medigraphic.com
ENGLISH

Revista Mexicana de Trasplantes

ISSN 3122-3893 (Digital)
  • Mostrar índice
  • Números disponibles
  • Información
    • Información general        
    • Directorio
  • Publicar
    • Instrucciones para autores        
    • Envío de artículos
  • Políticas
  • medigraphic.com
    • Inicio
    • Índice de revistas            
    • Registro / Acceso
  • Mi perfil

2025, Número 2

<< Anterior Siguiente >>

Rev Mex Traspl 2025; 14 (2)


Pielonefritis enfisematosa y orquiepididimitis por Mycobacterium tuberculosis en receptor de trasplante renal

Gutiérrez-Hernández, José de Jesús1,3; Covarrubias-Castellón, Carolina1,4; Parra-Michel, Renato1,5; Soto-Vargas, Javier1,6; Fuentes-Ramírez, Francisco1,7; Cortés-Montenegro, Karen Ivette2,8; Martínez-Ortiz, Sergio Ernesto2,9; Bonifacio-Espinoza, Hugo1,10; Romero-Tafoya, Juan Oziel1,11; Juárez-Flores, David Antonio1,12; Gallardo-Rodríguez, María Elena1,13; Rosales-Torres, Brenda Guadalupe1,14; Ramos-Mares, Cristian Josué1,15; Reyes-Martínez, Diana María1,16; de Niz-Hernández, Paulina1,17; Barbarin-Sosa, José Antonio1,18; Villanueva-Macedo, Roxana1,19; Morales-Guillen, Mónica Lizbeth1,20; Montemayor-Villacobos, Mauro Gerardo1,21; Ríos-Ríos, Fabiola Vanessa1,22
Texto completo Cómo citar este artículo 10.35366/120823

DOI

DOI: 10.35366/120823
URL: https://dx.doi.org/10.35366/120823
Artículos similares

Idioma: Español
Referencias bibliográficas: 14
Paginas: 88-91
Archivo PDF: 307.07 Kb.


PALABRAS CLAVE

pielonefritis enfisematosa, mycobacterium tuberculosis, trasplante renal.

RESUMEN

Se presenta el caso de paciente con pielonefritis secundaria a Mycobacterium tuberculosis, receptor de trasplante renal al cual se le da tratamiento conservador en forma exitosa con recuperación posterior del injerto.



INTRODUCCIóN

La tuberculosis es la principal causa de muerte por infecciones a nivel mundial. Entre 5 y 45% de los casos de tuberculosis presentan manifestaciones extrapulmonares, y de estos, entre 30 y 40% afectan el tracto urogenital.1 Un metaanálisis reciente que incluyó 60 estudios, analizó la prevalencia de tuberculosis activa en receptores de trasplantes de órganos sólidos, mostrando una prevalencia combinada del 3% (intervalo de confianza [IC] del 95%: 2-3).2

Hablando específicamente de la población receptora de un riñón, la incidencia de tuberculosis en ella es de 20 a 74 veces mayor que la población general, con tasa de prevalencia variable, según reportes, de 0.5 hasta 15%. En México, la prevalencia de tuberculosis en trasplantados renales es de 1.8% de acuerdo con el único estudio publicado al respecto.3 La relevancia de esta enfermedad radica en que su diagnóstico suele ser tardío, lo que puede desencadenar complicaciones como estenosis uretral o ureteral, falla del injerto renal, enfermedad renal crónica, infertilidad, entre otras.1 La inflamación granulomatosa y la progresión de la enfermedad pueden llevar a nefritis tubulointersticial crónica, necrosis papilar, úlceras, fibrosis con extensa destrucción caseosa del parénquima renal y formación de lóbulos, cálices dilatados y cavidades.4,5

En este artículo, presentamos el caso de una pielonefritis enfisematosa causada por Mycobacterium tuberculosis (M. tuberculosis) en un paciente receptor de trasplante renal, tratado de forma conservadora, con recuperación posterior de la función del injerto.



PRESENTACIóN DEL CASO

Se trata de varón de 27 años con antecedente de enfermedad renal crónica diagnosticada a los 14 años, de etiología indeterminada. Recibió hemodiálisis intermitente durante dos años y seis meses antes de recibir trasplante renal a los 16 años, siendo su hermana, de 27 años, la donadora. A los 12 meses postrasplante, presentó rechazo limítrofe y fue tratado con bolos de corticoide intravenoso.

