medigraphic.com
ENGLISH

Revista Mexicana de Trasplantes

ISSN 3122-3893 (Digital)
  • Mostrar índice
  • Números disponibles
  • Información
    • Información general        
    • Directorio
  • Publicar
    • Instrucciones para autores        
    • Envío de artículos
  • Políticas
  • medigraphic.com
    • Inicio
    • Índice de revistas            
    • Registro / Acceso
  • Mi perfil

2025, Número 2

<< Anterior

Rev Mex Traspl 2025; 14 (2)


Trasplante bipulmonar secuencial sin asistencia circulatoria por neumonitis por hipersensibilidad. Primer caso exitoso en el occidente mexicano

Cortés-Julián, Gildardo1; Ferreira-Piña, Benigno1; Natera-Ramírez, Luis2; Santacruz, José Fernando3; Jiménez-Fernández, Carlos1; Sainz-Escárrega, Víctor Hugo1; Higuera-Medina, Luis Enrique1; Higuera-Medina, Carlos Daniel1; Aceves-Velázquez, Eduardo Daniel1; Everding-Rodríguez, Anna Greti1; de la Cabada-Bauche, Javier2; Contreras-Rodríguez, Juan Luis2; Briseño-Hernández, Andrés Alejandro2; Plascencia-Gaitán, Alejandra2; González-Reyes, Paulo2
Texto completo Cómo citar este artículo 10.35366/120824

DOI

DOI: 10.35366/120824
URL: https://dx.doi.org/10.35366/120824
Artículos similares

Idioma: Español
Referencias bibliográficas: 16
Paginas: 92-99
Archivo PDF: 445.69 Kb.


PALABRAS CLAVE

trasplante pulmonar, enfermedad pulmonar intersticial, neumonitis por hipersensibilidad, disfunción primaria del injerto, rechazo agudo del injerto, caso clínico.

RESUMEN

Introducción: la neumonitis por hipersensibilidad (NH) es una enfermedad pulmonar intersticial causada por la inhalación de partículas orgánicas como proteínas de aves, hongos y bacterias. Se presenta en formas agudas, subagudas y crónicas, con síntomas que incluyen disnea, tos y fiebre. El diagnóstico se basa en la identificación del alérgeno, la presencia de anticuerpos, patrones radiológicos específicos y linfocitosis en el lavado bronquioloalveolar. El tratamiento principal es evitar la exposición al antígeno y el uso de antiinflamatorios, principalmente esteroides. La NH puede evolucionar a fibrosis pulmonar, con una mortalidad del 29% a los cinco años en casos crónicos. Para estos casos, la última línea de terapia es el trasplante pulmonar. Objetivo: hacer la descripción quirúrgica del primer caso de trasplante pulmonar bilateral secuencial exitoso realizado en el occidente mexicano. Presentación del caso: paciente masculino de 22 años originario de Guadalajara, Jalisco. Presentó pérdida de la clase funcional por padecimiento actual, hasta alcanzar dependencia de oxígeno en reposo. A los 20 años se le diagnosticó NH con biopsia pulmonar toracoscópica. Recibió tratamiento con ciclosporina, nintedanib, rituximab y prednisona a dosis altas; no obstante, presentó progresión de la enfermedad. Por ello se ingresó a programa de rehabilitación cardiopulmonar intensivo y control nutricional para someterse a trasplante pulmonar bilateral. Al presentarse un donante pulmonar ideal con muerte encefálica de 19 años, se realizó el trasplante. No se presentaron complicaciones transoperatorias mayores, en el postquirúrgico inmediato presentó disfunción primaria del injerto grado I, la cual se resolvió con soporte ventilatorio breve, al día 25 postquirúrgico presentó rechazo agudo grado B1, el cual se manejó con bolos de esteroides. Finalmente, el paciente se egresó del hospital en buenas condiciones al día 28 postquirúrgico. Conclusiones: el trasplante bipulmonar secuencial sin asistencia es una alternativa de tratamiento para la NH; este es el primer caso registrado en el Sistema de Registro Nacional de Trasplantes en el Centro y Occidente de México.



