medigraphic.com
ENGLISH

Revista ADM Órgano Oficial de la Asociación Dental Mexicana

ISSN 0001-0944 (Impreso)
Órgano Oficial de la Asociación Dental Mexicana
  • Mostrar índice
  • Números disponibles
  • Información
    • Información general        
    • Directorio
  • Publicar
    • Instrucciones para autores        
    • Envío de artículos
  • medigraphic.com
    • Inicio
    • Índice de revistas            
    • Registro / Acceso
  • Mi perfil

2025, Número 2

<< Anterior

Rev ADM 2025; 82 (2)


Tratamiento endodóncico no quirúrgico de resorción radicular provocada por tercer molar retenido: reporte de un caso con control a 6 meses.

Espinosa Torres, Alfonso1
Texto completo Cómo citar este artículo 10.35366/119885

DOI

DOI: 10.35366/119885
URL: https://dx.doi.org/10.35366/119885
Artículos similares

Idioma: Español
Referencias bibliográficas: 17
Paginas: 114-119
Archivo PDF: 454.83 Kb.


PALABRAS CLAVE

resorción radicular, tercer molar retenido, tomografía.

RESUMEN

Se presenta un caso de resorción radicular de un segundo molar inferior, provocada por un tercer molar impactado, el tratamiento consistió en un sellado radicular completo con biodentine de la raíz afectada y tratamiento endodóncico convencional en la otra raíz. Para el diagnóstico y tratamiento se utilizaron imágenes con tomografía de haz cónico y la función Endoscope® que permite observar el interior de los conductos radiculares con imágenes en tercera dimensión. Con esta opción de tratamiento se evita un procedimiento quirúrgico y se permite establecer un pronóstico favorable a mediano y largo plazo.



INTRODUCCIóN

Durante mucho tiempo se ha pretendido encontrar un material idóneo para el tratamiento de apexificación de dientes inmaduros, el hidróxido de calcio ha sido el material más utilizado con resultados variables, sin embargo, tiene, entre otros, el inconveniente de requerir varias citas para lograr el resultado deseado, que no siempre se logra alcanzar por diferentes motivos. Ante esto, se han buscado opciones de materiales que permitan lograr en una sola cita un sellado apical de los dientes con ápice inmaduro, entre estos materiales tenemos al Mineral Trioxide Aggregate (MTA) y al biodentine, como las primeras opciones para lograr este propósito.1-5

Como sucede con los dientes permanentes que reabsorben las raíces de los dientes primarios durante sus patrones normales de erupción, los dientes desalineados y los terceros molares también tienen la capacidad de reabsorber las raíces de los dientes adyacentes. La investigación de este fenómeno utilizando radiografías periapicales ha sugerido que la ocurrencia de una reabsorción radicular significativa asociada con la impactación del tercer molar es tan alta como el 7%, sin embargo, estudios recientes que han utilizado tomografía de haz cónico establecen grados de resorción radicular de los segundos molares hasta en 50% de estos casos.6-8

En la actualidad, se ha considerado como los factores asociados con una frecuencia significativamente mayor de resorción radicular externa en segundos molares provocadas por terceros molares incluidos a la ubicación del tercer molar, la presencia de contacto entre ambos molares y la inclinación mesioangular del tercer molar.7-9

El caso presentado en este trabajo tiene la peculiaridad de que la resorción radicular sufrida por la raíz distal de un segundo molar mandibular, provocada por la retención de un tercer molar inferior, dejó en la raíz una forma anatómica muy semejante a la de un diente con ápice inmaduro, por lo que se decide tratarlo como tal con una obturación completa del conducto radicular con biodentine.



PRESENTACIóN DEL CASO

Se trata de un paciente masculino de 32 años, sin antecedentes médicos de importancia, que acude a consulta de una colega cirujano dentista de práctica general por presentar dolor moderado, constante y de 48 horas de evolución en zona de molares inferiores izquierdos, al hacer la exploración clínica y radiográfica, se detecta retención de tercer molar inferior, clasificándose como clase I C de Pell y Gregory y en una posición horizontal según la escala de Winter (Figura 1).10,11

La radiografía muestra una superposición de imágenes entre la corona del tercer molar retenido y la raíz distal del segundo molar, que no permite observar la raíz distal del segundo molar.

