medigraphic.com
ENGLISH

Acta Ortopédica Mexicana

ISSN 2992-8036 (Digital)
ISSN 2306-4102 (Impreso)
Órgano Oficial del Colegio Mexicano de Ortopedia y Traumatología
  • Mostrar índice
  • Números disponibles
  • Información
    • Información general        
    • Directorio
  • Publicar
    • Instrucciones para autores        
  • medigraphic.com
    • Inicio
    • Índice de revistas            
    • Registro / Acceso
  • Mi perfil

2025, Número 4

<< Anterior Siguiente >>

Acta Ortop Mex 2025; 39 (4)


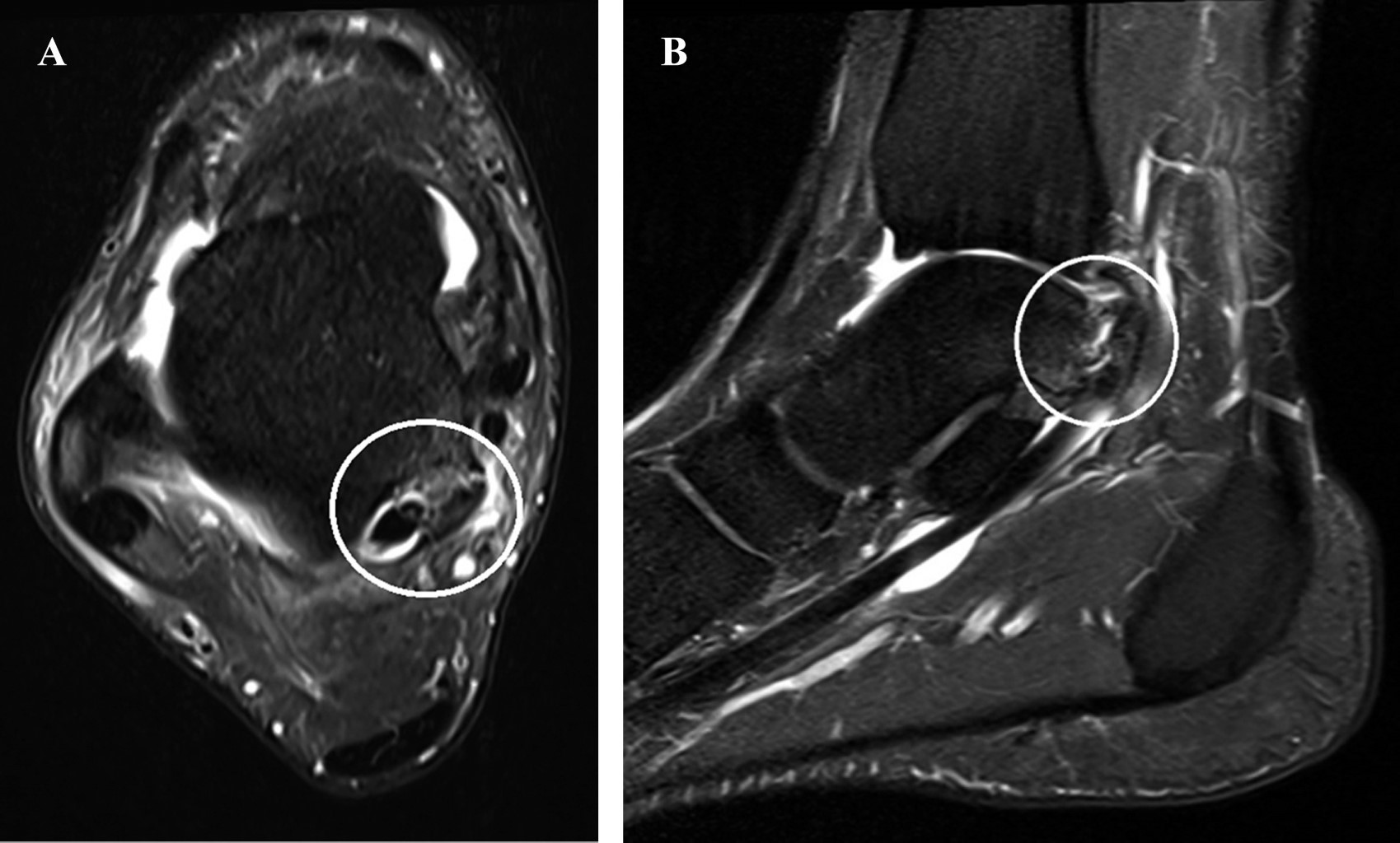
Fractura del tubérculo medial de la apófisis posterior del astrágalo en un jugador de fútbol rápido. Una fractura poco frecuente tratada con éxito de forma conservadora

