medigraphic.com
ENGLISH

Acta Ortopédica Mexicana

ISSN 2992-8036 (Digital)
ISSN 2306-4102 (Impreso)
Órgano Oficial del Colegio Mexicano de Ortopedia y Traumatología
  • Mostrar índice
  • Números disponibles
  • Información
    • Información general        
    • Directorio
  • Publicar
    • Instrucciones para autores        
  • medigraphic.com
    • Inicio
    • Índice de revistas            
    • Registro / Acceso
  • Mi perfil

2025, Número 3

<< Anterior Siguiente >>

Acta Ortop Mex 2025; 39 (3)


Recurrencia de condroblastoma en fémur distal: presentación de un caso clínico

Vásquez-Díaz, H1; Valdecantos-Poblete, P1; Ugarte-Vásquez, JT1,2; Monsalve-Fuentes, J1,3; Valenzuela-Pozo, D1,3; López-Rivera, P1,2
Texto completo Cómo citar este artículo 10.35366/119914

DOI

DOI: 10.35366/119914
URL: https://dx.doi.org/10.35366/119914
Artículos similares

Idioma: Español
Referencias bibliográficas: 5
Paginas: 180-186
Archivo PDF: 495.06 Kb.


PALABRAS CLAVE

condroblastoma, rodilla, tumor, adolescente, recidiva.

RESUMEN

El condroblastoma es un tumor óseo benigno, originado de tejido cartilaginoso en los huesos largos. Presenta baja incidencia y puede ser asintomático o presentarse como una fractura en hueso patológico. La importancia del diagnóstico radica en la extensión, la posibilidad de recidiva y el riesgo de diseminación. Nuestro objetivo es mostrar la evolución de una paciente que siguió un curso favorable posterior a un episodio de recidiva. Se presenta el caso de una paciente de 15 años, que posterior a una leve molestia en la rodilla izquierda de seis meses de evolución presenta una caída a nivel, con dolor e impotencia funcional. Las radiografías y tomografías mostraron una fractura de fémur distal izquierdo en hueso patológico, con una lesión lítica infiltrativa en la epífisis distal. Se realizó curetaje con injerto óseo local, biopsia abierta, electrofulguración más adyuvancia con alcohol y cierre con matriz osteoconductiva. La biopsia indicó un condroblastoma sin atipias y el estudio de diseminación fue negativo. Se mantuvo con controles periódicos y a los siete meses se obtiene una resonancia magnética con una imagen sugerente de recidiva en la metáfisis adyacente. Se realiza nuevo curetaje más biopsia, la cual indicó recidiva del condroblastoma. En la actualidad se mantiene en controles, con cinco años transcurridos de la primera intervención. En la última consulta indica presentar dolor anterior de rodilla, sin signos radiológicos de recurrencia, que responde de manera correcta al manejo kinésico, mostrando su completa capacidad funcional actual, con buena tolerancia al ejercicio, sin limitación en la vida diaria.



ABREVIATURAS:

  • PMMA = polimetilmetacrilato
  • RMN = resonancia magnética nuclear
  • TAC = tomografía axial computarizada



INTRODUCCIóN

El condroblastoma es una neoplasia benigna del sistema musculoesquelético que se origina en tejido cartilaginoso y afecta predominantemente a los centros de osificación secundarios de las epífisis de los huesos largos. Esta entidad patológica es de baja prevalencia, representa aproximadamente entre 0.5 y 1% de todos los tumores óseos y de 5 a 9% de los tumores benignos óseos. La edad promedio de presentación oscila entre los 19 y 23 años, con una ligera predilección por el sexo masculino. Las localizaciones más frecuentes incluyen el fémur proximal (20.7%), seguido por el fémur distal (18.5%), la tibia proximal (16.3%), el húmero proximal (12%) y el pie (10.9%).1,2

El diagnóstico del condroblastoma se fundamenta en hallazgos de imagen radiológicos y estudios complementarios avanzados. Las radiografías muestran una lesión lítica bien delimitada, rodeada por un borde esclerótico delgado. Es característico observar calcificaciones puntiformes o en "pop corn", que le confieren un aspecto granular. La tomografía axial computarizada (TAC) permite definir con precisión el patrón de destrucción cortical, la reacción perióstica y la extensión del tumor. La resonancia magnética nuclear (RMN) es fundamental para evaluar la extensión intramedular, el compromiso de tejidos blandos y la presencia de niveles líquido-líquido, que pueden sugerir un componente quístico aneurismático concomitante.