ABREVIATURAS:

  • DPI = disfunción primaria del injerto
  • ECMO = ExtraCorporeal Membrane Oxygenation
  • FPI = fibrosis pulmonar idiopática
  • NH = neumonitis por hipersensibilidad



INTRODUCCIóN

La neumonitis por hipersensibilidad (NH) es una enfermedad pulmonar caracterizada por una respuesta inflamatoria difusa en el parénquima pulmonar debido a la exposición a partículas orgánicas, como proteínas de aves, hongos y ciertos productos químicos. Las formas agudas y subagudas son más frecuentes, pero la exposición prolongada a antígenos de baja intensidad puede llevar a la cronicidad. El diagnóstico se establece mediante la identificación del alérgeno, síntomas como disnea y estertores crepitantes, pruebas funcionales, imágenes radiológicas y el lavado bronquioloalveolar, que muestra linfocitosis. Un diagnóstico temprano es crucial, ya que puede alterar el pronóstico y tratamiento, mejorando la respuesta clínica.1

En cuanto a la prevalencia, la NH varía considerablemente según el país, influenciada por factores como el clima, costumbres y estaciones del año. Aunque la incidencia es baja en la población general, entre el 5-10% de las personas expuestas a niveles altos de antígenos desarrollan la enfermedad. La clínica incluye síntomas como tos, fiebre y dificultad respiratoria, dependiendo de la intensidad y duración de la exposición al alérgeno. La forma aguda se resuelve rápidamente al retirar al paciente del antígeno, mientras que la crónica puede llevar a fibrosis pulmonar con alta mortalidad que es hasta del 29%.1

El tratamiento se basa en la eliminación de la exposición al alérgeno y el control inflamatorio mediante esteroides sistémicos. En casos graves o crónicos, los esteroides se usan de manera prolongada y con inmunosupresores como la azatioprina en caso de que no haya respuesta a los esteroides. La tomografía de alta resolución es fundamental para el diagnóstico, permitiendo detectar cambios sutiles en el parénquima pulmonar. Además, se recomienda el uso de broncodilatadores y oxígeno suplementario en casos de obstrucción bronquiolar o hipoxemia. La respuesta al tratamiento es favorable en etapas tempranas, pero el pronóstico empeora en la fase crónica con fibrosis irreversible.1

El trasplante pulmonar es la última línea de tratamiento para esta enfermedad. El pronóstico de los pacientes trasplantados por esta indicación es mejor que en los pacientes trasplantados por fibrosis pulmonar idiopática (FPI). En un estudio comparativo de 31 casos de NH y 91 de FPI entre 2000 y 2013 en la Universidad de California, San Francisco, se vio que la supervivencia a uno, tres y cinco años para NH fue del 96, 89 y 89%, respectivamente, en comparación con el 86, 67 y 49% para FPI. Los pacientes con NH presentaron un riesgo ajustado de muerte significativamente menor que los pacientes con FPI, con una razón de riesgo de 0.25.2

El diagnóstico de NH a menudo se realiza sólo después de la revisión de la patología del explante, y en algunos casos, la NH puede recurrir en el injerto pulmonar. De los 31 casos, el diagnóstico de NH se realizó inesperadamente en cinco casos (16%) sólo después de la revisión del explante. Dos sujetos desarrollaron NH recurrente en sus injertos, lo que se asoció con la exposición continua a antígenos ambientales. Esto subraya la importancia de evitar estos antígenos después del trasplante para prevenir la recurrencia de la enfermedad.2

Los pacientes con NH también mostraron una menor incidencia de rechazo agudo que requirió tratamiento en el primer año después del trasplante en comparación con los pacientes con FPI (10 vs 31%). Sin embargo, no hubo diferencia estadísticamente significativa en la libertad de síndrome de bronquiolitis obliterante entre los dos grupos. La tasa de libertad de síndrome de bronquiolitis obliterante a uno, tres y cinco años fue del 89, 84 y 84% para NH, respectivamente, en comparación con el 86, 66 y 55% para FPI.2



