medigraphic.com
ENGLISH

Revista ADM Órgano Oficial de la Asociación Dental Mexicana

ISSN 0001-0944 (Impreso)
Órgano Oficial de la Asociación Dental Mexicana
  • Mostrar índice
  • Números disponibles
  • Información
    • Información general        
    • Directorio
  • Publicar
    • Instrucciones para autores        
    • Envío de artículos
  • medigraphic.com
    • Inicio
    • Índice de revistas            
    • Registro / Acceso
  • Mi perfil

2025, Número 2

<< Anterior Siguiente >>

Rev ADM 2025; 82 (2)


Fibroma osificante periférico.

Guzmán Celaya, Gloria Elena1,2; Aldape Barrios, Beatriz Catalina3; González Jiménez, Martha Viridiana1,2; Villalobos Rodelo, Juan José1,4; García Jau, Rosa Alicia1,5; Ramírez Solís, Alberto6
Texto completo Cómo citar este artículo 10.35366/119884

DOI

DOI: 10.35366/119884
URL: https://dx.doi.org/10.35366/119884
Artículos similares

Idioma: Español
Referencias bibliográficas: 15
Paginas: 109-113
Archivo PDF: 626.88 Kb.


PALABRAS CLAVE

fibroma osificante periférico, lesión reactiva, biopsia.

RESUMEN

Los aumentos de volumen en la encía son comunes, incluyéndose lesiones como la hiperplasia fibrosa, el granuloma piógeno, el granuloma periférico de células gigantes y el fibroma osificante periférico (FOP). El FOP es una lesión reactiva localizada que se origina en la encía, caracterizada por un nódulo único, firme, asintomático, de crecimiento lento, con coloración que varía entre rojo y morado. Puede sangrar y presentar una superficie lisa o ulcerada, se desarrolla generalmente a partir de la papila interdental, con una base pediculada o sésil y un tamaño inferior a los 2 cm. El objetivo de este artículo es reportar un caso clínico de FOP, describiendo sus características clínicas, tratamiento y hallazgos histopatológicos. Se trata de paciente femenino de 31 años, en cuyo examen intraoral se observó un aumento de volumen gingival de forma ovalada, pediculada, eritematosa, no dolorosa, firme a la palpación y de aproximadamente 18 × 13 mm, localizado en la encía interdental en relación con los incisivos centrales superiores. El tratamiento consistió en una biopsia excisional de espesor completo, enviada para su estudio histopatológico. El procedimiento quirúrgico incluyó el levantamiento de un colgajo de espesor total para la completa eliminación de cálculo radicular, con el fin de eliminar cualquier fuente de irritación que pudiera provocar una recidiva. Dada la variabilidad clínica de las lesiones gingivales que pueden tener una apariencia similar, el estudio histopatológico es siempre necesario para confirmar el diagnóstico de fibroma osificante periférico.



INTRODUCCIóN

El fibroma osificante periférico (FOP) es un crecimiento gingival relativamente común que se considera reactivo en lugar de neoplásico por naturaleza,1 existe una gran variedad como el épulis fibroso, hiperplasia fibrosa focal, granuloma piógeno, granuloma periférico de células gigantes y FOP.1,2 El que compartan características clínicas e histológicas con otras patologías dificulta el diagnóstico.3

El FOP fue reportado por primera vez por Shepherd en 1844 relacionado a la exostosis alveolar. Eversole y Robin, en 1972, utilizaron el término fibroma osificante periférico.4

Los fibromas osificantes se clasifican en dos tipos: centrales y periféricos.5 Los fibromas osificantes periféricos intraorales se presentan a finales de los años 40 y tienen mayor predilección en mujeres;2 hoy en día, es una lesión relativamente común que corresponde a 9.6% de las biopsias gingivales.6

Clínicamente el FOP es una lesión benigna localizada en la encía, por lo general se presenta como un único nódulo firme asintomático, de crecimiento lento, se desarrolla a partir de la papila, pedunculado o sésil.1

Esta lesión tiene su patogénesis en el ligamento periodontal,7 ya que se desarrolla exclusivamente en la porción gingival. Su origen se relaciona con la proximidad entre el ligamento periodontal y la encía, así como con la presencia de fibras de oxitalano dentro de la mineralización observada en algunas de estas lesiones.3,5-8 La presencia de traumatismo o irritación crónica está especialmente relacionada con la etiología de estas lesiones reactivas gingivales, como por ejemplo la presencia de cálculo, biofilm microbiano, aparatos de ortodoncia, restauraciones y prótesis mal ajustadas.1 Sin embargo, cuando se trata de lesiones gingivales reactivas, las características clínicas son insuficientes para un diagnóstico final, ya que, como se menciona, comparten características con varias lesiones, por lo que es necesario el examen histopatológico para el diagnóstico.3