De acuerdo con la clasificación de la OMS de tumores de huesos y partes blandas, el condroblastoma se categoriza como un tumor cartilaginoso benigno de bajo grado. Esta clasificación facilita su diferenciación de otras neoplasias de mayor agresividad, como el condrosarcoma de bajo grado, lo que evita errores terapéuticos y optimiza el pronóstico.3

El tratamiento estándar es quirúrgico y consiste en curetaje intralesional exhaustivo para resecar el tejido tumoral. Posteriormente, se rellena la cavidad con injertos óseos autólogos, aloplásticos o cemento polimetilmetacrilato (PMMA), dependiendo de la localización y el tamaño del defecto. La utilización de adyuvantes transquirúrgicos como fenol, alcohol absoluto, nitrógeno líquido o peróxido de hidrógeno ayuda a eliminar remanentes tumorales y reducir el riesgo de recidiva local. La elección del adyuvante se basa en las características de la lesión y la experiencia del cirujano.4

Es esencial considerar los diagnósticos diferenciales del condroblastoma, que incluyen el condrosarcoma de bajo grado, el quiste óseo aneurismático y la osteomielitis crónica. El condrosarcoma, aunque similar en algunos aspectos, presenta mayor potencial de agresividad y metástasis. El diagnóstico diferencial se confirma mediante histopatología e inmunohistoquímica, con marcadores como SATB2, S-100 y vimentina. La coexistencia con quistes óseos aneurismáticos puede complicar el manejo terapéutico. La osteomielitis crónica, con su presentación radiológica destructiva y sintomatología dolorosa, también debe ser excluida.

Distinguir entre recidiva tumoral y persistencia de la lesión es fundamental para establecer un manejo adecuado. La recidiva se define como la reaparición del tumor después de un periodo de al menos seis meses sin evidencia de enfermedad tras el tratamiento inicial. Por otro lado, la persistencia ocurre cuando el tumor no fue completamente resecado durante la cirugía inicial y reaparece en un plazo de menos de seis meses desde la intervención. En el presente caso clínico, la lesión identificada a los siete meses postoperatorios se clasifica como una recidiva tumoral, ya que hubo un periodo de remisión aparente antes de detectarse nuevamente la presencia de tejido tumoral. Esta diferenciación es crucial, ya que influye en el plan de tratamiento, la evaluación del éxito quirúrgico y el pronóstico del paciente.4

La rareza del condroblastoma y los avances recientes en su manejo justifican la necesidad de bibliografía actualizada para un abordaje óptimo. Estudios recientes, como los de Li y colaboradores, Xu y colegas así como Patel y su equipo, han aportado información valiosa sobre nuevas técnicas quirúrgicas y el uso de adyuvantes transquirúrgicos para disminuir la recidiva. Además, las investigaciones de Chen y colegas han destacado avances en el diagnóstico por imagen, particularmente en el uso de RMN para identificar componentes quísticos y diferenciarlos de otras lesiones.



CASO CLíNICO

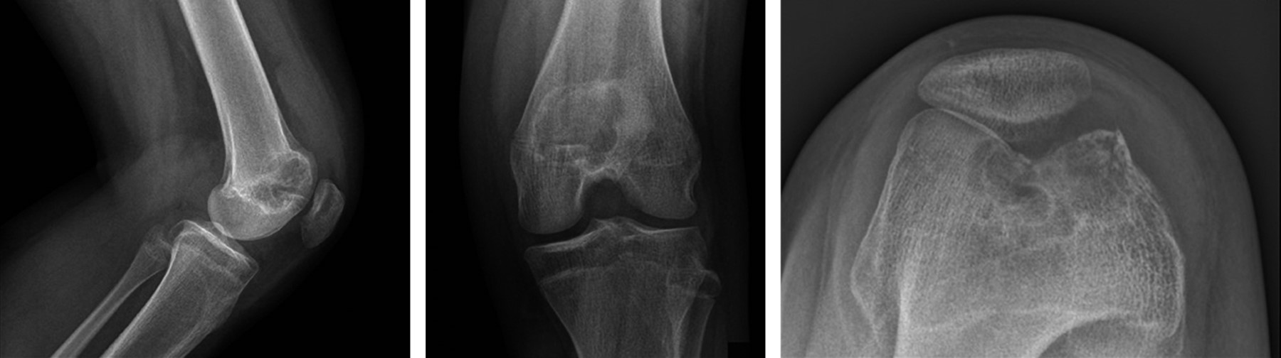
Se trata de paciente de sexo femenino de 15 años y cinco meses, sin antecedentes médicos de importancia. Consultó por primera vez en Julio de 2018 por caída a nivel en escalera, con golpe en rodilla izquierda. Evolucionó con dolor e impotencia funcional inmediata. Al interrogatorio dirigido refirió dolor de tipo insidioso desde hace seis meses, sin antecedente de trauma. Se solicitaron radiografías de fémur derecho anteroposterior y lateral en el servicio de urgencias, las cuales mostraron una fractura en fémur distal izquierdo, con sospecha de fractura en hueso patológico en la metáfisis distal de fémur con imagen que impresiona tener una lesión lítica bien delimitada, con calcificaciones centrales, rodeada por un borde esclerótico delgado sin reacción cortical, con un patrón de pop-corn similar al de un condroblastoma (Figura 1).

