medigraphic.com
ENGLISH

Cirujano General

ISSN 2594-1518 (Digital)
ISSN 1405-0099 (Impreso)
  • Mostrar índice
  • Números disponibles
  • Información
    • Información general        
    • Directorio
  • Publicar
    • Instrucciones para autores        
    • Envío de artículos
  • medigraphic.com
    • Inicio
    • Índice de revistas            
    • Registro / Acceso
  • Mi perfil

2025, Número 1

<< Anterior Siguiente >>

Cir Gen 2025; 47 (1)


Lesión lumbar de Morel-Lavallée

González Zambrana, Roberto José1,2; García Reyes, Luis Enrique1,3
Texto completo Cómo citar este artículo 10.35366/119612

DOI

DOI: 10.35366/119612
URL: https://dx.doi.org/10.35366/119612
Artículos similares

Idioma: Español
Referencias bibliográficas: 12
Paginas: 43-47
Archivo PDF: 290.68 Kb.


PALABRAS CLAVE

lesión de Morel-Lavallée, traumatismo, lumbar, avulsión cutánea, ecografía.

RESUMEN

La lesión de Morel-Lavallée es una entidad poco frecuente que se produce por un efecto de cizalla que separa el tejido celular subcutáneo de la fascia, lo que conlleva acumulación de material hemático y linfático. Reportamos el caso clínico de paciente femenino que sufrió un traumatismo de alta energía y fue diagnosticada con una lesión de Morel-Lavallée lumbar y choque hipovolémico grado II. Se realizó drenaje quirúrgico abierto de la lesión, con evolución clínica satisfactoria. El tratamiento inadecuado de esta lesión puede causar dolor, infección o masa subcutánea que pueden entorpecer su manejo y diagnóstico.



ABREVIATURAS:

  • LML = lesión de Morel-Lavallée
  • RM = resonancia magnética
  • USG = ultrasonido



INTRODUCCIóN

La lesión de Morel-Lavallée (LML), descrita por primera vez por el francés Victor-Auguste-François-Morel-Lavallée en 1863, es una lesión poco frecuente. La etiología usualmente es postraumática debido a la fuerza de cizallamiento y se caracteriza por la separación de la fascia subyacente del tejido subcutáneo.1 El espacio creado se llena de sangre, linfa y grasa necrótica. Los productos de la sangre y material necrótico estimulan una reacción inflamatoria crónica. A medida que el tiempo progresa, una lesión encapsulada por tejido fibroso se desarrolla, la cual es llenada con productos sanguíneos, grasa necrótica, detritos y fibrina. Se estima que un tercio de los pacientes con LML son infravalorados, lo que retarda el diagnóstico y el tratamiento.2 Cuando la LML no se diagnostica, el paciente puede presentar dolor persistente y masa subcutánea que aumenta de tamaño y puede confundirse con un tumor de tejidos blandos. Por otro lado, el tejido necrótico predispone a la infección y, posteriormente, a desarrollar abscesos, celulitis o incluso osteomielitis.3-7 Descrita en la mayor parte de la literatura como una lesión asociada a fracturas acetabulares, es poco frecuente la localización lumbar (menos de 10% de los casos).1 Nosotros reportamos un caso de una LML lumbar y revisamos la literatura relevante para resumir las herramientas diagnósticas y las principales opciones terapéuticas.



PRESENTACIóN DEL CASO

Se trata de paciente femenino de 30 años con antecedente de enfermedad renal crónica que tuvo un accidente de tráfico en donde fue arrollada por un vehículo pesado. Fue recibida en el servicio de emergencias aquejando dolor en la parte baja de la espalda y en la pierna izquierda.

A la exploración física se encontró una masa fluctuante en región lumbar poco dolorosa y discreta equimosis, con constantes vitales alteradas: frecuencia respiratoria de 22 respiraciones por minuto, una saturación de oxígeno del 100% aire ambiente, frecuencia cardiaca de 112 latidos por minuto, tensión arterial de 100/60 mmHg y una temperatura de 36 °C. La escala de coma de Glasgow es de 15 puntos, las pupilas eran simétricas y reactivas a la luz. Al examen físico detallado la exploración de la espalda reveló una gran tumefacción en la región lumbar sin lesión cutánea que medía aproximadamente 20 × 20 centímetros. En el resto de la exploración física solamente se encontraron escoriaciones en cadera izquierda.

