medigraphic.com
ENGLISH

Revista Mexicana de Pediatría

ISSN 0035-0052 (Impreso)
  • Mostrar índice
  • Números disponibles
  • Información
    • Información general        
    • Directorio
  • Publicar
    • Instrucciones para autores        
    • Envío de artículos
  • medigraphic.com
    • Inicio
    • Índice de revistas            
    • Registro / Acceso
  • Mi perfil

2024, Número 2

<< Anterior

Rev Mex Pediatr 2024; 91 (2)


Neumotórax oculto detectado con ultrasonido pulmonar en un neonato

Serpa-Maldonado, Eunice Valeria1; Olguín-López, del Pilar1,2; Ibarra-Ríos, Daniel2,3
Texto completo Cómo citar este artículo 10.35366/119131

DOI

DOI: 10.35366/119131
URL: https://dx.doi.org/10.35366/119131
Artículos similares

Idioma: Español
Referencias bibliográficas: 4
Paginas: 77-79
Archivo PDF: 341.43 Kb.


PALABRAS CLAVE

recién nacido, neumotórax, ultrasonido pulmonar, radiografía.

RESUMEN

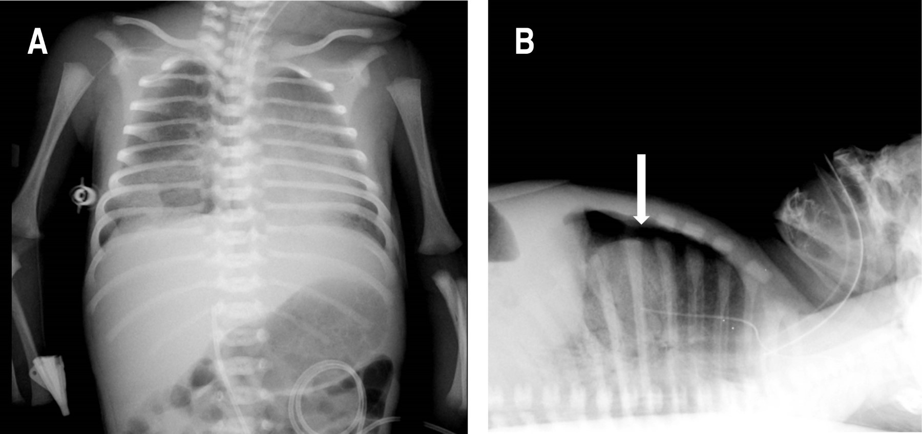
Presentamos un recién nacido que es atendido en una Unidad de Cuidados Intensivos, quien de manera repentina presenta desaturación súbita secundario a neumotórax derecho, el cual fue detectado por ultrasonido pulmonar, pero que no fue evidente en la radiografía de tórax anteroposterior. Posteriormente, en una radiografía lateral de tórax se confirma la presencia del neumotórax.



INTRODUCCIóN

Una de las principales causas de deterioro súbito ventilatorio del neonato es la presencia de neumotórax, siendo de gran utilidad el ultrasonido pulmonar (UP) como parte del protocolo SAFE (siglas en inglés de: algoritmo ultrasonográfico para emergencias que ponen en riesgo la vida) para la detección temprana y manejo oportuno.1 En este artículo reportamos un caso donde el UP ayudó en la identificación de un neumotórax que no era evidente en la radiografía de tórax anteroposterior, con el propósito de mostrar que el uso del UP es una muy buena herramienta diagnóstica en la cama de los pacientes.



PRESENTACIóN DEL CASO

Prematuro tardío de 36 semanas de gestación, producto de la gesta 4. Nace por vía abdominal secundario a preeclampsia materna y taquicardia fetal, no llora ni respira al nacer requiriendo dos ciclos de ventilación con presión positiva. Apgar 7/9, peso 2,455 g.

A los 10 minutos de vida inicia con dificultad respiratoria requiriendo CPAP nasal y, posteriormente, ventilación mecánica. Se integra diagnóstico de sepsis neonatal temprana y se inicia cobertura antibiótica. Al tercer día de vida, de manera súbita presenta deterioro respiratorio, por lo que se incrementan las variables ventilatorias para mantener saturaciones objetivo.

Se procede a realizar UP, como parte del protocolo SAFE,1 observando en la región medial y basal derecha la presencia de neumotórax (Figura 1); mientras que en la región lateral derecha y en el hemitórax izquierdo no se identificaron anormalidades. Cabe señalar que el neumotórax no era visible en la radiografía anteroposterior de tórax, por lo que se solicita radiografía lateral en la cual sí se evidencia el neumotórax anterior (Figura 2).

