medigraphic.com
ENGLISH

Revista Mexicana de Pediatría

ISSN 0035-0052 (Impreso)
  • Mostrar índice
  • Números disponibles
  • Información
    • Información general        
    • Directorio
  • Publicar
    • Instrucciones para autores        
    • Envío de artículos
  • medigraphic.com
    • Inicio
    • Índice de revistas            
    • Registro / Acceso
  • Mi perfil

2024, Número 4

<< Anterior Siguiente >>

Rev Mex Pediatr 2024; 91 (4)


Síndrome de Poland

Torres-Batista, Luis Enrique1; Torres-Batista, Fidel Enrique2; Torres-Castañeda, Idelvis3; Nsa-Assoumou, Bérénice Elesina4
Texto completo Cómo citar este artículo 10.35366/119694

DOI

DOI: 10.35366/119694
URL: https://dx.doi.org/10.35366/119694
Artículos similares

Idioma: Español
Referencias bibliográficas: 24
Paginas: 154-157
Archivo PDF: 323.32 Kb.


PALABRAS CLAVE

síndrome de Poland, agenesia pectoral, sindactilia, malformación congénita.

RESUMEN

El síndrome de Poland es una enfermedad congénita rara, de etiología desconocida que afecta el desarrollo del músculo pectoral mayor, la cual se acompaña frecuentemente de malformaciones de la mano, mama, complejo areola-pezón, pectoral menor ipsilateral y otras malformaciones. Se presenta un recién nacido de sexo femenino, a quien desde el nacimiento se detecta agenesia del pectoral derecho y anomalía de la mano derecha. Se diagnostica síndrome de Poland, grado I.



INTRODUCCIóN

El síndrome de Poland es una enfermedad congénita extremadamente rara, con una incidencia estimada de 1 de cada 20,000 a 30,000 nacidos vivos. Afecta en forma parcial o total el desarrollo del músculo pectoral mayor. Predomina en hombres (≈ 70%),1-3 y suele encontrarse con mayor frecuencia el lado derecho (60-75%). Su nombre se debe a Alfred Poland, quien describió este síndrome en el año 1841. Se conoce poco sobre su etiología, aunque se han asociado con la disminución o interrupción del flujo sanguíneo de la arteria subclavia durante la sexta semana de desarrollo fetal,4-6 o bien a factores genéticos o ambientales (como drogas y tabaco).7 No existe un patrón de herencia determinado, ni factores de riesgo definidos y es excepcional la recurrencia familiar.8

El trastorno principal es la alteración en el desarrollo del músculo pectoral mayor con una anomalía de la mano homolateral, acompañada o no por sindactilia o braquidactilia homolateral, agenesia o hipoplasia de otros músculos de la pared torácica, atelia, amastia o hipoplasia mamaria, así como por costillas deformes o ausentes.1 Desde el punto de vista clínico, los pacientes presentan una depresión infraclavicular y la inexistencia del pliegue anterior de la axila.

El síndrome de Poland puede acompañarse de otras malformaciones como alteraciones condrocostales (costillas deformes o ausentes), así como ausencia de otros músculos (pectoral menor, serratus, dorsal ancho, oblicuo externo, infraespinoso y músculo supraespinoso), de tejidos blandos (piel hipoplásica con capa subcutánea delgada, pelo axilar ausente) o tejidos mamarios (atelia, amastia, hipoplasia mamaria, pezón más pequeño y alto). En ocasiones pueden ocurrir anomalías del miembro superior del mismo lado: brazo, antebrazo y dedos (sinfalangismo), dedos cortos y palmados (sindactilia cutánea). Además, se han descrito pacientes con hernia pulmonar anterior, escápula más pequeña con alas (deformidad de Sprengel), malformaciones de la columna vertebral y del riñón; pero siempre confinadas a un solo lado del cuerpo.1,9 Un hecho importante es que cuando se presenta en mujeres, la amastia ocurre hasta en 10% de los casos.10

La triada de Poland consiste en agenesia o hipoplasia de los músculos pectorales mayor y menor, hipoplasia mamaria y al desarrollo parcial de los tres cartílagos costales superiores. Esta triada tiene tres grados: en el grado I, la pared condrocostal es normal; en el grado II, la pared condrocostal es normal, pero con pectus carinatum contralateral; mientras que el grado III consiste en dismorfia condral o agenesia cartilaginosa con costilla hipoplásica (hernia de pulmón), con o sin pectus carinatum contralateral.11 La sindactilia es la anomalía de la mano más frecuente asociada con la triada.

