medigraphic.com
ENGLISH

Acta Médica Grupo Ángeles

Órgano Oficial del Hospital Ángeles Health System
  • Mostrar índice
  • Números disponibles
  • Información
    • Información general        
    • Directorio
  • Publicar
    • Instrucciones para autores        
    • Envío de artículos
    • Políticas
    • Nombre y afiliación del Comité Editorial
  • Nosotros
    • Plan de gestión e intercambio de datos
    • Objetivos declarados y alcance
  • medigraphic.com
    • Inicio
    • Índice de revistas            
    • Registro / Acceso
  • Mi perfil

2025, Número 3

<< Anterior Siguiente >>

Acta Med 2025; 23 (3)


Reconstrucción en doble hilera (técnica de SpeedBridge) en paciente con deformidad de Haglund y pinzamiento posterior de tobillo; reporte de un caso y revisión de la literatura

Castillo Montessoro, Jorge Antonio1,2,3; De los Santos Montoya, Francisco Adolfo Cuauhtémoc4; Morales Calderón, Carlos Omar1,2; Glory Santana, Andrés Elí1,2; Portillo Sánchez, Noemí1,5
Texto completo Cómo citar este artículo 10.35366/119955

DOI

DOI: 10.35366/119955
URL: https://dx.doi.org/10.35366/119955
Artículos similares

Idioma: Español
Referencias bibliográficas: 15
Paginas: 270-274
Archivo PDF: 247.13 Kb.


PALABRAS CLAVE

deformidad de Haglund, SpeedBridge, tendinitis aquílea, pinzamiento posterior, doble hilera.

RESUMEN

Introducción: la reconstrucción en doble hilera, o técnica de SpeedBridge, es una técnica innovadora para la deformidad de Haglund con buenos resultados biomecánicos, la cual disminuye la sintomatología en pacientes con dolor crónico de tobillo secundario a tendinopatía insercional de Aquiles y pinzamiento posterior de tobillo. Objetivo: presentar la técnica quirúrgica para el tratamiento de la deformidad de Haglund en paciente laboralmente activo. Caso clínico: hombre de 31 años con dolor crónico de tobillo secundario a pinzamiento posterior, se realizaron estudios de imagen y se diagnosticó deformidad de Haglund, se realizó como tratamiento quirúrgico reconstrucción con técnica SpeedBridge, evidenciando mejoría clínica y disminución del dolor. Conclusiones: la técnica de doble hilera es una buena alternativa para el manejo quirúrgico de esta patología, con excelentes resultados funcionales, disminuyendo el dolor y mejorando la calidad de vida.



INTRODUCCIóN

La deformidad de Haglund es una condición crónica caracterizada principalmente por el crecimiento óseo en el sitio de inserción en la porción posterior del hueso calcáneo del tendón aquíleo, lo que provoca dolor en la región retrocalcánea, siendo de igual forma una de las causas para la ruptura aguda del tendón calcáneo, principalmente en atletas. Se clasifica en el grupo de tendinopatías insercionales del tendón aquíleo.

Clínicamente se presenta por dolor crónico en tobillo, principalmente en región retrocalcánea, provocando en algunas ocasiones pinzamiento posterior de tobillo, así como crecimiento óseo y dificultad para ambulación con calzado.

Histológicamente se caracteriza por presentar cambios en el número de tenocitos, fragmentación de colágeno y aumento en la concentración de glucosaminoglicanos.1

Se han descrito diversas técnicas para la reparación de esta patología, desde manejo conservador mediante terapia física y rehabilitación, fortalecimiento del complejo muscular gastrocnemio-sóleo, así como manejo antiinflamatorio no esteroideo, hasta manejo quirúrgico mediante cirugías abiertas2 (bursectomía y resección de exostosis calcánea), así como calcaneoplastia endoscópica y técnicas artroscópicas.3,4

La técnica de SpeedBridge5 o técnica de doble hilera ha tenido buenos resultados biomecánicos comparado con otras técnicas artroscópicas y no artroscópicas para el tratamiento de esta patología. Se utilizan anclas y suturas sin nudos, previamente resecando la deformidad en la zona de inserción del tendón aquíleo.6,7

El propósito del estudio es presentar el caso de un paciente masculino de 31 años con dolor crónico de tobillo, se diagnosticó por imagen deformidad de Haglund y fue tratado de manera quirúrgica con técnica de doble hilera con anclas y suturas sin nudos, con buenos resultados funcionales.



