medigraphic.com
ENGLISH

Acta Médica Grupo Ángeles

Órgano Oficial del Hospital Ángeles Health System
  • Mostrar índice
  • Números disponibles
  • Información
    • Información general        
    • Directorio
  • Publicar
    • Instrucciones para autores        
    • Envío de artículos
    • Políticas
    • Nombre y afiliación del Comité Editorial
  • Nosotros
    • Plan de gestión e intercambio de datos
    • Objetivos declarados y alcance
  • medigraphic.com
    • Inicio
    • Índice de revistas            
    • Registro / Acceso
  • Mi perfil

2025, Número 2

<< Anterior Siguiente >>

Acta Med 2025; 23 (2)


Apendicitis crónica, una patología controversial

Adame Paredes, Raúl1,2; Gallardo Navarro, Elías1,2,5; Méndez Granda, Andrés Ludwing1,2; Carballo Zárate, Adrián Alejandro1,3; Fernández Álvarez, Jorge1,4
Texto completo Cómo citar este artículo 10.35366/119488

DOI

DOI: 10.35366/119488
URL: https://dx.doi.org/10.35366/119488
Artículos similares

Idioma: Español
Referencias bibliográficas: 5
Paginas: 185-186
Archivo PDF: 215.11 Kb.


PALABRAS CLAVE

apendicitis crónica, dolor abdominal, apendicectomía, diagnóstico histológico, inflamación crónica.

RESUMEN

La apendicitis crónica es un proceso y una etiología que a lo largo de los años ha sido muy controversial en el ámbito médico, actualmente algunos autores dudan de su existencia y otros la corroboran por la presencia de datos histopatológicos propios de inflamación crónica, que representa el 1-1.5% de todos los casos de apendicitis.



INTRODUCCIóN

Dado que es un cuadro poco frecuente y de presentación atípica, la apendicitis crónica suele confundirse con otras patologías por los síntomas clásicos de la apendicitis aguda como dolor periumbilical que se irradia a iliaca derecha. Sin embargo, en apendicitis crónica se presentan algunos de estos síntomas que duran por más tiempo, representan 1-1.5% de todos los casos.1 La bibliografía es escasa, pero se habla de un proceso patológico con obstrucción parcial y transitoria del apéndice. A nivel histopatológico se observa inflamación crónica del apéndice con infiltración linfocítica y eosinofílica, fibrosis y reacción granulomatosa, similar a la reacción de células gigantes a cuerpo extraño.2,3 Ya que es una entidad poco conocida, el manejo ha representado un desafío para el cirujano general.3,4



PRESENTACIóN DEL CASO

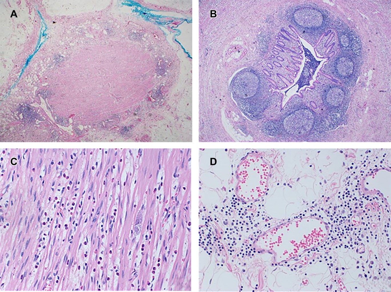
Mujer de 61 años de edad, sin antecedentes médicos de importancia que inicialmente fue abordada en consulta externa, en donde se le fueron solicitados laboratorios, leucocitos totales de 5.5 × 103 cel/μL y neutrófilos de 54.7% por presentar un cuadro de un mes de evolución de dolor abdominal tipo punzante localizado en hipogastrio, el cual se irradiaba hacia ambas fosas iliacas; tras presentar dolor abdominal nuevamente y que no mejoraba con el uso de analgésicos, la paciente acudió a urgencias, donde se le solicitó una tomografía axial computarizada abdominal, reportando un apéndice con aumento de tamaño, sin estriación de la grasa periapendicular, sin infiltración mesentérica, absceso o colecciones. En el examen físico se reportan signos vitales normales, dolor a la palpación profunda y superficial en hipogastrio y ambos flancos, sin tumoraciones palpables, prueba de McBurney, Psoas, Rovsing y Blumberg negativas. Se optó por un abordaje quirúrgico laparoscópico, con el hallazgo intraoperatorio de un apéndice cecal de 8.0 × 0.8 cm sin líquido libre en cavidad abdominal. El estudio histopatológico reportó imágenes correspondientes con una inflamación crónica (Figura 1). Durante su estancia hospitalaria la paciente no refirió dolor ni otros síntomas relacionados, por lo que la paciente fue dada de alta el siguiente día.



DISCUSIóN

En 1932, el Dr. Friedlander reportó que la apendicitis crónica es una afección de difícil diagnóstico porque en la exploración física los pacientes no tienen datos francos, la presentación típica de la apendicitis es bien conocida, aunque hay pacientes que pueden presentar un cuadro atípico, se deben descartar diagnósticos diferenciales como adenitis mesentérica, gastroenteritis, enfermedades inflamatorias intestinales.3,5 Algunos estudios especulan que puede ser causada por una obstrucción parcial de la luz apendicular o por una producción excesiva de moco en el apéndice.4 El diagnóstico a menudo se realiza después de la apendicectomía y se basa en los hallazgos histológicos de los cambios inflamatorios crónicos.5



CONCLUSIONES

El cirujano general debe estar en conocimiento de esta patología que es controversial, sin criterios diagnósticos oficiales y realizar estudios complementarios ante su sospecha.


REFERENCIAS (EN ESTE ARTÍCULO)

  1. Holm N, Romer MU, Markova E, Buskov LK, Hansen AE, Rose MV. Chronic appendicitis: two case reports. J Med Case Rep. 2022; 16 (1): 51.

  2. Lee CK, Pelenyi SS, Fleites O, Velez V, Alaimo KL, Ramcharan DN et al. Chronic appendicitis, the lesser-known form of appendiceal inflammation: a case report. Cureus. 2021; 13 (11): e19718.

  3. Kanat BH, Solmaz OA, Bozdag P, Dogan S, Kutluer N, Kurt F et al. Chronic appendicitis: the process from pre-diagnosis to pathology. Eur Rev Med Pharmacol Sci. 2021; 25 (24): 7898-7902.

  4. Khvorostov I, Sinitsyn A, Snigur G, Gusev A, Dyakonova E, Yatsyk S. Clinical, morphological, and immunohistochemical justification of surgery for chronic appendicitis in children. J Laparoendosc Adv Surg Tech A. 2021; 31 (12): 1397-1401. doi: 10.1089/lap.2021.0348.

  5. McQuaid KR. Current Medical Diagnosis & Treatment 2022. New York: McGraw-Hill; 2021. Appendicitis.



AFILIACIONES

1 Hospital Español. Ciudad de México, México.

2 Médico residente de segundo año de Cirugía General.

3 Anatomopatólogo, Patólogo clínico.

4 Cirujano y profesor titular de Cirugía General.

5 ORCID: 0000-0003-3183-9872



CORRESPONDENCIA

Elías Gallardo Navarro. Correo electrónico: gallardo18e@gmail.com




Recibido: 30-03-2024. Aceptado: 07-05-2024.

Figura 1

2020     |     www.medigraphic.com

Mi perfil

C?MO CITAR (Vancouver)

Acta Med. 2025;23

ARTíCULOS SIMILARES

CARGANDO ...