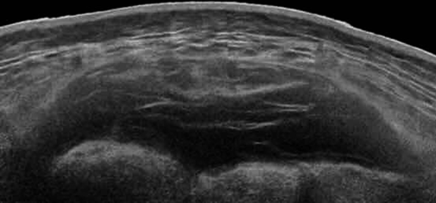
En radiografías simples de pelvis se identificó una fractura de la rama inferior de pubis izquierdo, el ultrasonido (USG) de tejidos blandos reveló una acumulación de líquido hipoecogénico entre el tejido celular subcutáneo y la fascia con dimensiones de 14 × 60 × 95 centímetros para un volumen de 426 ml, lo que indicaba una posible LML lumbar (Figura 1). La tomografía reveló una colección de líquido hipodenso, unilocular, entre la fascia y el tejido celular subcutáneo, con un volumen similar.

Se decidió su ingreso a unidad de cuidados intensivos y se manejó como choque hipovolémico grado II, el cual respondió adecuadamente con cargas volumétricas, se administraron dos cargas de 1,000 ml por vía intravenosa de solución salina normal a 0.9% en un periodo de una hora. Una vez estabilizada hemodinámicamente se practicó un drenaje abierto en sala de operaciones en donde se drenaron 700 ml de material serohemático, dejando un sistema de drenaje al vacío en el lecho quirúrgico. Se administró antibiótico posterior al procedimiento quirúrgico (dicloxacilina 1 gramo por vía intravenosa cada seis horas por seis días). En los siguientes seis días se drenó un promedio de 500 ml/día de material serohemático hasta el día séptimo en donde el drenaje disminuyó a menos de 100 ml, siendo posible el retiro del sistema de drenaje. Al séptimo día de estancia fue trasladada a sala general, y fue dada de alta al décimo día. En el seguimiento de la paciente, mejoró el dolor lumbar de manera considerable. En la actualidad, en su seguimiento por consulta externa, no se evidencia colección de líquido por ecografía y no refiere dolor en región lumbar.



DISCUSIóN

La LML es una entidad relativamente rara, se describe como una lesión cerrada producida por un efecto de cizalla que separa el tejido celular subcutáneo y la fascia, causando ruptura de los vasos de menor calibre y los vasos linfáticos, esto conlleva acumulación de material hemático y linfático en un tercer espacio recién formado.2 Las localizaciones más frecuentes son la cadera (30.4%), pelvis (18.6%), rodilla (15.7%), glúteo (6.4%), pared abdominal (1.5%), pierna (1.5%) y cabeza (0.5%) (Figura 2).1 Algunos autores sugieren que la predilección de la LML de ocurrir en ciertas regiones está relacionada a una variación en las estructuras anatómicas de los tejidos adiposos. Las capas más profundas tienen una estructura más débil, especialmente en la región glútea y la cadera en mujeres. Estas variaciones en la anatomía del tejido subcutáneo explican por qué la región glútea y cadera son las más implicadas, mientras que la región lumbar se encuentra raramente afectada. En nuestra paciente debido a la zona del traumatismo, la lesión se produjo en la región lumbar. La mayoría de los casos de LML reportados incluye pacientes masculinos jóvenes y con trauma severo.8

Estas lesiones se deben principalmente a traumatismos graves, siendo las colisiones con vehículos de motor el mecanismo más frecuente, también puede deberse a lesiones por aplastamiento a baja velocidad y por deportes de contacto. Fisiopatológicamente el trauma se produce de manera tangencial a los planos fasciales, lo que provoca una lesión de tipo cizallamiento, lo que conlleva una disrupción del tejido celular subcutáneo de los planos profundos. Durante este proceso los canales linfáticos y los vasos perforantes subyacentes se desgarran y liberan su contenido a la cavidad recién creada; la mezcla contiene sangre, linfa, grasa y restos necróticos en un espacio hipovascular.9 Esto concuerda con el mecanismo de producción del trauma de la paciente, la cual fue impactada por un vehículo en movimiento produciendo un probable efecto de cizalla en combinación con un impacto directo.