CASO CLíNICO

Se trata de un paciente masculino de la cuarta década de la vida con dolor crónico en región posterior de tobillo, así como disminución de los arcos de movilidad para la flexión y extensión, quien acude a la consulta externa para valoración. Niega antecedentes crónico-degenerativos de importancia, eventos traumáticos o cirugías previas.

Refiere iniciar su padecimiento actual aproximadamente seis años previos a primera consulta, con dolor en sitio de inserción de tendón aquíleo de predominio matutino, disminuyendo en el transcurso del día y con reposo. Fue diagnosticado por otro médico con tendinopatía insercional aquílea, infiltrándose en dos ocasiones con esteroide, con mejoría parcial de la misma, sin eliminarse el dolor por completo.

A la exploración física lo encontramos con marcha bipodálica, independiente, no plantígrada al final del segundo rocker y con tendencia a la abducción de antepié. A la bipedestación se observó retropié en varo con signo de Coughlin positivo, hiperqueratosis plantar difusa a nivel de cabezas de primer y segundo metacarpo, no dolorosas a la palpación, signo de clic Mulder negativo, sin presencia de dedos en garra o mazo, con dolor a la digitopresión en tercio distal de la inserción de tendón aquíleo, sin presentar edema, eritema o equimosis.

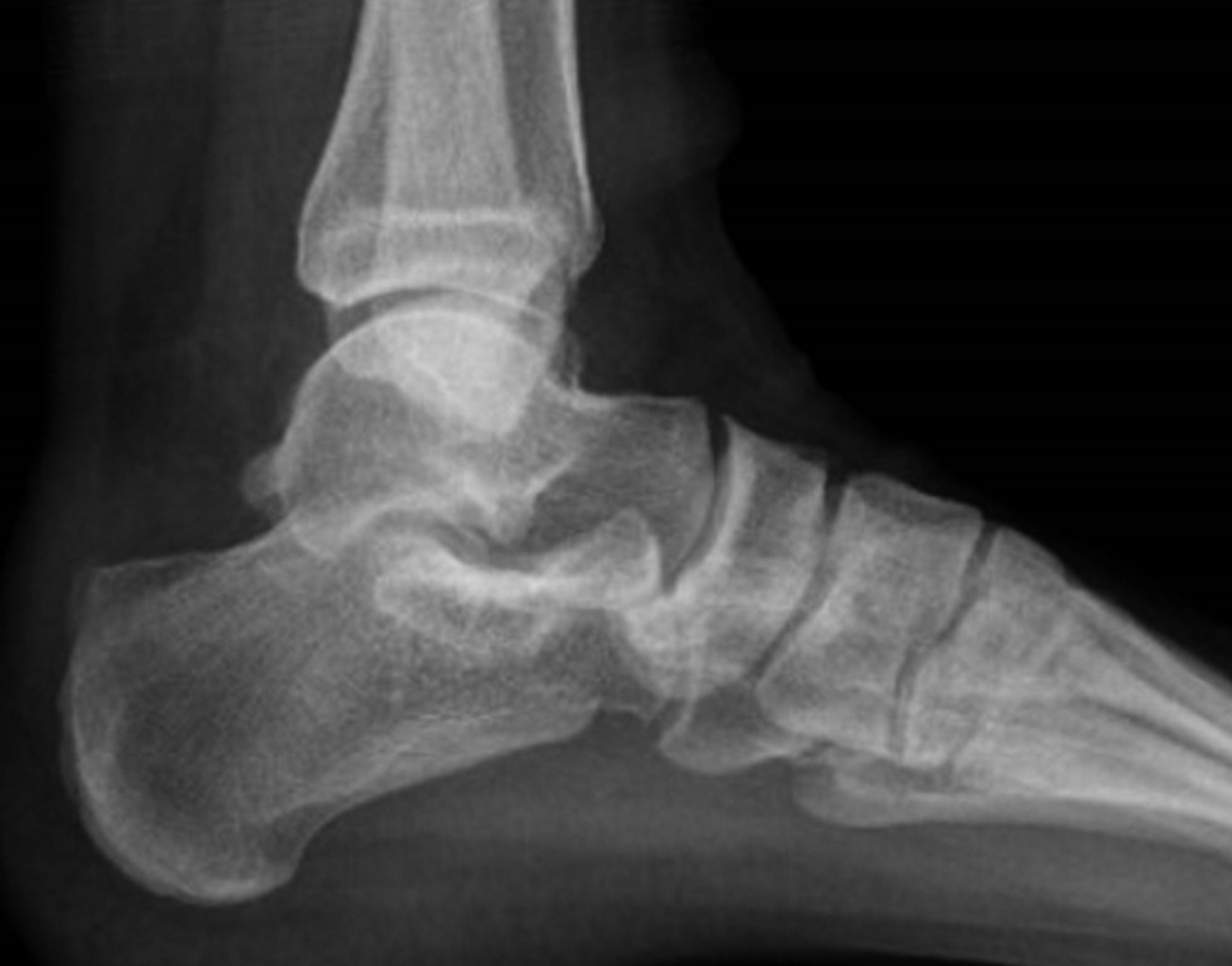
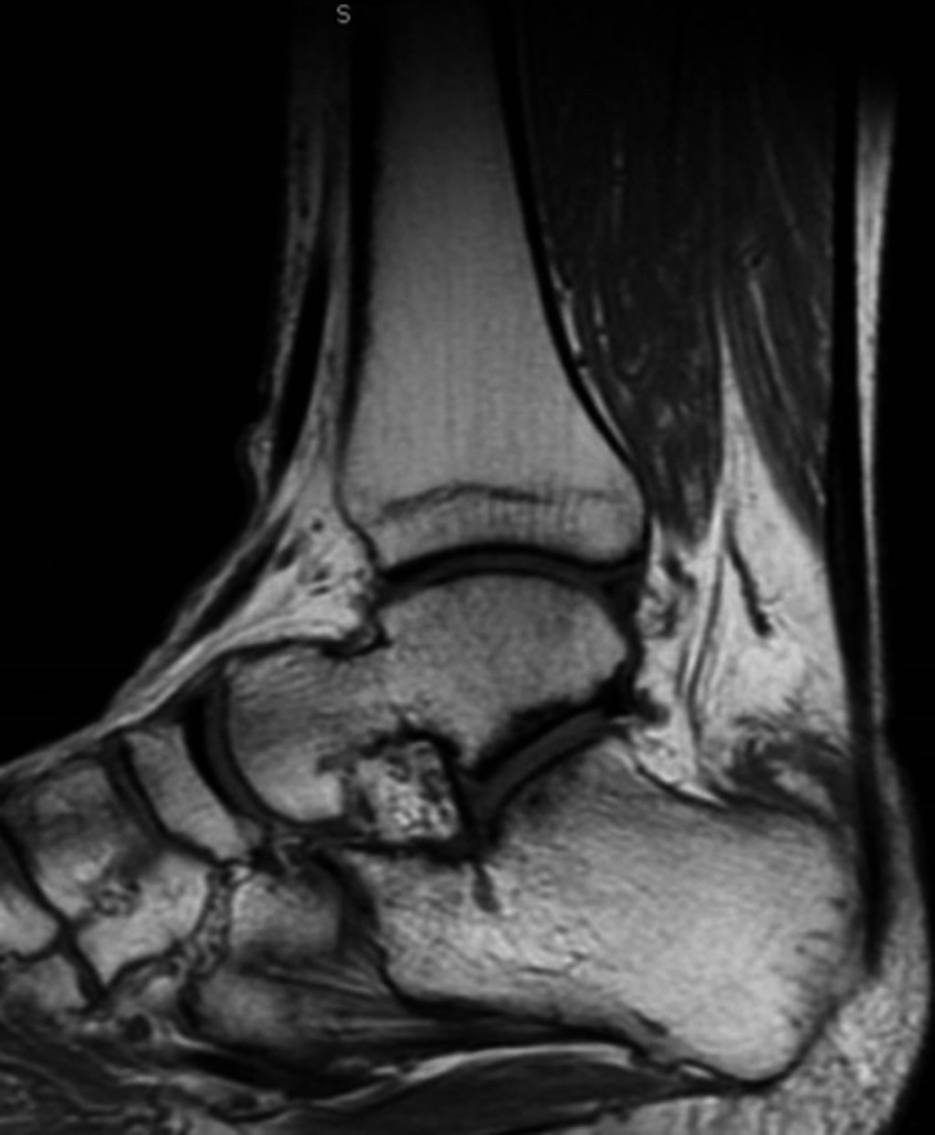
En nuestra primera consulta se envió a terapia física y rehabilitación realizando un total de ocho sesiones dentro de nuestra institución, no mostrando mejoría ni disminución del dolor, por lo que se solicitaron estudios de imagen, los cuales consistieron en radiografía anteroposterior y lateral de tobillo en la cual se evidenció adecuada congruencia de la articulación tibioastragalina y tibioperonea, exostosis posterosuperior de calcáneo de 6 milímetros de altura con relación a la línea articular superior, y alteraciones en la grasa de Kager (Figuras 1 y 2). De igual manera, se realizó resonancia magnética de tobillo evidenciando tendinitis aquílea, bursitis retrocalcánea y líquido en la bursa retroaquílea de aproximadamente 3 cm3. Se observa tendón aquíleo engrosado en su inserción y tendinitis insercional con edema óseo en región posterior de calcáneo (Figura 3).

