medigraphic.com
ENGLISH

Latin American Journal of Oral and Maxillofacial Surgery

ISSN 2992-7757 (Digital)
Órgano de difusión de la Asociación Latinoamericana de Cirugía y Traumatología Bucomaxilofacial (ALACIBU)
  • Mostrar índice
  • Números disponibles
  • Información
    • Información general        
    • Directorio
  • Publicar
    • Instrucciones para autores        
  • medigraphic.com
    • Inicio
    • Índice de revistas            
    • Registro / Acceso
  • Mi perfil

2024, Número 4

<< Anterior Siguiente >>

Lat Am J Oral Maxillofac Surg 2024; 4 (4)


Síndrome de envejecimiento orofacial prematuro (SEOP): estrategias de diagnóstico y tratamiento

Venturelli, Alfonso1; Vera Castillo, Oscar2; Fonseca Díaz, Mauricio3; Venturelli, Alejandro4; Peñate, Javier5; Damián Monsalvo, Andrés6
Texto completo Cómo citar este artículo 10.35366/119510

DOI

DOI: 10.35366/119510
URL: https://dx.doi.org/10.35366/119510
Artículos similares

Idioma: Español
Referencias bibliográficas: 21
Paginas: 156-166
Archivo PDF: 689.97 Kb.


PALABRAS CLAVE

edentulismo, atrofia maxilar, comorbilidades del desdentado, avance maxilar, implantes cigomáticos, ritidectomía, rinoplastia.

RESUMEN

La pérdida completa de los dientes, conocida como edentulismo total, provoca una transformación significativa en la región orofacial de los pacientes, induciendo la reabsorción y atrofia de los maxilares. Estos cambios no sólo afectan la función masticatoria, sino que también generan una serie de alteraciones funcionales y estéticas, tales como disfagia, dislalia, trastornos respiratorios, apneas y modificaciones en la morfología facial. En respuesta a esta compleja interacción de signos y síntomas, se introduce el concepto del síndrome de envejecimiento orofacial prematuro (SEOP). Este síndrome agrupa diversos aspectos físicos, funcionales, estéticos y psicoemocionales asociados con la pérdida dentaria total combinada con otras patologías. Este artículo revisa exhaustivamente el SEOP, abordando su definición, etiología y manifestaciones clínicas. Se destaca la importancia de comprender las repercusiones del SEOP en la calidad de vida, abordando tanto problemas estéticos como psicosociales. Se discuten enfoques terapéuticos que combinan técnicas de avance maxilar y colocación de implantes dentales sin injertos óseos, junto con procedimientos estéticos como ritidectomía y rinoplastia. Un estudio retrospectivo de seis pacientes con un seguimiento promedio de 56.5 meses muestra resultados prometedores, alta supervivencia de los implantes y satisfacción de los pacientes, mejorando notablemente su autoestima. Los tratamientos propuestos ofrecen una alternativa viable para mejorar la función del sistema estomatognático y la calidad de vida de los pacientes con SEOP, abordando de manera efectiva tanto las necesidades estéticas como funcionales. Este artículo subraya la importancia de que los profesionales de la salud reconozcan el síndrome y la necesidad de abordarlo como un tema de interés en salud pública, promoviendo una atención integral e interdisciplinaria.



ABREVIATURAS:

  • CAD/CAM = computer-aided design/computer-aided manufacture (diseño asistido por ordenador/ fabricación asistida por ordenador)
  • OMS = Organización Mundial de la Salud
  • SAHOS = síndrome de apnea e hipopnea obstructiva del sueño
  • SEOP = síndrome de envejecimiento orofacial prematuro
  • VAS = vías aéreas superiores



INTRODUCCIóN

El paciente con edentulismo total de larga data desarrolla una predisposición a la reabsorción ósea de sus maxilares, promoviendo la atrofia de éstos y desencadenando transformaciones significativas en el área bucal y maxilofacial. Estos cambios pueden resultar en un alargamiento del rostro y un hundimiento del tercio medio facial, acompañado de la flacidez de los tejidos blandos.1 Este proceso altera profundamente la apariencia facial y acelera el envejecimiento visual.2 Las causas del edentulismo temprano son diversas y multifactoriales. Incluyen extracciones dentales prematuras, enfermedades periodontales, infecciones locales y traumas. Además, el uso prolongado de dentaduras mal adaptadas es un factor predisponente a la reabsorción ósea.3 En individuos de edad avanzada, la falta de estímulo muscular y la reducción del flujo sanguíneo exacerban la atrofia ósea, promoviendo una resorción ya sea por desuso como por el uso de prótesis mal adaptadas. La prevalencia del edentulismo en personas mayores de 60 años sigue siendo alta, alrededor de 23%, a pesar de los avances en el cuidado oral y la educación (OMS). Existe una correlación directa entre el nivel socioeconómico y la prevalencia del edentulismo, lo cual es particularmente relevante en la región latinoamericana.4 Anatómicamente, la atrofia severa de los maxilares se traduce en una alteración del perfil facial, adoptando una apariencia de clase III esquelética, con una notable reducción en la altura facial anterior. Se pueden evidenciar arrugas periorales más pronunciadas y adelgazamiento de los labios y flacidez en los tegumentos faciales.5 El maxilar atrófico severo determina un límite tridimensional, especialmente si se asocia con defectos óseos sagitales y verticales debido al patrón de reabsorción del edentulismo maxilar prolongado.6 Estos cambios, junto con la disminución de la dimensión vertical y el tono muscular orofacial disminuido, pueden provocar una rotación antihoraria del complejo maxilomandibular, retroposición y ensanchamiento basal de la lengua que favorece a una disminución volumétrica de las vías aéreas superiores (VAS). Esto subraya la importancia de considerar al edentulismo total con atrofia severa de los maxilares como un factor de riesgo para el síndrome de apnea e hipopnea obstructiva del sueño (SAHOS) (Figura 1).7

