medigraphic.com
ENGLISH

Latin American Journal of Oral and Maxillofacial Surgery

ISSN 2992-7757 (Digital)
Órgano de difusión de la Asociación Latinoamericana de Cirugía y Traumatología Bucomaxilofacial (ALACIBU)
  • Mostrar índice
  • Números disponibles
  • Información
    • Información general        
    • Directorio
  • Publicar
    • Instrucciones para autores        
  • medigraphic.com
    • Inicio
    • Índice de revistas            
    • Registro / Acceso
  • Mi perfil

2024, Número 4

<< Anterior Siguiente >>

Lat Am J Oral Maxillofac Surg 2024; 4 (4)


Desafíos clínicos en la osteonecrosis por denosumab: un enfoque conservador eficaz

Cuen-Lara, Ernesto1; Reyes-Torres, Gladys1; Palacios-Solís, Daniel Alberto2
Texto completo Cómo citar este artículo 10.35366/119508

DOI

DOI: 10.35366/119508
URL: https://dx.doi.org/10.35366/119508
Artículos similares

Idioma: Español
Referencias bibliográficas: 22
Paginas: 144-149
Archivo PDF: 332.49 Kb.


PALABRAS CLAVE

osteonecrosis, denosumab, bifosfonatos, mandíbula, conservador.

RESUMEN

La osteonecrosis por denosumab es un posible efecto secundario en hasta 15% de los pacientes que usan este medicamento indicado mayormente para tratar problemas óseos relacionados con osteoporosis o neoplasias malignas. Su aparición y tratamiento puede ser complejo debido a que en ocasiones puede ser subdiagnosticado provocando un avance de la enfermedad; su tratamiento puede ir desde medios conservadores hasta procedimientos invasivos. En este artículo se presenta un caso clínico de una paciente con osteonecrosis por uso de denosumab posterior a extracción, la cual, a pesar de presentar exudado purulento y signos de infección, se trató y resolvió de manera conservadora a base de antibioticoterapia y clorhexidina para posteriormente retirar el secuestro óseo, resaltando la importancia de un seguimiento y apego oportuno para evitar procedimientos mórbidos.



ABREVIATURAS:

  • RANK-L = ligando de receptor activador para el factor nuclear κB (Receptor Activator for Nuclear Factor κB Ligand)
  • MRONJ = osteonecrosis de los maxilares relacionada con medicamentos (Medication-Related OsteoNecrosis of the Jaws)
  • INCan = Instituto Nacional de Cancerología



INTRODUCCIóN

Los antirresortivos son medicamentos indicados para la reducción de riesgo de complicaciones esqueléticas durante osteoporosis o enfermedades malignas.1 Inhiben la resorción ósea, siendo los bifosfonatos y el denosumab los más usados, con una farmacocinética y farmacodinamia marcadamente diferente.2 Los bifosfonatos se unen al tejido óseo y tienen una vida prolongada; cuando un osteoclasto ingiere la matriz ósea impregnado con el bifosfonato, aquel dejará de funcionar y se producirá apoptosis. Por otro lado, el denosumab tiene un efecto más corto uniéndose al receptor activador nuclear kappa ligando (RANK-L) e inhibiéndolo y provocando el cese de función de los osteoclastos.2

El denosumab es un anticuerpo monoclonal que inhibe RANK-L, aprobado por la Food and Drug Administration,3-5 el cual además impide la función y maduración de los precursores de los osteoclastos, evitando su activación y funcionamiento.6,7 Así mismo el denosumab impide la quimiotaxis de monocitos y macrófagos, afectando la respuesta inmune adecuada.6 Éste se administra de manera subcutánea 60 mg cada seis meses para tratamiento contra osteoporosis o 120 mg cada 3-4 semanas como tratamiento para neoplasias malignas.1,2,4,6,8-12 La vida media del denosumab es de 25-29 días, con una biodisponibilidad de 60-80% y una alta concentración en sangre entre 1-4 semanas posteriores a la administración;6,7,12,13 se estima que después de seis meses de la aplicación se reanuda un recambio óseo normal.8,9,14