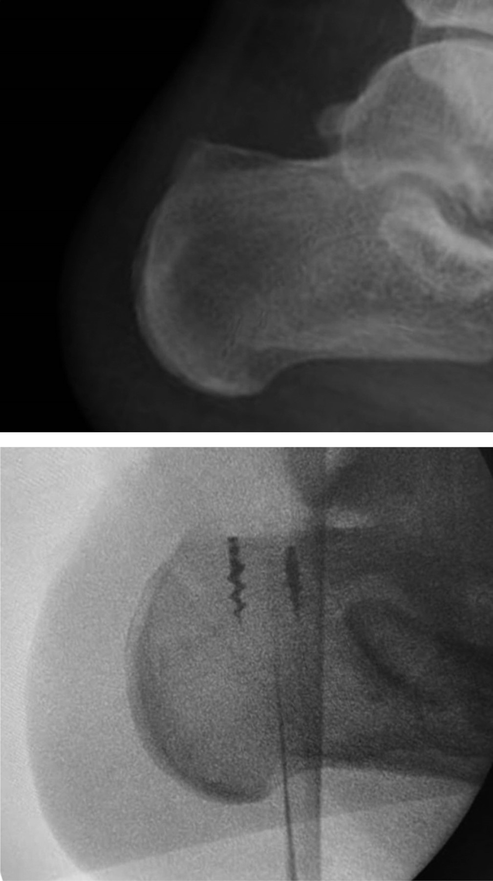
La técnica quirúrgica fue realizada con isquemia utilizando venda tipo Smarch, con incisión en S itálica mediante abordaje posterior tomando como referencia borde lateral de tendón aquíleo de 10 centímetros de longitud. Se disecó por planos hasta llegar a entesis, desinsertando de esa región el tendón aquíleo. Se observó tejido fibroso, se desbridó y posteriormente se realizó osteotomía de 10 milímetros, se colocaron dos anclas de 3.5 milímetros tape con agujas a 20 milímetros de distancia entre ellas y se suturó con puntos simples al cabo libre del tendón del tríceps sural. Su tunelizó borde posterior de calcáneo con broca 3.5, sosteniendo de forma temporal tendón con clavillos Kirschner. Se traspasó FiberTape con sistema Percutaneous Achilles Repair System (PARS) proximal a las suturas con técnica antidesgarro, fijando el mismo con anclas SwiveLock 2.5 milímetros (Figura 4).8 Por último, se suturaron bordes libres de tendón calcáneo con sutura de alta resistencia (Figura 5).9 Se realizaron movimientos de flexoextensión del tobillo corroborando adecuada resistencia de éste. Se corroboró adecuada colocación del material bajo fluoroscopia transquirúrgica (Figura 2).10 Se realizó hemostasia y se cerró herida con vicryl 1-0, 2-0 para tejido celular subcutáneo y nylon 3-0 para piel. Se retiró isquemia y se colocó férula suropodálica anterior en equino.

