medigraphic.com
ENGLISH

Revista Mexicana de Trasplantes

ISSN 3122-3893 (Digital)
  • Mostrar índice
  • Números disponibles
  • Información
    • Información general        
    • Directorio
  • Publicar
    • Instrucciones para autores        
    • Envío de artículos
  • Políticas
  • medigraphic.com
    • Inicio
    • Índice de revistas            
    • Registro / Acceso
  • Mi perfil

2025, Número 1

<< Anterior Siguiente >>

Rev Mex Traspl 2025; 14 (1)


Mucormicosis rinosenoorbital posterior a trasplante renal. Reporte de dos casos y revisión de la literatura

Sánchez-Rodríguez, René1,2; Espinoza-Pérez, Ramón1,3; Cancino-López, Jorge1,3; Bautista-Olayo, Roberto1,3; Guerrero-Rosario, Arturo1,2; Rodríguez-Gómez, Raúl1,2; Cedillo-Galindo, Héctor1,3; Morinelli-Astorquizaga, Alejandra1,3; Hernández-Díaz, Juan Carlos1,2; Hernández-Rodríguez, Juan Carlos1,2; Cruz-López, Martha1,2; Reyes-Díaz, Evelin1,2; Valdez-Mendieta, Hortencia Yanet1,4
Texto completo Cómo citar este artículo 10.35366/119982

DOI

DOI: 10.35366/119982
URL: https://dx.doi.org/10.35366/119982
Artículos similares

Idioma: Español
Referencias bibliográficas: 25
Paginas: 27-33
Archivo PDF: 412.98 Kb.


PALABRAS CLAVE

mucormicosis rinosenoorbitaria, trasplante renal, infecciones en trasplante, hongos oportunistas.

RESUMEN

Introducción: la mucormicosis es una infección micótica profunda o sistémica de rápida progresión y alta morbimortalidad causada por hongos oportunistas. Se presenta principalmente en pacientes inmunosuprimidos y en trasplantados, el cual puede diseminarse y provocar alta morbimortalidad. Presentación del caso: presentamos dos casos de mucormicosis de tipo rinosenoorbitaria, presentes posterior a trasplante renal bajo inmunosupresión con basiliximab y timoglobulina. Ambos debutan de forma abrupta y de evolución progresiva e invasiva, de características clínicas de presentación que coinciden con casos reportados previamente en la literatura, mismos en quienes se instaura un manejo multidisciplinario médico con anfotericina B liposomal y quirúrgico a través de un intenso desbridamiento para eliminar tejidos infartados y necróticos, como parte del tratamiento de elección, tal como lo dictan los lineamientos en las guías de práctica clínica, lo cual nos permitió corroborar la efectividad del tratamiento médico-quirúrgico establecido, lo que conlleva a un desenlace favorable con limitación de la afección mucocutánea y, principalmente, con adecuada función del injerto renal. Conclusión: a pesar de los grandes avances en la mejora del tratamiento antifúngico, la presentación de estos pacientes nos confirma la efectividad que aún mantiene el tratamiento con anfotericina para esta entidad, lo cual permite mantenerse como el estándar de oro en el tratamiento de la mucormicosis.



INTRODUCCIóN

El trasplante renal es hoy en día el tratamiento de elección en los pacientes que cursan con enfermedad renal crónica, en quienes se ha demostrado mejorar la calidad de vida y supervivencia a largo plazo. Sin embargo, el trasplante renal también tiene sus desventajas, la mayoría de ellas relacionadas al riesgo inherente del procedimiento quirúrgico y derivadas de la inmunosupresión profunda que éstos requieren.

