medigraphic.com
ENGLISH

Latin American Journal of Oral and Maxillofacial Surgery

ISSN 2992-7757 (Digital)
Órgano de difusión de la Asociación Latinoamericana de Cirugía y Traumatología Bucomaxilofacial (ALACIBU)
  • Mostrar índice
  • Números disponibles
  • Información
    • Información general        
    • Directorio
  • Publicar
    • Instrucciones para autores        
  • medigraphic.com
    • Inicio
    • Índice de revistas            
    • Registro / Acceso
  • Mi perfil

2024, Número 4

<< Anterior Siguiente >>

Lat Am J Oral Maxillofac Surg 2024; 4 (4)


Nasoangiofibroma bajo maxilectomía parcial endoscópica

Cuen Lara, Ernesto1,2,3; Rivera Espinosa de los Monteros, Natalia1,4; Chavolla Magaña, Rogelio1,4; Lule González, María Corina1,4; Sánchez Correa, Valeria Rebeca1,5; Balderas Toribio, José Enrique1,6
Texto completo Cómo citar este artículo 10.35366/119509

DOI

DOI: 10.35366/119509
URL: https://dx.doi.org/10.35366/119509
Artículos similares

Idioma: Español
Referencias bibliográficas: 17
Paginas: 150-155
Archivo PDF: 352.64 Kb.


PALABRAS CLAVE

nasoangiofibroma, embolización, abordaje, endoscopía, quirófano híbrido.

RESUMEN

El nasoangiofibroma es un tumor benigno que puede ser altamente agresivo de forma local, debido a que suele ser asintomático puede detectarse cuando ya posee tamaño considerable; es por ello que la detección por medio de una correlación clínica e imagenológica es esencial. Su manejo quirúrgico tiene diversas técnicas documentadas, las cuales pueden generar morbilidad importante al paciente. En este artículo se presenta un caso clínico de un paciente con diagnóstico de nasoangiofibroma el cual es tratado de manera quirúrgica con maxilectomía parcial endoscópica posterior a embolización, logrando la extracción del tumor sin complicaciones y sin necesidad de transfusión



ABREVIATURAS:

  • RM = resonancia magnética.
  • TC = tomografía computarizada.



INTRODUCCIóN

Descrito por Hipócrates, pero nombrado nasoangiofibroma en 1940 por Friedberg,1 es un tumor benigno vascularizado a modo de una masa lobulada, gomosa de color rosa-gris la cual proviene de un pedúnculo. A pesar de su condición benigna, suele ser agresivo localmente y con tasas elevadas de recurrencia.1-5

El nasoangiofibroma es de etiología desconocida y comprende del 0.05 al 0.5% de los tumores de cabeza y cuello. Afecta principalmente a varones con tasa de 1 en 150,000;2-4,6-9 la predilección al sexo masculino pudiera estar relacionado con receptores de andrógenos en la tumoración.1,2

Histológicamente se observa tejido vascular revestido por sólo una capa de células endoteliales, haciéndolo propenso a eventos hemorrágicos.2,5,10

Se origina adyacente o sobre el agujero esfenopalatino6,8,11-14 y se puede extender por medio de la submucosa2,5 hacia nasofaringe, cavidad nasal, senos paranasales, fosa infratemporal, fosa pterigomaxilar, orbita1,2,6,15 e incluso tener extensión intracraneal en 10-36% de los casos.5-7,16

Los síntomas más comunes comprenden obstrucción nasal (91%) y epistaxis (63%);6 sin embargo, puede presentarse anemia, dolor, anosmia, pérdida de la audición por bloqueo de la trompa de Eustaquio, otitis media, rinolalia, diplopía o proptosis por invasión a orbita e incluso alteraciones en la simetría facial.1,2,14,15

Para su diagnóstico, las biopsias son evitadas por riesgo de hemorragia;2,5 por el contrario, es necesario complementar la clínica con estudios de imagen como la resonancia magnética (RM) y la tomografía computarizada (TC). El signo patognomónico (Holman-Miller) en TC se observa en el 87% de los casos, el cual es un desplazamiento hacia anterior de la pared posterior del seno maxilar;2,5,15 otro hallazgo es el signo de Ramharan que es la unión de las láminas pterigoideas medial y lateral.2 Con estudios de imagen se puede estadificar el tumor según diversas escalas como Radkowski (1996), FishAndrew (1983), Chandler (1984), Sessions (1981), Snyderman (2010)1 e incluso una estadificación por el Centro Médico de la Universidad de Pittsburg, el cual tiene en cuenta la vascularidad del tumor para predecir el sangrado.5

El propósito de este artículo es presentar un caso clínico del manejo de nasoangiofibroma previamente embolizado bajo un acceso endoscópico con maxilectomía parcial preservando estructuras faciales atendido en el Hospital General de México "Dr. Eduardo Liceaga".