Un efecto adverso de los antirresortivos, así como de otros medicamentos como antiangiogénicos, es la osteonecrosis de los maxilares, que es un proceso destructivo del hueso de naturaleza progresiva que puede generar gran morbilidad.4,9,10 Esta condición fue reportada por primera vez en 2003 por Marx, quien registró la aparición de la osteonecrosis de maxilares asociado a bifosfonatos; en 2007, la Asociación Americana de Cirujanos Orales y Maxilofaciales definió la osteonecrosis como una exposición de hueso mayor a ocho semanas; sin embargo, en el 2014 publicaron una actualización, modificando la nomenclatura a osteonecrosis de los maxilares relacionada con medicamentos (MRONJ), observando la relación con los demás medicamentos mediante una exposición ósea o por medio de una fístula durante al menos ocho semanas sin antecedentes de radioterapia y que esté tomando alguno de estos fármacos.6-8,10,11,13-16 Este efecto adverso se reportó por primera vez en el 2010 asociado al denosumab.7,13

En la mayoría de los casos, la osteonecrosis se produce posterior a algún traumatismo local, siendo las extracciones dentales el principal desencadenante;1,10,12,17 sin embargo, otros factores como enfermedad periodontal, prótesis bucal desajustada, mala higiene, periimplantitis, exostosis óseas o factores sistémicos como hipertensión y diabetes mellitus pueden desencadenarla.2,4,12,16,18

El propósito de este artículo es presentar un caso clínico de una mujer con osteonecrosis mandibular posterior a aplicación de denosumab, la cual fue tratada de manera conservadora sin complicaciones mediante un seguimiento adecuado.



CASO CLíNICO

Paciente femenino de 64 años de edad con diagnóstico diabetes mellitus tipo 2 controlada con metformina, quien acude al Instituto Nacional de Cancerología (INCan) en el 2003 por cáncer de mama izquierda, donde fue tratada con seis ciclos de quimioterapia y radioterapia, continuando en 2005 con tamoxifeno y seguimiento anual. En 2021 fue diagnosticada con osteopenia fuera del instituto y recibió dos aplicaciones trimestrales de 60 mg de denosumab.

En 2022 acude al Servicio de Odontología del INCan, refiriendo extracción del molar inferior izquierdo hace aproximadamente ocho meses fuera del INCan. A la exploración clínica se encontró enfermedad periodontal generalizada, así como secreción purulenta en zona izquierda de molares inferiores.

En la ortopantomografía se reveló una zona osteólisis de bordes irregulares, delimitada por un borde radiolúcido que denota presencia de secuestro óseo al mismo nivel de la secreción, sugerente de MRONJ (Figura 1).

Se inició tratamiento conservador con antibióticos de acuerdo al protocolo del servicio: amoxicilina-clavulánico vía oral 875/125 mg cada 12 horas por 15 días y enjuagues de clorhexidina al 0.12% tres veces/día por 30 días, así como la interrupción del denosumab.

La paciente acude a cita de control, refiriendo disminución de dolor; radiográficamente continúan signos de osteólisis (Figura 2). Se continúa tratamiento farmacológico y colutorios por cuatro semanas más.