Por otro lado, el síndrome de Poland también se ha asociado con el síndrome de Moebius (parálisis congénita facial uni o bilateral con deterioro de abducción ocular; dado por una agenesia o aplasia de los nervios craneales VI y VII), con el de Goldenhar, con el espectro óculo-auriculo-vertebral (hipoplasia de las regiones malar, mandibular y/o maxilar del lado afectado, microtia con diversas repercusiones auditivas, alteraciones oftalmológicas como tumores epibulbares y vértebras fusionadas o hemivértebras), con el síndrome de Klippel-Feil (segmentación de la columna cervical, que causa la triada de cuello corto, inserción posterior del pelo baja, cuello ancho con limitación de los movimientos cervicales), así como con el de Adams-Oliver.12 Asimismo, hay reportes de su asociación con leucemia, linfoma no Hodgkin y el carcinoma ductal invasor en la mama hipoplásica.13-15



PRESENTACIóN DEL CASO

RN de sexo femenino, nacida en el hospital Universitario (Fundación Jeanne Ebori) de Libreville en Gabón. Madre gabonesa de 34 años de edad, sin ocupación, sin antecedentes personales y familiares de importancia. Fue producto de la primera gestación. La madre negó consumo de sustancias tóxicas durante el embarazo y recibió una atención prenatal adecuada. Los exámenes en el embarazo mostraron: serología negativa para sífilis, hepatitis B y VIH. Grupo sanguíneo: O Rh positivo. Electroforesis (AA). Es atendida en la sala de parto del Hospital Jeanne Ebori, la niña nace de un parto eutócico a las 39 semanas. El líquido amniótico es claro. Pesa al nacimiento 3,000 g, con talla de 48 cm, perímetro cefálico de 32 cm y torácico de 30 cm, Apgar 9/10.

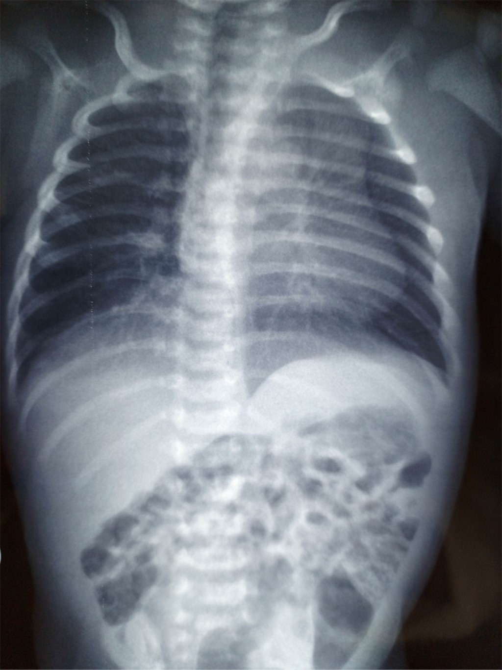
Al nacimiento se identificó malformación a nivel del tórax, con agenesia del pectoral derecho y amastia (Figura 1), así como sindactilia/braquidactilia de la mano derecha (fusión del tercer, cuarto y quinto dedos/anular, dedo del medio y el menique o dedo auricular) (Figura 2). No se detectó alguna otra malformación en el resto de la exploración física. En la radiografía de tórax no evidenciaron alteraciones óseas (Figura 3). Con los datos clínicos y de imagen se concluyó un síndrome de Poland grado I.



