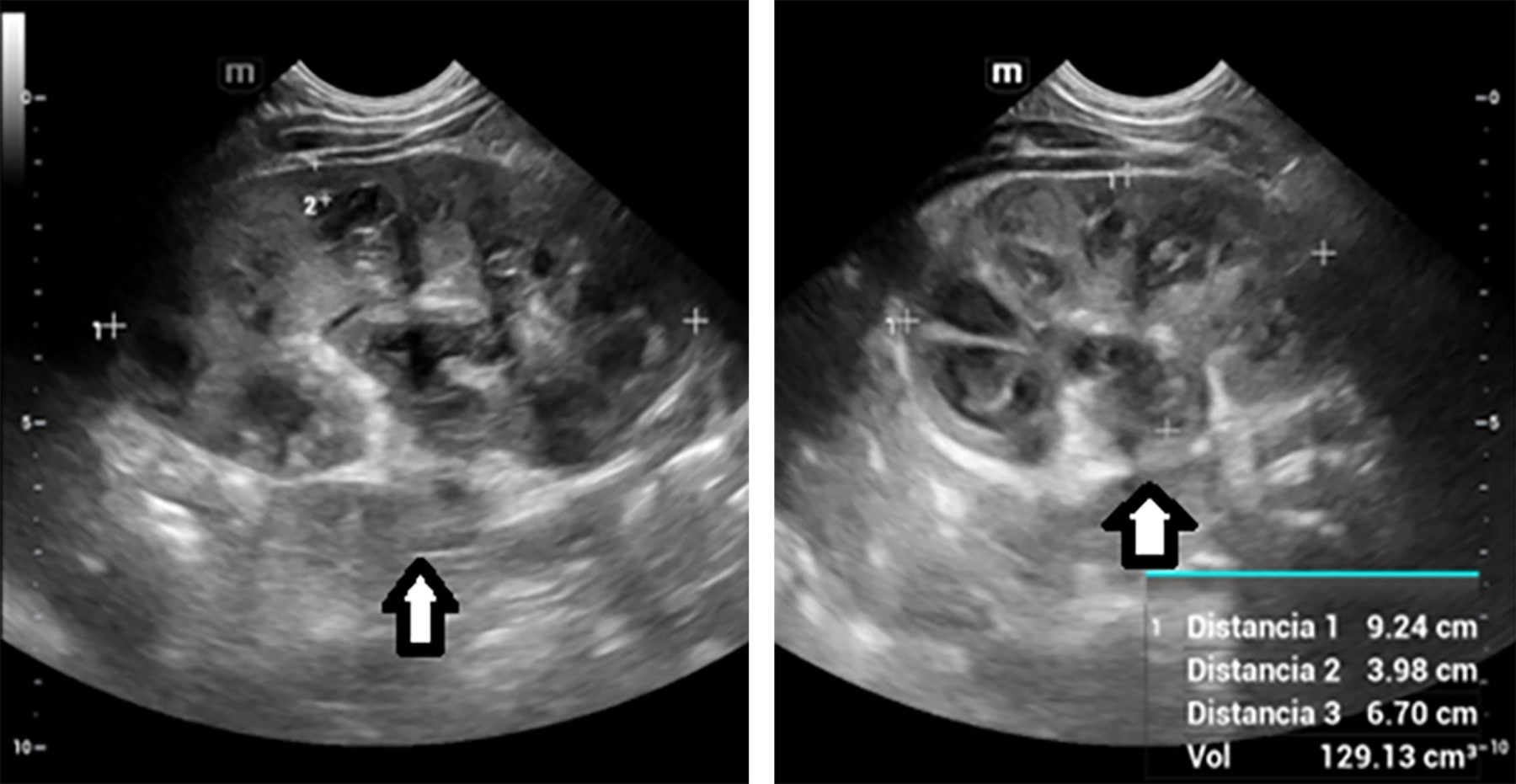
En los paraclínicos de ingreso presentaba anemia moderada, trombocitosis, leucocitosis a expensas de neutrófilos, pruebas de función renal y hepática normales, proteína C reactiva elevada y uroanálisis sugestivo de proceso infeccioso (Tabla 1). En la ecografía de vías urinarias se evidenció aumento del tamaño del riñón izquierdo con dilatación de la pelvis renal y de los cálices centrales y periféricos con material ecogénico en su interior (Figura 1). Por sospecha de absceso renal se inicia antibiótico de amplio espectro (ceftriaxona). El urocultivo de ingreso no mostró crecimiento bacteriano a las 48 horas de incubación. Por el hallazgo por ultrasonido se realiza tomografía donde se identifica dilatación de la pelvis renal izquierda de 25 mm de diámetro por presencia de cálculo obstructivo a nivel de la unión pieloureteral. Completa 14 días de tratamiento antibiótico con resolución de la fiebre y el urocultivo al finalizar la terapia sin crecimiento bacteriano. Por los antecedentes se decide mantener profilaxis antibiótica con cefalosporina de primera generación.