A nivel funcional, el edentulismo afecta de manera evidente la eficacia masticatoria, se observa un deterioro en la función motora oral en personas mayores, posiblemente relacionado con cambios en la masa muscular.8 Además, la inestabilidad de las prótesis completas mucosoportadas puede complicar la pronunciación, por ende, la comunicación y otras funciones básicas como la deglución y la respiración, pudiendo desencadenar una cascada de complicaciones adicionales como problemas nutricionales, digestivos y respiratorios, incluyendo ronquidos y apnea del sueño.7 La deformidad que se produce por las alteraciones de la arquitectura ósea conlleva a una pérdida de la armonía facial y por ende una disminución en la autoestima del individuo que a menudo lo aísla socialmente.9 Algunos de los precursores de la cirugía ortognática moderna como Hugo Lorenz Obwegeser10 y William Bell para la movilización de la maxila11 han propuesto técnicas seguras que han sido también adaptadas para la incorporación de injertos óseos para colocar implantes dentales, ampliando las posibilidades de restauración maxilar de especial consideración para los pacientes desdentados.12 La literatura reporta estudios iniciales para combinar esta técnica con la rehabilitación bucomaxilar simultánea. Algunos estudios fueron descritos con injertos óseos y colocación de implantes dentales, reportando un bajo porcentaje de fracasos.13,14 El uso de implantes cigomáticos para la rehabilitación de maxilares con atrofia severa está bien estudiado en la literatura, con pocas complicaciones asociadas a la terapéutica.15 Hernández-Alfaro, y colaboradores,16 publicaron una prueba de concepto específica para pacientes con atrofia severa del maxilar y rehabilitación simultánea con implantes cigomáticos, evidenciando la importancia de esta técnica para el tratamiento del paciente desdentado total sin necesidad de injertos óseos que aumenten la morbilidad de la cirugía. Otro factor innovador fue el de cargar inmediatamente los implantes dentales tras la osteotomía agilizando la recuperación sin comprometer la estabilidad o la salud de los implantes. La tecnología computer-aided design/computer-aided manufacture (diseño asistido por ordenador/fabricación asistida por ordenador) (CAD/CAM) ha transformado aún más la práctica, al proporcionar una planificación quirúrgica personalizada de alta precisión, lo que reduce los tiempos quirúrgicos y maximiza la eficiencia del proceso de reconstrucción.17

Cabe mencionar que la osteotomía Le Fort I es capaz de aumentar el volumen de las vías aéreas superiores (VAS) hasta en 20%.18 Procedimientos para tratar la laxitud de los tejidos faciales ocasionada por la edad, así como la pérdida prematura de la dentición, tales como la ritidectomía han sido discutidos en profundidad, con una tasa de éxito amplia y complicaciones bajas según diferentes autores.19

Existe una clara relación entre la hipoplasia maxilar y su relación con la nariz. Varios autores sostienen que la hipoplasia de la premaxila afecta negativamente la proyección de la punta nasal y el soporte de la columela en la espina nasal anterior, causando un ensanchamiento de la base nasal y una rotación o depresión de la punta, lo que conlleva un cambio estético y funcional considerable.20 Es importante destacar que la rinoplastia se ha convertido en un procedimiento adjunto y/o complementario de la cirugía ortognática, y, según el criterio del operador, puede ser realizada en simultáneo con la corrección de la orientación del complejo maxilomandibular.21 En este estudio se exploran estrategias terapéuticas avanzadas que incluyen la osteotomía Le Fort I para el avance maxilar, la colocación de implantes dentales y cigomáticos sin injertos óseos y procedimientos estéticos como la ritidectomía y la rinoplastia. Estos tratamientos buscan no sólo restaurar la función masticatoria, sino también mejorar la estética facial y, en última instancia, la calidad de vida de los pacientes con SEOP (Figura 2).