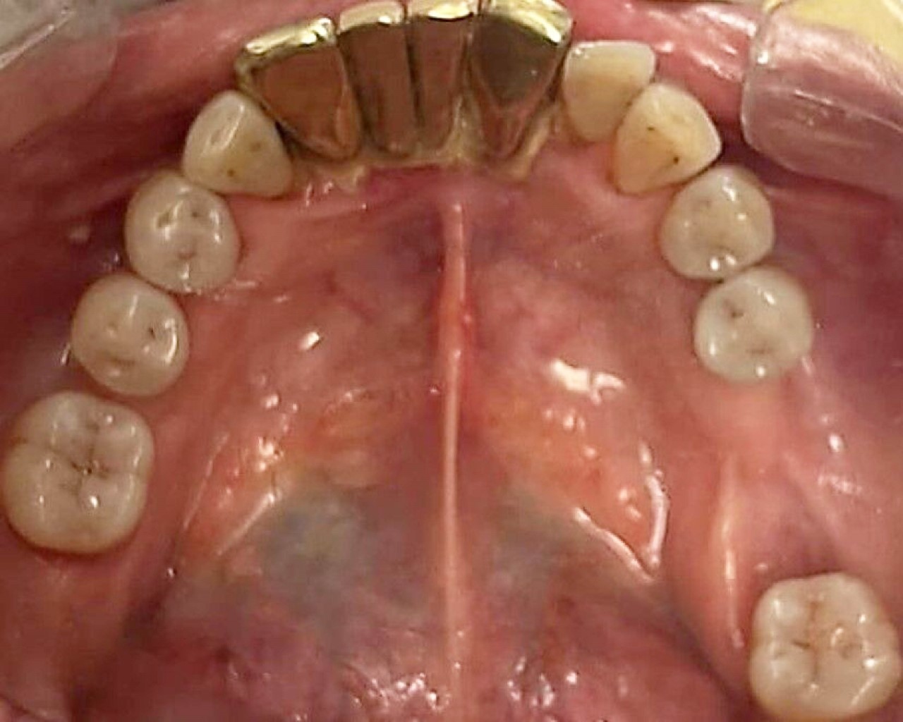
En mayo del 2024 el secuestro óseo se presentó como un fragmento móvil (Figura 3) y en las radiografías de control se evidenciaron signos sugerentes de aposición ósea por debajo del secuestro, por lo que, al presentarse asintomática la paciente, se decide realizar el retiro del secuestro óseo sin complicaciones, observando tejido blando bajo la zona correspondiente al secuestro óseo (Figuras 4 y 5).

Paciente acude a su cita de control 10 días después, asintomática y con un proceso de cicatrización consolidado (Figura 6); radiográficamente se observa adecuado trabeculado óseo, uniforme y con corticales continuas sin datos sugerentes de alteración (Figura 7).



DISCUSIóN

La MRONJ es una enfermedad multifactorial progresiva capaz de generar una morbilidad importante si no se trata a tiempo. Aquellos casos tratados con un enfoque invasivo pueden generar secuelas postquirúrgicas con gran impacto, tanto estético como funcional para el paciente.2

Por otra parte, la incidencia de osteonecrosis por denosumab se estima que aumenta conforme al tiempo; la literatura menciona una incidencia de 0.9% a los seis meses, 7% a los 12 meses, 10% a los 18 meses y 15% a los 24 meses, y desarrollándose hasta 7.7 veces más y de aparición más rápida en pacientes con uso de denosumab respecto a bifosfonatos.8-10,14 Zang refiere una incidencia de osteonecrosis relacionada con el uso de denosumab en pacientes con cáncer, representando 4.0%, 1.0%, y 5.0% en cáncer de mama, pulmón y próstata, respectivamente.4 Por otro lado, resulta en una mayor prevalencia el desarrollo de MRONJ relacionado con el uso de denosumab en el género femenino, debido a los padecimientos por los que son prescritos como osteoporosis o cáncer de mama.1,19 Okuma informa sobre una diferencia de riesgo a presentar osteonecrosis asociada al uso de denosumab en pacientes con osteoporosis con 0.1-0.03% versus pacientes oncológicos donde se ve aumentado a 1-3%, lo que aparentemente no representa una diferencia significativa en pacientes tratados con bifosfonatos.12 En nuestro caso, se reporta un paciente femenino de edad avanzada con antecedente de sufrir una neoplasia maligna compatible con la mayoría de la literatura; sin embargo, desafortunadamente, la MRONJ se desarrolló dentro de los primeros seis meses luego de dos aplicaciones de 60 mg, siendo, según la literatura, una posibilidad de 0.9%, lo cual creemos se relacionó con el resto de factores desencadenantes que pudo propiciar la aparición de ésta.