La corona del segundo molar presenta zonas radiopacas en la corona en sus caras mesial y oclusal, presenta además una cámara pulpar amplia, es visible una línea radiolúcida en la raíz mesial, compatible con uno de los canales radiculares mesiales de tamaño delgado y con ligeras curvaturas hacia distal y mesial, también se observa una línea radiolúcida en la superficie mesial de la misma raíz, compatible con ensanchamiento ligero del espacio del ligamento periodontal, que se extiende hasta la zona periapical.

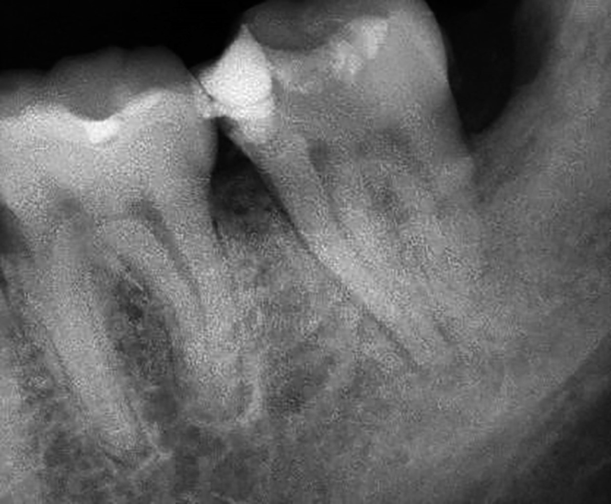
Se decide extraer el tercer molar, procedimiento que fue realizado por un cirujano maxilofacial, sin complicaciones aparentes. Después de tres semanas el paciente acude nuevamente refiriendo dolor en la zona del segundo molar izquierdo, se toma una nueva radiografía donde se observa pérdida de continuidad de la imagen del tercio medio y apical de la raíz distal (Figura 2).

El paciente presenta síntomas de pulpitis irreversible sintomática, por lo que la dentista de práctica general remite al paciente con un servidor para valoración.

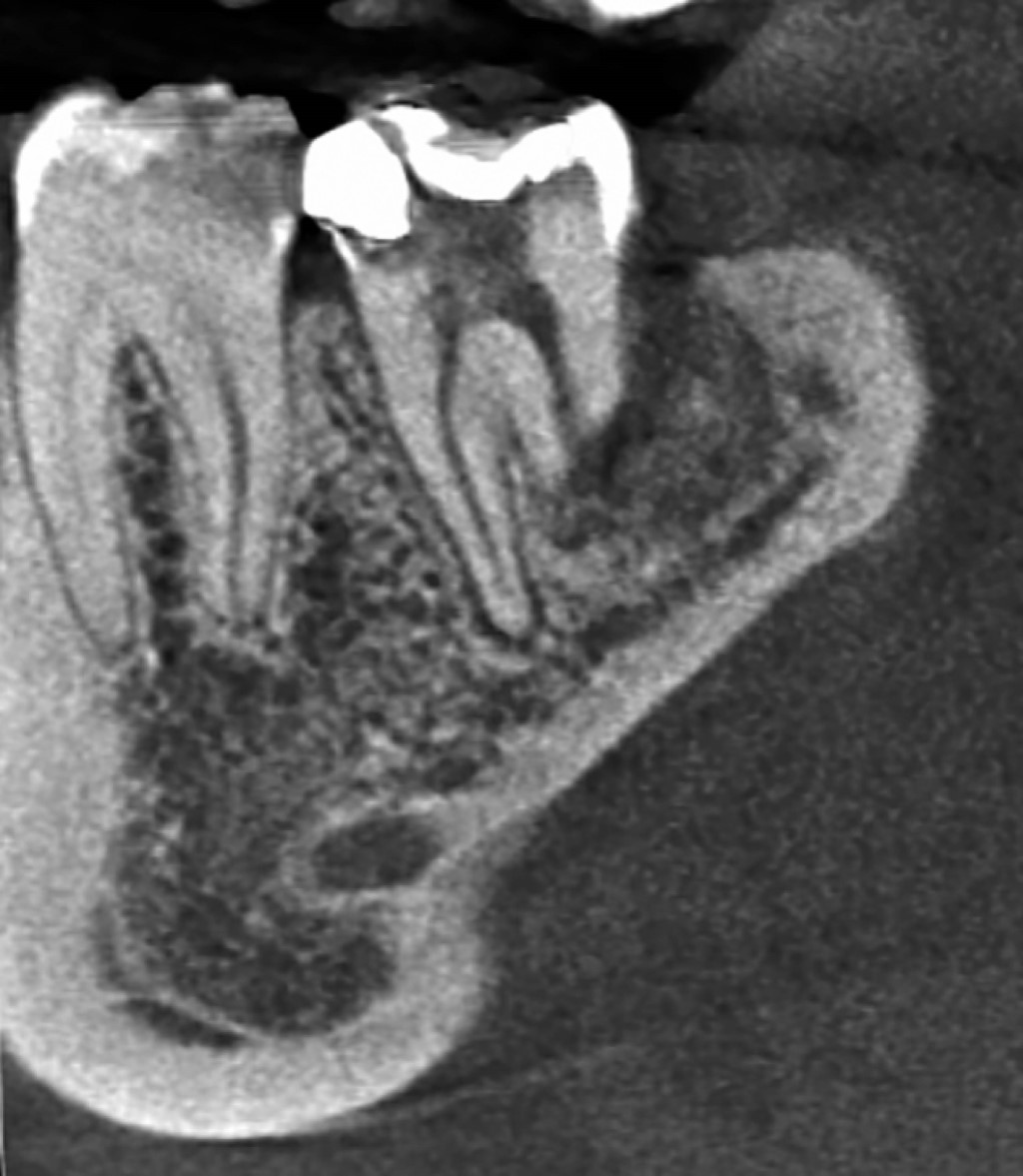
Al revisar las radiografías y al paciente, se decide tomar una tomografía de haz cónico segmentada de la zona de molares inferiores izquierdos, misma que fue hecha con un tomógrafo marca KaVo OP 3D Pro que se acompaña del visor OnDemand3D.