En la actualidad, los procesos infecciosos representan la segunda causa de mortalidad en el primer año posterior al trasplante renal, sólo por debajo de las complicaciones cardiovasculares. Entre las complicaciones infecciosas, las fúngicas invasivas después de trasplante renal son infrecuentes, ocurriendo en 1-14% de los receptores de trasplante y la mucormicosis es la tercera micosis invasiva más común luego de la candidiasis y la aspergilosis, representando una incidencia de 0.2-1.2% en trasplantados renales.1

Dada la alta morbilidad que esta entidad representa, principalmente en individuos inmunosuprimidos como lo son los pacientes que se someten a trasplante renal, es de vital importancia tener en mente el riesgo latente de presentación en este grupo de población vulnerable. Por tal motivo, presentamos dos casos de mucormicosis rinocerebral posterior a trasplante renal tratados con basiliximab y timoglobulina, respectivamente, se realizó un diagnóstico y tratamiento oportuno, con apego a los lineamientos terapéuticos internacionales, lo que resultó en una evolución clínica favorable. En esto casos, se corroboró la efectividad del tratamiento instaurado. Ambos pacientes egresaron con función primaria de injerto y adecuada evolución mucocutánea.



CASO CLÍNICO 1

Masculino de 59 años de edad, quien cursa con enfermedad renal crónica de etiología no determinada de 10 años de diagnóstico en terapia de reemplazo renal con diálisis peritoneal, sin antecedente de peritonitis u otra infección oportunista, hipertensión arterial sistémica de ocho años de diagnóstico en tratamiento con losartán 50 mg vía oral cada 12 horas, negando diabetes mellitus.

Recibe trasplante renal de donador fallecido con criterios ampliados en diciembre de 2023 (día 0). Recibió riñón izquierdo de 12 × 6 × 5 cm con vasos únicos (con anastomosis arterial término-lateral a la arteria iliaca externa). Isquemia fría 23 horas 43 minutos. Inducción con basiliximab 20 mg intravenoso (IV) (día 0) y 20 mg posterior (día 4), antecedente de un anticuerpo donador específico preformado vs Cw2 (MFI 709), recibe terapia de mantenimiento: prednisona dosis reducción (dosis máxima 60 mg al día), micofenolato de mofetilo 500 mg vía oral cada 12 horas y tacrolimus ajustado a trimetoprim con sulfametoxazol 80/450 mg cada 48 horas.

Posterior al trasplante (día 3) y aún bajo hospitalización, inicia con cefalea frontoparietal derecha intensa asociado con fotofobia, dolor retroocular, epífora, edema facial derecho, hipoestesia periocular ipsilateral, así como epistaxis, náusea y vómito, evoluciona a ptosis completa, proptosis en ojo derecho y disminución de agudeza visual (afección craneal múltiple). Es valorado por neurología, quienes descartan afección de sistema nervioso central (Figura 1), sugieren intervención por oftalmología, corroborando este último incremento de presión intraocular tratándolo con timolol/dorzolamida gotas oftálmicas (día 5-7), además de alta sospecha de síndrome de ápex. Servicio de órbita solicita imagen por resonancia magnética resultando en hipertrofia de cornete nasal derecho y ocupación maxilar derecho, celulitis orbitaria derecha, compromiso de vaina de nervio óptico y sinusitis etmoidal, esfenoidal y maxilar. Asimismo, es valorado por otorrinolaringología quien identifica múltiples úlceras palatinas derechas, isquemia de paredes, perforación de pared lateral e isquemia de tejido orbitario (Figura 2) en el día 7.

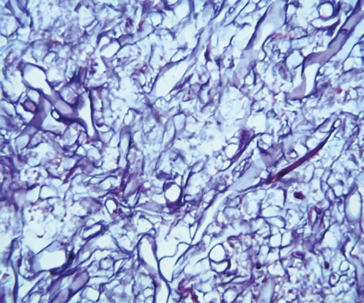
Se practica estudios micológicos de la secreción, observándose en el examen directo hifas hialinas no tabicadas (cenocíticas) confirmándose mucormicosis, se inicia tratamiento por el servicio de infectología con anfotericina B liposomal 60 mg intravenoso cada 24 horas (día 8), con adecuada respuesta mucocutánea, con limitación de infiltración. La tomografía axial computarizada muestra senos paranasales ocupados sin compromiso cerebral (Figura 3). Se realiza exenteración orbitaria derecha más cirugía funcional de nariz y senos paranasales (día 9). En la anatomía patológica, se observa en los tejidos elementos micóticos consistentes en hifas con las características citadas (Figura 4). Es valorado por cirugía maxilofacial y neurocirugía refiriendo no ser candidato a mayor tratamiento quirúrgico, presentando adecuada evolución con remisión de sintomatología inicial.

