medigraphic.com
ENGLISH

Revista Mexicana de Coloproctología Enfermedades del Ano, Recto y Colon

Revista Mexicana de Coloproctología Enfermedades del Ano, Recto y Colon
  • Mostrar índice
  • Números disponibles
  • Información
    • Información general        
    • Directorio
  • Publicar
    • Instrucciones para autores        
  • medigraphic.com
    • Inicio
    • Índice de revistas            
    • Registro / Acceso
  • Mi perfil

2024, Número 2

<< Anterior

Rev Mex Coloproctol 2024; 20 (2)


Manejo de metástasis ovárica asociada a cáncer colorrectal

Lavorato, Nicolás1,2; Bregoli, Pedro Augusto1,3; Martínez Blanco, Paula1,4; Zapata, Gonzalo Hugo1,5; Moreira Grecco, Alejandro1,6; Sarotto, Luis Ernesto1,7
Texto completo Cómo citar este artículo 10.35366/119579

DOI

DOI: 10.35366/119579
URL: https://dx.doi.org/10.35366/119579
Artículos similares

Idioma: Español
Referencias bibliográficas: 11
Paginas: 84-86
Archivo PDF: 205.70 Kb.


PALABRAS CLAVE

carcinoma colorectal, metástasis ovárica, tumor de Krukenberg.

RESUMEN

Aproximadamente, de 5 a 15% de los tumores ováricos malignos son metástasis, el colon es el órgano más asociado. Presentamos el caso de una mujer de 51 años que presentó un tumor oclusivo de sigmoides asociado a metástasis ovárica sincrónica que se trató con sigmoidectomía y ooforectomía. El tratamiento propuesto de las metástasis ováricas del carcinoma colorrectal es la resección quirúrgica. La ooforectomía mejora el estado nutricional, desciende los valores de proteína C reactiva e incrementa la supervivencia a tres años en resecciones R0 y R1.



INTRODUCCIóN

Friedrich Ernst Krukenberg describió en 1896 un nuevo tipo de neoplasia ovárica al cual denominó fibrosarcoma ovárico mucocelular,1 que posteriormente se determinó que no correspondía a una entidad primaria del ovario, sino a metástasis de una neoplasia epitelial. La presencia de células malignas de estirpe epitelial, mucosecretoras o en anillo de sello, y existencia de proliferación pseudo-sarcomatosa del estroma ovárico son los criterios de la Organización Mundial de la Salud (OMS) para el diagnóstico de tumor de Krukenberg.2 El uso de esta denominación se ha extendido a la presencia de metástasis de tumores gastrointestinales en el ovario, independientemente de la histología. El diagnóstico de esta entidad presenta un desafío en el manejo de los tumores ováricos. Presentamos un caso de metástasis ovárica con primario colónico.