Se realizó el estudio complementario con TAC y RMN; en el cual la TAC de rodilla indicó una imagen lítica metafisaria de fémur distal de bordes circunscritos bien definidos con fractura en hueso patológico, sin colapso de la columna medial (Figura 2) y en la RMN en el corte T2 y supresión grasa, se observó una lesión de márgenes escleróticos sin signos de reacción perióstica, con relleno de aparente densidad líquida levemente heterogéneo, con aparente invasión fisaria, sin compromiso de partes blandas, siendo compatible con neoplasia de origen condral coincidiendo con la sospecha diagnóstica de condroblastoma de fémur distal (Figura 3).

Por el estudio de imágenes compatibles con lesión condral benigna y con la evidencia actual sobre la patología y su evolución, se decidió iniciar el tratamiento quirúrgico sin biopsia previa con curetaje intralesional exhaustivo, seguido de relleno con injerto óseo sintético en chip de 10 mm 60 cc aproximadamente para rellenar el defecto, electrofulguración y adyuvancia con alcohol absoluto al 95% (10 cc). La aplicación del adyuvante se realizó durante tres minutos, seguido de un lavado con solución salina para neutralizar su efecto. Se tomó muestra para enviar a biopsia diferida.

Se obtuvo el resultado de la biopsia en Agosto de 2018 con reporte de condroblastoma de fémur distal izquierdo, sin atipias. SATB2 y S-100 negativos.

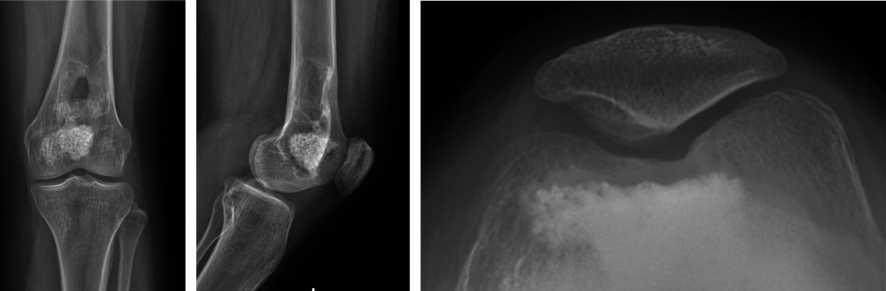
Durante el seguimiento radiológico y clínico estricto, se realizó un control inicial al mes postoperatorio, seguido de controles cada tres meses (Figura 4). Durante el último mes previo al control de los siete meses postoperatorios, la paciente presentó dolor constante afebril y sensación de calor local, sin otros signos de infección. Debido a estos síntomas, se solicitó una RMN de control con contraste, ésta reveló una pequeña lesión endomedular en la metáfisis distal de fémur, sugestiva de un foco de recidiva (Figura 5). Ante este hallazgo, se decidió una nueva intervención en la cual se realizó un segundo curetaje con biopsia, confirmando el diagnóstico de recidiva de condroblastoma. En esta intervención, no se aplicó injerto adicional y se optó por una resección intralesional completa sin adyuvancia.

La paciente se mantuvo, posterior a la segunda intervención, sin nuevos síntomas, con controles radiológicos periódicos, sin nuevos hallazgos. Consultó a los tres años postoperada por dolor anterior de rodilla, sin antecedente de trauma, describiéndose una rodilla estable, sin aumento de volumen ni de temperatura local, con dolor ubicado en relación a la articulación patelofemoral. Se tomaron imágenes radiográficas y TAC de rodilla izquierda en las que se muestra la presencia de una lesión quística postoperatoria en región metafisaria, no sugerente de recidiva (Figuras 6 y 7). Este cuadro se manejó de manera efectiva con fisioterapia enfocada en fortalecimiento muscular y propiocepción.