En julio de 2022, inició con disuria, polaquiuria, tenesmo vesical, escalofríos y fiebre. Se diagnosticó infección de vías urinarias y se trató con nitrofurantoína durante siete días. Ante la falta de mejoría, se cambió a cefalosporina de tercera generación; sin embargo, evolucionó con hipotensión y disfunción aguda del injerto, requiriendo hospitalización.

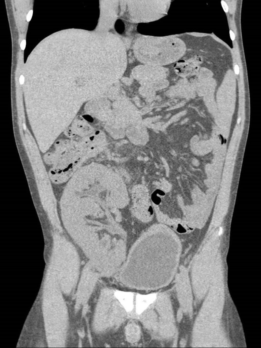
Durante su estancia, presentó orquiepididimitis aguda izquierda, confirmada por ultrasonido Doppler testicular (Figura 1). Se inició terapia con carbapenémico y fluoroquinolona sin éxito. Una tomografía abdominal mostró pielonefritis aguda del injerto renal, clasificada como grado 2 según Huang-Tseng (Figura 2).6 A pesar de la indicación inicial de trasplantectomía, se optó por tratamiento con piperacilina-tazobactam, logrando mejoría clínica y posteriormente el alta.

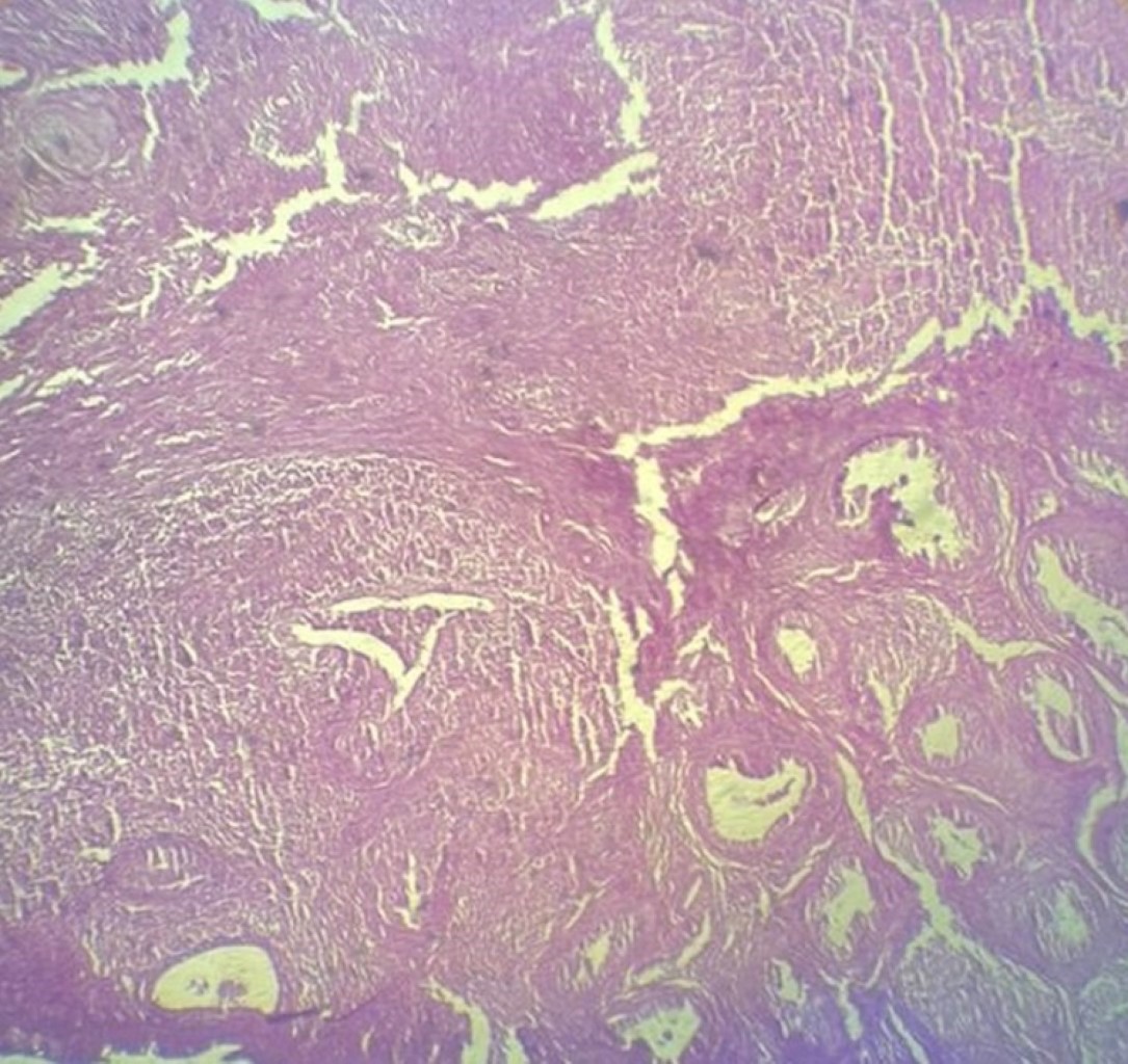
Dos semanas después, persistió con fiebre, diaforesis nocturna y dolor testicular. Ante la ausencia de microorganismos en cultivos y la presencia de piuria estéril, se consultó a urología, quienes realizaron una orquiectomía radical izquierda. Se identificó un absceso epididimal con secreción verdosa no fétida. La histopatología concluyó epididimitis crónica caracterizada por reacción granulomatosa con necrosis caseosa, localizada en la cola de epidídimo y el conducto deferente (Figura 3). Se confirmó la presencia de M. tuberculosis tinción de Ziehl-Neelsen y prueba de biología molecular para M. tuberculosis (Xpert® MTB/RIF) en orina. Se inició tratamiento antituberculoso, logrando mejoría en 72 horas y posteriormente el alta.