DISCUSIóN

El hallazgo principal en el síndrome de Poland es la aplasia unilateral de los fascículos costoesternales del músculo pectoral mayor, sin desarrollo de su fascículo esternocostal que se traduce clínicamente en una depresión infraclavicular y la inexistencia del pliegue anterior de la axila.16-18 Puede acompañarse de malformaciones condrocostales, de los tejidos blandos del hemitórax correspondiente y del miembro superior homolateral, lo que produce alteraciones morfológicas y estructurales en la caja torácica.1

Una mención especial merece la dextrocardia en este síndrome.6 Si ocurre se debe a la afectación del lado izquierdo del tórax y, de acuerdo con lo planteado por algunos autores, es secundaria a la deformidad torácica producida por las malformaciones costales y su efecto sobre la formación cardiaca en el periodo embrionario.17,18

En este síndrome no se ha demostrado una transmisión genética, aunque se ha descrito de forma excepcional casos familiares (primos, madre-hija e incluso gemelos univitelinos). El patrón familiar podría corresponder a una herencia autosómica dominante con penetrancia reducida.19-21 En 1965, Trier encontró por primera vez dos casos de padre e hijo con síndrome de Poland.22

El tratamiento depende del sexo del paciente. Cuando el paciente es varón, basta con crear la sensación de poseer un músculo pectoral, dada la ausencia de alteración funcional, pudiera no tratarse, pero por aspectos estéticos hay opciones quirúrgicas durante la juventud. En mujeres, por la ausencia de la mama, se debe considerar la reconstrucción estética con prótesis e injertos cuando hayan terminado su desarrollo. El logro estético después de la cirugía suele ser satisfactorio. Por lo general, no hay debilidad muscular significativa.16,22 La corrección de la sindactilia debe iniciarse entre los 12 y los 24 meses de vida. En caso de ausencia de falange, se puede proponer la transferencia libre no-microvascular de la falange o la transferencia digital microvascular desde el pie.16

Es importante dar a conocer estos casos, pues permiten ofrecer información que facilite y ayude a los médicos tratantes a pensar en esta condición y brindar mejor orientación y ayuda psicológica a los padres y familiares del bebé. De igual manera, deben estar preparados para posibles cirugías.22-24

Por último, de acuerdo con cada paciente, es muy probable que se requiera involucrar a un gran número de especialistas, de acuerdo con el número de anomalías que estén presentes.


REFERENCIAS (EN ESTE ARTÍCULO)

  1. Naveena T. Poland anomaly, a sporadic syndrome: a review. Indian J Med Res Pharm Sci. 2016; 3(8): 37-40. doi: 10.5281/zenodo.60325.

  2. Santra G, Sinha PK, Bhattachary K, Phaujdar S. Poland syndrome. J Assoc Physicians India. 2012; 60: 40.

  3. Ramírez-Lluch N, Acevedo-Echevarría JM. Deformidad de la caja torácica. Rev Chil Cir. 2018; 70(4): 373-381.

  4. Baas M, Burger EB, Sneiders D, Galjaard RH, Hovius SER, van Nieuwenhoven CA. Controversies in Poland syndrome: alternative diagnoses in patients with congenital pectoral muscle deficiency. J Hand Surg Am. 2018; 43(2): 186.e1-186.e16.

  5. Melo-Victores MR, Alvaré-Alvaré L, Lobato-Pastrana MD, González-Concepción I. Síndrome de Poland atípico. Invest Medicoquir. 2016; 8(2): 288-293.

  6. Ozkok S, Erol N, Onal C, Yikilmaz A. Left-sided Poland's syndrome associated with dextrocardia. North Clin Istanb. 2019; 6(2): 192-195.

  7. Puvabanditsin S, Garrow E, Augustin G, Titapiwatanakul R, Kuniyoshi KM. Poland-Mobius syndrome and cocaine abuse: a relook at vascular etiology. Pediatr Neurol. 2005; 32(4): 285-287. doi: 10.1016/j.pediatrneurol.2004.11.011.

  8. Sierra-Santos L, González-Rodríguez MP. Síndrome de Poland: descripción de dos casos familiares. An Pediatr (Barc). 2008; 69(1): 49-51. doi: 10.1157/13124219.

  9. Ta RK, Saha K, Saha A, Ghosh S, Mitra M. Poland syndrome with absent ribs. Med J DY Patil Univ. 2014; 7(1): 82-84. doi: 10.4103/0975-2870.122795.

  10. Chatterjee R, Patel K, Pandey D, Rathod B. Poland syndrome with amastia-athelia. Neurol India 2019; 67(4): 1167. doi. 10.4103/0028-3886.266297.