MATERIAL Y MéTODOS



MARCO ÉTICO

El diseño del estudio se realizó en estricta conformidad con los principios éticos internacionales, siguiendo las directrices de la declaración de Helsinki. Este documento, emitido por la Asociación Médica Mundial, es reconocido como la piedra angular ética para la investigación con seres humanos, proporcionando un marco detallado que abarca aspectos como la obtención del consentimiento informado, la minimización del riesgo y la revisión ética independiente.



CONSENTIMIENTO INFORMADO

Antes de la inclusión en el estudio, se obtuvo un consentimiento informado por escrito de cada paciente, tras un proceso detallado de comunicación. Se aseguró que todos los participantes comprendieran plenamente la naturaleza, objetivos, procedimientos, posibles beneficios y riesgos asociados con su participación en la investigación. El consentimiento informado fue adquirido en presencia de un testigo y de acuerdo con las normas éticas para garantizar la voluntariedad y la toma de decisiones informada de los participantes.



PROCEDIMIENTO DE REVISIÓN ÉTICA

El protocolo de estudio fue sometido a una revisión ética exhaustiva por un comité de ética independiente, asegurando que todos los procedimientos propuestos se alinearan con los estándares éticos establecidos. El comité evaluó la justificación científica del estudio, los métodos de investigación propuestos, y las medidas de seguridad para proteger el bienestar de los participantes. Sólo después de obtener la aprobación ética se procedió con la investigación.



ENFOQUE EN LA SEGURIDAD Y EL BIENESTAR DEL PACIENTE

Durante la investigación, se mantuvo un enfoque constante en la seguridad de los pacientes, procurando una relación equitativa entre los beneficios potenciales y los riesgos. Se implementaron medidas para garantizar la privacidad y la confidencialidad de la información de los pacientes. Los eventos adversos y otros problemas relacionados con el estudio fueron monitoreados y registrados meticulosamente, conforme a los protocolos establecidos para la notificación y gestión de incidentes.



CRITERIO DE SELECCIÓN DE LOS PACIENTES

Se seleccionaron para el estudio individuos mayores de 50 años, sin distinción de sexo, que mostraran al menos tres signos clínicos de SEOP, incluyendo un maxilar considerablemente atrófico o displásico, indicador del edentulismo avanzado, y las consecuencias funcionales y estéticas asociadas al envejecimiento orofacial. Los candidatos adecuados eran aquellos que necesitaban una osteotomía Le Fort I de avance y la simultánea colocación de implantes zigomáticos o dentales sin necesidad de injertos óseos adicionales. Se requería un seguimiento mínimo de 20 meses para la inclusión en el estudio. Quedaron excluidos del estudio los pacientes con antecedentes recientes de eventos cardiovasculares significativos, intervenciones valvulares cardiacas, hemorragias activas o tratamiento de cáncer activo, incluida la radioterapia en la región de cabeza y cuello en el último año. Asimismo, se descartaron los individuos con historiales de abuso de sustancias, trastornos psiquiátricos recientes o uso de bisfosfonatos intravenosos en los dos años previos. Se excluyeron aquellos con inmunosupresión o insuficiente volumen óseo en la premaxila, inferior a los 5 milímetros.



POBLACIÓN

Seis pacientes cumplieron con los criterios de inclusión: cinco mujeres y un hombre, con edades que oscilan entre 50 y 68 años, todos desdentados y no fumadores, que presentaron al menos tres signos del SEOP.



PLANIFICACIÓN QUIRÚRGICA

La planificación preoperatoria se realizó en cinco casos procesando los archivos DICOM (comunicaciones digitales de imágenes médicas) de las tomografías computarizadas obtenidas mediante el tomógrafo NewTom 5G, a través del software Mimmics Innovation Suite v6 con el apoyo del ingeniero biomédico. La osteotomía Le Fort I del maxilar atrófico, la inserción de implantes dentales/zigomáticos y la rehabilitación protésica se simularon en los modelos virtuales 3D utilizando archivos de lenguaje de triángulos estándar (STL) para impresión 3D. Después de la validación final, se fabricaron guías de corte quirúrgicas específicas del paciente en titanio utilizando la impresora Renishaw AM400 (manufactura aditiva por fusión de polvo de titanio con haz de láser), plantillas de guía de perforación de implantes y placas de osteosíntesis personalizadas (Figura 3). Un sólo caso fue tratado de forma análoga.



TÉCNICA QUIRÚRGICA

Los pacientes fueron sometidos a cirugía bajo anestesia general con intubación nasotraqueal. En todos los casos se aplicó anestésico local de tipo lidocaína al 2% con vasoconstrictor tipo epinefrina 1:100,000 siguiendo los protocolos específicos para cada paciente.