Las imágenes de reconstrucción 3D muestran pérdida de cortical vestibular en la zona del tercer molar, de forma redondeada, compatible con la forma de la corona del tercer molar extraído previamente, así como reabsorción de los tercios medio y apical de la raíz distal del segundo molar, observando que la reabsorción no se presenta de forma simétrica, la pared lingual de la raíz se extiende aproximadamente al tercio medio, no así la pared vestibular de la misma raíz que solamente está presente hasta el tercio coronal (Figuras 3 y 4).

La proyección coronal de la tomografía comprueba lo anterior, además muestra un conducto distal amplio que se extiende solamente hasta el tercio coronal radicular (Figura 5).

Por su parte, en la proyección sagital se observa que la pared mesial de la raíz distal termina aproximadamente en el tercio medio radicular y la pared distal tiene su nivel en el tercio coronal (Figura 6).

Con la información previa podemos asegurar que el conducto distal se encuentra permeable y tiene un diámetro amplio, características que lo hacen candidato para utilizar en él la herramienta del software OnDemand3D denominada Endoscope, que permite hacer una reconstrucción en 3D del interior del conducto radicular, con esto comprobamos que efectivamente la amplitud del conducto distal es considerable y que debemos tener precauciones al obturarlo, para que el material de relleno no salga hacia el espacio periodontal (Figuras 7, 8 y 9).

Con esta información establecimos el siguiente plan de tratamiento: se inicia endodoncia convencional en la raíz mesial, bajo anestesia local con lidocaína al 2% (Zeyco, México) y aislamiento absoluto con dique de goma (Nictone, México), se instrumentan dos conductos radiculares con el sistema rotatorio G Super Blue (DreamSpace, China), irrigando entre cada lima con hipoclorito de sodio al 5.25%, una vez terminada la instrumentación, se hace irrigación ultrasónica pasiva con tres ciclos de 20 segundos en cada conducto, usando un equipo de ultrasonido inalámbrico Endo Ultra Activator (DreamSpace, China), seguido de esto se irriga con solución EDTA al 17% (Viarden, México) usando 5 mL y dejando la solución durante 3 minutos dentro del conducto, para luego terminar la irrigación con agua destilada 10 mL durante 3 minutos más (Figura 10).