CASO CLíNICO

Se trata de masculino de 16 años que acude al Hospital General de México "Dr. Eduardo Liceaga" al Servicio de Otorrinolaringología y Cirugía de Cabeza y Cuello por presentar eventos de epistaxis, obstrucción nasal, rinorrea, rinolalia, hiposmia y disminución de la agudeza visual del lado izquierdo con ocho meses de evolución, sin asimetría facial (Figura 1).

A exploración física, en fosa nasal izquierda en área IV de Cottle, se observa una lesión de bordes regulares de coloración violácea, no friable, blanda, que no permite valorar estructuras posteriores; en la rinoscopia posterior se observa lesión de características iguales que desciende de la nasofaringe izquierda hacia orofaringe (Figura 2).

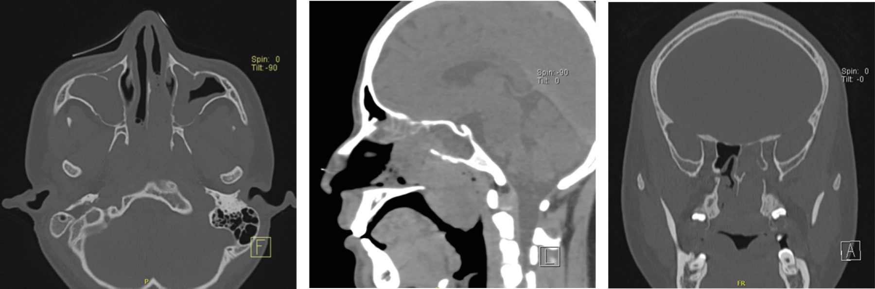
En TC se observa lesión isodensa con respecto al músculo que realza de manera heterogénea al medio de contraste; ocupa fosa pterigopalatina izquierda y desciende hacia nasofaringe, abarca el 100% de la luz de coana izquierda, extendiéndose hacia el área IV de Cottle con erosión del seno esfenoidal; también se observa extensión de dicha lesión a orofaringe, la cual condiciona desplazamiento del paladar blando (Figura 3).

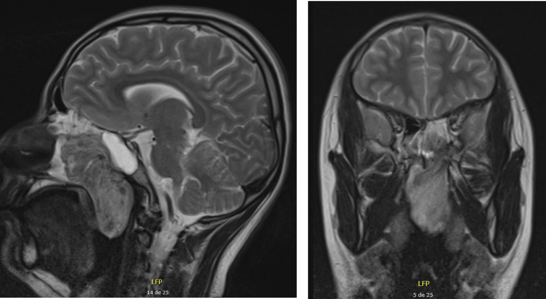
En RM se identifica lesión a nivel de la fosa pterigopalatina izquierda con extensión antrocoanal, es de aspecto sólido, muestra realce ávido y homogéneo tras la administración del medio de contraste, tiene dimensiones aproximadas de 6.3 × 2.8 × 2.8 cm en sus ejes mayores. La lesión encasilla a los cornetes superior, medio e inferior izquierdo, erosiona la pared anterior del seno esfenoidal izquierdo en donde se evidencia un pequeño componente tumoral, así como extensión a la nasofaringe; se observa aporte arterial de la arteria maxilar izquierdo hacia anterior (Figura 4).

Se emite diagnóstico de nasoangiofibroma Chandler III/FishAndrew II/Radowski IIA. Se realizan estudios de laboratorio preoperatorios con tiempos de coagulación, química sanguínea y biometría hemática con calores dentro de parámetros normales.

Veinticuatro horas antes, el paciente es llevado a embolización de nasoangiofibroma, accediendo por medio de la arteria femoral común derecha y se observa una irrigación al nasoangiofibroma por parte de la maxilar interna izquierda del 95%, la cual es embolizada con 1 mL de Gelfoam/Lipiodol/esclerol (Figura 5).

La cirugía es realizada con el paciente bajo anestesia general balanceada. Mediante endoscopia, se aborda el septum y lamina perpendicular del etmoides, se retira la unión condroetmoidal y se fractura la pared medial de la fosa nasal para lograr desplazar el tabique nasal hacia el lado derecho.