PRESENTACIóN DEL CASO

Se trata de paciente masculino de 22 años, originario de Guadalajara, Jalisco. Comenzó su padecimiento en marzo del 2021, con disnea leve y desaturación (SaO2: 72%), manejado inicialmente como resfriado común. Se le solicitó tomografía de tórax en la cual se evidenció parénquima pulmonar con patrón de vidrio despulido peribronquial, formando consolidación principalmente a nivel de bronquio inferior derecho, además de engrosamiento peribronquial hasta ramas subsegmentarias. Se descartó proceso infeccioso agudo, incluyendo COVID-19. Se manejó con oxígeno suplementario y terapia pulmonar. El paciente mejoró retomando sus actividades diarias.

Cuatro meses después, presentó episodio similar manejado con prednisona presentando recuperación parcial. Dos meses posteriores a este último episodio, nuevamente regresó a hospital por insuficiencia respiratoria, en esta ocasión acompañada de hemoptisis. Durante este episodio se documentó poliglobulia, por lo anterior se complementó abordaje con perfil reumatológico, el cual fue negativo, y ante el deterioro de las pruebas de función respiratoria se realizó biopsia pulmonar toracoscópica, el diagnóstico histopatológico fue de neumonitis por hipersensibilidad no fibrótica, por lo que se inició manejo con prednisona más micofenolato de mofetilo más rituximab y nintedanib. El perfil para neumonitis por hipersensibilidad resultó negativo para anticuerpos vs T. candidus, T. vulgaris, Aspergillus, Micropolyspora F, Pigeon serum y S. viridis.

En agosto de 2024, presentó neumonía por COVID-19, se dio manejo con ritonavir/nirmatrelvir y oxígeno suplementario con puntas de alto flujo. La disnea progresó a MRC-4, se identificaron estertores tipo velcro a la auscultación, las pruebas de función respiratoria empeoraron, las presiones de arteria pulmonar estimadas por ecocardiografía aumentaron y aparecieron zonas de panal de abeja de predominio basal en la tomografía a pesar del incremento de las dosis de inmunosupresor, por lo que el paciente fue formalmente referido a nuestro equipo de trasplante pulmonar en octubre del 2024.

Nuestro programa de trasplante adoptó un protocolo de estudio para pacientes candidatos a trasplante que es resultado de unificar las experiencias de sus integrantes por el Hospital General de Toronto, el Hospital Metodista de Houston y el Centro Cardiaco de Leipzig. En sesión multidisciplinaria y con contraindicación relativa IMC ≥ 35, se decidió que el paciente ingresara a la lista de espera nacional para trasplante bipulmonar. Se inició terapia de rehabilitación y seguimiento nutricional estricto.



PROCURACIÓN MULTIORGÁNICA

Veinticuatro horas previas al trasplante se recibió la oferta de un donante con muerte encefálica de 19 años, sexo masculino, con antecedente de traumatismo craneal grave, talla 171 cm, menos de 48 horas de ventilación mecánica invasiva, sin evidencia de broncoaspiración, sin secreciones purulentas en broncoscopia, radiografía sin infiltrados o derrame pleural, grupo O positivo, con prueba cruzada por citotoxicidad negativa, localizado dentro del mismo hospital del receptor.