Por última vez, consulta a los 20 años, cinco años posterior a la primera cirugía, por molestias en relación a rodilla izquierda, específicamente en la articulación patelofemoral. Sin signos de alarma descritos. Se tomaron radiografías, sin evidencias de recidiva ni de complicaciones. Se observó un defecto óseo en la zona de recidiva, compatible con el curetaje realizado previamente (Figura 8).

Se repitió el manejo kinésico realizado previamente, con buena respuesta, cese del dolor y recuperación de la actividad.



DISCUSIóN

Tal como se señaló previamente, el condroblastoma es un tumor que se encuentra principalmente en la epífisis de huesos largos, y es proveniente del centro de osificación secundario del hueso. Dentro de las ubicaciones más comúnmente reportadas se encuentra la de esta paciente, la cual comenzó con molestias en la rodilla debido a la ubicación del condroblastoma en la epífisis del fémur distal.

El caso de nuestra paciente se encuentra como hallazgo posterior a una fractura de baja energía en hueso patológico. El fémur distal en una paciente de 15 años es una zona de alta resistencia a la carga, con fracturas asociadas principalmente a traumas de mediana-alta energía.

El caso que se muestra se asoció además con un dolor de tipo insidioso, de característica leve, de seis meses de evolución previa a la primera consulta. Este dolor puede efectivamente haberse asociado con el desarrollo del tumor, ya que como se observa en la TAC del primer diagnóstico, el tumor primario ocupaba prácticamente el 50% del tamaño de la epífisis del fémur distal.

De acuerdo con el estudio realizado por Wang y colaboradores,2 el síntoma principal desarrollado por los pacientes fue el dolor local, para el cual reportó un 94.6% de incidencia. Otros síntomas incluyen limitación de la movilidad, derrame articular o atrofia muscular. Por otro lado, Yang y colegas3 reportan 20% de incidencia de síntomas como aumento de volumen de partes blandas, masa palpable o derrame. En nuestra paciente solamente se reportó un dolor insidioso de meses de evolución, que sufrió un aumento brusco debido a una caída a nivel. En este caso, el síntoma principal, que fue el dolor insidioso, sufre un cambio y pasa a ser un dolor de tipo súbito, debido a la fractura en hueso patológico del fémur distal. Esta fractura se manejó de manera ortopédica.

Tal como señala Chen y su grupo,5 las células del condroblastoma son normalmente positivas para vimentina, enolasa neuronal específica y proteína S100, entre otros marcadores tumorales. Sin embargo, se deben diferenciar sus características histológicas y marcadores séricos con otros diagnósticos, tal como el condrosarcoma. En nuestro caso, el estudio de marcación tumoral arrojó resultados negativos para SATB2 y S-100, lo cual nos habla de una lesión de menor agresividad. Puede también encontrarse asociado a un quiste óseo aneurismático, el cual no fue caracterizado en el caso clínico presente. Aunque es muy poco frecuente, con una incidencia de hasta 2%, se han reportado casos con diseminación pulmonar, por lo que se debe solicitar una TAC de tórax prequirúrgica para descartar metástasis.

Como se observa en la literatura, el manejo es netamente quirúrgico, el cual incluye curetaje, biopsia y relleno del tejido con injerto óseo o cemento. De acuerdo con Deventer y su equipo, el manejo quirúrgico puede incluir, además, el uso de adyuvantes como fenol o peróxido de hidrógeno para lavar la cavidad posterior al curetaje, indicando que el peróxido de hidrógeno puede llevar a las células tumorales a la apoptosis.4 Estos autores publicaron un reporte de 38 casos, en los cuales se trató a todos con curetaje y se asoció a algunos pacientes terapia adyuvante con peróxido de hidrógeno, además del relleno de la cavidad con autoinjerto óseo, sustituto óseo (injerto óseo de fosfato cálcico) o relleno con cemento (PMMA). Estos autores concluyeron que la menor tasa de recurrencia fue en el grupo asociado con terapia adyuvante con peróxido de hidrógeno comparado con aquellos que no recibieron terapia adyuvante.

En un segundo estudio, Chen W y colegas5 publicaron un seguimiento a 20 pacientes diagnosticados con un condroblastoma, seguidos en promedio 63 meses, que fueron operados con curetaje amplio y terapia adyuvante con fenol. En este trabajo encontraron una recurrencia del 10% (dos pacientes), específicamente en un tumor acetabular y un tumor de tibia proximal, a los siete meses de seguimiento.