Se extirpa parcialmente el cornete inferior y medio; se diseca la pared lateral de la cavidad nasal izquierda y se efectúa una maxilectomía parcial con motor eléctrico y fresa de diamante, eliminando la pared medial y posterior del seno maxilar (Figuras 6 y 7).

La disección del tumor se realizó de manera centrípeta, dirigiéndolo hacia cavidad oral en la cual se termina disecando y extrayendo el tumor por medio de la cavidad oral al exponerlo a la orofaringe. El tumor es enviado a estudio histopatológico (Figuras 8 y 9).

Se realiza hemostasia con Tissel, Gelfoam, sobre seno esfenoidal, taponamiento nasal con serpentinas y uso de electrobisturí en orofaringe y se hace uso de dos frascos de albúmina.

Se reporta un tiempo quirúrgico de 180 minutos, con 1,200 mL de sangrado. El paciente sale de quirófano hibrido sin complicaciones ni transfusiones.



DISCUSIóN

Para el diagnóstico del nasoangiofibroma se deben considerar entidades como los pólipos nasales, pólipos de Killian, teratomas, quiste dermoide, carcinoma epidermoide.14 Sin embargo, hay que ser capaz de poder diferenciarlos sin necesidad de una biopsia para evitar una hemorragia,2,5 para ello la correlación de la clínica con los estudios de imagen; en este caso, la correlación se basó en los signos que presentaba el paciente a pesar de no detectar en la TC el signo patognomónico de Holman-Miller.

Para los nasoangiofibroma, la literatura indica el tratamiento quirúrgico como el ideal, resecando el tumor por completo, preservando estructuras neurovasculares, teniendo mínima morbilidad y evitando tratamientos secundarios;5,17 para esto hay distintas técnicas quirúrgicas algunas pueden generar mayor exposición, pero llevar una morbilidad operatoria considerable.15 La elección del abordaje será según la extensión de la lesión y experiencia del cirujano,4 por eso es necesario determinar la extensión del tumor para una correcta planificación.15

El abordaje transpalatino se realiza con una incisión en forma de U sobre el paladar y se extrae el paladar duro; sin embargo, genera una comunicación directa entre cavidad nasal y oral, este abordaje proporciona acceso a nasofaringe, región nasal, seno esfenoidal.1,13

Los abordajes transantrales se realizan bajo un acceso endoscópico o tipo Cadwell-Luc para tumores pequeños cercanos a la zona anatómica del seno maxilar, fosa pterigopalatina y fosa infratemporal.1,10

Los abordajes transfaciales son variados, rinotomías laterales, incisiones tipo Weber Ferguson, Le Fort I, degloving o rotaciones de maxilares acompañados algunos de maxilectomías. Éstos son capaces de proporcionar una excelente visión directa; sin embargo, son propensos a generar cicatrices, alterar la oclusión o el crecimiento facial, así como requerir material extra, por ejemplo cinceles o sierras para osteotomías y material de osteosíntesis.1,6 En la literatura, una de las complicaciones de los accesos transmaxilares es la necrosis maxilar por la mala vascularidad, en donde se ha visto que una elevación excesiva del colgajo puede generar cierta avascularidad; dicha complicación se puede presentar en 21.4% de los casos, esto puede disminuirse con una disección conservadora justo hasta el nivel donde se realizarán las osteotomías. Estos abordajes dan acceso a nasofaringe, cavidad nasal, senos paranasales, orofaringe, etmoides, esfenoides, fosa infratemporal y fosa pterigomaxilar.11,13

El acceso infratemporal nos da buena visión hacia la fosa infratemporal, espacio parafaríngeo, fosa pterigopalatina, esfenoides y acceso intracraneal; sin embargo, puede dañar estructuras como la articulación temporomandibular (ATM) y pares craneales como el V y VII.1,10

La cirugía endoscópica evita incisiones faciales mórbidas.15 Actualmente es la técnica más usada, dando acceso a nasofaringe, orofaringe, etmoides, esfenoides, fosa pterigopalatina, fosa infratemporal;13 sin embargo, requiere de experiencia y habilidad.1 Dentro de las ventajas de la cirugía endoscópica están preservación de la anatomía, menor tiempo de hospitalización y menor pérdida de sangre.2,9 Otros autores aseguran que la desventaja principal es que se requiere ausencia de sangre en el campo quirúrgico.3,4

Para nuestro caso, al ser un nasoangiofibroma Chandler III/FishAndrew II/Radowski IIA, se optó por una maxilectomía parcial endoscópica, extirpando una porción del cornete inferior y medio para lograr mayor espacio en la manipulación del tumor, con lo cual se pudo acceder completamente a las zonas anatómicas involucradas sin la necesidad de un abordaje abierto que comprometiera la estética y función facial.