El paciente completó un año de tratamiento con isoniazida, rifampicina, pirazinamida, etambutol y complejo B, supervisado por infectología. Los últimos exámenes mostraron creatinina sérica de 1.61, orina y hemograma normales, y urocultivo sin M. tuberculosis. Continuará en seguimiento por nefrología y urología.



DISCUSIóN

La pielonefritis enfisematosa, descrita en 1898,7 es una infección necrosante causada por microorganismos formadores de gas que afectan al sistema colector, parénquima renal y tejido extrarrenal.8 Escherichia coli es el agente causal más común, seguido de Klebsiella, Aerobacter y otros bacilos gramnegativos.7

La tuberculosis genitourinaria, aunque poco común, representa el 8-15% de los casos de tuberculosis extrapulmonar.9 De acuerdo con Sasi y colaboradores,10 la tuberculosis postrasplante se manifiesta en un 50% de forma pulmonar, 30% diseminada, 5% ganglionar, 4% genitourinaria y en menor medida en intestino, sistema nervioso central y huesos. En nuestra región, Parra-Michel y colegas,11 reportaron una prevalencia de tuberculosis del 1.4% en receptores de trasplante renal, siendo la extrapulmonar la más común.

La infección por tuberculosis suele ser una reactivación debido a la inmunosupresión. Los bacilos pueden permanecer latentes en el tracto urogenital y reactivarse ante la inmunosupresión, especialmente en pacientes trasplantados.10 Sorohan y su equipo12 encontraron que la tuberculosis activa suele manifestarse en el primer año postrasplante, con una media de 11.5 meses. Sin embargo, nuestro caso es atípico, presentando tuberculosis extrapulmonar 11 años después del trasplante.

Existen varios factores de riesgo para la tuberculosis, incluyendo características tanto del receptor como del donante, aspectos relacionados con el trasplante y factores endémicos.12 Nuestro paciente presentó varios de estos factores, incluyendo hemodiálisis previa, sexo masculino, rechazo previo y uso de inmunosupresores.

La tuberculosis urogenital, especialmente con afectación escrotal y epididimaria, es poco documentada. Muneer y colaboradores13 reportaron que suele manifestarse de forma unilateral en un 66% con síntomas inespecíficos. El diagnóstico se basa en el cultivo de M. tuberculosis o identificación de ADN, apoyado por estudios de imagen.13,14 Sin embargo, la detección en orina es infrecuente9 y a menudo se requieren estudios invasivos para confirmar el diagnóstico.

No hay consenso sobre el tratamiento óptimo de la pielonefritis enfisematosa en trasplantados. En la población general, el tratamiento conservador se asocia con una mortalidad del 75%.7 A pesar de su rareza, esta patología es grave en pacientes trasplantados, debido al riesgo de pérdida del injerto. El tratamiento de tuberculosis urogenital combina fármacos antituberculosos.13 La cirugía es una opción ante el fracaso farmacológico.9 En nuestro caso, se optó por la orquiectomía debido al absceso epididimario y la falta de respuesta a tratamientos antimicrobianos; no obstante, el injerto renal se conservó con éxito tras el tratamiento antituberculoso.