Previo protocolo de donación multiorgánica, con consentimiento de disponentes secundarios, así como con dignificación del donante, se ingresó a quirófano. Bajo monitoreo estándar de acuerdo al nivel de complejidad del procedimiento,3 además de ventilación mecánica estándar con un volumen minuto de 8 mL/kg/min, PEEP 5, FiO2: 40%, hicimos una laparoesternotomía en línea media, con hemostasia meticulosa. Se procedió a abrir cavidades pleurales y a realizar inspección de parénquima sin evidenciar lesiones, mostrando buena elasticidad de ambos pulmones, posteriormente se abrió pericardio en forma de T invertida, se disecaron y rodearon con cintillas de teflón, vena cava superior, vena cava inferior y raíz de aorta. Se realizó jareta de polipropileno 2-0 vascular a raíz de arteria pulmonar en punto medio entre válvula pulmonar y bifurcación. Una vez que el equipo de cirugía abdominal se encontraba listo, se infundieron 4,000 UI de heparina intravenosa, se procedió a cortar con bisturí 11 arteria pulmonar e introducir cánula percutánea arterial 22 Fr, misma que se aseguró con torniquete Rumel. Posteriormente, se inyectaron 500 μg de prostaglandina E1 a raíz de arteria pulmonar, esperamos 20 latidos y al bajar la presión arterial se procedió a pinzar raíz de aorta, se exanguinó al abrir vena cava inferior negociando sitio de corte con equipo de procuración abdominal, se cortó 2 cm de orejuela izquierda para venteo de circulación pulmonar y se cerró vena cava superior se aplicó hielo tópico y se procedió a conectar cánula pulmonar a circuito cebado con 4 litros de PerFadex Plus® (XVIVO-Suiza) y 400 μg de prostaglandina E1. A una altura de 30 cm sobre el nivel del corazón (Figura 1) se procedió a infundir con un tiempo total de 34 minutos, se explantó el corazón en dirección caudocefálica, dejando un generoso anillo de aurícula izquierda por encima de venas pulmonares, al terminar se procedió a infundir un litro de PerFadex con 100 μg de PGE1 a un circuito que terminaba en una sonda Foley dividido entre las cuatro venas pulmonares para perfusión retrógrada (Figura 1). Finalmente, se separó bloque pulmonar desde caudal a cefálico, empezando por el pericardio, ligamentos pulmonares y tejido mediastinal periesofágico. Todo el procedimiento previo sin suspender ventilación, se solicitó una Valsalva al anestesiólogo y se cortó tráquea entre dos líneas de engrapadora TA grapas de 4.8 mm. Se envolvió el bloque bipulmonar en tres bolsas, la primera con PerFadex frío, la segunda con hielo y la tercera vacía. Se transportó a sala de implante con un tiempo total de procuración de 1 hora 20 minutos.



CIRUGÍA DE BANCO

En una vasija de capacidad suficiente se extrajo el bloque bipulmonar que siempre estuvo en contacto con PerFadex de 4 a 10 °C, se dividió en línea media aurícula, arteria pulmonar y el bronquio izquierdo con engrapadora pegada a la carina, se confeccionaron los muñones vasculares, tratando de no retirar excesivo tejido ganglionar. Debido al mayor tamaño del donante con respecto al receptor se realizó escisión de tres segmentos pulmonares del lóbulo inferior con engrapadora endocavitaria, cartuchos de 60 mm con grapas de 3.8 mm en ambos pulmones (Figura 1). Se regresó el pulmón izquierdo a la hielera para posterior implante.