Otro aspecto a considerar para la prevención de MRONJ es el descanso farmacológico previo a procedimientos dentales de alto riesgo, ya que se ha visto que reducen el riesgo hasta en más de 75%.2

Dentro de los factores desencadenantes para el desarrollo de MRONJ, las extracciones dentales se consideran el principal factor, presentándose hasta en 73.3% de los casos; el riesgo de desarrollo aumenta 1.35 veces por cada órgano dental extraído.14

Sin embargo, hay otros factores de riesgo a tomar en cuenta tanto sistémicos como locales; distintos autores coinciden en que el uso de medicamentos como los antes mencionados tienen relación directamente proporcional en el desarrollo de osteonecrosis relacionados al tiempo y dosis de estos mismos; incluso hay autores que describen el cambio de bifosfonatos a denosumab como un factor importante para el desarrollo de la osteonecrosis, el cual se puede realizar por progresión de complicaciones esqueléticas o por enfermedad renal aguda; sin embargo, otros autores no han tenido resultados similares, afirmando que la transición por sí sola no suele ser un riesgo.3,8,19,20 Además, el uso concomitante de quimioterapia, terapia hormonal o uso de corticoides, elevan significativamente el riesgo de la aparición de MRONJ, ya que pueden generar un estado de inmunosupresión, alterando la inflamación local y favoreciendo las condiciones para el desarrollo de esta complicación.2 En este sentido, otros factores desencadenantes han sido descritos: edad avanzada, género femenino, diabetes mellitus, mal higiene dental, prótesis dentales mal ajustadas, tabaquismo, cáncer, diabetes, hipertensión, anemia, hipertiroidismo, hipotiroidismo, artritis reumatoide, hemodiálisis, enfermedad ósea de Paget, extracciones dentales, enfermedad periodontal, infecciones dentales, prótesis dentales mal ajustadas y periimplantitis.1,2,13,15,17,20,21 Nuestro caso concuerda con una pequeña parte de estos factores como lo es la edad avanzada, la extracción dental y antecedente de diabetes mellitus, los cuales son factores altamente asociados a MRONJ;17,21,22 sin embargo, los demás factores mencionados en la literatura no se reflejaron en este caso, en especial la dosis y el número de aplicaciones, por lo que, igual que otros autores, consideramos que seguirá siendo una ventana de estudio los factores determinantes para el desarrollo de esta complicación.

En la literatura está reportado que el uso de denosumab con dosis de 60 mg cada seis meses o 120 mg cada 3-4 semanas; este último usado en neoplasias malignas en las cuales parece tener mayor relación la aparición de esta complicación.1,2,4,6,8-12,19 En este caso la dosis fue menor a la normalmente indicada en situaciones de neoplasia, siendo sólo dos dosis de 60 mg cada tres meses cada una, con lo cual nuestro caso sugiere la osteonecrosis como una complicación indistinta de la dosis y el número de aplicaciones, compatible con los datos obtenidos por Miyoshi7 donde esta complicación se desarrolló de manera más común en pacientes con neoplasias malignas y una corta duración de administración de denosumab.

El diagnóstico de MRONJ se basa fundamentalmente en la historia clínica y las manifestaciones clínicas, pero es importante el apoyo imagenológico para determinar la localización y extensión.1 Dentro de los estudios de imagen, la tomografía computarizada suele dar información detallada y precisa; sin embargo, algunos estudios han demostrado que los signos imagenológicos pueden ser distintos en osteonecrosis por bifosfonatos o denosumab, siendo en el caso del denosumab algunos cambios sutiles que pueden llevar al subdiagnóstico y, por lo tanto, a un avance de la enfermedad.9 Los signos más comunes de la MRONJ son: esclerosis, engrosamiento de la lámina dura, prominencia del canal mandibular, fracturas patológicas, secuestros óseos, reacciones óseas subperiósticas, osteólisis, falla en la cicatrización ósea postextracción, fracturas mandibulares, burbujas de aire intraóseas;1,9,10 algunos autores describen que en la osteonecrosis por denosumab tiene una frecuencia del 70% menos respecto a la asociada a bifosfonatos de presentar secuestros óseos, posiblemente debido a que el denosumab es un inhibidor más potente de los osteoclastos, los cuales son responsables de la osteólisis y los secuestros óseos, pudiéndolo llevar a un subdiagnóstico ya que el secuestro óseo por sí solo marca los márgenes de hueso sano y la ausencia de este secuestro u osteólisis puede implicar de manera involuntaria una ausencia de enfermedad;9 sin embargo, nuestro caso sí presentó secuestro óseo aunque en un inicio la paciente acudió con exposición ósea y secreciones purulentas, lo que pudo ser resultado de una progresión de la enfermedad debido a un diagnóstico incorrecto en estadios tempranos hasta tener signos más evidentes. La literatura también describe las reacciones subperiósticas (93%) y osteólisis (76%) como signos frecuentes en la osteonecrosis asociada a denosumab,9 en nuestro caso la osteólisis sí fue valorable; sin embargo, la reacción subperióstica no lo fue.

