medigraphic.com
ENGLISH

Revista Mexicana de Medicina Física y Rehabilitación

ISSN 1405-8790 (Impreso)
  • Mostrar índice
  • Números disponibles
  • Información
    • Información general        
    • Directorio
  • Publicar
    • Instrucciones para autores        
    • Envío de artículos
  • medigraphic.com
    • Inicio
    • Índice de revistas            
    • Registro / Acceso
  • Mi perfil

2024, Número 1-4

<< Anterior

Rev Mex Med Fis Rehab 2024; 36 (1-4)


Tratamiento rehabilitatorio en un paciente con síndrome del anillo del cromosoma 22

del Valle-Reyes, Verónica Y1,2; Hernández-García, Maricela3,4; Villa-Colín, Fernando G1,5; Gonzalo-Ugarte, América R3,4; Juárez Duarte, Eric S3,6; Mantilla-Capacho, Johanna Milena3,7
Texto completo Cómo citar este artículo 10.35366/119305

DOI

DOI: 10.35366/119305
URL: https://dx.doi.org/10.35366/119305
Artículos similares

Idioma: Español
Referencias bibliográficas: 11
Paginas: 25-34
Archivo PDF: 519.72 Kb.


PALABRAS CLAVE

síndrome del anillo del cromosoma 22, rehabilitación, CIF (Clasificación Internacional de la Funcionalidad), fenotipo.

RESUMEN

Introducción: el anillo del cromosoma 22 es un rearreglo estructural genético raro, se han reportado pocos casos. Objetivo: ofrecer un tratamiento rehabilitatorio basado en la CIF (Clasificación Internacional de la Funcionalidad) y contribuir con el fenotipo clínico del paciente con características no descritas previamente, como la fusión de 4-5 metacarpiano y la ausencia de la apófisis estiloides de cúbito izquierdo. Presentación del caso: se presenta paciente masculino con síndrome del anillo del cromosoma 22, cuyo fenotipo clínico se traslapa con el síndrome de Phelan-McDermid o síndrome de deleción del cromosoma 22q13.3, el paciente presenta discapacidad musculoesquelética e intelectual. El tratamiento rehabilitatorio está basado en una medicina de precisión y se aplicó la metodología de la CIF. Resultados: se identificaron las deficiencias en sus funciones corporales y en las estructuras corporales, las limitaciones, las restricciones en la participación, los factores personales y ambientales y se diseñaron programas de terapia física y ocupacional para reeducar la marcha, el fortalecimiento muscular de tren inferior y se entrenó en actividades básicas de la vida diaria en higiene personal, vestido y alimentación. Conclusiones: se diseñó un tratamiento rehabilitatorio personalizado que brindó mejor autonomía y calidad de vida al paciente.



INTRODUCCIóN

El anillo del cromosoma 22 es una rearreglo estructural genético raro, que se origina por el corte de ambos extremos del cromosoma y posterior fusión o empalme de los brazos para formar un anillo. Este proceso da como resultado la pérdida de material genético crítico en el cromosoma 22, incluyendo genes importantes, como el gen supresor de tumores NF2 (neurofibromatosis tipo 2) y múltiples genes relacionados con el desarrollo del sistema nervioso central, que generan retraso del desarrollo psicomotor, deterioro grave del lenguaje, hipotonía, dismorfias menores y síntomas del trastorno del espectro autista.1,2 Otro gen es el SHANK3 (SH3 y múltiples dominios de repetición de anquirina 3), uno de los genes más importantes situados en la parte terminal del cromosoma 22q, que codifica para una proteína de andamiaje que es abundante en las densidades postsinápticas de sinapsis excitatorias; cuando se pierde este gen da un fenotipo clínico típico del anillo del cromosoma 22.3 Mutaciones en el gen SHANK3 que se encuentra dentro de la región crítica mínima o una deleción en el cromosoma 22q13, generan el síndrome de Phelan-McDermid.4

Se han reportado más de 100 casos en la literatura y en 99% los cromosomas en anillo son de origen esporádico, considerados como un accidente durante la división celular, la cantidad y ubicación del material genético perdido en este proceso es variable y determina el espectro clínico y la estabilidad del anillo durante las rondas subsecuentes de mitosis.1