Además del tratamiento quirúrgico, algunos autores mencionan como opciones la radioterapia entre 3,000 y 5,000 cGy2 como un coadyuvante o como terapia definitiva cuando el tumor no es resecable; sin embargo, los efectos secundarios de la radioterapia y la posibilidad de cambios malignos, suelen limitar su utilidad. Otros tratamientos alternativos son la quimioterapia, así como las terapias hormonales a base de flutamida 500 mg/día por seis semanas bajo la teoría de que el nasoangiofibroma tiene relación con los receptores de andrógenos, con lo cual se ha observado en estudios hasta una disminución del 29% en el tamaño de la tumoración;1,2,7 sin embargo, hay que corroborar si el uso de terapias hormonales no afecta a pacientes jóvenes en desarrollo.

Debido a su recurrencia, para su seguimiento, algunos autores recomiendan la TC o RM dentro de las primeras 36 horas postoperatorias; pero otros autores recomiendan los primeros estudios de imagen dentro de los primeros tres meses y posteriormente cada seis meses durante cinco años, ya que las recidivas suelen ser dentro de los primeros 6-36 meses.2,5

Un método usado para reducir el sangrado es la embolización, aunque algunos autores no recurren a este procedimiento en nasoangiofibroma Grado 1-II de FishAndrew;6 sin embargo, es más común que se realice 24-48 horas antes de la cirugía,1,2,5,7,9,13-15,17 algunos incluso lo hacen hasta 5-7 días previos a la cirugía, considerando que el tumor se vuelve más fibroso con zonas de necrosis.1,3,6 Se estima que con la embolización se reduzca el sangrado hasta un 63% y se pueden usar diversos materiales como alcohol polivinílico, microesferas, Onyx, gelfoam, entre otros.2,7 En nuestro caso, optamos por una embolización de la arteria maxilar interna izquierda 24 horas antes de la cirugía con 1 mL de Gelfoam/Lipiodol/esclerol. Para aquellos tumores nutridos por la carótida interna en un 36%9 no se recomienda la embolización por las elevadas posibilidades de complicaciones, donde la más importante es la migración de un embolo, que se puede producir en un 17-25%,4,17 generando accidente cerebrovascular, ceguera o parálisis.5,8



CONCLUSIONES

El nasoangiofibroma es un tumor benigno que puede llegar a grandes complicaciones sin un manejo adecuado. Consideramos que la embolización es esencial para el manejo de estas patologías, así como un acto quirúrgico con la menor morbilidad posible, para ello es necesario contar con el equipo médico capacitado y la infraestructura adecuada.


REFERENCIAS (EN ESTE ARTÍCULO)

  1. De Mello-Filho FV, Araujo FC, Marques Netto PB, Pereira-Filho FJ, de Toledo-Filho RC, Faria AC. Resection of a juvenile nasoangiofibroma by Le Fort I osteotomy: Experience with 40 cases. J Craniomaxillofac Surg. 2015; 43 (8): 1501-1504.

  2. Uetz S, Crosby DL. Current management of juvenile nasopharyngeal angiofibroma. Vol. 7, Current Treatment Options in Allergy. Springer Nature; 2020. pp. 335-346.

  3. Ferreira LM de BM, Gomes ÉF, Azevedo JF, Souza JRF, Araújo R de P, Rios AS do N. Resseccao endoscópica de nasoangiofibroma. Rev Bras Otorrinolaringol. 2006; 72 (4): 475-480.

  4. Felippu AWD, Fontes EB, Felippu AWD, Ellery BC, Oliveira ACS de, Guimarães AV, et al. Juvenile nasopharyngeal angiofibroma: a series of 96 surgical cases. Int Arch Otorhinolaryngol. 2024; 28 (03): e432-439.

  5. Wilson MN, Nuss DW, Zacharia BE, Snyderman CH. Surgical management of juvenile nasopharyngeal angiofibroma. Operative Techniques in Otolaryngology-Head and Neck Surgery. 2019; 30 (1): 22-29.