Assili menciona diferencias clínicas y radiológicas entre osteonecrosis en casos con exposición ósea en comparación con aquellos que se presentan como fístula, dentro de la parte clínica menciona un bajo porcentaje del 11% en exudado purulento en su presentación expuesta en comparación con el 56% de la presentación en forma de fístula.10 En nuestro caso era una osteonecrosis expuesta con presencia de exudado purulento; sin embargo, consideramos que pudo haber sido subdiagnosticada y no tratada provocando una evolución desfavorable y presencia de exudado purulento, ya que una vez iniciado el tratamiento farmacológico no se obtuvo mayor gasto, por otro lado en su análisis radiográfico menciona sólo 21% de casos con presencia de secuestros óseos en su presentación expuesta, también señala que hasta en 45% de los casos la lesión puede ser menos extensa clínicamente que radiográficamente.10

Dentro de las características histopatológicas, se ha reportado que resultan ser un elemento para diferenciar entre una necrosis asociada a bifosfonatos o a denosumab, ya que se ha observado que en relación con los bifosfonatos se encuentran múltiples lagunas de resorción ósea en la superficie necrótica, lo que contrasta con lo observado en la osteonecrosis relacionada con denosumab, donde hay una cantidad significativamente menor de osteocitos13 con supresión más pronunciada de los osteoclastos.7

Otro hallazgo histológico reportado es la osteonecrosis, incluso antes de la extracción dental,17 por lo que en distintos casos pudiera que se haya desarrollado antes del procedimiento dental, siendo nuevamente subdiagnosticada de manera temprana.

El tratamiento antiinflamatorio se considera fundamental para prevenir eventos adversos como MRONJ.15 Se ha visto que la cicatrización postextracción se ve significativamente retrasada en aquellos pacientes a quienes se administró denosumab o con presencia de factores de riesgo sistémico, por lo que se recomienda un manejo institucional.

Las medidas preventivas de la osteonecrosis, sobre todo en pacientes con denosumab donde puede ser subdiagnosticada, incluyen exámenes bucales con toma de radiografía, una excelente higiene oral, tratamientos dentales oportunos y, en caso necesario, tener un excelente control de procesos infecciosos por medio de antibioticoterapia y colutorios a base de clorhexidina al 0.12%.3,15

La resolución en promedio puede ir desde 7.9 hasta 9.9 meses.20,21 Nuestro caso tuvo una mayor duración a la media descrita por Ikesue;21 sin embargo, no había datos de movilidad del secuestro óseo previamente, por lo que consideramos que de haber intervenido antes hubiera requerido de un procedimiento más invasivo que posiblemente llevaría a mayores complicaciones, consideramos que para un tratamiento conservador, más que el tiempo, es importante la clínica y la movilidad del segmento óseo.

Dentro del tratamiento es importante tener en cuenta que el mal pronóstico puede relacionarse con pacientes masculinos, jóvenes con exposición ósea mandibular sin datos de osteólisis y con signos de reacción perióstica.7 En aquellos casos relacionados con denosumab que ameritan resección quirúrgica, se han reportado altas tasas de éxito de hasta 80%;6 sin embargo, en nuestro caso no ameritaba dicho enfoque, presentado una mejor evolución con un enfoque conservador.

Afortunadamente, a pesar de la mayor incidencia de osteonecrosis en pacientes con denosumab que en pacientes con bifosfonatos, también tiene mayor tendencia a una resolución favorable,3,17 posiblemente por los efectos reversibles del denosumab, lo cual nos puede hacer pensar en un manejo conservador esperando su evolución como en el caso actual.

