medigraphic.com
ENGLISH

Acta Médica Grupo Ángeles

Órgano Oficial del Hospital Ángeles Health System
  • Mostrar índice
  • Números disponibles
  • Información
    • Información general        
    • Directorio
  • Publicar
    • Instrucciones para autores        
    • Envío de artículos
    • Políticas
    • Nombre y afiliación del Comité Editorial
  • Nosotros
    • Plan de gestión e intercambio de datos
    • Objetivos declarados y alcance
  • medigraphic.com
    • Inicio
    • Índice de revistas            
    • Registro / Acceso
  • Mi perfil

2025, Número 1

<< Anterior Siguiente >>

Acta Med 2025; 23 (1)


Condromatosis sinovial: los nódulos de cartílago

Ochoa Cázares, René1,2; Ramírez Burgos, Carlos Leonel1,3; Loaiza González, Madahí1,4
Texto completo Cómo citar este artículo 10.35366/119355

DOI

DOI: 10.35366/119355
URL: https://dx.doi.org/10.35366/119355
Artículos similares

Idioma: Español
Referencias bibliográficas: 3
Paginas: 69-71
Archivo PDF: 239.77 Kb.


PALABRAS CLAVE

condromatosis, sinovial, resonancia magnética, artroscopia, rodilla.

RESUMEN

Introducción: la condromatosis sinovial de rodilla es una enfermedad articular poco común que afecta principalmente la membrana sinovial de la articulación de las rodillas. Se caracteriza por el crecimiento anormal de tejido cartilaginoso en la sinovial, lo que da lugar a la formación de cuerpos libres interarticulares, lo cual causa dolor. El diagnóstico se confirma por resonancia magnética (RM). Caso clínico: presentamos a masculino de 54 años con dolor, bloqueo articular, marcha dolorosa en rodilla izquierda de dos años de evolución sin antecedentes de trauma. Conclusiones: el tratamiento de resección de cuerpos libres en rodilla es por artroscopia, siendo la RM esencial para el diagnóstico y las decisiones terapéuticas.



INTRODUCCIóN

La condromatosis sinovial de rodilla, nombre dado por Reichel en el año 1900, cuyas sinonimias son osteocondromatosis (Henderson 1917) y osteocondrosis (Pontvill 1966), es una patología benigna poco frecuente caracterizada por la formación metaplásica de múltiples nódulos cartilaginosos dentro del tejido conectivo de la membrana sinovial.1

La formación de cuerpos libres intraarticulares causa dolor, hinchazón y limitación del movimiento en la articulación afectada. Es tres veces más frecuente en hombres, surge entre los 30-50 años y puede afectar: rodilla (70%), cadera (20%) y hombro (19%). Su etiología es desconocida, aunque se ha asociado a mutaciones cromosómicas (p21.3 y 12q13) que afectarían a las proteínas. Milgram describió tres estadios: 1) enfermedad intraarticular activa sin cuerpos libres; 2) lesiones transicionales con proliferación sinovial y cuerpos libres; y 3) cuerpos libres sin enfermedad sinovial, traumas articulares y enfermedades inflamatorias.2

El diagnóstico se realiza a través de una evaluación clínica y por imágenes radiográficas y RM. El tratamiento puede ser conservador como medicamentos para el dolor y la inflamación, terapia física y aspiración del líquido sinovial. Sin embargo, en casos más graves, puede ser necesaria la cirugía como la artroscopia, sinovectomía o reemplazo articular. El pronóstico varía, pero los diagnósticos tempranos con tratamiento adecuado experimentan mejoras en los síntomas y la calidad de vida.