NEUMONECTOMÍA E IMPLANTE

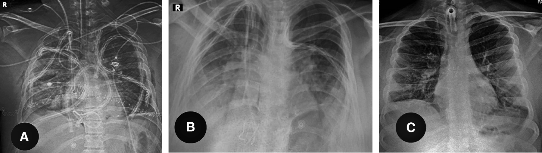
Bajo consentimiento informado y aprobación por los comités de ética y trasplante hospitalarios, con paciente en posición de supino modificada por un bulto transversal torácico, anestesia general, intubación selectiva y monitoreo anestésico para procedimiento cardiovascular mayor, 3 además de Swan-Ganz, ecocardiograma transesofágico, neuromonitoreo y línea arterial, se colocaron introductores arteriales y venosos femorales derechos, se realizó incisión de Clamshell y se procedió a disección del hilio pulmonar, se administraron 5,000 UI de heparina y 500 mg de metilprednisolona, se realizó prueba de pinzado de arteria pulmonar con pinza Satinsky por cinco minutos, sin evidenciar incremento de la presión de arteria pulmonar, inestabilidad hemodinámica o ventilatoria, se colocó una rienda de poliéster del 5 al domo del diafragma para tracción por contraabertura. En la neumonectomía derecha, se cortó arteria, vena y bronquios con cartuchos de 45 mm de engrapadora endocavitaria con grapas de 2.5 mm a vasos y 3.8 a bronquios. Se confeccionó muñón bronquial de receptor preservando tejido peribronquial y cauterizando lo menos posible el borde libre. Se procedió a introducir injerto inflado para verificar que el exceso de tamaño no fuera muy importante, se improvisó una chaqueta enfriadora con una compresa empapada de solución salina fría y se procedió a anastomosis bronquial con poliglactina 910 recubierta 4-0 CT1 en surgete a porción membranosa y puntos separados en cara anterior, reforzando con tejido ganglionar la línea de sutura, se verificó integridad y simetría de la misma con broncoscopia, posteriormente se anastomosó arteria pulmonar con polipropileno vascular 5-0 aguja RB-1 en surgete continuo con técnica de paracaídas, se purgó aire antes del cierre; finalmente aurícula con surgete continuo igualmente con polipropileno vascular 4-0 aguja RB1, reperfusión controlada con 25 hasta 50% de flujo por tres minutos, se purgó el aire por anastomosis auricular y se verificó permeabilidad sin turbulencia con ecocardiografía transoperatoria. Se realizó hemostasia meticulosa y se colocaron dos sondas pleurales de silicona 24FR conectadas a sello de agua y succión -20 cc. Posteriormente, se procedió a neumonectomía e implante izquierdo en la misma secuencia (Figura 2). En este lado al revisar la anastomosis bronquial se observó asimetría con protrusión de tejido en la luz, por lo que se rehízo la anastomosis con puntos separados del mismo material observando adecuada simetría y permeabilidad, la reperfusión se efectuó en la misma forma, se colocaron dos drenajes pleurales, se retiraron suturas de tracción a diafragma bilaterales. Se procedió a cierre de incisión, se cambió tubo selectivo por uno convencional y se inició la ventilación mecánica de protección. Se trasladó paciente a unidad de cuidados intensivos con soporte vasopresor mínimo, sedación y parámetros de ventilación de protección (Figura 3).



EVOLUCIÓN

Se extubó a las 48 horas postquirúrgicas. Luego, a las 48 horas, presentó disnea progresiva (Figura 3), disociación toracoabdominal y aumento del requerimiento de oxígeno por cánula de alto flujo, así como opacidad pulmonar bilateral, se reintubó y ventiló al paciente con parámetros de protección. En el abordaje se evidenció las venas pulmonares permeables, las presiones venosas centrales por debajo de 8 cmH2O y sin evidencia de infección. Se estableció diagnóstico y manejo para disfunción primaria del injerto (DPI) grado 2, con soporte ventilatorio y umbral bajo para ExtraCorporeal Membrane Oxygenation (ECMO) de ser necesario. Durante las primeras 48 horas presentó mejoría, por lo que se realizó traqueostomía percutánea y se retiró sedación. El día 23 postrasplante presentó desaturación progresiva con retroceso en la capacidad funcional, en la radiografía aparecieron infiltrados alveolares bilaterales. En el abordaje no se documentó problemas de estenosis de venas pulmonares, sobrecarga hídrica o infecciones, por lo que se realizó broncoscopia con biopsias transbronquiales, las cuales evidenciaron rechazo agudo B1 (Figura 2). El mismo se manejó con bolos de metilprednisolona, presentando mejoría clínica (Figura 3).

Durante los días 10 a 28 postrasplante, se retiró la ventilación mecánica a través de la cánula de traqueostomía, se dio manejo intensivo rehabilitatorio (Figura 1) hasta la marcha independiente sin oxígeno en escaleras. Se evidenció parálisis cordal izquierda, por lo cual se agregó gastrostomía con avance yeyunal al manejo. Asimismo, se evidenció neuropatía periférica mixta de pierna y pie izquierdo, lo que requirió manejo invasivo del dolor. Al día 28 se egresó en buenas condiciones generales a domicilio.



