medigraphic.com
ENGLISH

Cardiovascular and Metabolic Science

ISSN 2954-3835 (Digital)
ISSN 2683-2828 (Impreso)
Antes Revista Mexicana de Cardiología

Ver Revista Mexicana de Cardiología


  • Mostrar índice
  • Números disponibles
  • Información
    • Información general        
    • Directorio
  • Publicar
    • Instrucciones para autores        
    • Envío de artículos
  • medigraphic.com
    • Inicio
    • Índice de revistas            
    • Registro / Acceso
  • Mi perfil

2025, Número 2

<< Anterior

Cardiovasc Metab Sci 2025; 36 (2)


Migración de coil de un puente de vena safena durante la intervención percutánea de una oclusión crónica vía retrógrada

Hashemi A, Karagöz A, Uçar M, Zoghi M, Ghaffari L
Texto completo Cómo citar este artículo 10.35366/120547

DOI

DOI: 10.35366/120547
URL: https://dx.doi.org/10.35366/120547
Artículos similares

Idioma: Inglés [English version]
Referencias bibliográficas: 6
Paginas: 120-124
Archivo PDF: 398.15 Kb.


PALABRAS CLAVE

coil, injerto de vena safena, oclusión total crónica.

RESUMEN

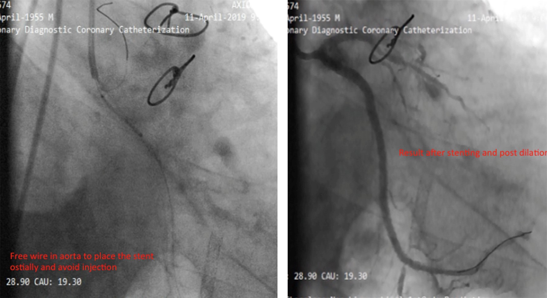
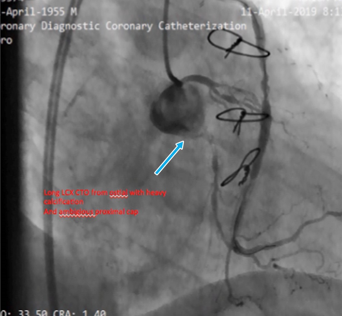
Reportamos el caso de un hombre de 78 años con antecedentes de cirugía de revascularización coronaria (CRC) e intervención coronaria percutánea (ICP) del injerto de vena safena (IVS) a la arteria marginal obtusa (MO). El paciente presentó síndrome coronario agudo y fue derivado a atención terciaria después de que la angiografía coronaria revelara reestenosis intrastent en una IVS trombótica, junto con oclusión total crónica (OTC) de la arteria circunfleja izquierda (CI). Nuestro plan inicial fue la intervención de IVS a MO debido a reestenosis del stent y trombosis. Durante el procedimiento, una rotura de balón resultó en disección y hematoma. Como intervención de rescate, se realizó stent nativo en la CI con OTC, seguido de oclusión con coil de la IVS. Surgieron complicaciones cuando el coil se desprendió y fragmentó, lo que llevó a la embolización de una partícula en la aorta descendente y la otra en la arteria femoral. Ambos fragmentos se recuperaron con éxito mediante un lazo. Este caso destaca la complejidad del manejo de las complicaciones de la ICP relacionadas con la IVS y la importancia de manipular cuidadosamente el dispositivo durante los procedimientos de colocación de la bobina.


REFERENCIAS (EN ESTE ARTÍCULO)

  1. Xenogiannis I, Gkargkoulas F, Karmpaliotis D, Krestyaninov O, Khelimskii D, Jaffer FA et al. Retrograde chronic total occlusion percutaneous coronary intervention via saphenous vein graft. JACC Cardiovasc Interv. 2020; 13 (4): 517-526. doi: 10.1016/j.jcin.2019.10.028

  2. Dautov R, Manh Nguyen C, Altisent O, Gibrat C, Rinfret S. Recanalization of chronic total occlusions in patients with previous coronary bypass surgery and consideration of retrograde access via saphenous vein grafts. Circ Cardiovasc Interv. 2016; 9 (7): e003515. doi: 10.1161/CIRCINTERVENTIONS.115.003515

  3. Rinfret S, Dautov R. When SVGs "had enough": using them as retrograde conduits to resurrect native coronary srteries. JACC Cardiovasc Interv. 2020; 13 (4): 527-529. doi: 10.1016/j.jcin.2019.11.030

  4. Kostantinis S, Simsek B, Karacsonyi J, Alaswad K, Megaly M, Jaffer FA et al. Saphenous vein graft occlusion following native vessel chronic total occlusion percutaneous coronary intervention. J Invasive Cardiol. 2022; 34 (12): E836-E840. doi: 10.25270/jic/22.00221

  5. Simpfendorfer CC, Dimas AP, Zaidi A, Hollman J, Franco I, Knezinek V et al. Balloon rupture during coronary angioplasty. Angiology. 1986; 37 (11): 828-831. doi: 10.1177/000331978603701106

  6. Wilson SJ, Hanratty CG, Spence MS, Owens CG, Rigger J, Spratt JC et al. Saphenous vein graft sacrifice following native vessel PCI is safe and associated with favourable longer-term outcomes. Cardiovasc Revasc Med. 2019; 20 (12): 1048-1052. doi: 10.1016/j.carrev.2019.01.025




Figura 1
Figura 2
Figura 3
Figura 4
Figura 5
Figura 6

2020     |     www.medigraphic.com

Mi perfil

C?MO CITAR (Vancouver)

Cardiovasc Metab Sci . 2025;36

ARTíCULOS SIMILARES

CARGANDO ...