medigraphic.com
ENGLISH

Acta Médica Grupo Ángeles

Órgano Oficial del Hospital Ángeles Health System
  • Mostrar índice
  • Números disponibles
  • Información
    • Información general        
    • Directorio
  • Publicar
    • Instrucciones para autores        
    • Envío de artículos
    • Políticas
    • Nombre y afiliación del Comité Editorial
  • Nosotros
    • Plan de gestión e intercambio de datos
    • Objetivos declarados y alcance
  • medigraphic.com
    • Inicio
    • Índice de revistas            
    • Registro / Acceso
  • Mi perfil

2025, Número 2

<< Anterior Siguiente >>

Acta Med 2025; 23 (2)


Ruptura espontánea de aneurisma de la arteria esplénica con contención por parénquima pancreático

Magaña Reyes, Federico A1,2; Gallardo Navarro, Elías1,2,4; González Flores, Mónica Isabel1,3
Texto completo Cómo citar este artículo 10.35366/119486

DOI

DOI: 10.35366/119486
URL: https://dx.doi.org/10.35366/119486
Artículos similares

Idioma: Español
Referencias bibliográficas: 5
Paginas: 180-182
Archivo PDF: 186.88 Kb.


PALABRAS CLAVE

aneurisma de la arteria esplénica, aneurisma de arteria visceral, ruptura aneurismática espontánea, páncreas, tomografía computarizada.

RESUMEN

El aneurisma de la arteria esplénica tiene una incidencia de 0.09 a 0.78%, lo que la hace una patología rara; la ruptura espontánea está asociada con una alta mortalidad y morbilidad, por lo que su diagnóstico y manejo oportuno son de gran importancia ante un hallazgo incidental.



ABREVIATURAS:

  • AAV = aneurismas de arterias viscerales
  • PAAV = pseudoaneurismas de las arterias viscerales
  • SAA = aneurisma de la arteria esplénica
  • TC = tomografías computarizadas



INTRODUCCIóN

El aneurisma de la arteria esplénica (SAA) se define como una dilatación anormal de la arteria > 1 cm de diámetro, tiene una incidencia que va de 0.09 a 0.78% en reportes de autopsias de arteriografía, siendo una patología rara.1 Los factores asociados incluyen hipertensión, cambios hemodinámicos y hormonas como estrógeno, progesterona y relaxina.2,3 Con el incremento del uso de tomografías computarizadas (TC), la detección incidental de SAA se encuentra en aumento, siendo 80% de estos asintomáticos.