DISCUSIóN

Respecto a la indicación del trasplante, la experiencia con esta patología en escasa y los reportes de la literatura también. La serie más grande que incluye 114 pacientes de nueve centros en Europa y Norteamérica, concluye mejor supervivencia a largo plazo.4 Sin embargo, encontramos resistencia para la referencia temprana del paciente en nuestro medio. En los reportes nacionales no se contempló esta opción y se reporta mortalidad de hasta 29%.5,6

Un factor importante en el éxito de este caso fue ofrecer el trasplante de pulmón justo en el momento adecuado. En la gráfica anexa se observa claramente que se tomó la decisión de trasplantar en el momento del declive de la función cardiopulmonar (Figura 4). En nuestro medio, el trasplante pulmonar es incipiente. El reporte del año 2023, del Centro Nacional de Trasplantes (CENATRA), no incluye históricos de trasplante pulmonar por ser casos aislados.7 No obstante, la tendencia mundial es a ofertar el trasplante pulmonar cuando el paciente no se ha deteriorado hasta convertirse en paciente en estado crítico.8

En relación al procedimiento quirúrgico realizamos una reducción de volumen debido a que el pulmón del donante superaba en un 20% el tamaño del receptor. En la literatura la discordancia donadora-receptor "oversize" se asocia a un aumento en DPI grado 3 y mortalidad.9,10 Sin embargo, se ha descrito la resección pulmonar en cuña o trasplante lobar como medida para prevenir el síndrome de tórax hipertenso con resultados a favor11-13 y en contra.10

Respecto a la DPI que se presentó a las 48 horas, encontramos como factor de riesgo la obesidad en el receptor.14 No obstante, en la literatura se encuentra que este síndrome clínico que se presenta en las primeras 72 horas del trasplante es multifactorial. Hasta el 25% de los trasplantes lo presenta y es la principal causa de mortalidad temprana y de disfunción crónica del injerto pulmonar.15

De igual forma, el rechazo agudo celular que ocurrió antes de cumplir el primer mes de trasplantado se presenta con una frecuencia de hasta 55%, por los hallazgos de laboratorio e histopatológicos se clasificó como un rechazo celular.16 Para este tipo de rechazo, en particular, los receptores jóvenes son más susceptibles. La frecuencia del rechazo agudo es tan elevada que muchos grupos justifican la búsqueda activa con broncoscopias y biopsias programadas durante el primer año.



CONCLUSIONES

El trasplante de pulmón es una opción importante para los pacientes con NH avanzada y crónica, pero identificar correctamente a estos candidatos no es sencillo. La NH puede recurrir en el injerto y afectar negativamente los resultados clínicos, por lo que es esencial vigilar la exposición continua a antígenos y la recurrencia de la enfermedad después del trasplante. La supervivencia general después del trasplante en pacientes con NH es buena y parece ser mejor en comparación con los pacientes con FPI, lo que sugiere que los pacientes con NH pueden tener una ventaja inmunológica en el éxito del injerto postrasplante.

El trasplante bipulmonar secuencial sin asistencia es una alternativa de tratamiento para la NH; hasta donde tenemos conocimiento, este es el primer caso registrado en el Sistema de Registro Nacional de Trasplantes en el Centro y Occidente de México.


REFERENCIAS (EN ESTE ARTÍCULO)

  1. Mejía ME, de Suárez TJ, Arreola A, Alonso D, Estrada A, Zamora AC et al. Neumonitis por hipersensibilidad. Neumol Cir Torax. 2007; 66 (3): 115-123. Disponible en: www.medigraphic.com

  2. Kern RM, Singer JP, Koth L, Mooney J, Golden J, Hays S et al. Lung transplantation for hypersensitivity pneumonitis. Chest. 2015; 147 (6): 1558-1565.

  3. Dobson G, Chau A, Denomme J, Frost S, Fuda G, Mc Donnell C et al. Guidelines to the practice of anesthesia-revised edition 2024. Can J Anaesth. 2024; 71 (1): 8-54.

  4. Nosotti M, Leiva-Juarez M, D'Ovidio F, Van Raemdonck D, Ceulemans L, Keshavjee S et al. Survival after lung transplantation for chronic hypersensitivity pneumonitis: results from a large international cohort study. Transpl Int. 2022; 35: 10450.