La evolución de las LML se puede dividir en cuatro etapas. Durante la primera etapa, la dermis se separa de la fascia subyacente; en la segunda etapa, se produce extravasación de linfa y sangre del plexo subdérmico lesionado hacia la cavidad recién creada; en la tercera etapa, se llega a una fase de cronificación en donde los componentes son sustituidos por líquido serosanguinolento; por último, en la cuarta fase, la inflamación local con el tiempo conduce a la formación de una pseudocápsula.9 Por el tiempo de evolución y el manejo casi inmediato que se le realizó a nuestra paciente probablemente solo se cumplieron las primeras dos etapas de la fisiopatología de esta lesión, ya que el tiempo transcurrido desde el impacto hasta el drenaje quirúrgico fue de 24 horas aproximadamente; el manejo precoz de esta lesión evita que pase a la tercera y cuarta etapa que son de cronificación y vuelven su manejo más complejo. Cuando el diagnóstico y el tratamiento no se consiguen en las etapas tempranas, el tejido de granulación alrededor se organiza formando una pseudocápsula, que previene la reabsorción del contenido y la formación de una colección líquida crónica.

Clínicamente se manifiesta con una gran zona hinchada con hematoma con o sin equimosis, asimetría del contorno cutáneo e hipermovilidad y fluctuación blanda con sensibilidad mínima o ausente. Esto también concuerda con los datos clínicos de la paciente, quien presentaba tumefacción en región lumbar y asimetría evidente, sin equimosis. Dependiendo del estudio que se realice, el tiempo medio hasta el diagnóstico oscila entre tres días hasta las dos semanas.9 El diagnóstico temprano es necesario para poder realizar un tratamiento conservador o no-invasivo y evitar la ocurrencia de complicaciones infecciosas.

El diagnóstico de este tipo de lesiones se basa principalmente en el examen físico, algunos signos y síntomas pueden ser variables y elusivos, quemaduras por fricción y escoriaciones en la región lumbar pueden ser pistas para el diagnóstico. La hipermovilidad de la piel es otro signo clínico útil, en especial cuando el paciente presenta varios días después del trauma. La pérdida de la sensibilidad cutánea sobre el área lesionada puede ser consecuencia de cizallamiento de los nervios cutáneos. Una vez establecido el diagnóstico clínico se puede respaldar mediante estudios de imagen, el USG ofrece una manera rápida y accesible de establecer el diagnóstico, como se describió en nuestro caso. El USG puede mostrar una colección de líquido entre la fascia y el tejido celular subcutáneo, por lo general hipoecogénico y unilocular si se realiza en la fase aguda, esto puede cambiar con la cronicidad de la lesión, la cual se puede volver multilocular. Por otro lado, la resonancia magnética (RM) es el estudio de elección. Típicamente esta lesión se presenta como una colección de fluido entre las capas antes descritas, con aspectos variables en la RM, principalmente dependiendo en el tiempo transcurrido entre el trauma inicial y la cantidad de sangre, grasa y tejido linfático que se encuentre en él. Posteriormente, la presencia en T1 y T2 de un anillo concéntrico hipointenso que realza al gadolinio, sugiere fuertemente la presencia de una pseudocápsula que puede evitar la reabsorción del contenido. Mellado y colaboradores describen seis tipos de LML basadas en la forma de la lesión, presencia o ausencia de cápsula y características en la RM, así como signos de mejoría (Tabla 1).10 Los radiólogos deben conocer estos hallazgos de la RM para ayudar a los clínicos en el diagnóstico y elegir la mejor opción terapéutica. Además, el realce ocasional del gadolinio ha llevado a los radiólogos a confundirlo con un sarcoma de tejidos blandos como en el caso reportado por Zairi y colegas.11 La localización característica y la historia de trauma pueden ayudar a distinguir una LML de una neoplasia.