PRESENTACIóN DEL CASO

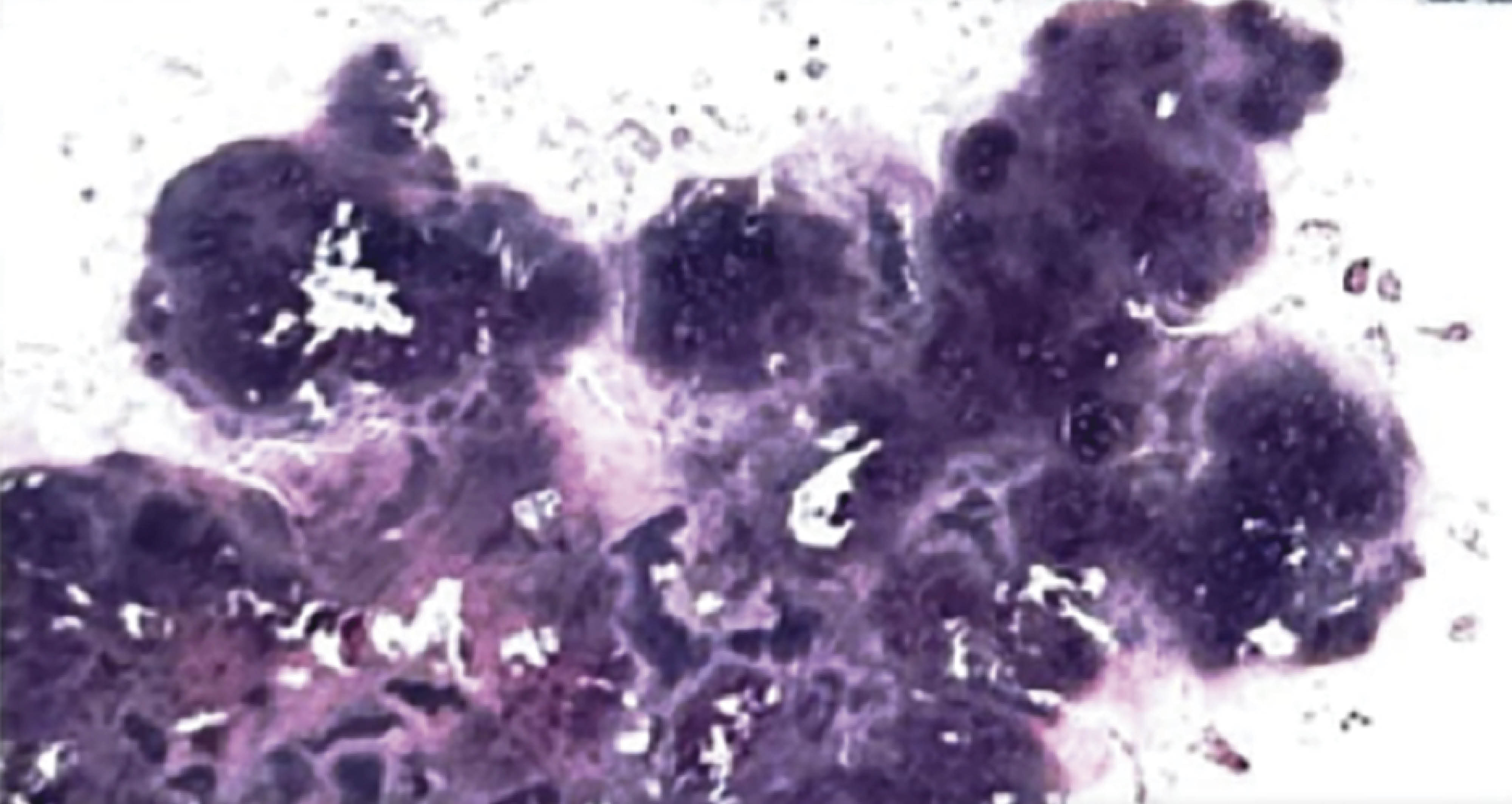
Masculino de 54 años, que consulta por dolor, bloqueos al momento de flexionar y extender la rodilla izquierda de dos años de evolución sin antecedentes de trauma. Se evalúa marcha dolorosa acompañado de edema y dolor en rodilla izquierda. La resolución del caso se realizó mediante cirugía: artroscopia de rodilla con resección completa de la condromatosis sinovial (Figuras 1, 2 y 3).