Las deleciones subteloméricas del cromosoma 22 a menudo se asocian con la formación de anillos y por lo general el fenotipo clínico de los pacientes con cromosoma en anillo se superpone a los síndromes causados por la supresión (deleción) de los extremos del respectivo cromosoma.5 Se describió en más de 60 pacientes con anillo del cromosoma 22 que las características clínicas son similares a las encontradas en pacientes sólo con deleciones terminales 22q (el síndrome de Phelan-McDermid, o síndrome del cromosoma 22q, o síndrome de deleción del cromosoma 22q13.3 o síndrome de monosomía telomérica 22q13), las cuales son patologías cromosómicas raras que llevan pérdida de material genético en la zona terminal del cromosoma 22q13.3.1-3

Se presenta paciente masculino con síndrome del anillo del cromosoma 22, que consultó por problemas de lenguaje, retraso del desarrollo psicomotor, alteraciones en la marcha y fusión de 4-5 metacarpiano.

El objetivo es aportar una alternativa de tratamiento rehabilitatorio aplicando la CIF (Clasificación Internacional de la Funcionalidad), se diseñaron programas de terapia física y ocupacional para reeducar la marcha, el fortalecimiento muscular de tren inferior y se entrenó en actividades básicas de la vida diaria en higiene personal, vestido y alimentación (Tablas 1, 2, 3, 4, 5 y 6). Adicionalmente se busca contribuir con el fenotipo clínico con características previamente no descritas, como la malformación en manos y la ausencia de la apófisis estiloides.



PRESENTACIóN DEL CASO

Antecedentes: paciente masculino de 13 años de edad con antecedentes familiares, madre de 31 años, padre falleció a los 37 años por arma de fuego. Antecedentes personales patológicos: producto de la primera gestación (madre con G:2, P:2, A:0, otra hermana sana), embarazo controlado, fue obtenido de 40 semanas por parto vaginal prolongado (18 horas), aspiró líquido amniótico, no requirió maniobras de reanimación, peso: 2.7 kg (percentil: 3-15), talla: 49 cm (percentil: 50). Apgar: 8-9, tamiz metabólico normal. Desarrollo psicomotor: sostén cefálico a los tres meses, sedestación a los seis meses, gateo a los ocho meses, bipedestación a los 20 meses, marcha a los dos años y medio. Control de esfínteres a los dos años, se pierde y se vuelve a recuperar a los seis años. Alteraciones en desarrollo motor fino: no toma el tenedor correctamente, no embona cierres; alteraciones del desarrollo motor grueso: no brinca, no patea, corre y se tropieza, sube escaleras sólo alternando, baja escaleras sin alternar y solo, no cacha pelota. Presenta ausencia en el desarrollo del habla (actualmente sólo dice 20 palabras), frases cortas, desarrollo del lenguaje expresivo comprometido severo.

Patológicos: retraso global del desarrollo, artritis séptica en cabeza del fémur derecho a los ocho meses, displasia de cadera bilateral, coxa valga -le realizan tenotomía de aductores y osteotomía varo desrotadora de cadera bilateral-, traqueomalacia y apnea obstructiva del sueño manejada con plastia traqueal, criptorquidia bilateral, otitis media a repetición.

Fenotipo clínico: somatometría actual (13 años); talla: 142 cm (percentil: 50), peso: 42 kg (percentil 50), perímetro cefálico: 57 cm (percentil 90), presenta hipotonía generalizada. Postura: vista posterior: cabeza con inclinación derecha, hombro derecho descendido, tronco rotado hacia la derecha, pliegues poplíteos rotados simétricos, retropié valgo; vista anterior: rótulas centrales, antepié neutro, tronco rotado hacia la derecha; vista lateral: cabeza y cuello proyectado, tronco rotado.

Facies ovalada, braquicefalia, frente corta, cejas abundantes desorganizadas en cola, ojos almendrados, fisuras palpebrales horizontales, epicanto interno bilateral, telecanto, puente nasal alto y base de implantación ancha, narinas amplias y antevertidas, filtrum corto con pilares bien marcados, labios gruesos, dentición irregular, paladar alto, micrognatia, pabellones auriculares con hélix delgado, cuello simétrico largo, tórax pectus excavatum, teletelia, columna con hiperlordosis lumbar, cicatriz queloide hipertrófica de 16 cm en región intercostal izquierda T9-10. Miembro superior: mano izquierda con braquidactilia y clinodactilia tipo E del quinto dedo, con sindactilia incompleta del quinto y cuarto dedos tipo V, con ausencia de pliegues interfalángicos; mano derecha con braquidactilia y clinodactilia del quinto dedo. Arcos de movilidad activos de hombro incompletos para flexión, pasivos completos. Miembro inferior: pie plano grado I (acorde a medidas), descenso incompleto del arco derecho, tono muscular disminuido, acortamiento de isquiotibiales bilateral, aumento de reflejos patelar y aquíleo bilateral.