REPORTE DE CASO

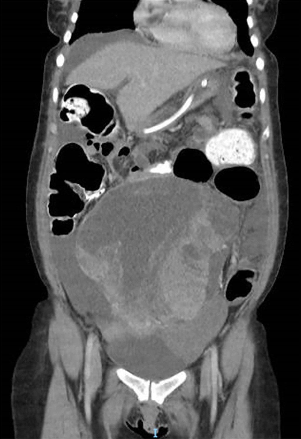
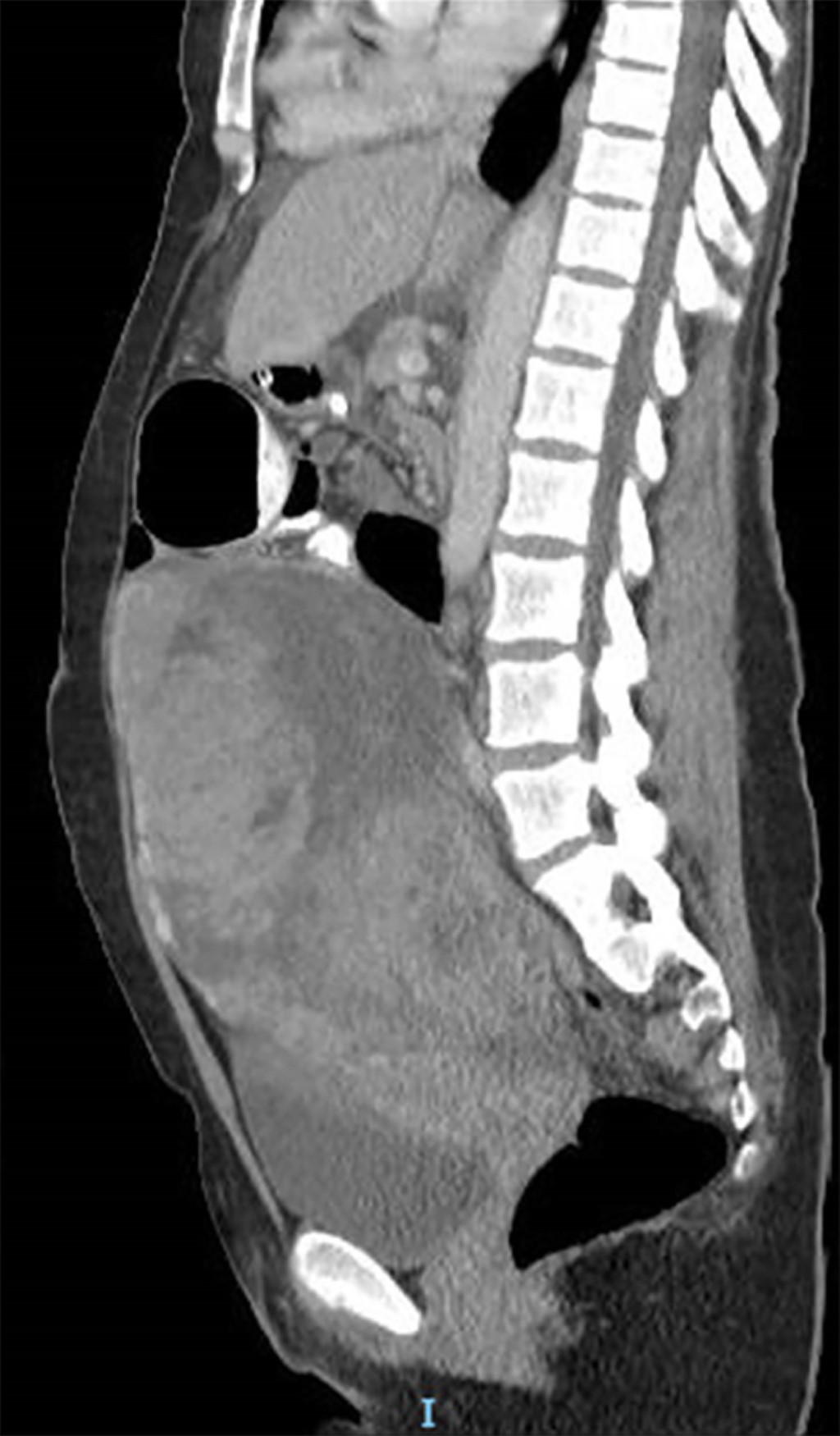
Se presenta una mujer de 51 años, con antecedentes de VIH sin adherencia al tratamiento antirretroviral, quien consultó por dolor abdominal difuso de tres meses de evolución y constipación en los últimos 10 días. En el examen físico, se evidenció abdomen distendido con falta de eliminación de gases sin signos de irritación peritoneal. Presentaba un tumor palpable en hipogastrio que se extendía hasta la región umbilical. En el laboratorio se objetivó una elevación del antígeno CA-125 (153 U/mL; valor normal hasta 35 U/mL), con el resto de las determinaciones dentro de los parámetros normales. La tomografía abdominopelviana con contraste oral y endovenoso reveló una voluminosa formación centro pélvica de 28 × 12 × 12 cm asociada a ascitis, distensión del marco colónico y progresión del contraste oral hasta colon sigmoides (Figuras 1 y 2).