Las etapas de la cirugía incluyeron:

  • 1. Una incisión en fondo de surco horizontal de canino a canino de grosor mucoperióstico para exponer áreas clave del maxilar y el complejo cigomático.
  • 2. Osteotomías maxilares mediante la utilización de guías quirúrgicas personalizadas para realizar cortes precisos en el hueso maxilar (Figura 4).
  • 3. Fractura Le Fort I controlada del maxilar y su reubicación con avance programado, fijado con placas y tornillos de osteosíntesis según el protocolo dual utilizado por el autor. Se prestó atención a la integridad de la mucosa nasal y la membrana de Schneider, así como a la optimización de la proyección de la punta de la nariz mediante el soporte de la región nasolabial para lograr un buen resultado estético y funcional.
  • 4. Colocación de implantes dentales y cigomáticos con guías de inserción personalizadas. Para los implantes cigomáticos se empleó un protocolo de doble guía/soporte. En este momento se colocan las placas de fijación de avance maxilar de forma definitiva (Figura 5).
  • 5. Cierre de los colgajos con suturas reabsorbibles tipo monocryl.
  • 6. Ritidectomía y rinoplastia. Para esta última se procede al cambio de la intubación a orotraqueal (Figura 6).
  • 7. Tras la cirugía, los pacientes fueron trasladados a recuperación y posteriormente internados por 24 horas. Se realizó una valoración para el alta hospitalaria y seguimiento en consultorio externo a los 10-14 días para retiro de suturas y colocación de una prótesis provisional removible. A los 15-20 días se capturó la prótesis a los implantes y se confeccionó una placa de desprogramación neuromuscular para evitar tracción nociva sobre los cóndilos mandibulares.

A los tres meses de la intervención, se realizan las prótesis definitivas.



RESULTADOS

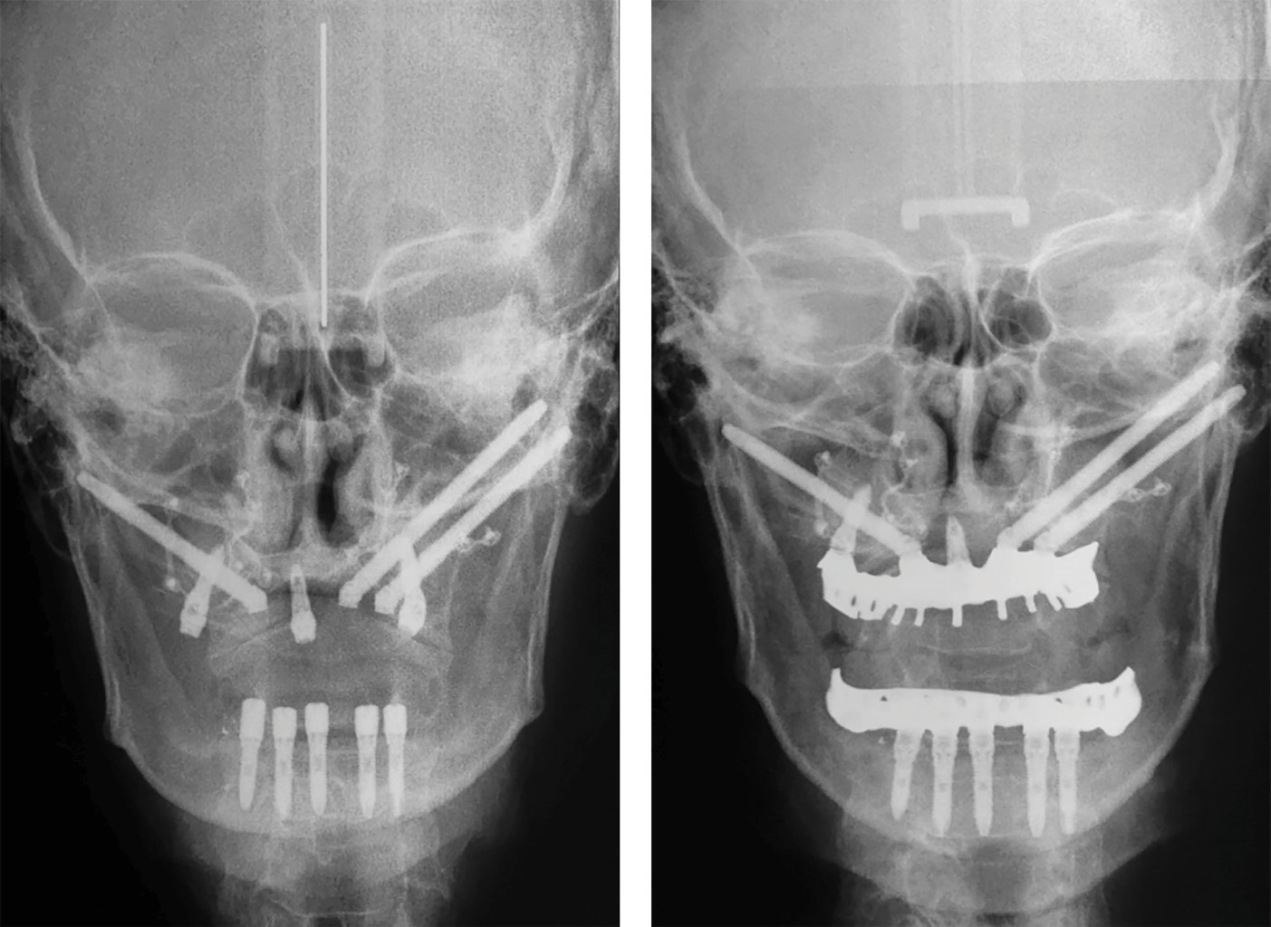
En total se realizaron seis osteotomías Le Fort I, se colocaron 18 implantes cigomáticos y 55 implantes dentales convencionales entre maxila y mandíbula, además de cinco ritidectomías, 12 prótesis fijas atornilladas sobre los implantes tipo Toronto FP3 en todos los casos. Los materiales de la rehabilitación fueron prótesis hibridas de barra de titanio y acrílico, así como prótesis hibridas en zirconio. Durante el tratamiento se registró la pérdida de tres implantes dentales convencionales y un sólo implante cigomático no tuvo estabilidad primaria al momento de la colocación, por lo que se decide no colocarlo. Los implantes restantes que fallaron lo hicieron durante el tiempo de uso de las prótesis provisionales, en los primeros tres meses, y ninguno fue sustituido por no modificar el proyecto y diseño de la rehabilitación bucomaxilofacial. La tasa de éxito de los implantes dentales y cigomáticos se expone en la Tabla 1. Lo anterior coincide con las tasas de éxito en la literatura científica referida a implantología. Las prótesis provisionales fueron aplicadas a los 10 días postquirúrgicos, después del retiro de suturas; los provisionales se rebasaron progresivamente. Después de tres meses se realiza la toma de registros para la confección de la prótesis definitiva, concertando la nueva relación maxilomandibular y planificando acorde su rehabilitación (Figura 7). Se realiza la entrega de las prótesis definitivas. En un caso se reportó la fractura de componentes acrílicos de la restauración y un paciente presentó el aflojamiento de tres tornillos. En ambos casos se realizaron los arreglos pertinentes y se continuó sin eventualidades (Figura 8). Se solicita al paciente, una vez entregada la rehabilitación fija, que asista a citas periódicas para higiene profesional cada tres meses durante el primer año de seguimiento. Durante la primera consulta de higiene, se le entrega una encuesta para determinar el nivel de satisfacción con el tratamiento y las mejoras subjetivas en su calidad de vida. En pacientes con antecedentes de SAHOS, se les pide llenar el índice de calidad de sueño de Pittsburgh (PSQI) y tener un parámetro de mejoría en su condición después del tratamiento. En todos los casos, las respuestas de los pacientes fueron sumamente positivas en relación con la mejora en calidad de vida, sueño y bienestar general (Tabla 2). Los pacientes calificaron su grado de satisfacción en una escala estandarizada. Las áreas de evaluación incluyeron mejoras en la función masticatoria, la claridad del habla, la deglución, la respiración durante el sueño y la estética facial. Una puntuación más alta indica una mayor satisfacción y, por lo tanto, una mejora significativa en esa área específica de la calidad de vida.



