medigraphic.com
ENGLISH

Revista Mexicana de Pediatría

ISSN 0035-0052 (Impreso)
  • Mostrar índice
  • Números disponibles
  • Información
    • Información general        
    • Directorio
  • Publicar
    • Instrucciones para autores        
    • Envío de artículos
  • medigraphic.com
    • Inicio
    • Índice de revistas            
    • Registro / Acceso
  • Mi perfil

2024, Número 5

<< Anterior

Rev Mex Pediatr 2024; 91 (5)


Traumatismo por aguja crochet

Pachicano-Leal, Juan Luis Tadeo1; Lucio-Escamilla, Jacqueline Divani2; Vargas-Nieto, Citlalli Karina2
Texto completo Cómo citar este artículo 10.35366/120171

DOI

DOI: 10.35366/120171
URL: https://dx.doi.org/10.35366/120171
Artículos similares

Idioma: Español
Referencias bibliográficas: 4
Paginas: 198-199
Archivo PDF: 266.30 Kb.


PALABRAS CLAVE

cuerpo extraño, traumatismo en pie, escolar.

RESUMEN

Se presenta la imagen del pie izquierdo de un paciente masculino de 11 años, quien tuvo traumatismo por incrustación de aguja de crochet.



INTRODUCCIóN

El traumatismo de las extremidades relacionado con un cuerpo extraño en niños es un evento poco frecuente.1 El abordaje exhaustivo de un paciente con este tipo de traumatismo evita problemas más complejos,2 ya que, si no se trata de manera adecuada, pueden surgir complicaciones, como infecciones o pérdida de función.

En general, se recomienda tomar radiografías, ya sea en una o dos proyecciones como parte del abordaje inicial. Sin embargo, algunos cuerpos extraños de partes blandas son radiolúcidos, lo que da lugar a radiografías "negativas".3 En ciertos casos se puede requerir de su localización por ecografía. El tratamiento incluye la irrigación de la herida y la exploración para extraer el cuerpo extraño. Por lo general, los cuerpos extraños pueden extraerse con anestesia local, sin complicaciones.4