Marcha: independiente, claudicante bilateral, choque de talón deficiente, apoyo sobre lo plano aumentado, postural intermedia disminuida, elevación de talón normal, aceleración oscilación y refrenamiento disminuido, ángulo de proyección en convergencia, base de sustentación disminuida, cadencia lenta, longitud de paso y zancada disminuidas, no disocia cintura, cadera, rodilla hacia medial y rodilla hacia tobillo, pérdida por convergencia de antepiés, no realiza marcha en punta-talón, no se apoya sobre un pie, no realiza salto.

Actividades de la vida diaria: no se viste ni desviste solo, no abrocha y desabrocha, no come solo con cuchara y tenedor, los toma con dificultad en la prensión. Se baña con ayuda porque no puede llevar manos a la cabeza para enjabonarse, se asea solo cuando va al baño, requiere ayuda para lavarse los dientes. Utiliza para comunicarse palabras sueltas y gesticulaciones o lleva al interlocutor a donde desea.

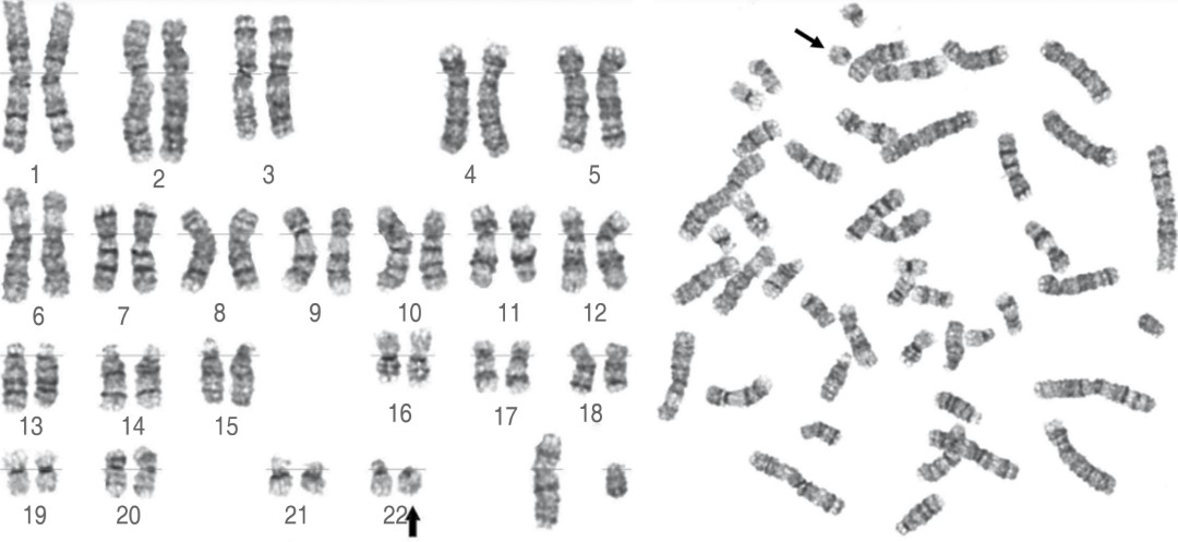
Paraclínicos: cariotipo 46, XY, r (22) (p11.2 2 q13.3) en 30 metafases analizadas, con bandas GTG en linfocitos de sangre periférica, individuo de sexo masculino con la presencia de una alteración cromosómica debido a un anillo cromosómico del cromosoma 22 (Figura 1).