DISCUSIóN

La pérdida completa de la dentadura es una condición oral que afecta a una parte considerable de la población mundial, con un impacto significativo en la función del aparato estomatognático, estética facial y la calidad de vida de los pacientes. Este trabajo introduce por primera vez el término síndrome de envejecimiento orofacial prematuro (SEOP) con el objetivo de comprender esta condición de desdentado total no sólo como un fenómeno aislado, sino como una manifestación de una enfermedad más amplia que compromete la salud oral, la función y la estética de manera integral. Se busca reafirmar que la ausencia de dientes no debe ser considerada un evento aislado, sino parte de un síndrome complejo que compromete la salud y función estomatognática (Figura 9). En este estudio se investigaron los efectos del tratamiento integral del SEOP utilizando una combinación de técnicas de avance maxilar, colocación de implantes dentales y cigomáticos y procedimientos estéticos. Los resultados muestran una mejora significativa en la calidad de vida de los pacientes, con altas tasas de éxito en los implantes y una satisfacción general positiva (Figura 10). El estudio sugiere que los pacientes experimentan mejoras notables en la función masticatoria, la estética facial y la autoestima. Lo anterior coincide con la literatura estudiada. Sin embargo, no se ha visto, hasta el presente estudio, que el énfasis sea distinto a la recuperación de la función masticatoria y no se refieren al estado general del paciente. Es de suma importancia establecer que el incremento en la autoestima y el bienestar emocional del paciente son signos inequívocos de salud. La restauración de la armonía facial no sólo mejora la apariencia, sino que también tiene efectos positivos en la salud mental y social (Figura 11). Los cambios en la apariencia facial ocasionados por el SEOP pueden generar sentimientos de incomodidad, vergüenza y deterioro de la confianza en sí mismo. Estos factores pueden limitar la participación social, afectar las relaciones interpersonales y disminuir la satisfacción general con la vida. La resuspensión del tejido blando mediante ritidectomía permite corregir la laxitud de la región facial, característica del SEOP, proporcionando un resultado estético imprescindible para el bienestar del paciente, dándole la oportunidad de integrarse socialmente. No se debe olvidar que el impacto psicosocial del SEOP es una de las quejas principales que motiva la búsqueda de tratamiento.