  11. Minguella-Solá J, Cabrera-González M. Síndrome de Poland. Revisión de 38 casos. Anal Esp Ped. 1998; 48(2): 143-147.

  12. Paradowska-Stolarz AM, Ziomek M, Sluzalec-Wieckiewicz K, Dus-Ilnicka I. Most Common congenital syndromes with facial asymmetry: a narrative review. Den Me Probl. 2024; 61(6): 925-932. doi. 10.17219/dmp/186086.

  13. Sackey K, Odone V, George SL, Murphy SB. Poland's syndrome associated with childhood non-hodgkin's lymphoma. Am J Dis Child. 1984; 138(6): 600-601.

  14. Parikh PM, Kaerandikar SM, Pahuja R, Charak BS, Saikia T, Gopal R et al. Poland's syndrome with acute lymphoblastic leukemia in adult. Med Ped Oncol. 1988; 16(4): 290-292. doi: 10.1002/mpo.2950160415.

  15. Huang Y, Pang H, Jin S, Han X, Lui X, Yang L et al. Clinical characteristics of Poland's syndrome associated with breast cancer: two case report and a literature review. J Cancer Res Ther. 2018; 14(7): 1665-1669. doi: 10.4103/jcrt.JCRT_814_17.

  16. Cataño JC, Restrepo S. Poland syndrome: unilateral hypoplastic pectoralis major with brachydactyly. Postgrad Med J. 2019; 95(1129): 627.

  17. National Center for Advancing Translational Sciences. Síndrome de Poland. Disponible em: https://rarediseases.info.nih.gov/espanol/13116/sindrome-de-poland

  18. Almánzar R. Anomalía de Poland, a propósito de dos casos. Cienc Salud. 2019; 3(3): 65-68. doi: 10.22206/cysa.2019.v3i3.pp65-68.

  19. Vázquez AJ, Aguirre ZJE, García OGF, Aguirre ZMF. Serie de casos: síndrome de Poland completo vs. incompleto. Resolución quirúrgica. Rev Med Hosp José Carrasco Arteaga. 2018; 10(1): 61-68.

  20. Fraser FC, Ronen GM, O'Leary E. Pectoralis major defect and Poland sequence in second cousins: extension of the Poland sequence spectrum. Am J Med Genet. 1989; 33(4): 468-470. doi: 10.1002/ajmg.1320330409.

  21. Shalev SA, Hall JG. Poland anomaly--report of an unusual family. Am J Med Genet A. 2003; 118A(2): 180-183. doi: 10.1002/ajmg.a.10145.

  22. Val-Lorente MA, Esteruelas-Cuarteto P, García-Muniesa A, Macipe-Gascón B, Gil-Serrano C, Orós-Ribes EP. Síndrome de Poland. Revista Sanitaria de Investigación. 2022; 3(1). Disponible en: https://dialnet.unirioja.es/servlet/articulo?codigo=8662527&orden=0&info=link

  23. Juri M, Giachero V. Colgajo dorsal ancho por abordaje único vertical en el síndrome de Poland. Caso clínico. Anfamed. 2021; 8(1): e404.

  24. Cavalcanti R, Suárez PF, Monteiro A. Poland's syndrome treatment with customized implant – a case report. J Surg Transplant Sci. 2016; 4(2): 1025-1027.



AFILIACIONES

1 Especialista en neonatología. Hospital Universitario Fundación Jeanne Ebori. Libreville

2 Especialista en neonatología. Hospital Materno Infantil Gueddi Bakir de Ghardaia. Argelia

3 Licenciada en enfermería. Policlínico "Ángel Ortiz Vázquez". Manzanillo, Granma

4 Partera. Hospital Universitario Fundación Jeanne Ebori. Libreville.



Conflicto de intereses: los autores declaran que no tienen.



CORRESPONDENCIA

Luis Enrique Torres-Batista, E-mail: luisetorresbatista@yahoo.com




Recibido: 10/04/2024. Aceptado: 26/09/2024

Figura 1
Figura 2
Figura 3

2020     |     www.medigraphic.com

Mi perfil

C?MO CITAR (Vancouver)

Rev Mex Pediatr. 2024;91

ARTíCULOS SIMILARES

CARGANDO ...