Coelho-Marra D, Miura G, Kenzo-Arie E, Duarte ML
Texto completo Cómo citar este artículo 10.35366/120458

DOI

DOI: 10.35366/120458
URL: https://dx.doi.org/10.35366/120458
Artículos similares

Idioma: Ingles.
Referencias bibliográficas: 11
Paginas: 249-251
Archivo PDF: 489.42 Kb.


PALABRAS CLAVE

astrágalo, huesos tarsianos, fracturas óseas, resonancia magnética.

RESUMEN

El astrágalo es el segundo hueso más grande en la región posterior del pie y participa en las articulaciones talocrural (tobillo), subtalar y talonavicular. Las fracturas del astrágalo representan solo el uno por ciento de todas las fracturas de pies y tobillos, siendo la fractura del tubérculo medial del proceso posterior del astrágalo una lesión poco común, causada por la ruptura del ligamento talotibial posterior después de la dorsiflexión y la pronación traumática. Tales fracturas pueden no ser evidentes radiográficamente, como se describe en este caso raro de fractura del tubérculo medial del proceso posterior del astrágalo con un resultado satisfactorio sin necesidad de tratamiento quirúrgico.


REFERENCIAS (EN ESTE ARTÍCULO)

  1. Melenevsky Y, Mackey RA, Abrahams RB, Thomson NB 3rd. Talar fractures and dislocations: a radiologist's guide to timely diagnosis and classification. Radiographics. 2015; 35(3): 765-79.

  2. Srirangarajan T, Abbasian A. Chronic fracture of the posteromedial tubercle of the talus masquerading as Os Trigonum syndrome. Case Rep Orthop. 2021; 2021: 6637081.

  3. Cedell CA. Rupture of the posterior talotibial ligament with the avulsion of a bone fragment from the talus. Acta Orthop Scand. 1974; 45(3): 454-61.

  4. Watanabe H, Majima T, Takahashi K, Kawaji H, Takai S. Split fracture of the posteromedial tubercle of the talus: case report and proposed classification system. J Foot Ankle Surg. 2017; 56(1): 187-90.

  5. Park J, Che JH. Talus fracture of the medial tubercle of the posterior process: interposition of the flexor hallucis longus tendon. J Foot Ankle Surg. 2018; 57(3): 615-7.

  6. Albert P, Patel J, Katz JI, Loria F, Parnell J, Brenner M. Magnetic resonance imaging, computed tomography, and radiographic correlation of nonunion of the posteromedial tubercle of the talus: a case report. J Foot Ankle Surg. 2014; 53(6): 787-90.

  7. Gómez-Robledo J. Associated lateral process and posteromedial tubercle talus fractures with entrapment of the medial neurovascular bundle: a case report. Foot (Edinb). 2013; 23(4): 149-53.

  8. Hsu AR, Scolaro JA. Posteromedial approach for open reduction and internal fixation of talar process fractures. Foot Ankle Int. 2016; 37(4): 446-52.

  9. O'Loughlin P, Sofka CM, Kennedy JG. Fracture of the medial tubercle of the posterior process of the talus: magnetic resonance imaging appearance with clinical follow-up. HSS J. 2009; 5(2): 161-4.

  10. Kim DH, Berkowitz MJ, Pressman DN. Avulsion fractures of the medial tubercle of the posterior process of the talus. Foot Ankle Int. 2003; 24(2): 172-175.

  11. Zwiers R, de Leeuw PAJ, Wiegerinck EMA, van Dijk CN. Surgical treatment for posteromedial talar process fractures. Foot Ankle Surg. 2020; 26(8): 911-7.




Figura 1

2020     |     www.medigraphic.com

Mi perfil

C?MO CITAR (Vancouver)

Acta Ortop Mex. 2025 Jul-Ago;39

ARTíCULOS SIMILARES

CARGANDO ...