Valoración radiológica: resonancia magnética con secuencias en T1, T2 y FLAIR en planos axial, sagital y coronal, identificando lo siguiente: pérdida de volumen cerebral supratentorial-cortical, en la fosa posterior se observan lesiones extraaxiales, de morfología ovoidea de bordes regulares y bien definidos, hiperintensas en el T2 e hipointensas en el T1 imágenes que sugieren quistes aracnoideos adyacentes al borde posterior de ambos lóbulos cerebelosos, los cuales presentan ligero desplazamiento en sentido anterior e hipoplasia de cuerpo calloso (Figura 2). Radiografías de manos anteroposterior y oblicua que muestran densidad ósea y el estado de mineralización acordes a la edad del paciente, placas de crecimiento acordes con su edad, mano izquierda: se identifica fusión de 4-5 metacarpiano en el tercio proximal y medial, lo que condiciona un desplazamiento en sentido lateral del quinto metacarpiano y medial del cuarto, lo que lleva la pérdida de la morfología habitual de las articulaciones metacarpofalángicas -más evidente en el quinto dedo- con una aparente subluxación con disminución de las dimensiones de los extremos distales de las superficies articulares de los metacarpianos, hay disminución del tamaño, los huesos del carpo más evidente en escafoides izquierdo con disminución en su eje transverso, ausencia de la apófisis estiloides del cúbito izquierdo (Figura 3). Morfología del extremo articular de radio izquierdo presenta un aumento en su eje cefalocaudal, se observa una disminución del espacio articular del semilunar con el piramidal sin descartar la posibilidad de una fusión, asociado a esto hay una disminución de la densidad del piciforme. Radiografías de tórax muestran prominencia del reborde lateral derecho de la silueta cardiaca.

Valoración psicológica: problemas de la conducta, mutismo selectivo y problemas de enuresis y encopresis, coeficiente intelectual general: 61(debilidad mental moderada).

Valoración por neurología: discapacidad intelectual de leve a moderada, quiste aracnoideo posterior e hipoplasia de cuerpo calloso.



TRATAMIENTO REHABILITATORIO

En el marco anterior se le aplicó la CIF (Clasificación Internacional de la Funcionalidad) que permite identificar las deficiencias en sus funciones corporales, las deficiencias en las estructuras corporales, las limitaciones, las restricciones en la participación, los factores personales y ambientales y se obtuvo un tratamiento rehabilitatorio con la participación de diversas áreas como terapia física, terapia ocupacional, psicología y genética para poderle brindar una mejor autonomía y calidad de vida al paciente (Tablas 1, 2, 3, 4, 5 y 6 y Figura 4).

El tratamiento rehabilitatorio de terapia física (Tabla 1):

  • 1. Deficiencia de la marcha: reeducar las fases y subfases de la marcha, de forma estática y dinámica, así como fortalecer los músculos estabilizadores de la cadera. A propósito de la restricción total para correr se aplicó soporte parcial de peso el cual incrementó paulatinamente al igual que la velocidad en banda sin fin.
  • 2. Deficiencia de la postura: se enseñó el manejo ergonómico de la postura en casa y medio ambiente y se alinearon segmentos corporales frente a espejo; adicionalmente se le aplicó un programa de fortalecimiento para musculatura abdominal y antigravitatorios, así como para las contracturas musculares isquiotibiales y tríceps sural, el objetivo fue relajar mediante la aplicación de agentes térmicos y agentes electromagnéticos como estimulación eléctrica nerviosa transcutánea tipo bifásico asimétrico.
  • 3. Deficiencia intelectual leve y deficiencia de atención: el Centro de Tecnología Adaptada para personas con discapacidad realizó un programa específico para su discapacidad y para estimulación cognitiva, la estimulación sensorial se realizó mediante cámara de Snoezelen; adicionalmente se trabajó en psicoterapia con el paciente y los tutores.

El tratamiento rehabilitatorio de terapia ocupacional se basó en (Tablas 3 y 4):

  • 1. Limitación para el aseo personal, el vestido y la toma de cubiertos: se entrenó en actividades básicas de la vida diaria en higiene personal y vestido; así como la pinza fina abierta y cerrada mediante el uso de aditamentos para poner y quitar prendas y para la toma de cubiertos.
  • 2. Limitación completa para saltar: se entrenó con ejercicios de potencia y fuerza explosiva en la musculatura de tren inferior mediante actividades lúdicas.
  • 3. Restricción en socializar con sus pares y medio ambiente: se estimuló la socialización a través de actividades deportivas grupales, implementando estrategias lúdicas generadoras de rapport mediante psicoterapia grupal y familiar.
  • 4. Restricción para el juego con sus pares: se realizaron actividades extracurriculares deportivas y lúdicas en equipo fuera de casa para favorecer el juego entre pares.