A nivel renal evolucionó con adecuada respuesta con descenso gradual de niveles de azoados, con uresis progresiva, egresándose al día 32 con niveles de creatinina basal de 1.2 mg/dL, sin requerimientos de terapia de reemplazo renal, por lo que se consideró función primaria de injerto, prescribiendo tratamiento inmunosupresor con dosis mínima de prednisona 10 mg/día y tacrolimus con niveles séricos de 10 ng/dL sin micofenolato, brindando continuidad en consulta externa, asimismo, se envió para seguimiento externo por servicios de oftalmología y otorrinolaringología.



CASO CLÍNICO 2

Femenino de 39 años de edad con enfermedad renal crónica secundario a nefropatía diabética, cursó con diálisis peritoneal por tres años, con un total de dos catéter Tenckhoff, con cuadros de peritonitis de repetición por el cual cambia de modalidad a hemodiálisis crónica subrogada. Recibe trasplante renal de donador vivo emocionalmente relacionado (esposo) en septiembre de 2017 (día 0), por alto riesgo inmunológico se brinda inducción a la inmunosupresión con timoglobulina dosis acumulada de 3 mg/kg y terapia de mantenimiento con tacrolimus 7 mg al día con niveles séricos en los primeros tres meses de 10 ng/dL aproximadamente, así como prednisona dosis máxima de 60 mg al día con dosis reducción cada tercer día de 5 mg, con metas a alcanzar a dosis mínima de 10 mg/día, así como micofenolato de mofetilo de 500 mg vía oral cada 12 horas, también se brindó profilaxis con ceftriaxona 2 g IV cada 24 horas, trimetoprim con sulfametoxazol 80/450 mg cada 24 horas y valganciclovir 450 mg vía oral cada 24 horas.

En el día 4 inicia de forma súbita con dolor a nivel ocular derecho, así como cefalea frontotemporal de tipo opresivo, edema facial, se agrega ptosis palpebral ipsilateral (día 5), proptosis, epífora, disminución de agudeza visual (día 6 y 7), limitación de movimientos oculares, progresa a ulceración en arco cigomático derecho (día 8). Se realizó tomografía axial computarizada (día 5) en la que se demuestra sinusitis maxilar y etmoidal, así como erosión ósea maxilar superior derecha, hueso temporal y parietal. Es valorada por el servicio de otorrinolaringología (día 6) quienes realizan endoscopia nasal (día 7) con toma de biopsias seriadas y solicitan valoración por servicio de oftalmología e infectología. Oftalmología descarta compromiso ocular, además miden presiones oculares y refieren discreto incremento del mismo (día 8). Se recaba impronta de mucosa nasal y se confirma mucormicosis rinocerebral (día 8) por resultados de cultivo e histopatológico.

Es revalorada por el servicio de oftalmología (día 9) quienes realizan enucleación de globo ocular derecho; asimismo, el servicio cirugía de cabeza y cuello realiza cirugía funcional de nariz y senos paranasales (día 11), así como debridación de tejido necrótico. Posterior a corroborarse infección fúngica con Rhizopus, el servicio cirugía de cabeza y cuello en conjunto con el servicio de neurocirugía (día 15) realizan hemimaxilectomía derecha con colocación de placa frontotemporal derecha (por afección a nivel de sistema nervioso central e invasión a estos huesos). El servicio de infectología inició tratamiento con anfotericina B liposomal (desde el día 8), con evolución lenta por progresión de la enfermedad hasta la intervención por el servicio de neurocirugía y cirugía de cabeza y cuello.

A nivel renal mantiene adecuada funcionalidad, con descenso gradual de azoados, presentó disfunción de injerto por requerimiento de dos sesiones de hemodiálisis (al día 3 y 6 postrasplante). La paciente presentó adecuada funcionalidad renal con descenso gradual de azoados sin mayor requerimiento de terapia de reemplazo renal. Posteriormente, es egresada al día 35 postrasplante. De la Unidad de Trasplante Renal de tercer nivel es egresada posterior al año de trasplante con creatinina basal de 1.2 mg/dL, en seguimiento por nefrología de su hospital general de zona.