Previamente se comentó acerca de la recidiva del tumor, la cual se encuentra en el orden de 14-18% de incidencia en algunas series. Otros autores (Deventer y colaboradores) reportan tasas de recurrencia local del tumor desde < 10% hasta casi sobre 30%.4 En esta paciente, el tratamiento consistió, en un primer tiempo, en curetaje amplio de la lesión más adyuvancia y relleno de la cavidad con injerto óseo. Luego del seguimiento, específicamente a los siete meses, se encontró una nueva lesión en la zona metafisaria, adyacente a la lesión inicial, a la cual se le realizó una nueva biopsia y fue diagnosticada como recidiva del tumor inicial. Comparado con la literatura señalada previamente, el tumor recidivó con una nueva lesión metafisaria, aproximadamente al mismo tiempo de seguimiento que los casos señalados. Sin embargo, la terapia adyuvante con alcohol no evitó la recurrencia de las células tumorales en nuestro caso.

Por último, luego de dos cirugías realizadas en esta paciente, se muestra su correcta evolución. En la actualidad, han transcurrido cinco años desde la primera intervención y la paciente refiere buena funcionalidad en su vida diaria, sin limitación en sus actividades. Realiza deportes sin problemas, señalando en el último control la aparición de dolor anterior de rodilla, lo cual no se relaciona con la aparición de una nueva recidiva ni una complicación de las cirugías previas, confirmado con radiografías sin hallazgos patológicos y con una buena respuesta a la terapia física.



CONCLUSIóN

El condroblastoma es una lesión tumoral poco frecuente. Se encuentra asociado principalmente a la epífisis de huesos largos, pero también puede encontrarse en huesos planos como la pelvis. Sus manifestaciones principales son dolor de tipo insidioso y fracturas en hueso patológico. El estudio diagnóstico requiere de imagenología para su caracterización y posible diseminación. Su tratamiento es quirúrgico en todos los casos, con curetaje asociado a injerto óseo, adyuvancia o cemento óseo. Su seguimiento es importante, debido a las altas tasas de recurrencia. Se presentó el caso de una paciente de 15 años que fue diagnosticada y tratada por un condroblastoma de fémur distal, con un episodio de recidiva, seguimiento completo de seis años y buena respuesta al tratamiento. Es de suma importancia el hecho de continuar con el estudio de esta patología, que, si bien no es común, genera complicaciones a futuro en los pacientes.


REFERENCIAS (EN ESTE ARTÍCULO)

  1. Gonzalez MR, Subhawong TK, Pretell-Mazzini J. Benign bone lesions found in childhood. Orthop Clin North Am. 2023; 54(1): 59-74. doi: 10.1016/j.ocl.2022.08.001.

  2. Wang J, Du Z, Yang R, Tang X, Yan T, Guo W. Analysis for clinical feature and outcome of chondroblastoma after surgical treatment: A single center experience of 92 cases. J Orthop Sci. 2022; 27(1): 235-41.

  3. International Agency for Research on Cancer, World Health Organization, International Academy of Pathology. WHO classification of tumours of soft tissue and bone tumours. 5a ed. Fletcher CDM, editor. IARC; 2020.

  4. Deventer N, Deventer N, Gosheger G, de Vaal M, Budny T, Laufer A, et al. Chondroblastoma: Is intralesional curettage with the use of adjuvants a sufficient way of therapy? J. Bone Oncol. 2021; 26: 100342. doi:10.1016/j.jbo.2020.100342.

  5. Chen W, et al. Imaging features and differential diagnosis of chondroblastoma. Skeletal Radiology. 2020; 49(5): 723-33.



AFILIACIONES

1 Clínica Dávila, Santiago, Chile.

2 Universidad de los Andes, Santiago, Chile.

3 Universidad Diego Portales, Santiago, Chile.



Este trabajo fue aprobado por el Comité Ético Científico de Clínica Dávila, con carta de aprobación firmada en Santiago, el día 26 de Julio de 2024.



CORRESPONDENCIA

Hugo Vásquez-Díaz. E-mail: drhugovasquez@gmail.com




Recibido: 29-10-2024. Aceptado: 08-01-2025.

Figura 1
Figura 2
Figura 3
Figura 4
Figura 5
Figura 6
Figura 7
Figura 8

2020     |     www.medigraphic.com

Mi perfil

C?MO CITAR (Vancouver)

Acta Ortop Mex. 2025 May-Jun;39

ARTíCULOS SIMILARES

CARGANDO ...