Se continuó el seguimiento a través de la consulta externa del servicio, manejando al paciente sin apoyo durante las primeras dos semanas. A partir de los 14 días, se inició apoyo gradual y parcial con bota mecánica, retirando la misma para el apoyo completo entre las cuatro y seis semanas.

El paciente refirió dolor en las primeras seis semanas postquirúrgicas. Actualmente no presenta sintomatología postquirúrgica, usa calzado sin disconformidades y retorno a la actividad laboral normal.



DISCUSIóN

La técnica de doble hilera o SpeedBridge5 es utilizada principalmente en patología de hombro, sin embargo, se ha identificado en reportes bibliográficos una buena estructura biomecánica para tratar patología del tendón aquíleo, especialmente en pacientes con deformidad de Haglund. La deformidad de Haglund es una condición debilitante, crónica, caracterizada por dolor posterior en tobillo con crecimiento excesivo del hueso en el sitio de inserción del tendón aquíleo.11 Fue descrita inicialmente por el Dr. Patrick Haglund en 1928.12 El síndrome de Haglund incluye la bursitis retrocalcánea, calcificación del tendón de Aquiles y la deformidad de Haglund en la parte posterosuperior del calcáneo.13,14

Esta patología se presenta principalmente en pacientes en edad laboral y productiva, con tendencia a saltos repetitivos, los cuales provocan sintomatología dolorosa alrededor del tobillo.

El diagnóstico se realiza de manera clínica con maniobras específicas para descartar pinzamiento posterior de tobillo, así como pruebas clínicas que se enfoquen a patología de tendinitis aquílea. El diagnóstico por imagen se realiza de manera específica con la resonancia magnética simple, enfocada en identificar la exostosis en la parte superior del calcáneo, bursitis retroaquílea y retrocalcánea y tendinitis insercional del tendón identificado.

El manejo quirúrgico reportado en la literatura está indicado si la sintomatología no mejora en seis meses.15 Las intervenciones quirúrgicas pueden realizarse de manera endoscópica o abierta. La primera se realiza de manera mínimamente invasiva para desbridar la exostosis inicialmente, sin embargo, se ha reportado que no existe un desbridamiento adecuado y las lesiones intratendinosas no pueden ser resecadas de buena manera. En cuanto a las cirugías abiertas, se han descrito incisiones en J, laterales, transversas y centrales, no siendo concluyentes los resultados en cuanto a superioridad.

La descripción de la técnica de doble hilera con anclas sin nudos para la reinserción del tendón de Aquiles fue descrita inicialmente por Witt y colaboradores en cuatro pacientes con buenos resultados de acuerdo con la escala de AOFAS (American Orthopaedic Foot and Ankle Society) posterior a una completa desinserción del mismo tendón. En un estudio reportado en la literatura,10 se demuestra biomecánicamente buenos resultados de esta técnica, con una mejor y mayor área de contacto entre el hueso y el tendón.



CONCLUSIóN

La técnica quirúrgica descrita tiene buenos resultados funcionales en la reparación del tendón de Aquiles posterior a la resección de exostosis secundaria a deformidad de Haglund.



AGRADECIMIENTOS

Al Dr. Francisco Adolfo De los Santos Montoya por su enseñanza y aporte a nuestra formación como especialistas.


REFERENCIAS (EN ESTE ARTÍCULO)

  1. Ballal MS, Walker CR, Molloy AP. The anatomical footprint of the Achilles tendon: a cadaveric study. Bone Joint J. 2014; 96-B (10): 1344-1348.