En la actualidad, se encuentra en seguimiento en tercer nivel de atención por cirugía plástica por protocolo de reconstrucción facial.



REVISIÓN DE LA LITERATURA

La mucormicosis es una infección poco frecuente, de evolución aguda, con elevada morbimortalidad, causada por hongos oportunistas del orden Mucorales. Los pacientes tratados con trasplante renal tienen un alto riesgo para presentar mucormicosis de origen multifactorial, entre ellas, la terapia de inmunosupresión crónica, uso generalizado de antibióticos de amplio espectro, disfunción del aloinjerto renal y diabetes mellitus.2

En México, la diabetes mellitus descontrolada es un factor asociado en más de 70% de los casos, especialmente en la forma rinocerebral. Los pacientes neutropénicos con neoplasias hematológicas y bajo quimioterapia, receptoras de trasplante hematopoyético con tratamiento inmunosupresor antirrechazo o tratados con deferoxamina constituyen otro grupo de alto riesgo. Los pacientes con leucemia como enfermedad de base es otro grupo especialmente afectado.3 El VIH-SIDA también es otro factor de riesgo para el desarrollo de esta entidad. Asimismo, se han descrito casos en pacientes no inmunodeprimidos con afectación de piel y partes blandas en el contexto de desastres naturales o heridas de guerra.4

Casi todos los pacientes presentan algún factor predisponente, que en general se relaciona con intervenciones quirúrgicas de gran complejidad, complicaciones infecciosas (relacionadas o no con la cirugía), tratamiento antibiótico/antifúngico de amplio espectro e inmunosupresión.5

Los hongos responsables de la mucormicosis pertenecen a la clase de los Zygomycetos, del orden de los Mucorales, representados por varios géneros, entre ellos los géneros Mucor, Rhizopus, Rhizomucor y Absidia.6 Estos hongos se caracterizan por tener un crecimiento rápido en medios de cultivo poco exigentes, en un amplio rango de temperaturas, con un proceso de reproducción asexuada y producción de esporas que se liberan al ambiente. Al microscopio, se destacan por sus hifas anchas (5-15 micras), aseptadas y con ramificación irregular.7

La mucormicosis presenta varias formas clínicas: rinocerebral con una frecuencia de 39% causada sobre todo por R. oryzae y M. corymbifer; pulmonar (24%) también por los mismos agentes; cutánea (19%); gastrointestinal (3%) y diseminada.8

En cuanto a la profilaxis de micosis invasiva en pacientes de alto riesgo, como los sometidos a trasplante de órganos sólidos o médula ósea, la caspofungina ha demostrado ser eficaz.9 La hiperglicemia y los niveles de hierro elevados sobrerregulan la expresión de la proteína 78 regulada por glucosa, lo que promueve la invasión celular endotelial por un mecanismo dependiente de receptor.10 La mucormicosis invasiva se caracteriza por el desarrollo rápido de necrosis tisular como resultado de la invasión vascular y trombosis subsecuente.11

La infección tiene lugar por la inhalación de esporangiosporas o por inoculación directa de los hongos en lesiones dérmicas o mucosas.12 Los mucorales son agiotropos, lo que da lugar a infartos y trombosis en los órganos que afectan.3

La mucormicosis puede ser manifestada por una variedad de presentaciones clínicas en humanos, incluyendo rinosinoorbital, rinocerebral, pulmonar, gastrointestinal, dermatológica y aloinjerto.

Mucormicosis rinosinoorbital y rinocerebral, una infección de los senos nasales que se propaga rápidamente a los ojos y al cerebro, son los sitios más comunes de infección, de todas las formas clínicas, la mucormicosis rinoorbitocerebral es la más frecuente en los pacientes trasplantados de riñón.13

Sin embargo, hay estudios como los de Aslani y colaboradores, quienes informaron que la infección pulmonar es el tipo de mucormicosis más prevalente en los receptores de trasplante renal.6

