medigraphic.com
ENGLISH

Acta Médica Grupo Ángeles

Órgano Oficial del Hospital Ángeles Health System
  • Mostrar índice
  • Números disponibles
  • Información
    • Información general        
    • Directorio
  • Publicar
    • Instrucciones para autores        
    • Envío de artículos
    • Políticas
    • Nombre y afiliación del Comité Editorial
  • Nosotros
    • Plan de gestión e intercambio de datos
    • Objetivos declarados y alcance
  • medigraphic.com
    • Inicio
    • Índice de revistas            
    • Registro / Acceso
  • Mi perfil

2025, Número 2

<< Anterior Siguiente >>

Acta Med 2025; 23 (2)


Resección de un liposarcoma retroperitoneal en bloque

Gallardo Navarro, Elías1,2; García Rodríguez, Francisco M1,3; Mancera Steiner, Carlos1,3
Texto completo Cómo citar este artículo 10.35366/119493

DOI

DOI: 10.35366/119493
URL: https://dx.doi.org/10.35366/119493
Artículos similares

Idioma: Español
Referencias bibliográficas: 5
Paginas: 198-200
Archivo PDF: 244.95 Kb.


PALABRAS CLAVE

liposarcoma retroperitoneal, gigante, masa abdominal.

RESUMEN

Introducción: los liposarcomas retroperitoneales son tumores malignos poco frecuentes conocidos por su crecimiento lento y su difícil tratamiento. Caso clínico: masculino de 68 años de edad quien presenta distensión y dolor abdominal por lo que acude a urgencias, dentro de su abordaje diagnóstico se evidencia en tomografía axial computarizada (TAC) tumoración dependiente de retroperitoneo, se realiza laparotomía con resultado histopatológico de liposarcoma. La cirugía es la piedra angular del tratamiento, con el objetivo de lograr márgenes negativos. Conclusión: La experiencia en el manejo de un liposarcoma gigante con involucro de hemicolon derecho, que recubre órganos y estructuras adyacentes, llega a ser un reto quirúrgico, por lo que es fundamental tratar a los pacientes lo más pronto posible, mediante una cirugía radical en bloque.



INTRODUCCIóN

Los liposarcomas retroperitoneales son tumores malignos poco frecuentes conocidos por su crecimiento lento, siendo el retroperitoneo el sitio de afectación en el 15% de los casos.1 El liposarcoma se origina a partir de células mesenquimales primitivas y está compuesto principalmente por adipocitos.2 Cuando se diagnostica, a menudo se encuentra en una etapa tardía y los síntomas correspondientes aparecen sólo cuando los órganos adyacentes se comprimen o cuando el aumento de los tumores son evidentes. Los sarcomas retroperitoneales están estrechamente relacionados con estructuras vitales como grandes vasos, los riñones e intestinos, lo que hace que la escisión amplia con un margen de tejido normal sea extremadamente difícil. Los tumores se consideran irresecables cuando hay una amplia afectación de las principales arterias viscerales y de los órganos vitales.2,3



PRESENTACIóN DEL CASO

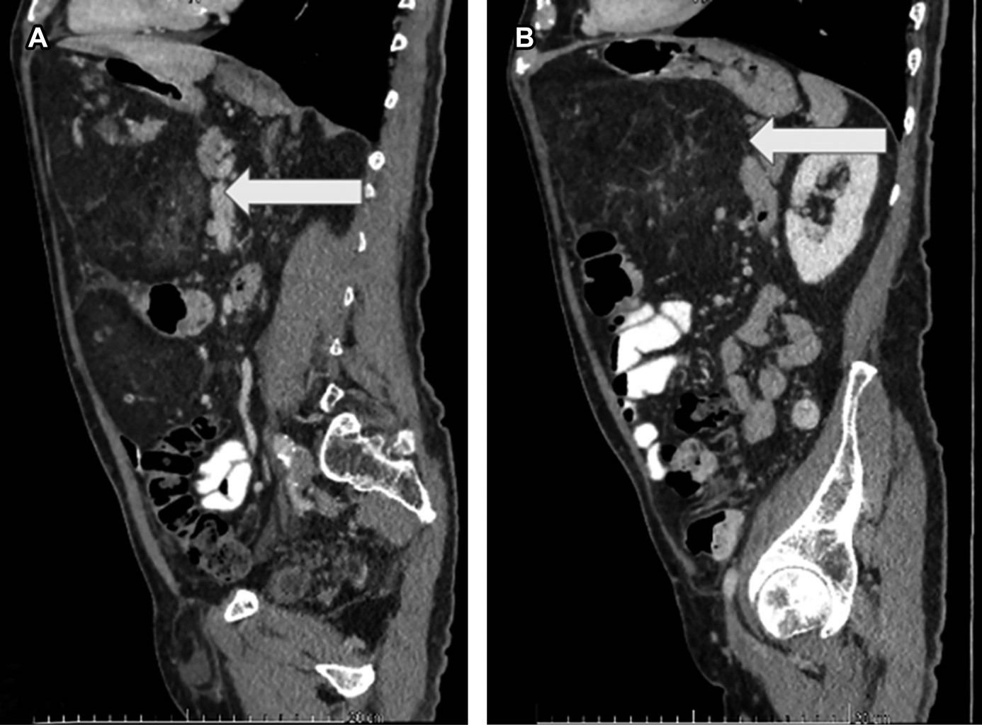
Se trata de paciente masculino de 68 años con antecedente de adenocarcinoma acinar poco diferenciado de próstata en etapa clínica I, tratado con prostatectomía por robot sin terapia adyuvante, cuatro meses después presenta distensión y dolor abdominal tipo cólico, intermitente, de intensidad leve, por lo que acude a urgencias. Se solicita TAC de abdomen (Figura 1), las imágenes eran compatibles con un liposarcoma, por lo que se procede a realizar laparotomía exploratoria. Al abrir se observa tumoración (Figura 2) y se realiza disección con energía avanzada, se observa gran tumor de 45 × 38 × 18 cm, desplazando todas las vísceras hacia la derecha (Figura 3), se efectúa cirugía R0 (cirugía sin tumor macroscópico residual) realizando resección de tumoración lipomatosa retroperitoneal sin otra estructura adyacente. No se realizó resección de colon. Tuvo una adecuada recuperación y se decide su egreso a los ocho días postoperatorios, con seguimiento en consulta externa sin presentar alguna eventualidad.



