medigraphic.com
ENGLISH

Cirujano General

ISSN 2594-1518 (Digital)
ISSN 1405-0099 (Impreso)
  • Mostrar índice
  • Números disponibles
  • Información
    • Información general        
    • Directorio
  • Publicar
    • Instrucciones para autores        
    • Envío de artículos
  • medigraphic.com
    • Inicio
    • Índice de revistas            
    • Registro / Acceso
  • Mi perfil

2025, Número 1

<< Anterior Siguiente >>

Cir Gen 2025; 47 (1)


Quiste epidermoide en bazo errante simulando tumor ovárico

Reyna López, Brenda Guadalupe1; Marín Sierra, Carlos David2; de la Torre Ortiz, Martha Alejandra1; Gudiño Amezcua, Luis Manuel3; Saucedo Sabas, Alan Aaron4
Texto completo Cómo citar este artículo 10.35366/119613

DOI

DOI: 10.35366/119613
URL: https://dx.doi.org/10.35366/119613
Artículos similares

Idioma: Español
Referencias bibliográficas: 7
Paginas: 48-52
Archivo PDF: 479.11 Kb.


PALABRAS CLAVE

bazo errante, quiste de bazo, ligamentos esplénicos, esplenectomía, tumor ovárico.

RESUMEN

Introducción: el bazo errante es una rara condición médica en la que el bazo se desplaza a cualquier sitio de la cavidad abdominal. Con una tasa de incidencia menor a 0.2%, afecta principalmente a mujeres jóvenes. Presentación de caso: femenino de 16 años con dolor abdominal crónico y aumento del perímetro abdominal. Se realiza laparotomía exploradora, encontrando un bazo errante con un quiste epidermoide de 9 × 8 cm. Se efectúa esplenectomía y, posteriormente, se obtiene evolución postquirúrgica favorable. Conclusiones: el bazo errante tiene una presentación clínica variable, inespecífica y el diagnóstico suele basarse en estudios de imagen. Las complicaciones pueden incluir obstrucción intestinal, trombosis venosa portal, torsiones del pedículo. El tratamiento consiste en esplenectomía o esplenopexia dependiendo de la situación clínica y la evidencia de complicaciones.



INTRODUCCIóN

El bazo errante o ptósico es una anomalía anatómica caracterizada por la migración del bazo a cualquier sitio de la cavidad abdominal, secundario a laxitud de los ligamentos que lo fijan, lo que condiciona hipermovilidad e incluso torsión del pedículo esplénico.1 Con apenas 500 casos descritos alrededor del mundo, tiene una tasa de incidencia menor a 0.2%, con predominio en el sexo femenino y presentación de síntomas entre los 20 y 40 años de edad.2

Esta anomalía puede presentar patologías intrínsecas al órgano como los tumores quísticos. Se clasifican en parasitarios y no parasitarios, estos últimos se dividen en quistes verdaderos; con revestimiento trabeculado epitelial epidermoide, transicional o mesotelial, y pseudoquiste, cuando carecen de él.3 Los quistes verdaderos son causados por un defecto en la migración mesotelial causando atrapamiento del mesotelio peritoneal en los surcos esplénicos. Las células epiteliales suelen ser positivas para CA 19-9 y antígeno carcinoembrionario, pudiendo elevar estos marcadores de manera sérica, sin representar potencial de malignidad, observándose un revestimiento liso de color blanco o gris y contenido líquido de características variables. Suelen ser asintomáticos, a excepción de quistes grandes que producen sintomatología por compresión a órganos adyacentes.3



PRESENTACIóN DEL CASO

Se trata de paciente femenino de 16 años, sin antecedentes patológicos, quirúrgicos ni traumáticos, valorada por el Servicio de Ginecología por presentar aumento de volumen abdominal a nivel de cuadrante inferior izquierdo de seis meses de evolución, asociado con dolor crónico intermitente de un mes de evolución sin relación al ciclo hormonal.