Usualmente es causada por el hongo Rhizopus oryzae. Se caracteriza por cuadros de sinusitis aguda con fiebre, cefalea, epífora y congestión nasal, con una evolución generalmente rápida a través de la diseminación vascular a las estructuras contiguas hasta el parénquima cerebral. Por lo regular, es de comienzo agudo, con un cuadro clínico compatible con una sinusitis aguda o una celulitis periorbitaria que se acompaña de dolor facial u ocular, secreción conjuntival, visión borrosa y edema de tejidos blandos. Los senos comprometidos con mayor frecuencia son los etmoidales y maxilares.14 Sin tratamiento la infección se disemina desde la lámina etmoidal hacia la órbita causando pérdida de la movilidad de la musculatura extraocular y proptosis asociada a quemosis. La infección también se puede diseminar desde el seno paranasal a la cavidad oral a través del paladar duro, lo que genera una úlcera necrótica y dolorosa y en forma retrógrada hacia el sistema nervioso central, provocando trombosis del seno cavernoso, compromiso de la arteria carótida interna con trombosis y extensos infartos cerebrales. El compromiso orbitario contralateral y de los pares craneanos es un signo ominoso que sugiere una trombosis del seno cavernoso.15 Entre los predictores clínicos de diseminación de la enfermedad, se encuentran principalmente la ulceración del paladar, la presencia de tejido de aspecto necrótico y el compromiso de las turbinas nasales.1,16 El daño y diseminación de la infección se producen porque el hongo es capaz de penetrar las paredes arteriales, separando la íntima de la media y generando trombosis, infartos y necrosis.17

En todo momento, requerirá la confirmación histológica, ya que los estudios de imagen pueden sugerir el compromiso por esta infección, pero no son diagnósticos.18

El inicio rápido del tratamiento tanto médico como quirúrgico, idealmente en los primeros cinco días, ha demostrado una menor tasa de mortalidad a tres meses (48.6 vs 82.9%).19 La falta de sospecha clínica y la limitación de las técnicas diagnósticas explican que hasta en 50% de los casos el diagnóstico sea post mortem.20

Es importante eliminar el factor predisponente, idealmente el uso de inmunosupresores, que debería ser minimizado o suspendido. El pilar más importante es el desbridamiento quirúrgico amplio de los tejidos comprometidos, con el objetivo de cortar la cadena entre la angioinvasión, la necrosis y la mala penetración de los medicamentos al sitio de infección.1

El tratamiento antifúngico de elección consiste en la administración de polienos como la anfotericina B en sus formas deoxicolato o liposomal en asociación con posaconazol. La duración del tratamiento médico se debe individualizar buscando la resolución clínica y radiológica.21,22

Se ha propuesto la combinación de anfotericina B con las equinocandinas o asociada al posaconazol, que tiene un mayor espectro antimicótico in vitro frente a la mayoría de los agentes etiológicos.19,23 En un estudio reciente sobre las concentraciones mínimas inhibitorias de los principales mucorales, se reportó que la mayoría de las cepas de Rhizomucor pusillus son sensibles a la anfotericina B (0.125-0-5 μg/mL) y al posaconazol (0.25-0-5 μg/mL), lo que evidencia que ésta es una adecuada combinación para infecciones por esta especie.24,25

La mortalidad por esta infección es alrededor del 45% en la forma local, pero puede llegar a una mortalidad de hasta 93% en la forma rinocerebral.22



DISCUSIóN

La mucormicosis es una de las infecciones con mayor morbimortalidad en individuos trasplantados inmunosuprimidos, requiere la necesidad de un diagnóstico temprano y un tratamiento multidisciplinario inmediato y agresivo dada su rápida instauración y alto grado de invasión, ya que en la mayoría de los casos deja a su paso secuelas altamente mutilantes. En ambas presentaciones, es destacable el abordaje multidisciplinario, diagnóstico oportuno y tratamiento especializado, dejando en claro que es de vital importancia considerar en todo momento como diagnóstico diferencial esta entidad, ya que el tiempo es crucial para limitar la invasión a tejidos adyacentes.