Asesoría genética: el asesoramiento genético para el paciente se basa en brindar a él y a la familia la información sobre la naturaleza, los modos de herencia y las implicaciones de los rearreglos cromosómicos, para ayudarlos a tomar decisiones médicas y personales informadas. El paciente presenta un síndrome del anillo del cromosoma 22 con un fenotipo que se traslapa al síndrome de Phelan-McDermid, es causado por una deleción en el cromosoma 22q13.3 que incluye al menos parte del gen SHANK3, el cual se hereda de forma autosómica dominante; sin embargo, la mayoría de las personas afectadas representan casos esporádicos. No se cuenta con el cariotipo de los padres (el padre falleció y la madre lo abandonó), por lo anterior, la asesoría se basa en lo reportado en la literatura, la mayoría de los anillos del cromosoma 22 presentan deleciones terminales o intersticiales de 22q13.3 que son de novo; sin embargo, la deleción puede ser el resultado de un reordenamiento cromosómico o mosaicismo en uno de los padres, el cual se desconoce. Aproximadamente 50% de los reordenamientos estructurales desequilibrados que incluyen 22q13 son de novo y alrededor de 50% se heredan de un padre que es portador de un reordenamiento cromosómico balanceado. La asesoría para la descendencia del probando, se estima que los hijos de un individuo con una deleción 22q13.3 tienen un 50% de posibilidades de heredar la deleción.



DISCUSIóN

Es importante en todos los pacientes que presentan algún tipo de discapacidad aplicar la CIF, ya que es un potencial marco conceptual y es una perspectiva corporal, individual y social con un lenguaje estándar para describir la salud y las dimensiones relacionadas con ella, que sirve para determinar objetivos específicos de tratamiento rehabilitatorio de forma multidimensional. Al paciente se le diseñó y aplicó un programa de tratamiento específico a sus deficiencias, restricciones y limitaciones enmarcado en su ambiente social y cultural con muy buena respuesta al tratamiento en cada uno de sus objetivos planteados (Tablas 1, 2, 3, 4, 5 y 6).

La mayoría de las personas con síndrome de Phelan-McDermid tienen "retraso global del desarrollo" o "discapacidad intelectual de moderada a profunda", aunque la gravedad del retraso tiende a variar con el tamaño de la deleción.6,7 El paciente presenta un retraso moderado. Llama la atención que presentó control de esfínteres a los dos años, el cual se pierde y se vuelve a recupera hasta los seis años. Se ha reportado que el síndrome de Phelan-McDermid presenta regresión neurológica y motora y alrededor de 40% de las personas recuperaron habilidades entre los seis meses y el año, el paciente se tardó cuatro años en recuperar la función.8

Los quistes aracnoideos ocurren en aproximadamente 15% de las personas con síndrome de Phelan-McDermid en comparación con el 1% en la población general. El paciente presenta varios quistes aracnoideos, los cuales generan desplazamiento en sentido anterior e hipoplasia de cuerpo calloso, se ha reportado adelgazamiento del cuerpo calloso y morfologías atípicas del cuerpo calloso.9 Lo anterior puede explicar las alteraciones en el desarrollo motor grueso y fino y las malformaciones de la mano, se han reportado alteraciones motores gruesas en 50% de los casos. El tono muscular deficiente del paciente, la displasia de cadera bilateral, la artritis séptica en la cabeza del fémur derecho a los ocho meses, la coxa valga, la tenotomía de aductores y osteotomía varo desrotadora realizada, aunado con las malformaciones en sistema nervioso central contribuyeron con los problemas en la marcha.