El FOP es una lesión relativamente frecuente, aunque existen pocos reportes de casos que la describen en detalle. Puede alcanzar un tamaño considerable, lo que provoca la destrucción de los tejidos de soporte de los dientes involucrados.9 Su tasa de recurrencia varía entre el 8 y 20%.1



PRESENTACIóN DEL CASO

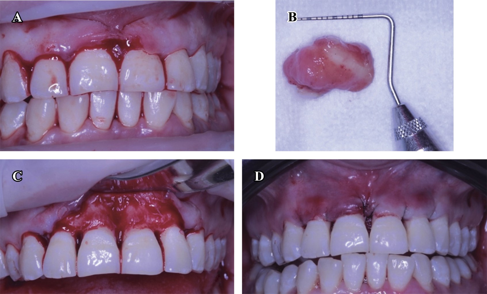
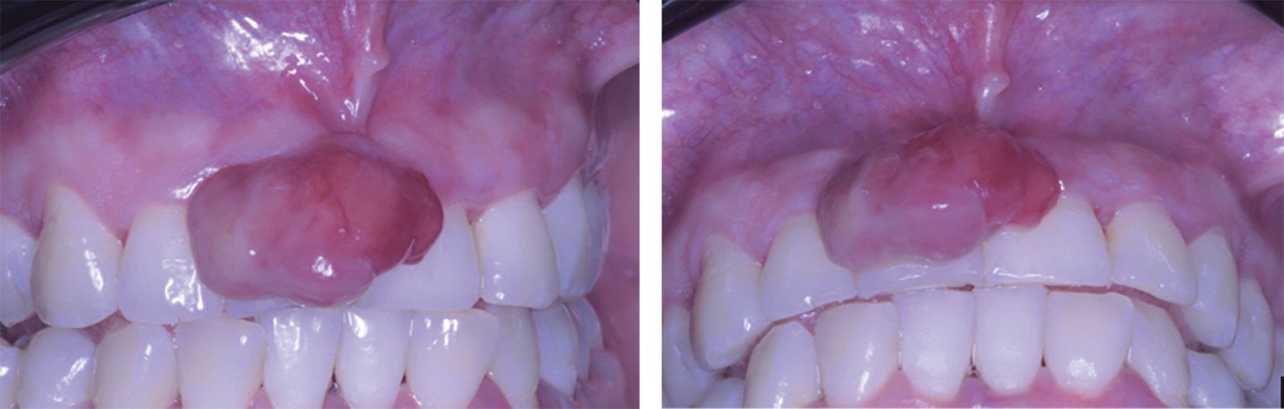
Se trata de paciente femenino de 31 años, quien acude a la Clínica de Enseñanza Comunitaria de la Universidad Autónoma de Sinaloa por presentar en los dientes centrales un aumento de volumen en la zona vestibular de la arcada superior. A la anamnesis, la paciente no presenta antecedentes heredofamiliares de relevancia para su padecimiento actual. El examen intraoral reveló una masa gingival de forma ovalada, pediculada, eritematosa, no dolorosa, firme a la palpación y aproximadamente de 18 × 13 mm presente en la encía interdental en relación con los centrales superiores. Lesión asintomática y sin mostrar evidencia clínica de ulceración (Figura 1).

En la radiografía periapical intraoral se observa pérdida ósea de alrededor del 30% en relación a los órganos dentarios 11, 12, 21 y 22. No se observan radiopacidades dentro de la tumoración de partes blandas (Figura 2).

Presenta seis meses de evolución. A la exploración física se encuentra consciente, tranquila, cooperadora y dentro de las tres esferas de la conciencia, con adecuada coloración mucotegumentaria.

Mucosas orales hidratadas, acúmulo de biofilm microbiano y cálculo dental en todos los órganos dentarios, sin presencia de ningún tipo de exudado.

La paciente no presenta antecedentes médicos familiares importantes, los estudios de laboratorio preoperatorios sin hallazgos significativos, se inicia con eliminación de cálculo supragingival, así como raspado y alisado radicular en todos los cuadrantes y técnica de cepillado.



TRATAMIENTO

Mediante anestesia local con Turbocaína®, articaína al 4%, se realiza biopsia excisional de espesor completo además de realizar levantamiento de colgajo de espesor total para la completa eliminación del cálculo radicular, eliminando cualquier fuente de irritación que pudiera provocar la recurrencia de la lesión (Figura 3). La muestra de biopsia se envió para su estudio histopatológico.