Con la sospecha de tumor de ovario complicado se realizó una laparotomía exploradora de urgencia donde se encuentra ascitis, una lesión estenosante del colon sigmoides y el tumor pélvico que compromete e infiltra ambos ovarios. Se realizó una sigmoidectomía y la anexectomía bilateral incluyendo el tumor en bloque. No se evidenciaron metástasis peritoneales.

El examen patológico macroscópico reveló un tumor ovárico de 27 × 18 × 12 cm de 2,200 gramos, y una pieza de sigmoidectomía con una lesión ulcerada exofítica que compromete 100% de la luz y todo el espesor de la pared con dos de 11 ganglios positivos (T3N1). Los márgenes se encontraron libres de lesión.

El examen microscópico mostró un adenocarcinoma moderadamente diferenciado (G2) en ambas piezas, con elevado pleomorfismo nuclear y alto índice mitótico, con células que se disponen revistiendo luces glandulares, con moderada reacción desmoplásica, embolias vasculolinfáticas e invasión perineural. En la pieza de sigmoidectomía se evidencia budding bajo. La inmunohistoquímica fue negativa para PAX9 y positiva para CK20.

La paciente se recuperó sin complicaciones. Al sexto día postoperatorio se retira el drenaje al lecho quirúrgico y se autoriza egreso hospitalario. Posteriormente realizó adyuvancia con esquema FOLFOX por seis meses. Actualmente libre de enfermedad (12 meses postoperatorios).



DISCUSIóN

Aproximadamente 5 a 15% de los tumores ováricos malignos son metástasis. El colon es el órgano más asociado, seguido por endometrio, mama, apéndice y estómago. Las metástasis ováricas son usualmente referidas como tumor de Krukenberg, pero este término está restringido a metástasis ováricas con células en anillo de sello.3 En estos casos, el tumor primario más frecuente es el adenocarcinoma gástrico, con una frecuencia aproximada de 60%, seguido por el adenocarcinoma de colon que posee una frecuencia cercana a 10%, y en menor medida adenocarcinomas de recto, apéndice o vesícula biliar.4

Los síntomas de presentación más frecuentes son ascitis (51.7%), masa palpable (31.3%), dolor abdominal (29.3%), distensión abdominal (28.7%) y sangrado uterino anormal (9.1%).5

La inmunohistoquímica es útil en el diagnóstico diferencial con un primario ovárico, sobre todo cuando el tumor primario es desconocido. La positividad de CEA y CA-125 sugiere origen metastásico. En las metástasis de adenocarcinoma gástrico, el perfil suele ser negativo para citokeratina 7 (CK7) y citokeratina 20 (CK20). En metástasis de origen colorrectal, el patrón suele ser negativo para CK7 y positivo para CK20.6

La identificación intraoperatoria de un primario gastrointestinal y la sospecha del compromiso metastásico del ovario avalan, de ser posible, la realización de una resección R0. La situación es diferente cuando no se encuentra el primario y existe sospecha fuerte del origen ovárico, donde la neoadyuvancia aumenta la resecabilidad y disminuye la tasa de complicaciones.7

El tratamiento de las metástasis ováricas de carcinoma colorrectal es la resección quirúrgica, ya sean sincrónicas o metacrónicas. La ooforectomía mejora el estado nutricional de los pacientes, disminuye los valores de proteína C reactiva (PCR) significativamente, y aumenta la supervivencia a tres años en resecciones R0 o R1.8,9

Existen escasos reportes de tumores sincrónicos de colon y ovario, y de tumores primarios de ovario con metástasis colónicas.10,11 Sin embargo, estos últimos son casos excepcionales.



CONCLUSIóN

Este caso ilustra la complejidad y los desafíos inherentes al diagnóstico y manejo de metástasis ováricas, particularmente cuando se presenta una etiología colorrectal. A pesar de que los tumores de Krukenberg representan sólo una fracción de los tumores ováricos malignos, su identificación tiene implicaciones significativas tanto para el diagnóstico como para la estrategia terapéutica. En este caso, la identificación y el manejo quirúrgico del tumor primario junto con las metástasis ováricas subrayan la importancia de una resección quirúrgica integral.