En conclusión, sabemos que la osteonecrosis por denosumab, a pesar de propiciar un efecto secundario no deseado, en la mayoría de los casos suele ser una condición manejable; sin embargo, es importante tener todas las precauciones previas y posteriores al inicio de la terapia con este medicamento, estando alerta a los signos clínico e imagenológicos sugerentes de enfermedad incluso desde las primeras dosis. La educación y el seguimiento son indispensables en el tratamiento, en caso de presentarse.


REFERENCIAS (EN ESTE ARTÍCULO)

  1. Tofé VI, Bagán L, Bagán JV. Osteonecrosis of the jaws associated with denosumab: Study of clinical and radiographic characteristics in a series of clinical cases. J Clin Exp Dent. 2020; 12 (7): e676-e681.

  2. Wick A, Bankosegger P, Otto S, Hohlweg-Majert B, Steiner T, Probst F, et al. Risk factors associated with onset of medication-related osteonecrosis of the jaw in patients treated with denosumab. Clin Oral Investig. 2022; 26 (3): 2839-2852.

  3. Limones A, Sáez-Alcaide LM, Díaz-Parreño SA, Helm A, Bornstein MM, Molinero-Mourelle P. Medication-related osteonecrosis of the jaws (MRONJ) in cancer patients treated with denosumab VS. zoledronic acid: A systematic review and meta-analysis. Med Oral Patol Oral Cir Bucal. 2020; 25 (3): e326-e336.

  4. Zhang C, Shen G, Li H, Xin Y, Shi M, Zheng Y, et al. Incidence rate of osteonecrosis of jaw after cancer treated with bisphosphonates and denosumab: A systematic review and meta-analysis. Spec Care Dentist. 2024; 44 (2): 530-541.

  5. Aoki K, Matsunaga S, Ito S, Shibahara T, Nomura T, Matsuzaki H, et al. Persistent bone resorption lacunae on necrotic bone distinguish bisphosphonate-related osteonecrosis of jaw from denosumab-related osteonecrosis. J Bone Miner Metab. 2021; 39 (5): 737-747.

  6. Palla B, Burian E, Deek A, Scott C, Anderson J, Callahan N, et al. Comparing the surgical response of bisphosphonate-related versus denosumab-related osteonecrosis of the jaws. J Oral Maxillofac Surg. 2021; 79 (5): 1045-1052.

  7. Miyoshi T, Otsuru M, Morishita K, Omori K, Miura KI, Hayashida S, et al. Differences between medication-related osteonecrosis of the jaw caused by bisphosphonates and denosumab: histological, molecular biological, and clinical studies. Cureus. 2024; 16 (6): e62855.

  8. Ehrenstein V, Heide-Jorgensen U, Schiodt M, Akre O, Herlofson BB, Hansen S, et al. Osteonecrosis of the jaw among patients with cancer treated with denosumab or zoledronic acid: Results of a regulator-mandated cohort postauthorization safety study in Denmark, Norway, and Sweden. Cancer. 2021; 127 (21): 4050-4058.

  9. Pichardo SEC, Broek FWT, Fiocco M, Appelman-Dijkstra NM, van Merkesteyn JPR. A comparison of the cone beam computed tomography findings in medication-related osteonecrosis of the jaws related to denosumab versus bisphosphonates: an observational pilot study. Oral Surg Oral Med Oral Pathol Oral Radiol. 2020; 129 (4): 411-417.

  10. Assili Z, Dolivet G, Salleron J, Griffaton-Tallandier C, Egloff-Juras C, Phulpin B. A comparison of the clinical and radiological extent of denosumab (Xgeva®) related osteonecrosis of the jaw: a retrospective study. J Clin Med. 2021; 10 (11): 2390.

  11. Kang JY, Kim SY, Lim JS, Kim JY, Jin GY, Lee YJ, et al. Denosumab-associated jaw bone necrosis in cancer patients: retrospective descriptive case series study. Maxillofac Plast Reconstr Surg. 2023; 45 (1): 23.

