medigraphic.com
ENGLISH

Acta Ortopédica Mexicana

ISSN 2992-8036 (Digital)
ISSN 2306-4102 (Impreso)
Órgano Oficial del Colegio Mexicano de Ortopedia y Traumatología
  • Mostrar índice
  • Números disponibles
  • Información
    • Información general        
    • Directorio
  • Publicar
    • Instrucciones para autores        
  • medigraphic.com
    • Inicio
    • Índice de revistas            
    • Registro / Acceso
  • Mi perfil

2025, Número 4

<< Anterior Siguiente >>

Acta Ortop Mex 2025; 39 (4)


Rotura del músculo redondo mayor: informe de un caso en un atleta de jiu-jitsu

Drummond D, Lopes-Ferreira-Júnior L, Paiva-D EL, De OL, Duarte M
Texto completo Cómo citar este artículo 10.35366/120455

DOI

DOI: 10.35366/120455
URL: https://dx.doi.org/10.35366/120455
Artículos similares

Idioma: Ingles.
Referencias bibliográficas: 7
Paginas: 231-235
Archivo PDF: 952.32 Kb.


PALABRAS CLAVE

imágenes por resonancia magnética, deportes, lesiones de hombro.

RESUMEN

La rotura del músculo redondo mayor es una afección muy conocida en actividades deportivas como el béisbol, el hockey y el tenis. No existe un consenso real en la literatura sobre el tratamiento, y los enfoques varían entre métodos funcionales y quirúrgicos. Si bien el tratamiento funcional parece ser una opción viable, falta evidencia que indique una mejora significativa en la fuerza de rotación medial después de dicho tratamiento. Presentamos a un hombre de 30 años con dolor debajo de la axila derecha durante los últimos 10 días, atribuido al entrenamiento de jiu-jitsu, que reveló un desgarro completo de la unión musculotendinosa del redondo mayor y un desgarro de inserción parcial (aproximadamente el 75% de espesor) de los tendones supraespinoso e infraespinoso, junto con atrofia en la transición musculotendinosa del pectoral mayor. El paciente fue tratado con medicación analgésica, acompañada de tratamiento fisioterapéutico que incluyó electrotermofototerapia, terapia con láser/LED, terapia manual y un régimen de ejercicio estructurado durante 14 semanas, reintroduciendo gradualmente el entrenamiento deportivo específico.


REFERENCIAS (EN ESTE ARTÍCULO)

  1. Fitzpatrick D, Cagle P, Flatow E. Isolated teres major rupture: a case report with a suggested dedicated imaging protocol and review of the literature. J Radiol Case Rep. 2016; 10(4): 31-6. doi: 10.3941/jrcr.v10i4.2674.

  2. Cousin J, Crenn V, Fouasson-Chailloux A, Dauty M, Fradin P, Gouin F, et al. Isolated rupture of the teres major muscle when water skiing: a case report and literature review. Case Rep Orthop. 2018; 2018: 3806534. doi: 10.1155/2018/3806534.

  3. Erickson BJ, Chalmers PN, Potter HG, Altchek DW, Romeo AA. Magnetic resonance imaging grading system for tears of the latissimus dorsi and teres major. Orthop J Sports Med. 2019; 7(3): 2325967119826548. doi: 10.1177/2325967119826548.

  4. Takase K. Isolated rupture of the teres major muscle. J Orthop Sports Phys Ther. 2008; 38(7): 439. doi: 10.2519/jospt.2008.0407.

  5. Jeong JH, Kim YK. Association of scapular dyskinesis with neck and shoulder function and training period in brazilian ju-jitsu athletes. Medicina (Kaunas). 2023; 59(8): 1481. doi: 10.3390/medicina59081481.

  6. Longo UG, Risi Ambrogioni L, Berton A, Candela V, Massaroni C, Carnevale A, et al. Scapular dyskinesis: from basic science to ultimate treatment. Int J Environ Res Public Health. 2020; 17(8): 2974. doi: 10.3390/ijerph17082974. Erratum in: Int J Environ Res Public Health. 2020; 17(11): E3810. doi: 10.3390/ijerph17113810.

  7. Hickey D, Solvig V, Cavalheri V, Harrold M, Mckenna L. Scapular dyskinesis increases the risk of future shoulder pain by 43% in asymptomatic athletes: a systematic review and meta-analysis. Br J Sports Med. 2018; 52(2): 102-10. doi: 10.1136/bjsports-2017-097559.




