medigraphic.com
ENGLISH

Acta Ortopédica Mexicana

ISSN 2992-8036 (Digital)
ISSN 2306-4102 (Impreso)
Órgano Oficial del Colegio Mexicano de Ortopedia y Traumatología
  • Mostrar índice
  • Números disponibles
  • Información
    • Información general        
    • Directorio
  • Publicar
    • Instrucciones para autores        
  • medigraphic.com
    • Inicio
    • Índice de revistas            
    • Registro / Acceso
  • Mi perfil

2025, Número 3

<< Anterior

Acta Ortop Mex 2025; 39 (3)


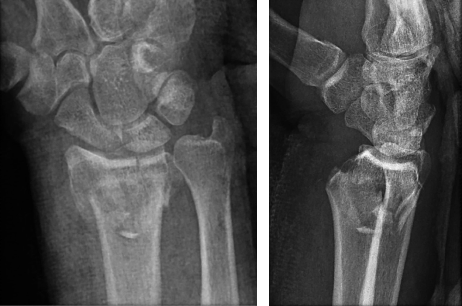
Fractura abierta de radio distal con sección completa del nervio mediano

Jiménez I, Aniel-Quiroga-Bilbao M, García-Toledo A, Marcos-García A, Caballero J, Medina J
Texto completo Cómo citar este artículo 10.35366/119915

DOI

DOI: 10.35366/119915
URL: https://dx.doi.org/10.35366/119915
Artículos similares

Idioma: Ingles.
Referencias bibliográficas: 4
Paginas: 187-189
Archivo PDF: 215.49 Kb.


PALABRAS CLAVE

fractura distal del radio, nervio mediano, lesión nerviosa, sección nerviosa, fractura abierta.

RESUMEN

Introducción: las fracturas desplazadas de extremo distal del radio se acompañan frecuentemente de manifestaciones clínicas sugestivas de neuropatía del nervio mediano. El diagnóstico diferencial debe incluir la contusión o lesión nerviosa directa, el síndrome del túnel carpiano agudo, el síndrome compartimental del antebrazo o la exacerbación de un síndrome del túnel carpiano idiopático. Caso clínico: un varón de 44 años presentó una fractura del radio distal derecho tras un accidente de motocicleta. Presentaba una herida contusa de 1.3 cm situada proximalmente al pliegue de flexión radiocarpiano y refería disestesias bien definidas en el territorio sensitivo del nervio mediano. La fractura se trató mediante reducción abierta y osteosíntesis con placa volar y, por los hallazgos en la exploración inicial, se exploró el nervio mediano encontrando una sección completa con un defecto de 2.0 cm. Se liberó el túnel carpiano y se interpuso un injerto fascicular de nervio sural que presentó buenos resultados en el seguimiento final. Conclusión: la sección del nervio mediano tras una fractura de muñeca es una lesión extremadamente rara. Este caso clínico subraya la importancia de una exploración física inicial minuciosa incluyendo la evaluación neurológica inicial.


REFERENCIAS (EN ESTE ARTÍCULO)

  1. Tagil M. Distal radius fractures. In: Wolfe SW, Pederson WC, Kozin SH, Cohen MS (Eds). Green's Operative Hand Surgery 8th ed. Philadelphia, PA: Elsevier; 2021: 601-76.

  2. Floyd WE 4th, Earp BE, Blazar PE. Acute median nerve problems in the setting of a distal radius fracture. J Hand Surg Am. 2015; 40(8): 1669-71.

  3. Lusthaus S, Matan Y, Finsterbush A, Chaimsky G, Mosheiff R, Ashur H. Traumatic section of the median nerve: an unusual complication of Colles' fracture. Injury. 1993; 24(5): 339-40.

  4. Dennison DG. Median nerve injuries associated with distal radius fractures. Tech Orthop. 2006; 21(1): 48-53.




Figura 1
Figura 2

2020     |     www.medigraphic.com

Mi perfil

C?MO CITAR (Vancouver)

Acta Ortop Mex. 2025 May-Jun;39

ARTíCULOS SIMILARES

CARGANDO ...