medigraphic.com
ENGLISH

Cardiovascular and Metabolic Science

ISSN 2954-3835 (Digital)
ISSN 2683-2828 (Impreso)
Antes Revista Mexicana de Cardiología

Ver Revista Mexicana de Cardiología


  • Mostrar índice
  • Números disponibles
  • Información
    • Información general        
    • Directorio
  • Publicar
    • Instrucciones para autores        
    • Envío de artículos
  • medigraphic.com
    • Inicio
    • Índice de revistas            
    • Registro / Acceso
  • Mi perfil

2025, Número 2

<< Anterior Siguiente >>

Cardiovasc Metab Sci 2025; 36 (2)


Reto diagnóstico: sarcoma mieloide cardiaco en un paciente con leucemia mieloide aguda

Fernández-Rivera AY, Vásquez-Ortiz ZY, Galindo-Uribe J
Texto completo Cómo citar este artículo 10.35366/120546

DOI

DOI: 10.35366/120546
URL: https://dx.doi.org/10.35366/120546
Artículos similares

Idioma: Inglés [English version]
Referencias bibliográficas: 10
Paginas: 113-119
Archivo PDF: 568.66 Kb.


PALABRAS CLAVE

sarcoma mieloide cardiaco, estudios de imagen, imagen cardiovascular, sarcoma granulocítico cardiaco, cloroma cardiaco.

RESUMEN

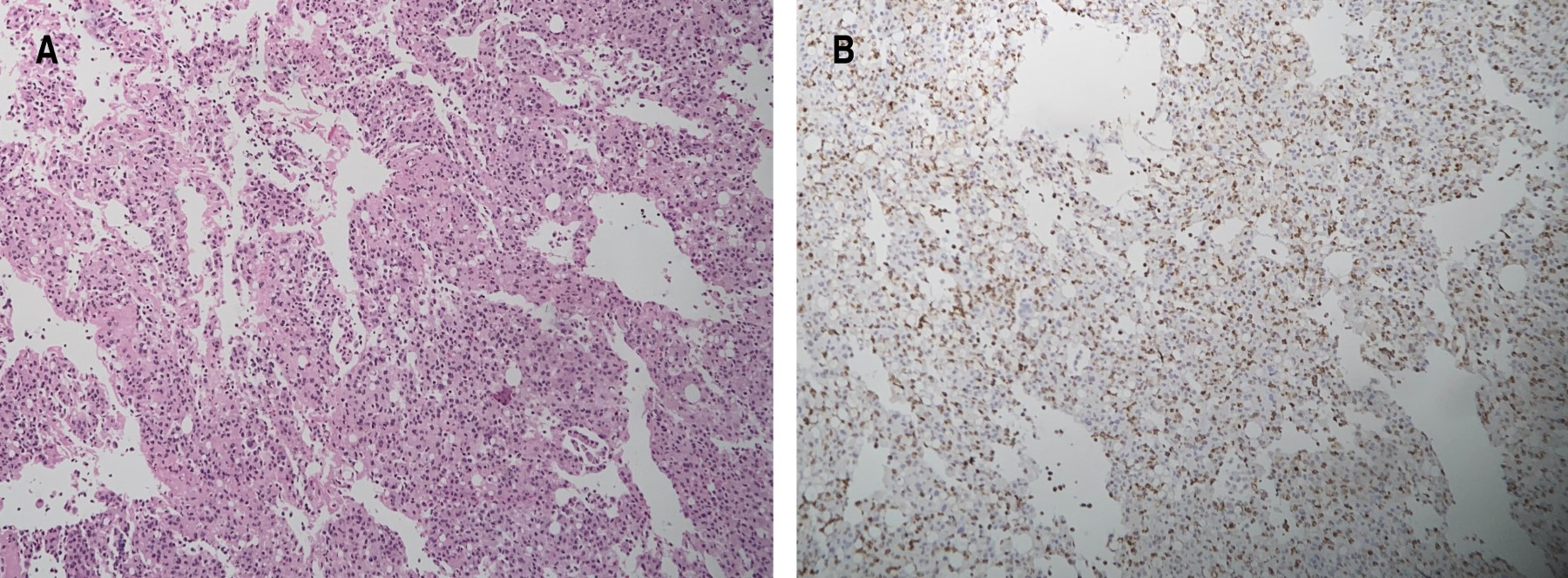
Introducción: el sarcoma mieloide, también conocido como sarcoma granulocítico o cloroma, es una neoplasia maligna resultante de la infiltración de células mieloides inmaduras en tejidos extramedulares, con una incidencia estimada de 2.5-9.1% en pacientes con leucemia mieloide aguda (LMA). El corazón es un sitio poco común de aparición (< 1%). Actualmente, no existen pautas diagnósticas ni de tratamiento firmemente establecidas para esta condición. Caso clínico: paciente femenino de 21 años con antecedente de leucemia mieloide aguda (translocación 9:11), diagnosticada a los 16 años. Tras recibir quimioterapia logró la remisión en octubre de 2019. Fue referida para seguimiento en diciembre de 2021, presentando síndrome consuntivo, palpitaciones y disnea (NYHA II). Conclusiones: este caso resalta la rareza del sarcoma mieloide cardiaco y subraya la necesidad de utilizar imagenología multimodal en el diagnóstico y seguimiento. Además, destaca la relevancia de establecer rutas asistenciales especializadas con una perspectiva cardio-onco-hematológica en México.