DISCUSIóN

Los pacientes con condromatosis sinovial de rodilla experimentan dolor articular, edema y limitación de movimiento. La inflamación crónica de la sinovial puede provocar una acumulación de líquido sinovial en la articulación, lo que lleva a un aumento de tamaño de la rodilla afectada. Además, los cuerpos libres intraarticulares pueden causar bloqueos intermitentes de la rodilla, lo que resulta en episodios de claudicación o inestabilidad.

El diagnóstico de la condromatosis sinovial de rodilla implica una evaluación clínica exhaustiva con pruebas de diagnóstico por imágenes. La radiografía convencional puede revelar calcificaciones intraarticulares, aunque no siempre son visibles en etapas tempranas. La RM es útil para detectar la presencia de cuerpos libres intraarticulares, evaluar el estado del cartílago y visualizar la extensión de la enfermedad en la sinovial.



CONCLUSIONES

La condromatosis sinovial de rodilla es una enfermedad articular rara que se caracteriza por la presencia de múltiples nódulos de cartílago suelto en la membrana sinovial. Aunque esta condición es benigna, puede causar dolor severo, rigidez en las articulaciones y limitaciones funcionales si no se trata. Aunque la condromatosis sinovial de rodilla es una condición benigna, otra potencial complicación es la predisposición maligna a condrosarcoma. Pese a que existen solamente 48 casos publicados desde 1957, existen 13 artículos que detallan las tasas de hasta 5%, 14 casos indican la difícil distinción entre la recidiva y el condrosarcoma de bajo grado. La predisposición maligna de los condrosarcomas debe sospecharse ante la exacerbación súbita de los síntomas, la recurrencia en menos de 12 meses o la infiltración muscular adyacente. Puede causar una morbilidad significativa si no se trata. El diagnóstico temprano y el tratamiento adecuado es crucial para el éxito y lograr resultados favorables y mantener la función articular.3


REFERENCIAS (EN ESTE ARTÍCULO)

  1. Barrera OA, Lapera MF, Nieva M, Quatrocchio M, Cotarelo M. Condromatosis sinovial de rodilla. Tratamiento artroscópico. Artroscopia. 1996; 3 (6): 344-348. Disponible en: https://www.revistaartroscopia.com.ar/ediciones-anteriores/images/artroscopia/volumen-03-nro-6/condromatosis_sinovial_de_rodilla.pdf

  2. Jiménez-Martín A, Zurera-Carmona M, Santos-Yubero FJ, Pérez-Hidalgo S. Tratamiento artroscópico de la condromatosis sinovial, una inusual causa de omalgia. 2014; 10 (6): 416-417. Disponible en: https://www.reumatologiaclinica.org/es-tratamiento-artroscopico-condromatosis-sinovial-una-articulo-S1699258X14000059

  3. Guillén Botaya E, Pino Almero L, Molini Menchón MO, Silvestre Muñoz A, et al. Osteocondromatosis sinovial de rodilla: una causa infrecuente de gonalgia en edad pediátrica. Arch Argent Pediatr. 2020; 118 (1): e34-e38. Disponible en: https://www.sap.org.ar/docs/publicaciones/archivosarg/2020/v118n1a19.pdf



AFILIACIONES

1 Curso de Alta Especialidad en Artroscopia y Reconstrucción Articular, Universidad La Salle, Hospital Angeles Pedregal, Ciudad de México.

2 Director del curso. ORCID: 0009-0001-3135-6208

3 Fellow del curso. Especialista en Traumatología y Ortopedia, Universidad de San Carlos de Guatemala, Guatemala.

4 Fellow del curso. Especialista en Ortopedia y Traumatología.



CORRESPONDENCIA

Dr. René Ochoa Cázares. Correo electrónico: roc.ortopedia@gmail.com




Aceptado: 11-04-2024.

Figura 1
Figura 2
Figura 3

2020     |     www.medigraphic.com

Mi perfil

C?MO CITAR (Vancouver)

Acta Med. 2025;23

ARTíCULOS SIMILARES

CARGANDO ...