La combinación de técnicas de avance maxilar y la colocación de implantes dentales sin necesidad de injertos óseos demostró ser efectiva y segura. La tasa de éxito de 94.5% para los implantes dentales y de 91.7% para los implantes cigomáticos es comparable a la literatura existente. Además, los procedimientos estéticos, como la ritidectomía y la rinoplastia, contribuyeron significativamente a la satisfacción del paciente y a la mejora estética global. El tratamiento del complejo nasomaxilar en el paciente con hipoplasia maxilar (localizada o generalizada) ha sido descrito ampliamente en pacientes sindrómicos.20 Diversos métodos como la inclusión de material aloplástico para el manejo de la deficiencia han sido estudiados. Sin embargo, hay poca mención del manejo de la nariz de pacientes con atrofia severa maxilar. Mediante la evaluación del complejo maxilomandibular como una parte integral del macizo facial, se permite el correcto diagnóstico y tratamiento de las estructuras nasales que están comprometidas en el SEOP, logrando la armonización según los parámetros propuestos por el estudio, permitiendo su corrección simultánea con el maxilar y la rehabilitación dental pertinente.

La corrección de la relación maxilomandibular al momento de la intervención del maxilar permite mejorar la orientación y relación de los maxilares, garantizando una orientación óptima que a su vez permita una correcta rehabilitación dentomaxilar, con un adecuado apoyo para los tejidos blandos. Esto en sí mismo mejora el perfil facial deficiente característico de los pacientes con SEOP (Figura 12). Estos resultados subrayan la necesidad de un enfoque integral en el manejo del SEOP, considerando tanto los aspectos funcionales como estéticos. La implementación de tecnologías avanzadas como CAD/CAM en la planificación quirúrgica mejora la precisión y los resultados clínicos, lo que sugiere que esta tecnología debería ser estándar en el tratamiento del SEOP (Figura 13).17 Aunque los procedimientos para tratar la atrofia severa del maxilar están bien descritos, existe un vacío crítico en la literatura médica y la conciencia profesional sobre el diagnóstico del SEOP. Esto subraya la necesidad de un reconocimiento temprano para un tratamiento integral que mejore significativamente la calidad de vida de los pacientes desdentados. Los estudios analizados no consideran la flacidez facial y otras manifestaciones del síndrome. Este estudio destaca la importancia clínica del SEOP y la urgente necesidad de incluirlo en las estrategias de salud pública y atención clínica, reconociendo la complejidad de sus manifestaciones y su profundo impacto en la vida de los afectados. El profesional de la salud de atención primaria tiene un rol crucial en detectar los signos y síntomas del SEOP, su responsabilidad es hacer una valoración integral del paciente, entendiendo que la afectación va más allá de la falta de dientes, para iniciar un tratamiento que abarque todos los trastornos asociados a nivel funcional, estético y psicosocial. La simple rehabilitación de la masticación puede ser insuficiente ante la amplia gama de trastornos concomitantes. El incremento de la población geriátrica a nivel mundial hace que el SEOP tome mayor relevancia. Aunque la educación en higiene bucal ha reducido la incidencia de enfermedades bucodentales, el edentulismo sigue siendo prevalente en mayores de 60 años, relacionado con el nivel socioeconómico.4 Diversos autores han abordado el edentulismo con atrofia severa del maxilar,16,17 pero con frecuencia no consideran completamente el espectro de la afectación del SEOP. No es suficiente restablecer la función masticatoria; es crucial reconocer y tratar las comorbilidades para mejorar verdaderamente la condición del paciente, creando conciencia en profesionales y servicios de salud para la detección, diagnóstico y tratamiento adecuado, previniendo así la progresión de patologías sistémicas que presentan una carga significativa al sistema de salud. La Tabla 3 resume los signos y síntomas que pueden verse asociados con SEOP, así como la propuesta terapéutica según el protocolo presentado y su respectivo impacto en la calidad de vida del paciente. Una limitación importante de este estudio es el tamaño de la muestra. Aunque los resultados son prometedores, un estudio con una muestra más grande podría proporcionar datos más robustos y generalizables. Además, el seguimiento a largo plazo es crucial para evaluar la durabilidad de los resultados obtenidos.



CONCLUSIóN

El síndrome de envejecimiento orofacial prematuro (SEOP) representa una condición multifacética con profundas implicaciones en la estética y la función orofacial, que se traduce en la merma de la calidad de vida. Caracterizado por la pérdida dentaria total y sus secuelas anatómicas, como la atrofia severa maxilar, el SEOP demanda un enfoque diagnóstico meticuloso y estrategias terapéuticas personalizadas que integren avances maxilares y técnicas de implantología avanzada para contrarrestar sus efectos debilitantes. Por ende, debe ser reconocido como una entidad clínica propia y no simplemente como una consecuencia del envejecimiento natural o una mala salud oral. Los resultados del estudio muestran que la combinación de osteotomía Le Fort I, colocación de implantes dentales y cigomáticos sin injertos óseos, y procedimientos estéticos como la ritidectomía y la rinoplastia, proporciona una mejora significativa en la función masticatoria, la estética facial y la autoestima de los pacientes. La alta tasa de éxito de los implantes y la satisfacción general de los pacientes destacan la efectividad de este enfoque.