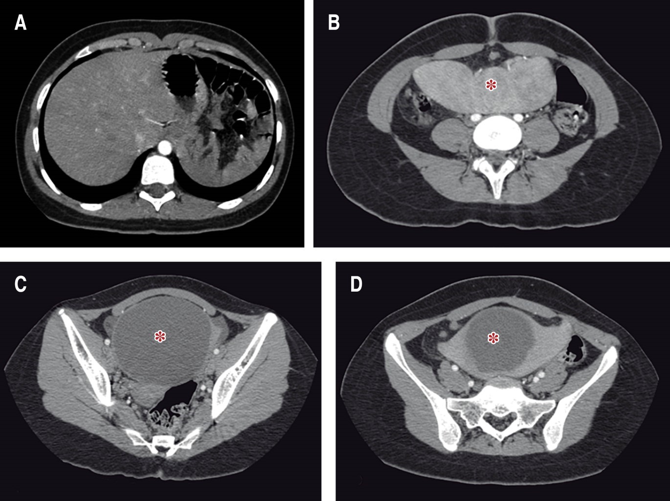
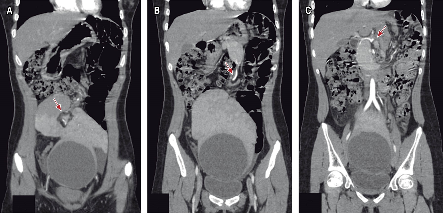
A la exploración física se logra palpar tumor delimitado, móvil, de aproximadamente 9 × 8 cm en cuadrante inferior izquierdo, sin datos de irritación peritoneal, se complementa abordaje con laboratorios en los que se reporta biometría hemática y química sanguínea dentro de parámetros normales, Ca-125 17 U/ml, tomografía abdominopélvica que reporta imagen compleja dependiente de ovario izquierdo (Figuras 1 y 2). Se decide realizar laparotomía exploradora electiva, donde se encuentra presencia de bazo errante a nivel pélvico con quiste de 9 × 9 cm (Figuras 3, 4 a 5), se realiza evisceración de bazo y drenaje de quiste, obteniendo 480 cm3 de contenido cetrino. Se solicita apoyo transoperatorio al Servicio de Cirugía General para la realización de esplenectomía, la cual se lleva a cabo con éxito. Útero, anexos y resto de vísceras sin alteraciones. Evolución postoperatoria adecuada, con egreso a las 24 horas de su ingreso, continuando con protocolo de paciente postesplenectomizado por externo.

En el reporte histopatológico se describe bazo de 15 × 6 × 5 cm con quiste epidermoide (epitelio escamoso estratificado no queratinizante) de 8 cm con superficie interna trabeculada (Figura 6).



DISCUSIóN

El bazo errante no tiene etiología clara, existen factores congénitos, como anormalidades en el desarrollo del mesogastrio dorsal que causa ausencia o malformación de los ligamentos esplénicos, y factores adquiridos, como esplenomegalia, factores hormonales por embarazo, debilidad de la pared abdominal e incluso causas infecciosas.4

El cuadro clínico cuando se presenta sintomático suele ser inespecífico, por lo que los estudios imagenológicos juegan un importante papel en el diagnóstico y de sus complicaciones. La tomografía abdominal contrastada es considerada el mejor estudio, aunque también pudiera ser útil el ultrasonido de abdomen. A menudo se identifica por su forma característica de "coma", sin observar el bazo en el cuadrante superior izquierdo; seguir el trayecto de los vasos esplénicos puede ayudar a identificar correctamente el bazo errante (Figuras 2 y 7).2

La presentación puede ser variable desde un hallazgo incidental, un tumor abdominal, abdomen agudo, incluso simular otras patologías,5 como en nuestro caso, el cual fue reportado erróneamente como tumor anexial. Entre las complicaciones se puede presentar torsión del pedículo vascular esplénico, lo cual puede provocar un infarto esplénico y/o trombosis de la vena esplénica, y dentro de las complicaciones más raras se ha descrito obstrucción intestinal por compresión, trombosis venosa portal, vólvulo gástrico e incluso asociación con vólvulo de cola de páncreas.4,5

El tratamiento recomendado ha cambiado con el tiempo, si se encuentra un bazo errante de manera intraoperatoria, se tiene la opción de realizar esplenectomía o esplenopexia. En los últimos años, lo recomendado era realizar esplenectomía, pero el creciente conocimiento del papel de la función del bazo y los riesgos de realizar esplenectomía, ha hecho que se recomiende destorsión y esplenopexia como opción terapéutica, cuando no exista evidencia de infarto, trombosis o hiperesplenismo.5,6

Dada a la baja incidencia de los quistes esplénicos, la literatura disponible se compone de series de casos con poca evidencia de alta calidad sobre el tratamiento óptimo, actualmente se establece dependiendo su etiología, presentación y tamaño del quiste.