Al día 25 de hospitalización se le realiza una nefrolitotomía percutánea, para la extracción y drenaje de la secreción purulenta, de cuyo cultivo no hubo crecimiento. Al segundo día postoperatorio reaparece la fiebre. Dado los hallazgos quirúrgicos y el tiempo de estancia hospitalaria, se decide el manejo con cefepima y anfotericina B. Un nuevo uroanálisis se encontró sin leucocituria, nitritos, esterasas ni bacterias. Un hemocultivo y urocultivo fueron negativos para bacterias y hongos. Pero la tinción de KOH en muestra de orina señaló presencia de blastoconidias. La fiebre se resolvió luego del primer día. Pasados 10 días con la terapia antimicrobiana se realiza ureterorrenoscopia donde se obtiene material mucofibrinoide denso y organizado. Por estudio histopatológico se identifican múltiples esporas de hongos compatibles con Candida, confirmando el diagnóstico de un bezoar fúngico. Se suspende el manejo con antibiótico y se completaron dos semanas con anfotericina B endovenosa seguidas de otras cuatro con fluconazol oral. El paciente se mantuvo asintomático y los estudios de imagen mostraron resolución.



DISCUSIóN

Los bezoares fúngicos, aunque infrecuentes en pediatría, son una causa grave de infección del tracto urinario. Se definen como la acumulación de restos necróticos, células epiteliales y micelios proliferantes con especial tropismo por el sistema colector de los riñones cuyo principal agente etiológico es Candida spp., en particular Candida albicans.1,4

A nivel del parénquima renal pueden generar pielonefritis, abscesos corticales y uropatía obstructiva, sobre todo si se ubican a nivel de la unión pieloureteral.2,6 Suelen resultar de una diseminación hematógena o infección urinaria ascendente, por ello, requiere un abordaje integral con hemocultivos, oftalmoscopía y ecocardiograma para descartar otros sitios de siembras fúngicas.6

El diagnóstico por medio de ultrasonografía se basa en la identificación de una masa ecogénica móvil o como una lesión hipoecoica con un borde de áreas ecogénicas periféricas.5,6 En tomografía se observan lesiones isodensas, ovales y bien definidas, las cuales pueden confundirse con datos de urolitiasis.6 El estudio microbiológico en orina es difícil de interpretar, ya que la aparición de Candida en una muestra puede ser debido a contaminación, por ello, es fundamental realizar correlación clínica y de imagen para esclarecer el diagnóstico.7

El tratamiento varía, desde estrategias conservadoras con terapias antimicóticas hasta drenaje con nefrostomía percutánea o extracción quirúrgica abierta/endoscópica. La decisión dependerá del grado de obstrucción de la unión pélvico-ureteral.2 Si la obstrucción es parcial, el manejo conservador puede ser suficiente.

La anfotericina B es el tratamiento de primera línea. Sin embargo, el fluconazol es efectivo para la candidiasis renal en los lactantes.8,9 La duración del tratamiento no está bien establecida, pero para los neonatos se sugiere de al menos seis semanas.8 En nuestro paciente lactante menor con un bezoar fúngico consideramos un mayor beneficio con la terapia bimodal, drenaje quirúrgico acompañado de antifúngico sistémico, como ya ha sido reportado.10

Tal como en otros informes de pacientes pediátricos, tuvimos similitudes con respecto a la presentación clínica por la existencia de factores predisponentes, como la prolongación de estancia hospitalaria, uso de antimicrobianos, uso de sonda vesical, prematuridad y procedimientos quirúrgicos mayores.