Los pacientes reportaron mejoras notables en áreas clave como la función masticatoria, la claridad del habla, la respiración durante el sueño y la estética facial. Estas mejoras no sólo aumentan la calidad de vida, sino que también mejoran la interacción social y la autoestima, factores críticos para el bienestar general de los pacientes. La autoestima debe ser considerada un signo de salud.

La introducción del SEOP en la literatura médica es un paso crucial hacia su reconocimiento y manejo adecuado. Es importante que los profesionales de la salud reconozcan y diagnostiquen el SEOP tempranamente para proporcionar un tratamiento adecuado que aborde todas las comorbilidades asociadas. Un enfoque integral e interdisciplinario que vea al paciente como un ser completo, considerando tanto las necesidades estéticas como funcionales, es esencial para mejorar los resultados del tratamiento y la calidad de vida. Se recomienda incluir el SEOP en los esquemas de atención sanitaria y en las políticas de salud pública. Esto incluye la promoción de la salud oral, la prevención del edentulismo y la educación tanto del paciente como del profesional de la salud. La implementación de tecnologías avanzadas como CAD/CAM en la planificación quirúrgica mejora la precisión y los resultados clínicos, sugiriendo que esta tecnología debería ser estándar en el tratamiento. Aun cuando la muestra presentada es pequeña, sienta un precedente para que futuros estudios continúen investigando la eficacia y seguridad de estos tratamientos. Además, la aparición de nuevas tecnologías y materiales podría mejorar aún más los resultados del tratamiento del SEOP. Este enfoque terapéutico ofrece una solución efectiva y debería ser considerado como un estándar de cuidado para pacientes con SEOP, promoviendo una mejoría significativa en su bienestar general. La investigación en curso y futuros estudios prospectivos serán decisivos para perfeccionar las estrategias de diagnóstico y tratamiento del SEOP, asegurando así la dignidad y el bienestar de los individuos afectados.



AGRADECIMIENTOS

Luciano Goldsman. Médico, anestesiólogo.

Edder Chamorro Florez. Odontólogo, cirujano maxilofacial.

Luis Felipe García López. Odontólogo, cirujano maxilofacial.

Ariel Pagano, TD.


REFERENCIAS (EN ESTE ARTÍCULO)

  1. Toyoshima GHL, Pucciarelli MGR, Neppelenbroek KH, Sforza C, Menezes M, Oliveira TM, et al. Evaluation by 3D stereophotogrammetry of facial changes in edentulous patients after rehabilitation. J Appl Oral Sci. 2021; 30: e20210462. doi: 10.1590/1678-7757-2021-0462.

  2. Emami E, de Souza RF, Kabawat M, Feine JS. The impact of edentulism on oral and general health. Int J Dent. 2013; 2013: 498305. doi: 10.1155/2013/498305.

  3. Suenaga H, Yokoyama M, Yamaguchi K, Sasaki K. Bone metabolism of residual ridge beneath the denture base of an RPD observed using NaF-PET/CT. J Prosthodont Res. 2012; 56 (1): 42-46. doi: 10.1016/j.jpor.2011.04.002.

  4. Al-Rafee MA. The epidemiology of edentulism and the associated factors: A literature Review. J Family Med Prim Care. 2020; 9 (4): 1841-1843. doi: 10.4103/jfmpc.jfmpc_1181_19.

  5. Skomina Z, Kocevar D, Verdenik M, Hren NI. Older adults' facial characteristics compared to young adults' in correlation with edentulism: a cross sectional study. BMC Geriatr. 2022; 22 (1): 503. doi: 10.1186/s12877-022-03190-5.

  6. Cawood JI, Howell RA. A classification of the edentulous jaws. Int J Oral Maxillofac Surg. 1988; 17: 232-236.

  7. Bucca C, Cicolin A, Brussino L, Arienti A, Graziano A, Erovigni F, et al. Tooth loss and obstructive sleep apnoea. Respir Res. 2006; 7 (1): 8. doi: 10.1186/1465-9921-7-8.

  8. Tsai CY, Lin YC, Su B, Yang LY, Chiu WC. Masseter muscle fibre changes following reduction of masticatory function. Int J Oral Maxillofac Surg. 2012; 41 (3): 394-399. doi: 10.1016/j.ijom.2011.10.016.

  9. Tyrovolas S, Koyanagi A, Panagiotakos DB, Haro JM, Kassebaum NJ, Chrepa V, et al. Population prevalence of edentulism and its association with depression and self-rated health. Sci Rep. 2016; 6: 37083. doi: 10.1038/srep37083.