  6. Oré Acevedo JF, La Torre Caballero LM, Urteaga Quiroga RJ. Juvenile nasopharyngeal angiofibroma surgical treatment in paediatric patients. Acta Otorrinolaringol Esp. 2019; 70 (5): 279-285.

  7. Chaudhary N, Jaitly S, Verma RK, Gupta S. The maxillary swing: an efficacious approach to surgical management of advanced stage juvenile nasopharyngeal angiofibroma. Indian J Otolaryngol Head Neck Surg. 2022; 74: 1496-1501.

  8. Diaz A, Wang E, Bujnowski D, Arimoto R, Armstrong M, Cyberski T, et al. Embolization in juvenile nasopharyngeal angiofibroma surgery: a systematic review and meta-analysis. Laryngoscope. 2023; 133: 1529-1539.

  9. Cohen-Cohen S, Scheitler KM, Choby G, Janus J, Moore EJ, Kasperbauer JL, Cloft HJ, Link M, Gompel JJV. Contemporary surgical management of juvenile nasopharyngeal angiofibroma. J Neurol Surg B Skull Base. 2021; 83 (Suppl 2): e266-e273.

  10. Pool C, Wilson M. Endoscopic resection of juvenile nasopharyngeal angiofibromas. Operative Techniques in Otolaryngology-Head and Neck Surgery. 2021; 32 (1): 20-25.

  11. Bhardwaj A, Priya M, Malhotra M, Varshney S, Tyagi AK, Singh A. Novel modifications to total maxillary swing approach in extensive nasopharyngeal angiofibroma to minimize complications. Indian J Otolaryngol Head Neck Surg. 2022; 74 (Suppl 2): 1120-1127.

  12. Marshall C, Agosti E, Peris-Celda M, Pinheiro-Neto CD. Combined endoscopic endonasal and sublabial transmaxillary approaches for resection of intracranially extended juvenile nasopharyngeal angiofibroma. Acta Neurochir (Wien). 2023; 165 (7): 1773-1780.

  13. Vlaescu AN, Ionita E, Ciolofan MS, Mogoanta CA, Voiosu C, Rusescu A, Hainarosie R. Current approach of juvenile nasopharyngeal angiofibroma: a case series. Rom J Morphol Embryol. 2022; 63 (1): 105-111.

  14. Crisol-Deza DA, Bendezú-Huasasquiche LE. Angiofibroma nasofaríngeo juvenil. Rev Mex Pediatr. 2022; 89(2): 63-67.

  15. Alam S, Chaurasia B, Farazi MA, Ferini G, Obaida ASMA, Islam A, et al. Extended endonasal endoscopic (EEE) surgery with almost no use of adjuvant radiotherapy for juvenile nasopharyngeal angiofibroma (JNA). Medicina (Kaunas). 2023; 59 (9): 1620.

  16. Mathur NN, Vashishth A. Extensive nasopharyngeal angiofibromas: the maxillary swing approach. Eur Arch Otorhinolaryngol. 2014; 271 (11): 3035-3040.

  17. Cabrera M, Lule M, Molina F, Jerez J, Naranjo J, Moises J, et al. View of Hybrid operating room for the multidisciplinary treatment of a juvenile nasoangiofibroma at the "Dr. Eduardo Liceaga" general hospital of Mexico: case report and literature review. Int J Otorhinolaryngol Head Neck Surg. 2024; 10 (5): 552-557.



AFILIACIONES

1 Hospital General de México "Dr. Eduardo Liceaga".

2 División de Estudios de Postgrado e Investigación en la Universidad Nacional Autónoma de México.

3 Residente de segundo año de la Especialidad en Cirugía Oral y Maxilofacial.

4 Departamento de Otorrinolaringología y Cirugía de Cabeza y Cuello.

5 Residente de tercer año de la Especialidad en Otorrinolaringología y Cirugía de Cabeza y Cuello.

6 Residente de segundo año de la Especialidad en Otorrinolaringología y Cirugía de Cabeza y Cuello.



CORRESPONDENCIA

Ernesto Cuen-Lara. E-mail: cuen4836@hotmail.com




Recibido: 10/11/2024. Aceptado: 27/11/2024.

Figura 1
Figura 2
Figura 3
Figura 4
Figura 5
Figura 6
Figura 7
Figura 8
Figura 9

2020     |     www.medigraphic.com

Mi perfil

C?MO CITAR (Vancouver)

Lat Am J Oral Maxillofac Surg. 2024;4

ARTíCULOS SIMILARES

CARGANDO ...