Terminado lo anterior, se secan ambos conductos con puntas de papel 35/04 (Gapadent, China), para la obturación se utilizó cemento sellador para canales radiculares Sealapex (Kerr Endodontics, Italia) y puntas de gutapercha F3 (Dentsply Sirona, India) (Figura 11).

Para el tratamiento de la raíz distal, al presentar una gran amplitud, solamente se hizo una ligera instrumentación con lima tipo K calibre 60 (Dentsply, México) para remover los restos de tejido presentes en el conducto, se irrigó con solución fisiológica 5 mL a muy baja presión durante 3 minutos, el conducto se secó después con puntas de papel calibre 70 (Gapadent, China), se decidió obturar de forma completa el canal distal con biodentine (Septodont, Francia), para lo cual se controló el nivel de obturación bajo microscopio dental, tomando en cuenta la longitud obtenida en la tomografía, una vez obturado el conducto distal, se colocó el resto del biodentine de forma uniforme sobre el piso de la cámara pulpar hasta aproximadamente la mitad de la misma, esto con objeto de mantener un grosor de material suficiente y prevenir que con el paso del tiempo hubiera comunicación hacia el conducto radicular por reabsorción del biodentine (Figuras 12 y 13).

Para finalizar, se colocó resina dual hasta rellenar completamente el acceso endodóncico y el paciente fue regresado con la cirujana dentista que lo refirió, quien le elaboró una restauración coronal completa de metal porcelana. A los seis meses el paciente acude para control radiográfico, refiriendo haber estado asintomático durante este tiempo, podemos observar ausencia de zonas radiolúcidas periapicales, nivel del hueso alveolar satisfactorio, sin aumento del espacio del ligamento periodontal, (Figura 14), por lo que se decide citarlo en un año para nuevo control.



DISCUSIóN

El MTA y el biodentine están siendo utilizados desde hace tiempo para el tratamiento endodóncico de dientes con ápice inmaduro, con resultados satisfactorios.12,13 Nuestro caso, por el contrario, no se trataba de un diente con ápice inmaduro, sino que era un molar permanente que sufrió la resorción de la raíz hasta tercio coronal, debido a la presión ejercida por la corona de un tercer molar en posición horizontal.

Si bien, un diente permanente con ápice inmaduro, que requiere un tratamiento de endodoncia tiene una etiología diferente a la de un segundo molar con una raíz distal que ha sufrido resorción después de su formación completa, provocada por un tercer molar retenido,14,15 en la presentación de este caso, encontramos que la forma anatómica resultante de la resorción provocada por el tercer molar era semejante a la de una raíz con ápice inmaduro, por ello decidimos tratarlo como tal, con la colocación de una barrera de biodentine en la totalidad del conducto radicular.

Los reportes de tasas de éxito con la técnica de tope apical con MTA o biodentine se han establecido entre 80 y 96%,15,16 en este caso después de seis meses del tratamiento, el paciente se muestra asintomático y no hay evidencia radiológica de patología perirradicular.

El uso de tomografía computarizada de haz cónico ha permitido establecer parámetros más exactos del daño provocado en los segundos molares que sufren resorción radicular a causa de terceros molares retenidos,15-17 en este caso la tomografía nos ayudó a establecer la forma anatómica precisa de la raíz dañada y al realizar una reconstrucción en 3D del interior del conducto radicular se pudo llevar a cabo una planificación del tratamiento más certera.



CONCLUSIóN

Este caso nos muestra que podemos utilizar la técnica de tope apical con biodentine para tratar casos de resorción radicular provocada por dientes retenidos, con un pronóstico favorable, aunque también pueden utilizarse otros materiales biocerámicos, esto dependerá muchas veces de la facilidad de adquisición de los mismos, ya que por ser materiales de reciente aparición algunos no se encuentran disponibles de forma cotidiana en las diferentes regiones de país.


REFERENCIAS (EN ESTE ARTÍCULO)

  1. Sheehy EC, Roberts GJ. Use of calcium hydroxide for apical barrier formation and healing in non vital immature permanent teeth: a review. Br Dent J. 1997; 183: 241-246.

  2. Felippe MC, Felippe WT, Marques MM, Antoniazzi JH. The effect of renewal of calcium hydroxide paste on the apexification and periapical healing of teeth with incomplete root formation. Int Endod J. 2005; 38: 436-442.