  10. Trauner R, Obwegeser HL. Zur operationstechnik bei der progenie und anderen unterkieferanomalien. Dtsch Zahn-Mund-Kieferheilk. 1955; 23: 1-26.

  11. Bell WH. Biologic basis for maxillary osteotomies. Am J Phys Anthropol. 1973; 38 (2): 279-289. doi: 10.1002/ajpa.1330380223.

  12. Benech A, Mazzanti C, Arcuri F, Giarda M, Brucoli M. Simultaneous Le Fort I osteotomy and computer-guided implant placement. J Craniofac Surg. 2011; 22 (3): 1042-1046. doi: 10.1097/SCS.0b013e318210765d.

  13. Grecchi F, Zollino I, Parafioriti A, Mineo G, Pricolo A, Carinci F. One-step oral rehabilitation by means of implants' insertion, Le Fort I, grafts, and immediate loading. J Craniofac Surg. 2009; 20 (6): 2205-2210. doi: 10.1097/SCS.0b013e3181bf8487.

  14. Nocini PF, Bertossi D, Albanese M, D'Agostino A, Chilosi M, Procacci P. Severe maxillary atrophy treatment with Le Fort I, allografts, and implant-supported prosthetic rehabilitation. J Craniofac Surg. 2011; 22 (6): 2247-2254. doi: 10.1097/SCS.0b013e3182327817.

  15. D'Agostino A, Lombardo G, Favero V, Signoriello A, Bressan A, Lonardi F, et al. Complications related to zygomatic implants placement: A retrospective evaluation with 5 years follow-up. J Craniomaxillofac Surg. 2021; 49 (7): 620-627. doi: 10.1016/j.jcms.2021.01.020.

  16. Hernández-Alfaro F, Ragucci GMM, Méndez-Manjón I, Giralt-Hernando M, Guijarro-Martínez R, Sicilia-Blanco P, et al. Rehabilitation of the severely atrophic maxilla using LeFort I maxillary advancement and simultaneous zygoma implant placement: Proof of concept. Int J Oral Implantol (Berl). 2019; 12 (3): 359-372.

  17. Grecchi F, Grecchi E, Del Fabbro M, Goker F. Simultaneous Le Fort I osteotomy and zygomatic implant placement. J Craniomaxillofac Surg. 2022; 50 (2): 114-123. doi: 10.1016/j.jcms.2021.12.003.

  18. Rosário HD, de Oliveira BG, Pompeo DD, de Freitas PH, Paranhos LR. Surgical maxillary advancement increases upper airway volume in skeletal class III patients: a cone beam computed tomography-based study. J Clin Sleep Med. 2016; 12 (11): 1527-1533. doi: 10.5664/jcsm.6282.

  19. Chuang J, Barnes C, Wong BJF. Overview of facial plastic surgery and current developments. Surg J (N Y). 2016; 2 (1): e17-e28. doi: 10.1055/s-0036-1572360.

  20. Mercandetti M, Cohen AJ, Chang EW, Farrior E, Laub D. Maxillary augmentation rhinoplasty. Medscape. [Access 06/20/24]. Available in: emedicine.medscape.com/article/1292328

  21. Seah TE, Ilankovan V. Rhinoplasty as an adjunct to orthognathic surgery: a review. Oral Maxillofac Surg Clin North Am. 2023; 35 (1): 115-126. doi: 10.1016/j.coms.2022.06.008.



AFILIACIONES

1 Odontólogo, médico, doctor en odontología, cirujano maxilofacial. Jefe del Área de Cirugía Bucomaxilofacial del Hospital Pirovano. Director del Centro Médico Odontológico Venturelli, Buenos Aires, Argentina.

2 Médico, cirujano plástico, Sanatorio Parque. Rosario, Santa Fe, Argentina.

3 Odontólogo, cirujano maxilofacial. Director del Centro MaxilloFACE. San José, Costa Rica.

4 Odontólogo, cirujano maxilofacial del Hospital Pirovano. Centro Médico- Odontológico Venturelli, Buenos Aires, Argentina.

5 Médico, odontólogo, cirujano maxilofacial. Director del Centro Maxilofacial San Juan, Argentina.

6 Ingeniero Biomédico, Raomed, Córdoba, Argentina.



CORRESPONDENCIA

Alfonso Venturelli. E-mail: alfonsoventurelli@gmail.com




Recibido: 14/06/2024. Aceptado: 21/07/2024.

Figura 1
Figura 2
Figura 3
Figura 4
Figura 5
Figura 6
Figura 7
Figura 8
Figura 9
Figura 10
Figura 11
Figura 12
Figura 13
Tabla 1
Tabla 2
Tabla 3

2020     |     www.medigraphic.com

Mi perfil

C?MO CITAR (Vancouver)

Lat Am J Oral Maxillofac Surg. 2024;4

ARTíCULOS SIMILARES

CARGANDO ...