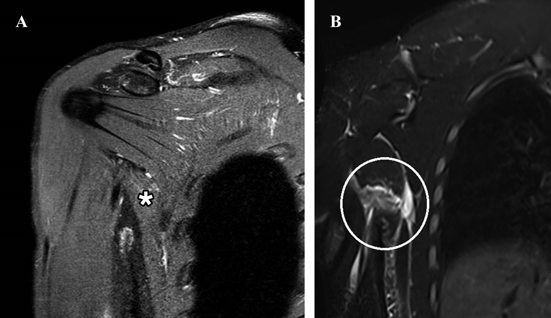
Figura 1
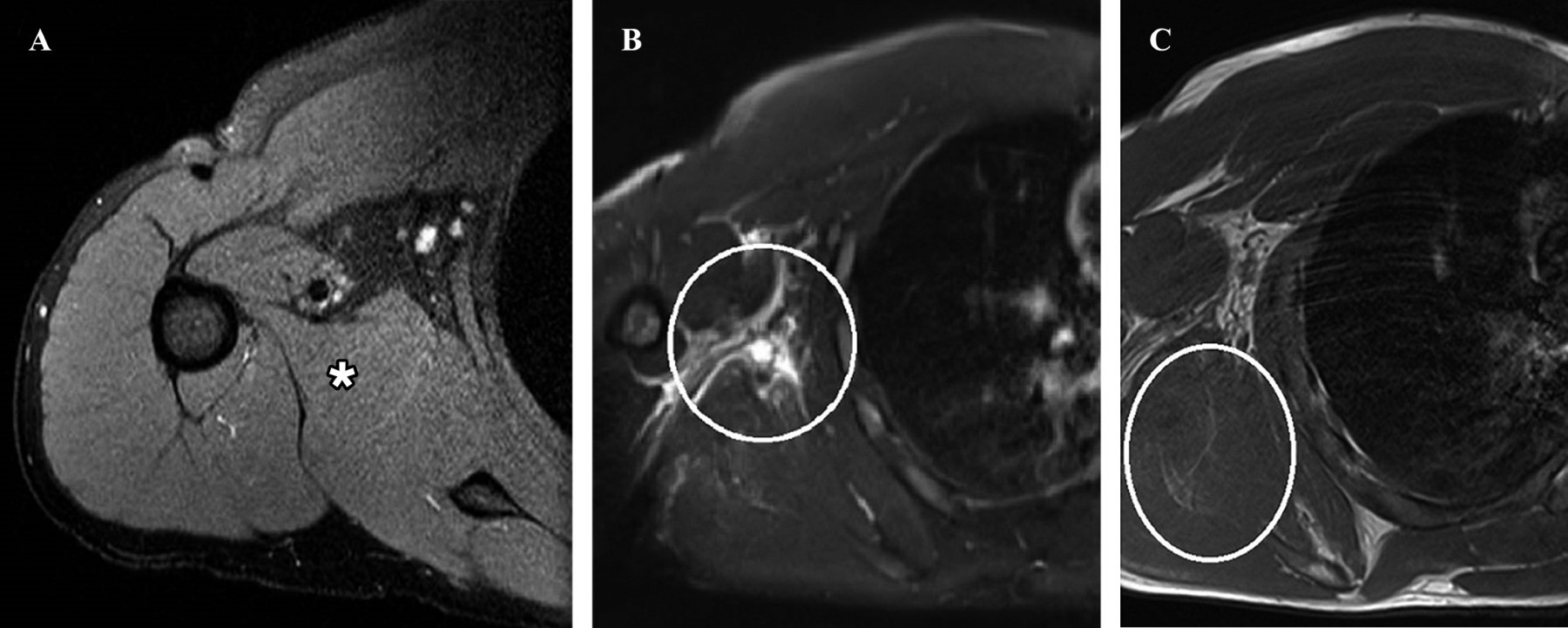
Figura 2
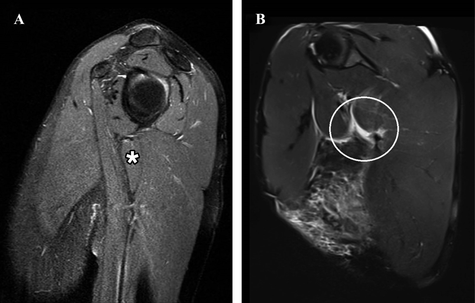
Figura 3

2020     |     www.medigraphic.com

Mi perfil

C?MO CITAR (Vancouver)

Acta Ortop Mex. 2025 Jul-Ago;39

ARTíCULOS SIMILARES

CARGANDO ...