Se ha indicado el manejo quirúrgico debido a la posibilidad de presentar complicaciones, como ruptura, hemoperitoneo, peritonitis química o formación de abscesos. Se reporta un riesgo de ruptura de 25%.3,7 Con base en este riesgo, anteriormente se recomendaba manejo conservador mediante observación a los quistes asintomáticos de menos de 5 cm, y manejo quirúrgico en quistes mayores de 5 cm o que presenten sintomatología.3 Sin embargo, en un estudio retrospectivo realizado en 115 pacientes, observaron que existe una baja tasa de complicaciones (1/115) relacionada con los quistes esplénicos, y que no existe evidencia que respalde un límite de 5 cm, por lo que sugieren que el tamaño del quiste no se utilice como criterio de manejo quirúrgico, y que éste se reserve para quistes sintomáticos independientemente de su tamaño.7

Se sabe que la aspiración percutánea de quistes sintomáticos tiene una tasa alta de recurrencia y la esplenectomía total, abierta o laparoscópica evita la recidiva de la lesión, pero con el riesgo de complicaciones por alteración en la función inmunológica, por lo que la tendencia actual es un manejo preservador de tejido, mediante esplenectomía parcial, marsupialización del quiste o fenestración del quiste.3,7

En el caso presentado se asociaron dos patologías poco frecuentes, quiste esplénico con bazo errante; un quiste de más de 5 cm, que causaba sintomatología por compresión, siendo lo ideal en esta circunstancia realizar una esplenectomía total.



CONCLUSIONES

Al ser una entidad poco frecuente y de difícil diagnóstico clínico, el diagnóstico por imagen, principalmente tomografía computarizada, es de suma importancia, considerando variantes anatómicas, así como una adecuada relación clínica e imagenológica. Además, los cirujanos deben estar familiarizados con los procedimientos quirúrgicos conservadores de bazo y siempre que sea posible preservar el bazo dejando la esplenectomía total cuando exista complicaciones o riesgo en el resultado del procedimiento.

En caso de presentar complicaciones, el diagnóstico precoz y una atención quirúrgica son la mejor garantía para preservar el bazo.



AGRADECIMIENTOS

Los autores agradecen al personal involucrado del Servicio de Cirugía General del Hospital General Tercer Milenio, por el apoyo para la adecuada atención y realización de este proyecto. Al Dr. José Manuel Nava Román, cirujano del Hospital General Tercer Milenio por la asesoría y reconstrucción en 3D de las imágenes de tomografía computarizada. Al Dr. José Augusto Rodríguez Osuna, cirujano laparoscopista, por apoyo e inspiración para la realización de este proyecto.


REFERENCIAS (EN ESTE ARTÍCULO)

  1. Puranik AK, Mehra R, Chauhan S, Pandey R. Wandering spleen: a surgical enigma. Gastroenterol Rep (Oxf). 2017; 5: 241-243.

  2. Reisner DC, Burgan CM. Wandering spleen: an overview. Curr Probl Diagn Radiol. 2018; 47: 68-70.

  3. Nowak B, Fielding GA, Pachter HL. Treatment of splenic cysts. Laparosc Surg. 2021; 5: 11.

  4. De Andrés-Asenjo B, Fernández-González N. Torsión aguda de bazo errante, causa poco frecuente de abdomen agudo. Cir Cir. 2012; 80: 283-286.

  5. Saldívar-Martínez DE, Galindo-Sánchez HM, Fonseca-Sada I, Marcos-Ramírez ER, Vázquez-Fernández F. Bazo errante infartado y vólvulo de cola de páncreas en un paciente con hernia de Grynfelt-Lesshaft concomitante. Cir Cir. 2021; 89: 20-22.

  6. Tagliabue F, Chiarelli M, Confalonieri G, Pesenti G, Beretta S, Cappello A, et al. The wandering spleen. J Gastrointest Surg. 2017; 22: 546-547.

  7. Kenney CD, Hoeger YE, Yetasook AK, Linn JG, Denham EW, Carbray J, et al. Management of non-parasitic splenic cysts: does size really matter? J Gastrointest Surg. 2014; 18: 1658-1663.



AFILIACIONES

1 Médico residente de cuarto año de Cirugía General, Centenario Hospital Miguel Hidalgo. Aguascalientes, Aguascalientes.

2 Médico adscrito al Servicio de Ginecología. Aguascalientes, Aguascalientes.

3 Médico adscrito al Servicio de Cirugía General. Hospital General Tercer Milenio. Aguascalientes, Aguascalientes.

4 Médico residente de segundo año de Cirugía General, Centenario Hospital Miguel Hidalgo. Aguascalientes, Aguascalientes.



CORRESPONDENCIA

Dra. Brenda Guadalupe Reyna López. E-mail: brendareyna.246@gmail.com




Recibido: 07/09/2023. Aceptado: 20/02/2025

Figura 1
Figura 2
Figura 3
Figura 4
Figura 5
Figura 6
Figura 7

2020     |     www.medigraphic.com

Mi perfil

C?MO CITAR (Vancouver)

Cir Gen. 2025;47

ARTíCULOS SIMILARES

CARGANDO ...