REFERENCIAS (EN ESTE ARTÍCULO)

  1. Classic pages in obstetrics and gynecology: Friedrich Ernst Krukenberg: Fibrosarcoma ovarii mucocellulare (carcinomatodes). Archiv für Gynakologie, vol 50, pp. 287-321, 1896. Am J Obstet Gynecol. 1973; 117 (4): 575.

  2. Varela UC, Castro CP, Labra WA, Bravo PJC. Tumor de krukenberg: historia, definición actual y manifestaciones morfológicas en tomografía computada. Rev Chil Radiol. 2006; 12 (1): 12-14.

  3. Kemps PG, Bol M, Steller EJA, de Pont LMH, Holterhues C, van Gerven L, et al. Colon carcinoma presenting as ovarian metastasis. Radiol Case Rep. 2021; 16 (9): 2799-2803.

  4. Tamayo LT, Santana IO, Fiallo CDL. Tumor de Krukenberg Krukenberg Tumor [Internet]. Vol. 40, Revista Cubana de Ginecología y Obstetricia. 2014. Disponible en: http://scielo.sld.cuhttp://scielo.sld.cu

  5. Lionetti R, DE Luca M, Raffone A, Travaglino A, Coppellotti A, Peltrini R, et al. Clinics and pathology of Krukenberg tumor: a systematic review and meta-analysis. Minerva Obstet Gynecol. 2022; 74 (4): 356-363.

  6. Craciun MI, Dom?a I. Immunohistochemical diagnosis of Krukenberg tumors. Rom J Morphol Embryol. 2017; 58 (3): 845-849.

  7. Palacios FL, Suárez C, Mijares A, Vera GR, Delgado B. Cirugía de intervalo citorreducción óptima en cáncer de ovario estadio III. Rev Venez Oncol. 2009; 21: 85-91.

  8. Miyagawa Y, Kitazawa M, Tokumaru S, Nakamura S, Koyama M, Yamamoto Y, et al. Impact of oophorectomy on survival and improving nutritional status in ovarian metastasis from colorectal adenocarcinoma. Oncology. 2024; 102 (2): 114-121.

  9. Shi J, Huang A, Song C, Li P, Yang Y, Gao Z, Sun F, Gu J. Effect of metastasectomy on the outcome of patients with ovarian metastasis of colorectal cancer: a systematic review and meta-analysis. Eur J Surg Oncol. 2023; 49 (9): 106961.

  10. Jaouani L, Zaimi A, Al Jarroudi O, Haloui A, Rezzoug F, Brahmi SA, Afqir S. Unusual Synchronous Colonic Metastasis of Ovarian Cancer. Cureus. 2023; 15 (6): e39952.

  11. Granados FNA. Diagnóstico de cuatro neoplasias primarias sincrónicas en un adulto. Alerta, Revista científica del Instituto Nacional de Salud. 2022; 5 (2): 104-111.



AFILIACIONES

1 Hospital de Clínicas "José de San Martin", Ciudad Autónoma de Buenos Aires, Argentina.
ORCID:

2 0009-0007-3872-0854

3 0000-0002-1756-8925

4 0009-0002-2680-9695

5 0000-0002-2550-4737

6 0000-0002-8383-4822

7 0000-0002-7480-7144



Conflicto de intereses: los autores declaran no tener conflicto de intereses.



CORRESPONDENCIA

Nicolás Lavorato. E-mail: nlavorato@fmed.uba.ar




Recibido: agosto 2024. Aceptado: diciembre 2024.





Figura 1
Figura 2

2020     |     www.medigraphic.com

Mi perfil

C?MO CITAR (Vancouver)

Rev Mex Coloproctol. 2024;20

ARTíCULOS SIMILARES

CARGANDO ...