Llama la atención que ambos pacientes cursaban con múltiples factores predisponentes en la aparición de la enfermedad, tales como antibióticos de amplio espectro, diabetes mellitus, postrasplantados, inmunosupresión, sin embargo, la terapia de inducción fue diferente en ambos casos, y que a pesar de haber presentado riesgo inmunológico bajo el primero de ellos, meritorio de tratamiento con basiliximab, no estuvo exento de presentar la infección. Esto contrasta con la literatura y los reportes de casos publicados, donde se describe en la mayoría de ellos el tratamiento con timoglobulina (pacientes de riesgo inmunológico alto) como el principal factor precipitante.

Por tal motivo, es de suma importancia tener siempre presente el alto riesgo de presentación en este grupo de pacientes trasplantados por el estado vulnerable que la inmunosupresión predispone. Se debe identificar de forma precoz y brindar tratamiento multidisciplinario radical por el alto grado de invasión y afección discapacitante.



AGRADECIMIENTOS

A los pacientes y familiares por autorizar el uso de datos clínicos, así como al personal médico responsable de la Unidad de Trasplante del Centro Médico Nacional Siglo XXI (IMSS) por impulsar la investigación médica continua.


REFERENCIAS (EN ESTE ARTÍCULO)

  1. Einollahi B, Lessan-Pezeshki M, Aslani J, Nemati E, Rostami Z, Hosseini MJ et al. Two decades of experience in mucormycosis after kidney transplantation. Ann Transplant. 2011; 16 (3): 44-48.

  2. Chkhotua A, Yussim A, Tovar A, Weinberger M, Sobolev V, Bar-Nathan N et al. Mucormycosis of the renal allograft: case report and review of the literature. Transpl Int. 2001; 14 (6): 438-441.

  3. Navarro Vergara DI, Barragán Pola G, Bonifaz A, Núñez Pérez-Redondo C, Choreño García O, Cicero Sabido R. Mucormicosis pulmonar en un paciente con trasplante renal y hemoptisis incoercible. Rev Iberoam Micol. 2017; 34 (4): 233-236.

  4. Cocanour CS, Miller-Crotchett P, Reed RL 2nd, Johnson PC, Fischer RP. Mucormycosis in trauma patients. J Trauma. 1992; 32 (1): 12-15.

  5. Walsh TJ, Gamaletsou MN, McGinnis MR, Hayden RT, Kontoyiannis DP. Early clinical and laboratory diagnosis of invasive pulmonary, extrapulmonary, and disseminated mucormycosis (zygomycosis). Clin Infect Dis. 2012; 54 Suppl 1: S55-S60.

  6. Aslani J, Eizadi M, Kardavani B, Khoddami-Vishteh HR, Nemati E, Hoseini SM et al. Mucormycosis after kidney transplantations: report of seven cases. Scand J Infect Dis. 2007; 39 (8): 703-706.

  7. Nieto-Ríos JF, Moreno-Coral LF, Zapata-Cárdenas A, Ocampo-Kohn C, Aristizabal-Alzate A, Serna-Higuita LM et al. Tratamiento exitoso de mucormicosis rino-órbito-cerebral en un paciente trasplantado renal. Nefrología (Madr.). 2014; 34 (1): 120-124.

  8. Aldama Caballero A, García Duarte J, Aldama Negrete F, Insaurralde S, Mendoza de Sánchez G, Celías L. Mucormicosis rinocerebral - Reporte de 4 casos. An Fac Cienc Méd (Asunción). 2017; 50 (3): 75-82.

  9. Chou LS, Lewis RE, Ippoliti C, Champlin RE, Kontoyiannis DP. Caspofungin as primary antifungal prophylaxis in stem cell transplant recipients. Pharmacotherapy. 2007; 27 (12): 1644-1650.

  10. Gomes MZ, Lewis RE, Kontoyiannis DP. Mucormycosis caused by unusual mucormycetes, non-Rhizopus, -Mucor, and -Lichtheimia species. Clin Microbiol Rev. 2011; 24 (2): 411-445.

  11. Hamilos G, Samonis G, Kontoyiannis DP. Pulmonary mucormycosis. Semin Respir Crit Care Med. 2011; 32 (6): 693-702.

  12. Walsh TJ, Bloom BE, Kontoyiannis DP. Meeting the challenges of an emerging pathogen: the Henry Schueler 41&9 Foundation International Forum on Mucormycosis. Clin Infect Dis. 2012; 54 Suppl 1: S1-S4.