El fenotipo clínico neurológico se puede explicar por pérdida de la función o disminución de gen SHANK3. La disminución o la ausencia de la proteína SHANK3 en células somáticas, así como las biopsias cerebrales, y el análisis de datos de resonancia magnética funcional (FMRI) reveló patrones de conectividad local y global alterados que eran indicativos de anomalías en el circuito. Se concluye que las disfunciones en el gen y los circuitos SHANK3 tienen impacto en los fenotipos conductuales, que caracterizan el trastorno del espectro autista y el síndrome de Phelan-McDermid.10

Adicionalmente, el paciente presenta características clínicas que no han sido descritas previamente en la literatura y que contribuyen a enriquecer el fenotipo clínico, como: la displasia de cadera bilateral, la traqueomalacia, la apnea obstructiva del sueño, la criptorquidia bilateral y múltiples cuadros de otitis. Lo anterior corrobora que los pacientes con síndrome del anillo del cromosoma 22 presentan una amplia variación fenotípica.

Se ha demostrado que los efectos de posición génica afectan la expresión y la función de los genes y desempeñan un papel en la presentación clínica de diversas patologías genéticas. La amplia variación fenotípica se estudió a través de un algoritmo de predicción computacional, que considera las características clínicas y los puntos de corte de deleción 22q13 de 81 pacientes con anillo del cromosoma 22, generaron una lista de 12 genes que se predijo, estaban desregulados: ocho debido a efectos de posición y cuatro debido a deleción. Los ocho genes identificados como candidatos potenciales para la mala regulación transcripcional por efectos de posición de largo alcance son: A4GALT, ADSL, EP300, FBLN1, NAGA, TNFRSF13C, TRMU y TUBGCP6; y los cuatro genes candidatos identificados para la mala regulación transcripcional debido a los efectos de corto alcance de la eliminación son: ARSA, SBF1, SCO2 y SHANK3, todos los genes anteriores están relacionados con el fenotipo neurológico y con el trastorno del espectro autista.11

Hasta el momento sólo se había reportado en la literatura manos grandes y carnosas con uñas hipoplásicas o displásicas (en el 34% de los pacientes) en el síndrome del cromosoma 22, éste es el primer caso que reporta malformaciones en manos como lo son la fusión de 4-5 metacarpiano en el tercio proximal y medial y la ausencia de la apófisis estiloides del cubito izquierdo. Esto es una contribución muy importante al fenotipo clínico de los pacientes con anillo del cromosoma 22.



CONCLUSIONES

Se concluye que se trata de un paciente con síndrome del anillo del cromosoma 22, con fenotipo clínico que se traslapa con el síndrome de Phelan-McDermid, que es una patología rara y hay pocos casos reportados en la literatura. El espectro clínico del paciente contribuye con características fenotípicas nuevas que no se habían descrito previamente, como lo son la fusión del 4-5 metacarpiano, la ausencia de la apófisis estiloides del cubito izquierdo, la braquidactilia y clinodactilia tipo E del quinto dedo, con sindactilia incompleta del quinto y cuarto dedos tipo V. Adicionalmente se concluye que algunos aspectos de las disfunciones en el gen y los circuitos SHANK3, así como con los fenotipos conductuales, que caracterizan el trastorno del espectro autista y el síndrome de Phelan-McDermid están afectados en el paciente, lo que condiciona su fenotipo clínico.

La relevancia del tratamiento rehabilitatorio está basado en una medicina de precisión donde cada paciente es único y su manejo es individualizado con una visión multidimensional, es por ello que se le aplicó la metodología de la CIF para identificar las deficiencias en sus funciones corporales, las deficiencias en las estructuras corporales, las limitaciones, las restricciones en la participación, los factores personales y ambientales y se obtuvo un tratamiento rehabilitatorio con la participación de áreas como terapia física, ocupacional, psicología y genética para brindar una mejor autonomía y calidad de vida.



AGRADECIMIENTOS

Los autores agradecen al Sistema Nacional para el Desarrollo de la Familia y al Centro de Rehabilitación "Gaby Brimmer" que nos brindó todo el apoyo para poder llevar a cabo este artículo. También agradecen al director del Centro de Rehabilitación por su apoyo en el desarrollo de proyectos de investigación y en el desarrollo de la presente publicación. Los autores también agradecen a todos los médicos rehabilitadores y terapeutas del Centro de Rehabilitación, que con su compromiso y trabajo brindan atención integral para los pacientes, éstos han sido parte fundamental en el manejo y tratamiento de los pacientes; así como en el desarrollo del presente artículo. También agradecen al Departamento de Psicología que apoyó con las evaluaciones de su área, en especial a la psicóloga Susana Ramírez Roa. Al Dr. Leonardo Pérez Mejía de "Genos Médica" le agradecemos su apoyo con el cariotipo del paciente y el acervo fotográfico.