  3. Metzger Z, Solomonov M, Mass E. Calcium hydroxide retention in wide root canals with flaring apices. Dent Traumatol. 2001; 17: 86-92.

  4. Andreasen JO, Farik B, Munksgaard EC. Long-term calcium hydroxide as a root canal dressing may increase risk of root fracture. Dent Traumatol. 2002; 18: 134-137.

  5. Binnie WH, Rowe AH. A histological study of periapical tissues of incompletely formed pulpless teeth filled with calcium hydroxide. J Dent Res. 1973; 52: 1110-1116.

  6. Nitzan D, Keren T, Marmary Y. Does an impacted tooth cause root resorption of the adjacent one? Oral Surg Oral Med Oral Pathol. 1981; 51 (3): 221-224.

  7. Suter VGA, Rivola M, Schriber M, Leung YY, Bornstein MM. Risk factors for root resorption of second molars associated with impacted mandibular third molars. Int J Oral Maxillofac Surg. 2019; 48 (6): 801-809.

  8. Oenning AC, Melo SL, Groppo FC, Haiter-Neto F. Mesial inclination of impacted third molars and its propensity to stimulate external root resorption in second molars--a cone-beam computed tomographic evaluation. J Oral Maxillofac Surg. 2015; 73 (3): 379-386.

  9. Keskin Tunc S, Koc A. Evaluation of risk factors for external root resorption and dental caries of second molars associated with impacted third molars. J Oral Maxillofac Surg. 2020; 78 (9): 1467-1477.

  10. Pell GJ, Gregory GT. Impacted mandibular third molars: classification and modified technique for removal. Dent Dig. 1933; 39: 330-338.

  11. Winter G. Principles of exodontia as applied to the impacted third molar;a complete treatise on the operative technic with clinical diagnoses and radiographic interpretations. EE. UU.: American Medical Book Company; 1926.

  12. Khetarpal A, Chaudhary S, Talwar S, Verma M. Endodontic management of open apex using Biodentine as a novel apical matrix. Indian J Dent Res. 2014; 25 (4): 513-516.

  13. Rudagi KB, Rudagi B. One-step apexification in immature tooth using grey mineral trioxide aggregate as an apical barrier and autologus platelet rich fibrin membrane as an internal matrix. J Conserv Dent. 2012; 15 (2): 196-199.

  14. Chueh LH, Ho YC, Kuo TC, Lai WH, Chen YH, Chiang CP. Regenerative endodontic treatment for necrotic immature permanent teeth. J Endod. 2009; 35 (2): 160-164.

  15. Shahmohammadi R, Sheikhnezami M, Moradi S, Jafarzadeh H, Azarpazhooh A. Treatment outcomes of permanent immature teeth with crown fracture: a retrospective cohort study. J Endod. 2021; 47 (11): 1715-1723.

  16. Ree MH, Schwartz RS. Long-term success of nonvital, immature permanent incisors treated with a mineral trioxide aggregate plug and adhesive restorations: a case series from a private endodontic practice. J Endod. 2017; 43 (8): 1370-1377.

  17. Schriber M, Rivola M, Leung YY, Bornstein MM, Suter VGA. Risk factors for external root resorption of maxillary second molars due to impacted third molars as evaluated using cone beam computed tomography. Int J Oral Maxillofac Surg. 2020; 49 (5): 666-672.



AFILIACIONES

1 Maestro en Estomatología, Colegio Nacional de Endodoncistas Militares, A.C. México.



Conflicto de intereses: el autor manifiesta no tener ningún conflicto de intereses en la elaboración del presente trabajo.

Aspectos éticos: se solicitó autorización al paciente para la presentación del presente caso.

Financiamiento: el financiamiento del presente trabajo corrió a cuenta del autor.



CORRESPONDENCIA

Alfonso Espinosa Torres. E-mail: alfonso.endo@hotmail.com




Recibido: 03 de agosto de 2024. Aceptado: 14 de febrero de 2025.

Figura 1
Figura 2
Figura 3
Figura 4
Figura 5
Figura 6
Figura 7
Figura 8
Figura 9
Figura 10
Figura 11
Figura 12
Figura 13
Figura 14

2020     |     www.medigraphic.com

Mi perfil

C?MO CITAR (Vancouver)

Rev ADM. 2025;82

ARTíCULOS SIMILARES

CARGANDO ...