  13. Kubak BM, Huprikar SS; AST Infectious Diseases Community of Practice. Emerging & rare fungal infections in solid organ transplant recipients. Am J Transplant. 2009; 9 Suppl 4: S208-S226.

  14. Bonifaz A. Capítulo 28: Mucormicosis y entomoftoromicosis (zigomicosis). Micología médica básica. 4a edición. México: McGraw-Hill; 2012. pp. 399-426.

  15. Kontoyiannis DP, Lionakis MS, Lewis RE, Chamilos G, Healy M, Perego C et al. Zygomycosis in a tertiary-care cancer center in the era of Aspergillus-active antifungal therapy: a case-control observational study of 27 recent cases. J Infect Dis. 2005; 191 (8): 1350-1360.

  16. Kwon-Chung KJ. Taxonomy of fungi causing mucormycosis and entomophthoramycosis (zygomycosis) and nomenclature of the disease: molecular mycologic perspectives. Clin Infect Dis. 2012; 54 Suppl 1 (Suppl 1): S8-S15.

  17. Prasad PA, Vaughan AM, Zaoutis TE. Trends in zygomycosis in children. Mycoses. 2012; 55 (4): 352-356.

  18. Spellberg B, Ibrahim AS. Recent advances in the treatment of mucormycosis. Curr Infect Dis Rep. 2010; 12 (6): 423-429.

  19. Chamilos G, Lewis RE, Kontoyiannis DP. Delaying amphotericin B-based frontline therapy significantly increases mortality among patients with hematologic malignancy who have zygomycosis. Clin Infect Dis. 2008; 47 (4): 503-509.

  20. Torres-Narbona M, Guinea J, Muñoz P, Bouza E. Zigomicetos y zigomicosis en la era de las nuevas terapias antifúngicas. Rev Esp Quimioter. 2007; 20 (4): 375-386.

  21. Gamaletsou M, Sipsas N, Roilides E, Walsh T. Rhino-orbital-cerebral mucormycosis. Curr Infect Dis Rep. 2012; 14 (4): 423-434.

  22. Spellberg B, Walsh TJ, Kontoyiannis DP, Edwards J Jr, Ibrahim AS. Recent advances in the management of mucormycosis: from bench to bedside. Clin Infect Dis. 2009; 48 (12): 1743-1751.

  23. Reed C, Bryant R, Ibrahim AS, Edwards J Jr, Filler SG, Goldberg R et al. Combination polyene-caspofungin treatment of rhino-orbital-cerebral mucormycosis. Clin Infect Dis. 2008; 47 (3): 364-371.

  24. Espinel-Ingroff A, Chakrabarti A, Chowdhary A, Cordoba S, Dannaoui E, Dufresne P et al. Multicenter evaluation of MIC distributions for epidemiologic cutoff value definition to detect amphotericin B, posaconazole, and itraconazole resistance among the most clinically relevant species of Mucorales. Antimicrob Agents Chemother. 2015; 59 (3): 1745-1750.

  25. Badiee P, Abdolvahab A. Invasive fungal infections in renal transplant recipients. Exp Clin Transplant. 2011; 9 (6): 355-362.



AFILIACIONES

1 Hospital de Especialidades "Dr. Bernardo Sepúlveda" del Centro Médico Nacional Siglo XXI, Instituto Mexicano del Seguro Social. Ciudad de México, México.

2 Nefrología, Unidad de Trasplante Renal.

3 Cirugía de Trasplante. Jefe de Servicio de la Unidad de Trasplante Renal.

4 Servicio de Patología.



CORRESPONDENCIA

René Sánchez-Rodríguez. E-mail: dr.sanchez.r@hotmail.com




Recibido: 18-Abr-2024. Aceptado: 25-Oct-2024

Figura 1
Figura 2
Figura 3
Figura 4

2020     |     www.medigraphic.com

Mi perfil

C?MO CITAR (Vancouver)

Rev Mex Traspl. 2025;14

ARTíCULOS SIMILARES

CARGANDO ...