PRESENTACIóN DEL CASO

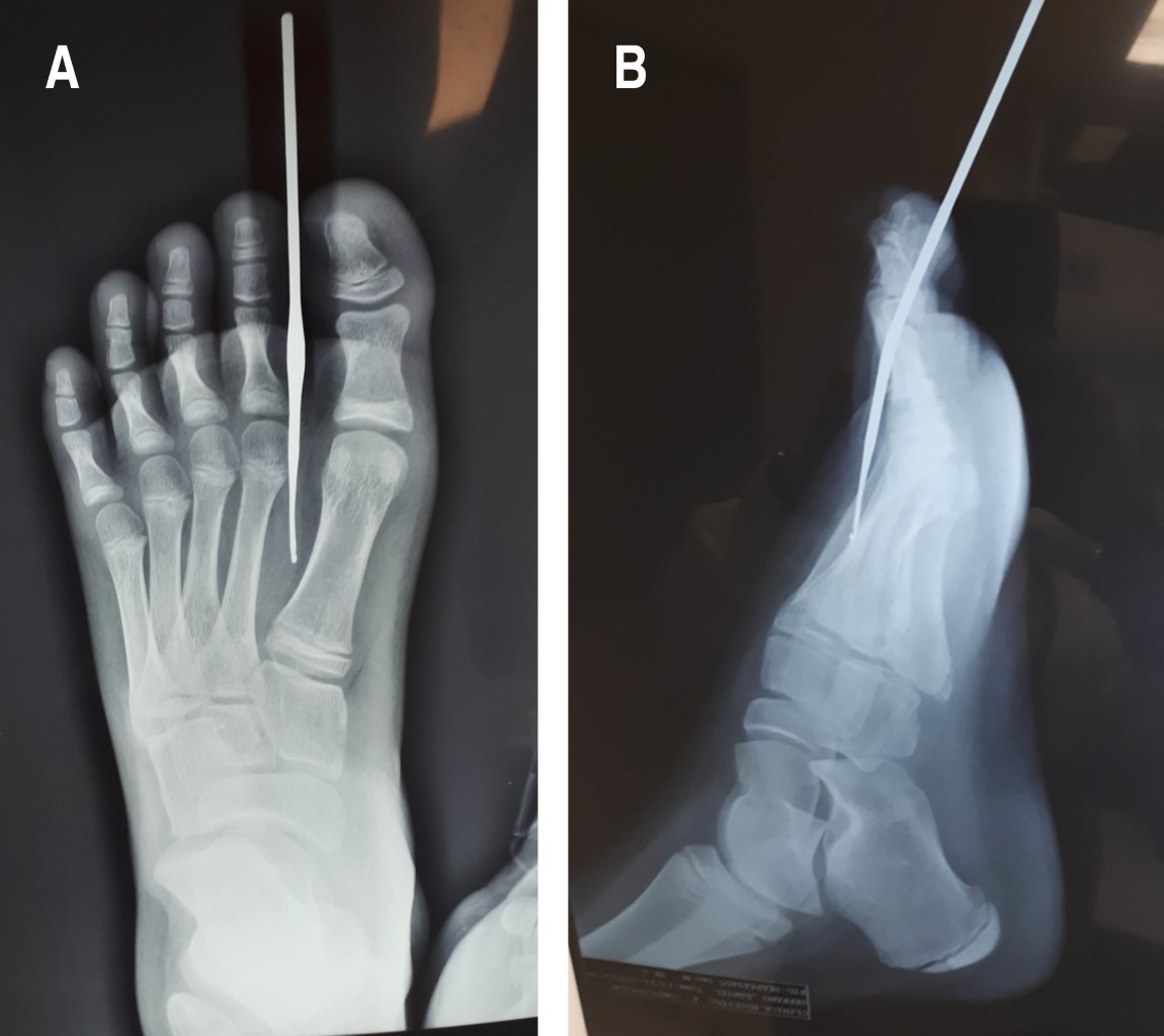
Se trata de un paciente masculino de 11 años, quien inició su padecimiento dos horas previo a su valoración en el servicio de urgencias. El paciente refirió que al encontrarse corriendo sin calzado en su hogar y, de manera inadvertida, pisó una aguja para tejer tipo crochet, por lo que se trasladó para su valoración. A su ingreso se encontró estable, con facies de dolor y con aguja para tejer tipo crochet incrustada en región interdigital del primer y segundo ortejos izquierdos (Figura 1), sin datos de sangrado activo.

En radiografías en dos posiciones de la extremidad afectada se observó el objeto extraño incrustado en tejidos blandos, pero sin afectación ósea (Figura 2).

Los médicos de cirugía general realizaron irrigación de la herida y posteriormente extrajeron el objeto incrustado, sin eventualidades. El paciente egresó con indicaciones generales para los cuidados locales; una semana después se encontró sin complicaciones.


REFERENCIAS (EN ESTE ARTÍCULO)

  1. Agarwal A. Foreign body-related extremity trauma in children: a single-center experience. Indian J Orthop. 2018; 52(5): 481-488. doi: 10.4103/ortho.IJOrtho_311_17.

  2. Van de Kimmenade RJLL, Meijer DT, Hoornenborg D, Van der Vis HM. A child with a painful foot: how to get a definitive diagnosis. Case Rep Orthop. 2022; 2022: 5105078. doi: 10.1155/2022/5105078.

  3. Grocutt H, Davies R, Heales C. Ultrasound compared with projection radiography for the detection of soft tissue foreign bodies - A technical note. Radiography (Lond). 2023; 29(6): 1007-1010. doi: 10.1016/j.radi.2023.08.005.

  4. Wani RA, Rashid KA, Malik MA. Diagnosis and management of neglected foreign body foot in children. Int Surg J. 2021; 8(6): 1719-1722. doi: 10.18203/2349-2902.isj20211947.



AFILIACIONES

1 Médico adscrito. Consulta externa de pediatría

2 Residente tercer año de pediatría, Clínica Hospital ISSSTE Constitución. Monterrey, Nuevo León, México.



Conflicto de intereses: los autores declaran que no tienen.



CORRESPONDENCIA

Juan Luis Tadeo Pachicano-Leal, E-mail: pachikano@hotmail.com




Recibido: 03/09/2024. Aceptado: 17/10/2024

Figura 1
Figura 2

2020     |     www.medigraphic.com

Mi perfil

C?MO CITAR (Vancouver)

Rev Mex Pediatr. 2024;91

ARTíCULOS SIMILARES

CARGANDO ...