PRESENTACIóN DEL CASO

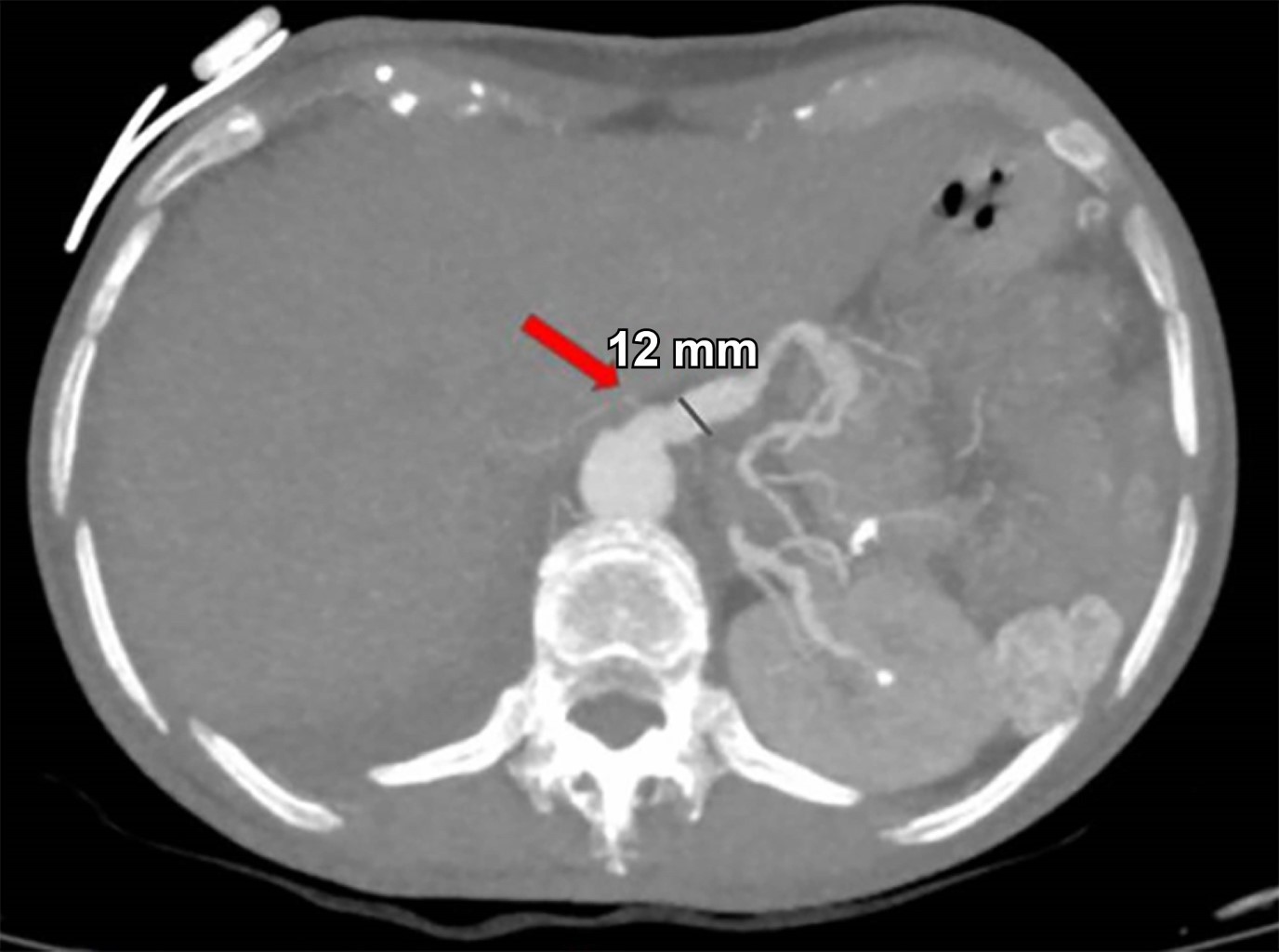
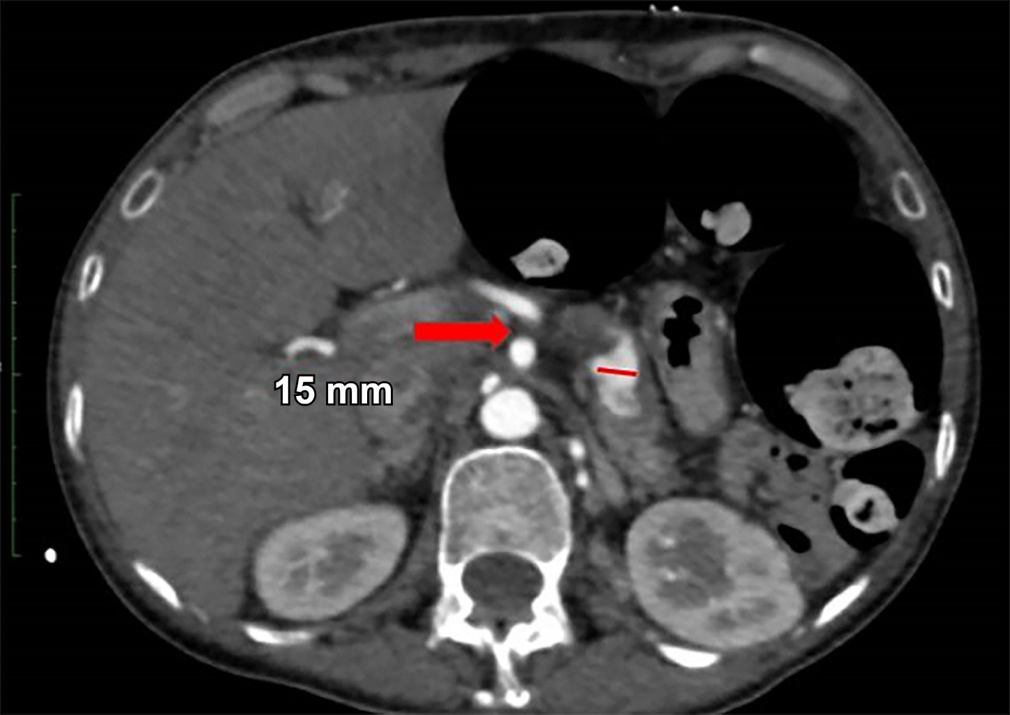
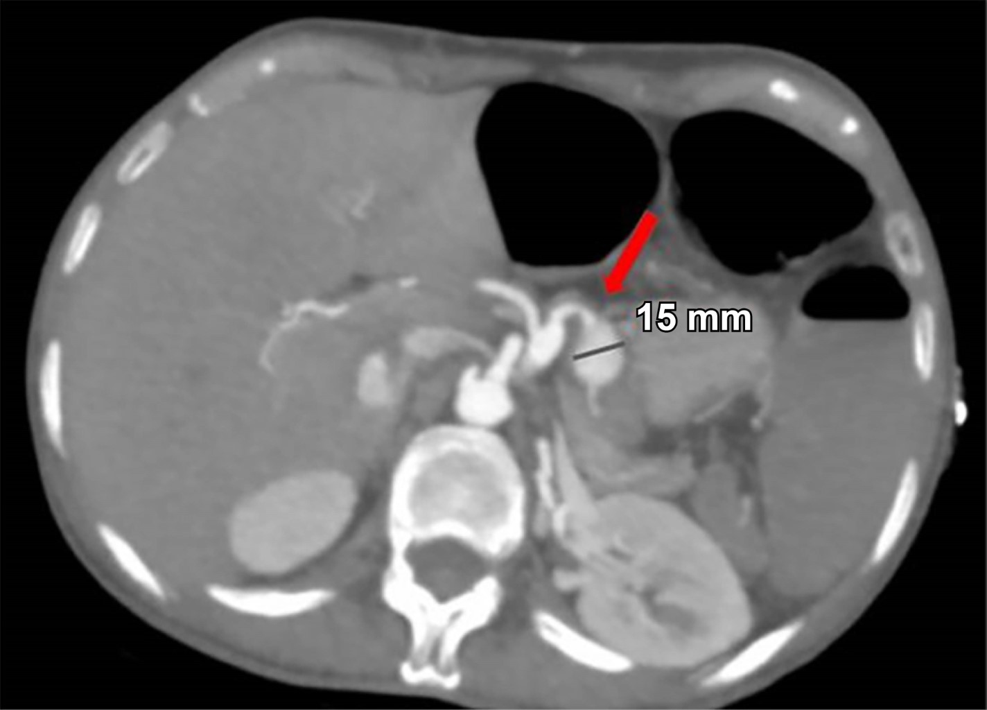
Mujer de 44 años quien 6 meses previos a su ingreso refiere disminución progresiva de la clase funcional debido a un soplo aórtico, por lo que se realizó cambio valvular con la necesidad de ser sometida a circulación extracorpórea y uso de vasopresores. Durante los primeros 10 días postquirúrgicos se diagnostica obstrucción intestinal, por lo que se realiza TC con hallazgo incidental de arteria esplénica (Figura 1) con dilatación aneurismática de hasta 12 mm, en un nuevo estudio de TC a las 24 horas (Figura 2) con ligero aumento del diámetro de aneurisma esplénico hasta 15 mm, pasadas 96 horas solicita nueva TC (Figura 3) y se evidencia mejor definición de la dilatación aneurismática de la arteria esplénica con diámetro actual de 15 mm (previamente de 12 mm). Con los hallazgos tomográficos previamente descritos, se pudo observar la evolución del proceso de dilatación aneurismática con ruptura contenida por el parénquima pancreático, la paciente cursó con un cuadro de obstrucción intestinal con desimpactación endoscópica y dolor abdominal, por lo que seguramente se enmascaró el cuadro clínico.