  5. Pérez-Padilla R, Salas J, Chapela R, Sánchez M, Carrillo G, Pérez R et al. Mortality in mexican patients with chronic pigeon breeder's lung compared with those with usual interstitial pneumonia. Am Rev Respir Dis. 1993; 148 (1): 49-53.

  6. Gaxiola M, Buendía-Roldán I, Mejía M, Carrillo G, Estrada A, Navarro MC et al. Morphologic diversity of chronic pigeon breeder's disease: clinical features and survival. Respir Med. 2011; 105 (4): 608-614.

  7. Estadisticas | Centro Nacional de Trasplantes | Gobierno | gob.mx [Internet]. [Citado 2025 enero 14]. Disponible en: https://www.gob.mx/cenatra/documentos/estadisticas-50060

  8. Mannem H, Aversa M, Keller T, Kapnadak SG. The lung transplant candidate, indications, timing, and selection criteria. Clin Chest Med. 2023; 44 (1): 15-33.

  9. Ganapathi AM, Mulvihill MS, Englum BR, Speicher PJ, Gulack BC, Osho AA et al. Transplant size mismatch in restrictive lung disease. Transpl Int. 2017; 30 (4): 378-387.

  10. Eberlein M, Reed RM, Bolukbas S, Parekh KR, Arnaoutakis GJ, Orens JB et al. Lung size mismatch and survival after single and bilateral lung transplantation. Ann Thorac Surg. 2013; 96 (2): 457-463. Available in: https://pubmed.ncbi.nlm.nih.gov/23809729/

  11. Santos F, Lama R, Alvarez A, Algar FJ, Quero F, Cerezo F et al. Pulmonary tailoring and lobar transplantation to overcome size disparities in lung transplantation. Transplant Proc. 2005; 37 (3): 1526-1529.

  12. Campo-Canaveral De La Cruz JL, Dunne B, Lemaitre P, Rackauskas M, Pozniak J, Watanabe Y et al. Deceased-donor lobar lung transplant: a successful strategy for small-sized recipients. J Thorac Cardiovasc Surg. 2021; 161 (5): 1674-1685. Available in: https://pubmed.ncbi.nlm.nih.gov/32723591/

  13. Lang G, Klepetko W. Commentary: lobar lung transplantation: trick or treat-(ment). J Thorac Cardiovasc Surg. 2021; 161 (5): 1687-1688. Available in: https://pubmed.ncbi.nlm.nih.gov/32532506/

  14. Jenkins JA, Verdiner R, Omar A, Farina JM, Wilson R, D'Cunha J et al. Donor and recipient risk factors for the development of primary graft dysfunction following lung transplantation. Front Immunol. 2024; 15: 1341675. Available in: https://pubmed.ncbi.nlm.nih.gov/38380332/

  15. Lee JC, Christie JD. Primary graft dysfunction. Clin Chest Med. 2011; 32 (2): 279-293. Available in: https://pubmed.ncbi.nlm.nih.gov/21511090/

  16. Hanks J, Girard C, Sehgal S. Acute rejection post lung transplant. Curr Opin Pulm Med. 2024; 30 (4): 391-397. Available in: https://pubmed.ncbi.nlm.nih.gov/38656281/



AFILIACIONES

1 Instituto Cardiovascular de Mínima Invasión. Guadalajara, México.

2 Hospital Puerta de Hierro Andares. Guadalajara, México.

3 Broncoscopia y Neumología Intervencionista. Houston Methodist. Texas Medical Center. Houston, Texas, USA.



CORRESPONDENCIA

Dr. Gildardo Cortés-Julián. E-mail: gildardounam@hotmail.com




Recibido: 18-Ene-2025. Aceptado: 06-Abr-2025

Figura 1
Figura 2
Figura 3
Figura 4

2020     |     www.medigraphic.com

Mi perfil

C?MO CITAR (Vancouver)

Rev Mex Traspl. 2025;14

ARTíCULOS SIMILARES

CARGANDO ...