Las indicaciones postquirúrgicas son dieta suave y blanda, estricta higiene bucal y posteriormente solución antiséptica Microdacyn Bucofaríngeo® durante siete días, fomento frío local las primeras 24 horas, evitar exposición a contaminantes, así como esquema antibiótico de Clavulin® 875 mg/125 mg vía oral una tableta cada doce horas durante siete días y Stadium® 25 mg vía oral, una tableta cada ocho horas durante cuatro días.

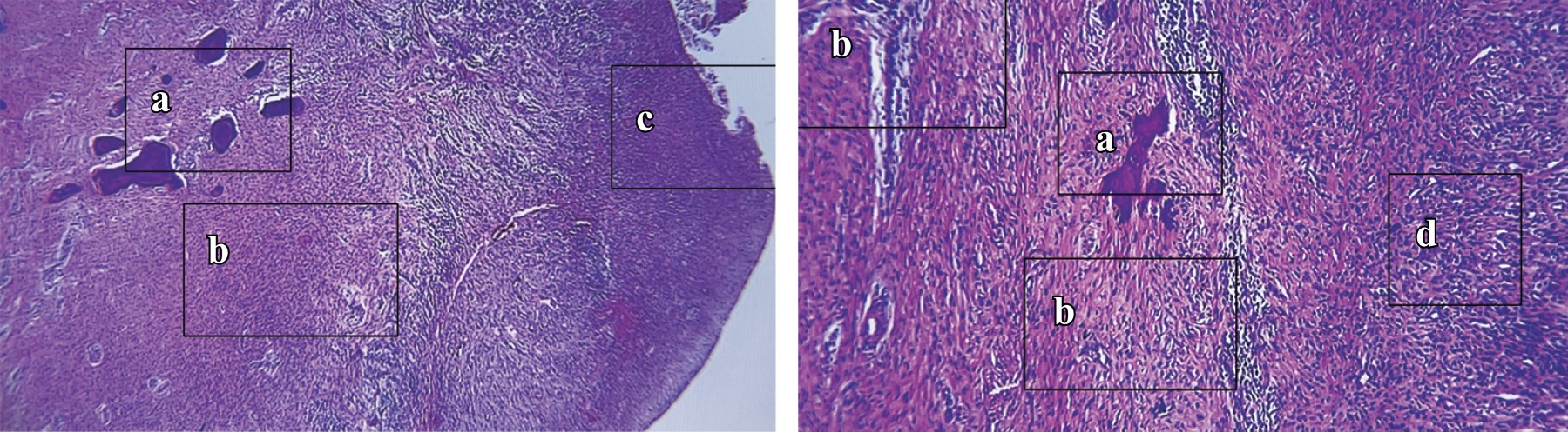
Histopatológicamente se observa lesión de naturaleza reactiva, que presenta proliferación de fibroblastos, entremezclados con abundantes fibras de colágena, así como calcificaciones u osificaciones, infiltrado inflamatorio crónico moderado a intenso y difuso. El epitelio escamoso estratificado paraqueratinizado, con solución de continuidad, fibrina e infiltrado inflamatorio agudo (Figura 4).

El seguimiento de la paciente fue durante seis meses, sin recurrencia de la lesión (Figura 5).



DISCUSIóN

El FOP se origina en el ligamento periodontal o en el tejido blando que recubre el proceso alveolar (periostio).10 Existe una predilección por el sexo femenino debido a influencias hormonales,11 en nuestro caso la paciente era una mujer.

Histopatológicamente, el FOP se describe como una lesión con un estroma fibroso en el que se encuentran presentes tejidos mineralizados como hueso y/o cemento. El material mineralizado puede ser hueso laminar o reticular.12

Buchner y Hansen plantearon la hipótesis de que el FOP temprano se presenta como nódulos ulcerados con poca calcificación, lo que permite un diagnóstico erróneo fácil como un granuloma piógeno.13 La influencia hormonal especialmente con estrógenos y progesterona se asocia con alta prevalencia en pacientes femeninos, ya que la variación en sus niveles puede reflejarse en la pubertad y el embarazo, por lo que la prevalencia de FOP durante la segunda década en pacientes femeninos puede ser mayor.11

El tratamiento de elección para el FOP es la resección local con márgenes periféricos y profundos, incluyendo tanto el ligamento periodontal como el componente perióstico afectado. Además, la eliminación de los factores etiológicos locales, como el biofilm de la placa bacteriana y el cálculo, debe realizarse antes de la cirugía.14

La recurrencia probablemente ocurre debido a una extirpación inicial incompleta, lesiones repetidas o persistencia de irritantes locales. En consecuencia, debido a la alta tasa de recidiva de estas lesiones, se debe realizar una escisión con márgenes profundos, como en nuestro caso, además, se requiere un seguimiento periódico.