En el caso que se reporta se decidió realizar un manejo quirúrgico abierto temprano y la colocación de un drenaje al vacío con una evolución clínica satisfactoria; según la literatura disponible, por la rareza de la lesión no existe un consenso definido. Se han descrito casos en donde el manejo conservador con monitoreo cercano dio buenos resultados, principalmente en lesiones pequeñas y en fase aguda; simple compresión, cese de actividad física y reposo suele ser suficiente en esos casos. De no mejorar con el manejo conservador o en lesiones más extensas, el drenaje percutáneo es la mejor opción. En nuestra revisión de la literatura de la LML lumbar, las modalidades de tratamiento y resultados que se han reportado son limitadas a un pequeño número de casos. Dentro de ellos, tres pacientes se beneficiaron de aspiración, con buenos resultados. Sin embargo, se debe notar que las lesiones extensas tienen mayor tendencia a recurrir. En casos refractarios, la esclerosis con doxiciclina y talco se ha utilizado con resultados satisfactorios.12 Las lesiones crónicas con la presencia de una cápsula fibrosa implica que la lesión probablemente recidivará, por lo tanto, la cirugía abierta está recomendada en esos casos. Las indicaciones absolutas de intervención quirúrgica son la infección profunda, la necrosis cutánea grave o la asociación con una fractura abierta; dentro de las indicaciones relativas se encuentran las lesiones sintomáticas y las asociadas con fracturas cerradas que requieren intervención quirúrgica.12



CONCLUSIóN

A pesar de que no existe un consenso de manejo universalmente aceptado, el conocimiento de esta entidad y el diagnóstico temprano son esenciales para decidir un manejo conservador o no invasivo eficiente. En el caso de diagnóstico retardado o para lesiones muy extensas, el desbridamiento abierto demuestra los mejores resultados.


REFERENCIAS (EN ESTE ARTÍCULO)

  1. Scolaro JA, Chao T, Zamorano DP. The Morel-Lavallée lesion: diagnosis and management. J Am Acad Orthop Surg. 2016; 24: 667-672.

  2. Moune MY, Djoubairou BO, Mboka F, Viche Y, El Ouahabi A. Lumbar Morel-Lavallée lesion: a case report and review of the literature. J Med Case Rep. 2023; 17: 198.

  3. Sawkar AA, Swischuk LE, Jadhav SP. Morel-Lavallée seroma: a review of two cases in the lumbar region in the adolescent. Emerg Radiol. 2011; 18: 495-498.

  4. Efrimescu CI, McAndrew J, Bitzidis A. Acute lumbar Morel-Lavallée haematoma in a 14-year-old boy. Emerg Med J. 2012; 29: 433.

  5. Moran DE, Napier NA, Kavanagh EC. Lumbar Morel-Lavallée effusion. Spine J. 2012; 12: 1165-1166.

  6. Garrison M, Westrick RB, Johnson MR. Morel-Lavallée lesion of the lumbar region. J Orthop Sports Phys Ther. 2014; 44: 223.

  7. Buyukkaya A, Gunes H, Ozel MA, Buyukkaya R, Onbas O, Santas A. Lumbar Morel-Lavallée lesion after trauma: a report of 2 cases. Am J Emerg Med. 2015; 33: 1116.e5-e6.

  8. Greenhil D, Haydel C, Rehman S. Management of the Morel-Lavallée lesion. Orthop Clin North Am. 2016; 47: 115-125.

  9. Mellado JM, Bencardino JT. Morel-Lavallée lesion: review with emphasis on MR imaging. Magn Reson Imaging Clin N Am. 2005; 13: 775-782.

  10. Nickerson TP, Zeilinski MD, Jemkins DH, Schiller HJ. The Mayo clinic experience whit Morel-Lavallée lesions: establishment of a practice management guideline. J Trauma Acute Care Surg. 2014; 76: 493-497.

  11. Zairi F, Wang Z, Shedid D, Boubez G, Sunna T. Lumbar Morel-Lavallée lesion: case report and review of the literature. Orthop Traumatol Surg Res. 2016; 102: 525-527.

  12. Dawre S, Lamba S, Gupta S, Gupta AK. The Morel Lavallée lesion: a review and a proposed algorithmic approach. Eur J Plast Surg. 2012; 35: 489-494.



AFILIACIONES

1 Hospital Escuela Oscar Danilo Rosales Argüello. León, Nicaragua.

2 Médico adscrito del Servicio de Cirugía General.

3 Médico residente de cuarto año de Cirugía General.



CORRESPONDENCIA

Dr. Roberto José González Zambrana. E-mail: rgonzalez0876@gmail.com




Recibido: 26/02/2024. Aceptado: 24/02/2025

Figura 1
Figura 2
Tabla 1

2020     |     www.medigraphic.com

Mi perfil

C?MO CITAR (Vancouver)

Cir Gen. 2025;47

ARTíCULOS SIMILARES

CARGANDO ...