Dado que el neumotórax se consideró que era pequeño, solamente se mantuvo en vigilancia. Al día siguiente, en un nuevo UP ya no se observó, por lo que se determinó que el neumotórax se había resuelto (Figura 3). El paciente se extubó al quinto día y, al concluir ciclo de antibióticos, se egresó a su domicilio sin complicaciones.



DISCUSIóN

El neumotórax es causado por acumulación de aire dentro de la cavidad pleural. La ausencia de deslizamiento pleural sugiere la presencia de aire entre la pleura parietal y visceral.

Se ha descrito que el UP tiene mayor sensibilidad que la placa de tórax para el diagnóstico de neumotórax, para lo cual se han establecido diferentes criterios para su identificación: 1) desaparición del deslizamiento pleural, 2) patrón de líneas-A con ausencia de líneas-B (una sola línea-B, descarta el diagnóstico), 3) signo del "código de barras" en el modo-M y 4) ausencia de "pulso de pulmón" (transmisión de los latidos cardiacos a la línea pleural). Cuando se observa el "punto pulmonar", que es la identificación del punto de transición entre un área no deslizante y otra deslizante, se relaciona altamente con la presencia de neumotórax, pero es importante señalar que no se llega a observar cuando existe neumotórax a tensión.1 En nuestro paciente representa la transición entre el ápice deslizante con la región medial y basal no deslizantes.

En la actualidad, dentro de los estudios de gabinete para el diagnóstico de neumotórax, el UP debería ser considerado el estándar de oro, ya que se ha señalado que tiene una sensibilidad y especificidad de 100%.2 Además, tiene la ventaja que puede realizarse en la cama del paciente, por lo que la identificación de esta complicación será más rápida, sin la exposición a radiación y con la facilidad de repetirse. Por estas ventajas resulta de mucha utilidad para el seguimiento de pacientes con soporte respiratorio en las unidades de cuidados intensivos, incluso en pacientes asintomáticos.3 En reportes previos, ya han sido documentadas las ventajas del uso del UP, señalando su utilidad para detectar neumotórax con mayor precisión y más tempranamente, así como poder detectarlos en localizaciones atípicas.4


REFERENCIAS (EN ESTE ARTÍCULO)

  1. Ibarra-Ríos D, Serpa-Maldonado EV, Mantilla-Uresti JG, Guillén-Torres R, Aguilar-Martínez N, Sánchez-Cruz A et al. A modified sonographic algorithm for image acquisition in life-threatening emergencies in the critically ill newborn. J Vis Exp. 2023; (194). doi: 10.3791/64931.

  2. Cattarossi L, Copetti R, Brusa G, Pintaldi S. Lung ultrasound diagnostic accuracy in neonatal pneumothorax. Can Respir J. 2016; 2016: 6515069. doi: 10.1155/2016/6515069.

  3. Montero Gato J, Sacristán PA, Vázquez NL, Martín MLH, Amorós AG, Fernández LR. Incidence of ultrasonographic signs of pneumothorax in asymptomatic neonates. Pediatr Pulmonol. 2023; 58(6): 1691-1696. doi: 10.1002/ppul.26378.

  4. Gregorio-Hernández R, Pérez-Pérez A, Alonso-Ojembarrena A, Arriaga-Redondo M, Ramos-Navarro C, Sánchez-Luna M. Neonatal pneumothoraces with atypical location: the role of lung ultrasound. Eur J Pediatr. 2022; 181(4): 1751-1756. doi: 10.1007/s00431-021-04329-z.



AFILIACIONES

1 Hospital General de Atizapán de Zaragoza "Dr. Salvador González Herrejón"

2 Asociación de Médicos Neonatólogos de la Ciudad y Valle de México

3 Instituto Nacional de Perinatología "Dr. Isidro Espinosa de los Reyes". Ciudad de México, México.



Conflicto de intereses: los autores declaran que no tienen.



CORRESPONDENCIA

Daniel Ibarra-Ríos, E-mail: ibarraneonato@gmail.com




Recibido: 11/10/2023. Aceptado: 28/12/2023.

Figura 1
Figura 2
Figura 3

2020     |     www.medigraphic.com

Mi perfil

C?MO CITAR (Vancouver)

Rev Mex Pediatr. 2024;91

ARTíCULOS SIMILARES

CARGANDO ...