  2. McAlister JE, Hyer CF. Safety of Achilles detachment and reattachment using a standard midline approach to insertional enthesophytes. J Foot Ankle Surg. 2015; 54 (2): 214-219.

  3. Lopes R, Ngbilo C, Padiolleau G, Boniface O. Endoscopic speed bridge: A new treatment for insertional Achilles tendinopathy. Orthop Traumatol Surg Res. 2021; 107 (6): 102854.

  4. Barg A, Ludwig T. Surgical strategies for the treatment of insertional Achilles tendinopathy. Foot Ankle Clin. 2019; 24 (3): 533-559.

  5. Fradet J, Lopes R. Endoscopic calcaneal SpeedBridge technique: decreased postoperative complication rate in insertional Achilles tendinopathy. Orthop Traumatol Surg Res. 2024; 110 (5): 103916.

  6. Lakey E, Kumparatana P, Moon DK, Morales J, Anderson SE, Baldini T et al. Biomechanical comparison of all-soft suture anchor single-row vs double-row bridging construct for insertional Achilles tendinopathy. Foot Ankle Int. 2021; 42 (2): 215-223.

  7. Zhuang Z, Yang Y, Chhantyal K, Chen J, Yuan G, Ni Y et al. Central tendon-splitting approach and double row suturing for the treatment of insertional Achilles tendinopathy. Biomed Res Int. 2019; 2019: 4920647.

  8. Güler Y, Birinci M, Hakyemez OS, Buyukdogan K, Cacan MA, Arslanoglu F et al. Achilles tendon-splitting approach and double-row suture anchor repair for Haglund syndrome. Foot Ankle Surg. 2021; 27 (4): 421-426.

  9. Usman MA, Murtaza B, Winangun PAN, Kennedy D. Chronic rupture of Achilles tendon caused by Haglund's deformity: a case report. Medicina (Kaunas). 2022; 58 (9): 1216.

  10. Swaroop S, Dureja K, Vellaipandi V, Patnaik S. SpeedBridge repair in degenerative Achilles tear: a novel technique. J Orthop Case Rep. 2024; 14 (5): 161-165.

  11. Kar S, Sauarbh S, Digge VK. Double row reconstruction of Achilles tendon (SpeedBridge technique) for Haglund syndrome results in early weight bearing. J Orthop. 2023; 39: 70-74.

  12. Lewis TL, Srirangarajan T, Patel A, Yip GCK, Hussain L, Walker R et al. Clinical outcomes following surgical management of insertional Achilles tendinopathy using a double-row suture bridge technique with mean two-year follow-up. Eur J Orthop Surg Traumatol. 2023; 33 (4): 1179-1184.

  13. Lee W, Giro ME, Crymes C. Association of Haglund deformity size and insertional Achilles tendinopathy. Foot Ankle Int. 2023; 44 (8): 719-726.

  14. Ma L, Chang L, Gong Y, Wang Y, Bian X, Hu C et al. Haglund resection versus Haglund non-resection for calcific insertional Achilles tendinopathy with Haglund deformity: A retrospective study. Foot Ankle Surg. 2024; 30 (5): 432-439.

  15. Chatterton BD, Muller S, Roddy E. Epidemiology of posterior heel pain in the general population: cross-sectional findings from the clinical assessment study of the foot. Arthritis Care Res (Hoboken). 2015; 67 (7): 996-1003.



AFILIACIONES

1 Traumatología y Ortopedia, Hospital Regional "Lic. Adolfo López Mateos", Instituto de Seguridad y Servicios Sociales de los Trabajadores del Estado. México.

2 Residente de cuarto año.

3 ORCID: 0009-0009-6985-514X

4 Médico adscrito al servicio de Artroscopía.

5 Residente de tercer año.



CORRESPONDENCIA

Jorge Antonio Castillo Montessoro. Correo electrónico: jacm94@hotmail.com




Recibido: 04-09-2024. Aceptado: 19-09-2024.

Figura 1
Figura 2
Figura 3
Figura 4
Figura 5

2020     |     www.medigraphic.com

Mi perfil

C?MO CITAR (Vancouver)

Acta Med. 2025;23

ARTíCULOS SIMILARES

CARGANDO ...