  12. Okuma S, Matsuda Y, Nariai Y, Karino M, Suzuki R, Kanno T. A retrospective observational study of risk factors for denosumab-related osteonecrosis of the jaw in patients with bone metastases from solid cancers. Cancers (Basel). 2020; 12 (5): 1209.

  13. Liu FC, Luk KC, Chen YC. Risk comparison of osteonecrosis of the jaw in osteoporotic patients treated with bisphosphonates vs. denosumab: a multi-institutional retrospective cohort study in Taiwan. Osteoporos Int. 2023; 34 (10): 1729-1737.

  14. Colella A, Yu E, Sambrook P, Hughes T, Goss A. What is the risk of developing osteonecrosis following dental extractions for patients on denosumab for osteoporosis? J Oral Maxillofac Surg. 2023; 81 (2): 232-237.

  15. Komatsu Y, Kawai T, Hirano T, Hoshi I, Yamaya G, Ogawa A, et al. Risk factors of medication-related osteonecrosis of the jaw: A clinical investigation. J Stomatol Oral Maxillofac Surg. 2024; 125 (6): 101791.

  16. Jung S, Kim J, Park JH, Kim KY, Kim HJ, Park W. A 5-year retrospective cohort study of denosumab induced medication related osteonecrosis of the jaw in osteoporosis patients. Sci Rep. 2022; 12 (1): 8641.

  17. Ikesue H, Doi K, Morimoto M, Hirabatake M, Muroi N, Yamamoto S, et al. Risk evaluation of denosumab and zoledronic acid for medication-related osteonecrosis of the jaw in patients with bone metastases: a propensity score-matched analysis. Support Care Cancer. 2022; 30 (3): 2341-2348.

  18. Everts-Graber J, Lehmann D, Burkard JP, Schaller B, Gahl B, Hauselmann H, et al. Risk of osteonecrosis of the jaw under denosumab compared to bisphosphonates in patients with osteoporosis. J Bone Miner Res. 2022; 37 (2): 340-348.

  19. Ikesue H, Doi K, Morimoto M, Hirabatake M, Muroi N, Yamamoto S, et al. Switching from zoledronic acid to denosumab increases the risk for developing medication-related osteonecrosis of the jaw in patients with bone metastases. Cancer Chemother Pharmacol. 2021; 87 (6): 871-877.

  20. Fu PA, Shen CY, Yang SR, Lee CH, Chen HW, Lai EC, et al. Long-term use of denosumab and its association with skeletal-related events and osteonecrosis of the jaw. Sci Rep. 2023; 13 (1): 8403.

  21. Ikesue H, Mouri M, Tomita H, Hirabatake M, Ikemura M, Muroi N, et al. Associated characteristics and treatment outcomes of medication-related osteonecrosis of the jaw in patients receiving denosumab or zoledronic acid for bone metastases. Support Care Cancer. 2021; 29 (8): 4763-4772.

  22. Bracchi P, Zecca E, Brunelli C, Miceli R, Tine G, Maniezzo M, et al. A real-world study on the prevalence and risk factors of medication related osteonecrosis of the jaw in cancer patients with bone metastases treated with denosumab. Cancer Med. 2023; 12 (17): 18317-18326.



AFILIACIONES

1 Departamento de Cirugía Oral y Maxilofacial de la División de Estudios de Postgrado e Investigación en la Universidad Nacional Autónoma de México. México.

2 Departamento de Tumores de Cabeza y Cuello. Cirujano Dentista Especialista en Estomatología Pediátrica adscrito al Instituto Nacional de Cancerología de México. México.



CORRESPONDENCIA

Gladys Reyes-Torres. E-mail: gladysr.torres6@gmail.com




Recibido: 01/12/2024. Aceptado: 18/12/2024

Figura 1
Figura 2
Figura 3
Figura 4
Figura 5
Figura 6
Figura 7

2020     |     www.medigraphic.com

Mi perfil

C?MO CITAR (Vancouver)

Lat Am J Oral Maxillofac Surg. 2024;4

ARTíCULOS SIMILARES

CARGANDO ...