REFERENCIAS (EN ESTE ARTÍCULO)

  1. Gautam A. Cardiac myeloid sarcoma: review of literature. J Clin Diagn Res. 2017; 11 (3): XE01-XE04.

  2. Almond LM, Charalampakis M, Ford SJ, Gourevitch D, Desai A. Myeloid sarcoma: presentation, diagnosis, and treatment. Clin Lymphoma Myeloma Leuk. 2017; 17 (5): 263-267.

  3. Dorfel D, Hantschel M, Federmann B, Haen S, Fend F, Müller II et al. Cardiac myeloid sarcoma: multimodality radiologic imaging features and pathologic correlation. Am J Med. 2016; 129 (8): e117-e120.

  4. Kim TY, Jung JI, Kim YJ, Kim HW, Lee HG. CT and MRI evaluation of cardiac complications in patients with hematologic diseases: a pictorial review. Int J Cardiovasc Imaging. 2015; 31 (S2): 159-167.

  5. Abdelnabi MH, Almaghraby AA, Saleh Y, ElSharkawy E. Cardiac chloroma or cardiac myeloid sarcoma: case report. Echocardiography. 2019; 36 (8): 1594-1595.

  6. Isaak A, Dabir D, Kristiansen G, Luetkens JA. Cardiac myeloid sarcoma: multimodal imaging and histopathologic findings. Radiol Cardiothorac Imaging. 2021; 3 (1): e200540.

  7. Tiller C, Reindl M, Klug G, Metzler B, Reinstadler SJ. Heart failure due to cardiac myeloid sarcoma. Eur Heart J Cardiovasc Imaging. 2019; 20 (1): 107-108.

  8. Wang Y, Wu W, Zhong D, Han X, Fang L. Multimodality imaging and histopathology of cardiac myeloid sarcoma. Eur Heart J Cardiovasc Imaging. 2016; 17 (11): 1316.

  9. Cash T, Becton D, Mian A. Cardiac myeloid sarcoma. J Pediatr Hematol Oncol. 2011; 33 (7): e330-e332.

  10. Yang WC, Yao M, Chen YH, Kuo SH. Complete response of myeloid sarcoma with cardiac involvement to radiotherapy. J Thorac Dis. 2016; 8 (6): 1323-1328.




Figura 1
Figura 2
Figura 3
Figura 4
Figura 5
Figura 6
Figura 7
Figura 8
Figura 9
Tabla 1
Tabla 2
Tabla 3
Tabla 4

2020     |     www.medigraphic.com

Mi perfil

C?MO CITAR (Vancouver)

Cardiovasc Metab Sci . 2025;36

ARTíCULOS SIMILARES

CARGANDO ...