CONCLUSIONES

Los bezoares fúngicos son infecciones poco frecuentes de curso sintomatológico insidioso que demanda un elevado grado de sospecha clínica, especialmente cuando los pacientes tienen factores de riesgo asociados con una infección fúngica invasiva. Los estudios de imagen y anatomopatológicos, en conjunto con los microbiológicos, son fundamentales para el diagnóstico. Un diagnóstico precoz y un manejo terapéutico apropiado son pilares para salvaguardar la funcionalidad renal.


REFERENCIAS (EN ESTE ARTÍCULO)

  1. Kittaweerat N, Attawettayanon W, Choorit T, Chalieopanyarwong V, Pripatnanont C, Tana-Anantarak P et al. Bilateral renal fungal bezoars in a preterm infant: case report and literature review. J Surg Case Rep 2021; 2021(10): rjab436.

  2. Flanagan J, Muthucumaru M, Thomas A. Occult Candida bezoar (fungal ball) post ureteric stent insertion. J Paediatr Child Health 2021; 57(12): 2005-7.

  3. Babut JM, Coeurdacier P, Bawab F, Treguier C, Fremond B. Urinary fungal bezoars in children--report of two cases. Eur J Pediatr Surg 1995; 5(4): 248-52.

  4. Anusha R, Parikh TB, Nakade SY, Shrotriya S. Fungal ball masquerading as a renal stone in a preterm infant- a case report. SVOA Paediatrics 2022; 1: 35-7.

  5. De Wall LL, Van Den Heijkant MMC, Bokenkamp A, Kuijper CF, Van Der Horst HJR, De Jong TPVM. Therapeutic approach to Candida bezoar in children. J Pediatr Urol 2015; 11(2): 81.e1-81.e7.

  6. Zeineddine N, Mansour W, El Bitar S, Campitelli M, Mobarakai N. Fungal bezoar: a rare cause of ureteral obstruction. Case Rep Infect Dis 2017; 2017: 6454619.

  7. Gharaghani M, Rezaei-Matehkolaei A, Hardani AK, Zarei Mahmoudabadi A. Pediatric candiduria, epidemiology, genotype distribution and virulence factors of Candida albicans. Microb Pathog 2021; 160: 105173. doi: 10.1016/j.micpath.2021.105173.

  8. Lee SH, Cho HJ, Kim EJ, Cho YH, Kim JH, Chung KJ et al. Successful treatment of bilateral-obstructive renal fungal balls with continuous liposomal amphotericin b irrigation using pairs (upper and lower pole) of percutaneous nephrostomy tubes in an extremely low birth weight infant. Perinatology 2021; 32(1): 42-7.

  9. Pana ZD, Kougia V, Roilides E. Therapeutic strategies for invasive fungal infections in neonatal and pediatric patients: an update. Expert Opin Pharmacother 2015; 16(5): 693-710.

  10. McGhee NM, Chaudhary F, Yousaf MN. Candida bezoar of the bladder resulting in obstructive uropathy: a case report. Cureus 2023; 15(3): e35691. doi: 10.7759/cureus.35691.



AFILIACIONES

1 Residente de pediatría. Departamento de Pediatría

2 Médico general

3 Especialista en nefrología pediátrica. Universidad de Cartagena, Colombia.



Conflicto de intereses: los autores declaran que no tienen.



CORRESPONDENCIA

Jessie Alejandro Paba-Zarante, E-mail: jessiepabaz@gmail.com




Recibido: 13/01/2024. Aceptado: 24/09/2024.

Figura 1
Tabla 1

2020     |     www.medigraphic.com

Mi perfil

C?MO CITAR (Vancouver)

Rev Mex Pediatr. 2024;91

ARTíCULOS SIMILARES

CARGANDO ...