DISCUSIóN

El SAA es el tercer aneurisma intraabdominal en frecuencia y supone de 40-60% de los casos de un aneurisma de una arteria visceral, pueden ser clasificados histopatológicamente en aneurismas verdaderos y pseudoaneurismas.2,4 Los aneurismas de arterias viscerales (AAV) se definen como los aneurismas de la arteria celíaca, mesentérica superior e inferior y sus ramas, las tres capas de la pared arterial se encuentran intactos; mientras que los pseudoaneurismas de las arterias viscerales (PAAV) son en realidad rupturas contenidas por la adventicia o los vasos perivasculares.

Los AAV presentan una dilatación focal de la arteria con un diámetro > 1.5 veces su diámetro normal, la arteria esplénica es la más comúnmente afectada (60%), en segundo lugar la arteria hepática (20%), seguida por la arteria mesentérica superior (5%) y la arteria celíaca (4%), existen otras localizaciones posibles como la arteria mesentérica inferior, gástrica, gastroepiploica, gastroduodenal y pancreaticoduodenal que juntas suman 11% de los casos.3,5

La TC de abdomen con contraste intravenoso es la modalidad de diagnóstico por imagen ideal, es útil en detectar pequeños SAA y evaluar la anatomía para la planeación operatoria. La angiografía es el estudio diagnóstico más específico para identificar un SAA, aparte de diagnóstica puede ser terapéutica.3

En nuestro caso, la ruptura de la arteria esplénica en la cual la hemorragia es contenida por el parénquima pancreático logrando sellar el defecto sin presentar pancreatitis y sólo dejando atrás una hipodensidad en el parénquima pancreático subyacente, es extremadamente rara.



CONCLUSIóN

En el caso de esta paciente es importante tener en cuenta los antecedentes cardiovasculares como la necesidad de ser sometida a circulación extracorpórea y el uso de vasopresores, siendo todos estos eventos seguramente parte de la patogénesis previamente descritos.


REFERENCIAS (EN ESTE ARTÍCULO)

  1. Akbulut S, Otan E. Management of giant splenic artery aneurysm: comprehensive literature review. Medicine (Baltimore). 2015; 94 (27): e1016.

  2. Lim HJ. A review of management options for splenic artery aneurysms and pseudoaneurysms. Ann Med Surg (Lond). 2020; 59: 48-52. doi: 10.1016/j.amsu.2020.08.048.

  3. Abbas MA, Stone WM, Fowl RJ, Gloviczki P, Oldenburg WA, Pairolero PC et al. Splenic artery aneurysms: two decades experience at Mayo clinic. Ann Vasc Surg. 2002; 16 (4): 442-449.

  4. Russo A, Francia C, Zaottini A, Pagliei M. Giant splenic artery aneurysm, incidentally diagnosed. Ann Ital Chir. 2008; 79 (5): 371-375.

  5. Van Rijn MJ, Ten Raa S, Hendriks JM, Verhagen HJ. Visceral aneurysms: Old paradigms, new insights? Best Pract Res Clin Gastroenterol. 2017; 31 (1): 97-104. doi: 10.1016/j.bpg.2016.10.017.



AFILIACIONES

1 Hospital Español, Ciudad de México, México.

2 Residente del Servicio de Cirugía General.

3 Servicio de Tomografía Computada.

4 ORCID: 0000-0003-3183-9872



CORRESPONDENCIA

Dr. Elías Gallardo Navarro. Correo electrónico: gallardo18e@gmail.com




Recibido: 29-03-2024. Aceptado: 08-05-2024.

Figura 1
Figura 2
Figura 3

2020     |     www.medigraphic.com

Mi perfil

C?MO CITAR (Vancouver)

Acta Med. 2025;23

ARTíCULOS SIMILARES

CARGANDO ...