REFERENCIAS (EN ESTE ARTÍCULO)

  1. Guilherme RS, Soares KC, Simioni M, Vieira TP, Gil-da-Silva-Lopes VL, Kim CA et al. Clinical, cytogenetic, and molecular characterization of six patients with ring chromosomes 22, including one with concomitant 22q11.2 deletion. Am J Med Genet A. 2014; 164A: 1659-1665.

  2. Canonero I, Montes C, Sturich A, Boterón M, Asinari M, Cuestas E et al. Phelan McDermid syndrome: five patients description and report on the first case described in conjoined twins. Arch Argent Pediatr. 2012; 110 (3): e50-e54.

  3. Schinzel A: Catalogue of unbalanced chromosome aberrations in man. 2nd edition. Berlin, Germany: Walter de Gruyter; 2001.

  4. Disciglio V, Lo Rizzo C, Mencarelli MA, Mucciolo M, Marozza A, Di Marco C et al. Interstitial 22q13 deletions not involving SHANK3 gene: a new contiguous gene syndrome. Am J Med Genet A. 2014; 164A (7): 1666-1676.

  5. Yi F, Danko T, Botelho SC, Patzke C, Pak C, Wernig M et al. Autism-associated SHANK3 haploinsufficiency causes Ih channelopathy in human neurons. Science. 2016; 352 (6286): aaf2669.

  6. Sarasua SM, Dwivedi A, Boccuto L, Rollins JD, Chen CF, Rogers RC et al. Association between deletion size and important phenotypes expands the genomic region of interest in Phelan-McDermid syndrome (22q13 deletion syndrome). J Med Genet. 2011; 48 (11): 761-766.

  7. Zwanenburg RJ, Ruiter SA, van den Heuvel ER, Flapper BC, Van Ravenswaaij-Arts CM. Developmental phenotype in Phelan-McDermid (22q13.3 deletion) syndrome: a systematic and prospective study in 34 children. J Neurodev Disord. 2016; 8: 16.

  8. Reierson G, Bernstein J, Froehlich-Santino W, Urban A, Purmann C, Berquist S et al. Characterizing regression in Phelan McDermid syndrome (22q13 deletion syndrome). J Psychiatr Res. 2017; 91: 139-144.

  9. Philippe A, Boddaert N, Vaivre-Douret L, Robel L, Danon-Boileau L, Malan V et al. Neurobehavioral profile and brain imaging study of the 22q13.3 deletion syndrome in childhood. Pediatrics. 2008; 122 (2): e376-e382.

  10. Zhou Y, Sharma J, Ke Q, Landman R, Yuan J, Chen H et al. Atypical behaviour and connectivity in SHANK3-mutant macaques. Nature. 2019; 570 (7761): 326-331.

  11. Srikanth S, Jain L, Zepeda-Mendoza C, Cascio L, Jones K, Pauly R et al. Position effects of 22q13 rearrangements on candidate genes in Phelan-McDermid syndrome. PLoS One. 2021; 16 (7): e0253859.



AFILIACIONES

1 Departamento de Enseñanza de la Escuela de Terapia Física y/o Terapia Ocupacional del Centro de Rehabilitación Zapata "Gaby Brimmer". Ciudad de México, México.

2 Pasante de la Licenciatura en Terapia Física.

3 Departamento de Valoración y Tratamiento del Centro Nacional Modelo de Atención, Investigación y Capacitación para la Rehabilitación e Integración Educativa "Gaby Brimmer". Ciudad de México, México.

4 Médico rehabilitador.

5 Terapeuta físico.

6 Médico radiólogo.

7 Médico genetista.



CORRESPONDENCIA

Johanna Milena Mantilla-Capacho. E-mail: ymantilla@dif.gob.mx
jmmantilla1@gmail.com




Recibido: mayo, 2023. Aceptado: julio, 2023.



Figura 1
Figura 2
Figura 3
Figura 4
Tabla 1
Tabla 2
Tabla 3
Tabla 4
Tabla 5
Tabla 6

2020     |     www.medigraphic.com

Mi perfil

C?MO CITAR (Vancouver)

Rev Mex Med Fis Rehab. 2024;36

ARTíCULOS SIMILARES

CARGANDO ...