DISCUSIóN

La metástasis en la presentación clínica inicial es inusual, la exploración quirúrgica es necesaria para el diagnóstico anatomopatológico final.1,2 La resección quirúrgica completa es el estándar de tratamiento, con el objetivo de lograr márgenes negativos mediante la extirpación en bloque del tumor junto con las estructuras afectadas, aunque también se ha descrito el uso de la radioterapia y quimioterapia.3 Aunque en algunos estudios se ha demostrado que la radioterapia preoperatoria disminuye la recurrencia local, su papel no está definido hasta el momento; sin embargo, para los casos con poca probabilidad de resecabilidad, pueden ser sometidos a tratamiento neoadyuvante.4

Las tasas de recurrencia locorregional de los sarcomas retroperitoneales oscilan entre 28 y 48%. Los sarcomas retroperitoneales bien diferenciados tienen un pronóstico excelente, con tasas de supervivencia a cinco años superiores al 90%.3,5



CONCLUSIóN

La experiencia en el manejo de un liposarcoma gigante con involucro de hemicolon derecho, que recubre órganos y estructuras adyacentes, llega a ser un reto quirúrgico, por lo que es fundamental tratar a los pacientes lo más pronto posible, mediante una cirugía radical en bloque.


REFERENCIAS (EN ESTE ARTÍCULO)

  1. Yang L, Chen S, Luo P, Yan W, Wang C. Liposarcoma: advances in cellular and molecular genetics alterations and corresponding clinical treatment. J Cancer. 2020; 11 (1): 100-107.

  2. Wang S, Han X, Liu S, Xu G, Li J. Primary retroperitoneal liposarcoma: a rare case report. J Int Med Res. 2021; 49 (12): 3000605211063085. doi: 10.1177/03000605211063085.

  3. Tajudeen M, Dutta S, Bheemanathi S, Anandhi A. Pictorial essay on a case of giant retroperitoneal liposarcoma. BMJ Case Rep. 2020; 13 (12): e237607.

  4. Gronchi A, Lo Vullo S, Fiore M, Mussi C, Stacchiotti S, Collini P et al. Aggressive surgical policies in a retrospectively reviewed single-institution case series of retroperitoneal soft tissue sarcoma patients. J Clin Oncol. 2009; 27 (1): 24-30.

  5. Tripathi M, Pavithira GJ, Dubey S, Verma R, Garg V. Surgical excision of a giant retroperitoneal liposarcoma with renal cell carcinoma: a case report of the largest retroperitoneal sarcoma. Int J Surg Case Rep. 2023; 109: 108515. doi: 10.1016/j.ijscr.2023.108515.



AFILIACIONES

1 Hospital Español, Ciudad de México.

2 Residente de cirugía de tercer año. ORCID: 0000-0003-3183-9872

3 Cirujano oncólogo.



CORRESPONDENCIA

Elías Gallardo Navarro. Correo electrónico: gallardo18e@gmail.com




Recibido: 15-07-2024. Aceptado: 01-08-2024.

Figura 1
Figura 2
Figura 3

2020     |     www.medigraphic.com

Mi perfil

C?MO CITAR (Vancouver)

Acta Med. 2025;23

ARTíCULOS SIMILARES

CARGANDO ...