CONCLUSIóN

Dada la variabilidad clínica de las lesiones gingivales que pueden tener una apariencia similar, se requiere el estudio histopatológico para confirmar el diagnóstico de fibroma osificante periférico.15 Por la alta recurrencia de esta lesión, se recomienda la escisión completa de las lesiones hasta el periostio junto con los controles periódicos.


REFERENCIAS (EN ESTE ARTÍCULO)

  1. Neville BW, Damm DD, Allen CM, Chi AC. Oral and maxillofacial pathology (5th ed.). Philadelphia, PA: Elsevier - Health Sciences Division; 2023.

  2. Farquhar T, Maclellan J, Dyment H, Anderson RD. Peripheral ossifying fibroma: a case report. Prat Clin. 2008; 74 (9): 809-812.

  3. Marcos JAG, Marcos MJG, Rodríguez SA, Rodrigo JC, Poblet E. Peripheral ossifying fibroma: a clinical and immunohistochemical study of four cases. J Oral Sci. 2010; 52 (1): 95-99.

  4. Chaturvedi R, Gupta M, Jain A. Peripheral ossifying fibroma: a case report. Indian Journal of Dentistry. 2012; 3 (2): 89-93.

  5. Moon WJ, Choi SY, Chung EC, Kwon KH, Chae SW. Peripheral ossifying fibroma in the oral cavity: CT and MR findings. Dentomaxillofac Radiol. 2007; 36 (3): 180-182.

  6. Walters JD, Will JK, Hatfield RD, Cacchillo DA, Raabe DA. Excision and repair of the peripheral ossifying fibroma: a report of three cases. J Periodontol. 2001; 72 (7): 939-944.

  7. Kumar SKS, Ram S, Jorgensen MG, Shuler CF, Sedghizadeh PP. Multicentric peripheral ossifying fibroma. J Oral Sci. 2006; 48 (4): 239-243.

  8. Hall G. Fibro-osseous lesions of the head and neck. Diagn Histopatol. 2017; 23 (5): 200-210.

  9. Yadav R, Gulati A. Peripheral ossifying fibroma: a case report. J Oral Sci. 2009; 51 (1): 151-154.

  10. Gulati R, Khetarpal S, Ratre MS, Solanki M. Management of massive peripheral ossifying fibroma using diode laser. J Indian Soc Periodontol. 2019; 23 (2): 177-180. doi: 10.4103/jisp.jisp_431_18.

  11. Mohiuddin K, Priya NS, Ravindra S, Murthy S. Peripheral ossifying fibroma. J Indian Soc Periodontol. 2013; 17 (4): 507-509. doi: 10.4103/0972-124X.118325.

  12. Ashok S, Gupta AA, Ashok KP, Mhaske SA. Peripheral ossifying fibroma: a rare case affecting maxillary region. Indian J Dent. 2016; 7 (3): 141-143. doi: 10.4103/0975-962X.186701.

  13. Buchner A, Hansen LS. The histomorphologic spectrum of peripheral ossifying fibroma. Oral Surg Oral Med Oral Pathol. 1987; 63 (4): 452-461.

  14. Kale L, Khambete N, Sodhi S, Sonawane S. Peripheral ossifying fibroma: series of five cases. J Indian Soc Periodontol. 2014; 18 (4): 527-530. doi: 10.4103/0972-124X.138762.

  15. Pal S, Hegde S, Ajila V. The varying clinical presentations of peripheral ossifying fibroma: a report of three cases. Rev Odonto Cienc. 2012; 27 (3): 351-355.



AFILIACIONES

1 Universidad Autónoma de Sinaloa. Sinaloa, México.

2 Profesor Asignatura B. Doctorado en Salud Pública.

3 Profesora titular B tiempo completo definitivo. Doctorado en Patología Bucal. Universidad Nacional Autónoma de México. Ciudad de México, México.

4 Profesor investigador titular C de tiempo completo. Doctorado en Ciencias de la Educación.

5 Profesor investigador titular C de tiempo completo. Doctorado en Ciencias.

6 Estudiante de Maestría. Universidad de la Rioja. La Rioja, España.



Conflicto de intereses: ninguno.

Aspectos éticos: todos los procedimientos se ajustaron a la Ley General de Salud.

Financiamiento: autofinanciamiento.



CORRESPONDENCIA

Dra. Gloria Elena Guzmán Celaya. E-mail: gloriaguzman@uas.edu.mx




Recibido: 03 de octubre de 2024. Aceptado: 19 de febrero de 2025.

Figura 1
Figura 2
Figura 3
Figura 4
Figura 5

2020     |     www.medigraphic.com

Mi perfil

C?MO CITAR (Vancouver)

Rev ADM. 2025;82

ARTíCULOS SIMILARES

CARGANDO ...