REFERENCIAS (EN ESTE ARTÍCULO)

  1. Roddy K, Tobin EH, Leslie SW, Rathish B. Genitourinary tuberculosis. In: StatPearls. Treasure Island (FL): StatPearls Publishing; 2025. Available from: https://www.ncbi.nlm.nih.gov/books/NBK557558/

  2. Mamishi S, Pourakbari B, Moradzadeh M, van Leeuwen WB, Mahmoudi S. Prevalence of active tuberculosis infection in transplant recipients: a systematic review and meta-analysis. Microb Pathog. 2020; 139: 103894.

  3. Polanco N. Tuberculosis en trasplantados renales. Med Int Méx. 2017; 33 (3): 372-380. Available from: https://www.scielo.org.mx/scielo.php?pid=S0186-48662017000300372&script=sci_abstract&tlng=pt

  4. Shah S, Carter-Monroe N, Atta MG. Granulomatous interstitial nephritis. Clin Kidney J. 2015; 8 (5): 516-523. doi: 10.1093/ckj/sfv053

  5. Krishnamoorthy S, Palaniyandi V, Kumaresan N, Govindaraju S, Rajasekaran J, Murugappan I et al. Aspects of evolving genito urinary tuberculosis-a profile of genito urinary tuberculosis (GUTB) in 110 patients. J Clin Diagn Res. 2017; 11 (9): PC01-PC05.

  6. Huang JJ, Tseng CC. Emphysematous pyelonephritis: clinicoradiological classification, management, prognosis and pathogenesis. Arch InternMed 2000; 160 (6): 794-805.

  7. Al-Geizawi SM, Farney AC, Rogers J, Assimos D, Requarth JA, Doares W et al. Renal allograft failure due to emphysematous pyelonephritis: successful non-operative management and proposed new classification scheme based on literature review. Transplant Infect Dis. 2010; 12 (6): 543-550. doi: 10.1111/j.1399-3062.2010.00538.x

  8. Mahmood N, Hassan MR, Siddiqui MMR, Shumi SI. Renal tuberculosis presented as emphysematous pyelonephritis: a case report. Anwer Khan Mod Med Coll J. 2020; 11 (1): 73-77. doi: 10.3329/akmmcj.v11i1.45671.

  9. Borges WM, Bechara GR, de Miranda MML, de Figueiredo GB, Venturini BA, Laghi CR. Epididymis tuberculosis: case report and brief review of the literature. Urol Case Rep. 2019; 26: 100969.

  10. Sasi S, Varghese MK, Nair AP, Hashim S, Al Maslamani M. tuberculosis in an allogeneic transplant kidney: a rare case report and review of literature. Cureus. 2020; 12 (11): e11661.

  11. Parra-Michel R, Soto-Vargas J, López-Iñiguez A. Características clínicas y factores de riesgo para tuberculosis en pacientes receptores de injerto renal. Rev Med MD. 2013; 4.5 (1): 5-11.

  12. Sorohan BM, Ismail G, Tacu D, Obrisca B, Ciolan G, Gingu C et al. Mycobacterium tuberculosis infection after kidney transplantation: a comprehensive review. Pathogens. 2022; 11 (9): 1041.

  13. Muneer A, Macrae B, Krishnamoorthy S, Zumla A. Urogenital tuberculosis — epidemiology, pathogenesis and clinical features. Nat Rev Urol. 2019; 16 (10): 573-598.

  14. Lu P, Li C, Zhou X. Significance of the CT scan in renal tuberculosis. Zhonghua Jie He He Hu Xi Za Zhi. 2001; 24 (7): 407-409.



AFILIACIONES

1 Universidad de Guadalajara, Centro Universitario de Ciencias de la Salud, Especialidad en Nefrología, Hospital General Regional No. 46 del IMSS. Guadalajara, Jalisco, México.

2 Becario de la Dirección General de Calidad y Educación en Salud, Secretaría de Salud. México.
ORCID:

3 0009-0007-7632-0747

4 0009-0003-4602-995X

5 0000-0003-3408-4719

6 0000-0003-3623-0716

7 0000-0002-8514-9052

8 0000-0002-5710-6389

9 0000-0001-7838-2035

10 0009-0004-5853-589X

11 0000-0003-1871-0476

12 0009-0008-8264-6126

13 0009-0007-6748-4184

14 0000-0002-4188-8806

15 0009-0002-1123-1333

16 0009-0001-3383-0903

17 0009-0000-4485-5121

18 0009-0004-5439-0443

19 0009-0003-7365-1138

20 0000-0001-7465-2915

21 0009-0008-1706-3370

22 0009-0005-0013-7300



CORRESPONDENCIA

Javier Soto-Vargas. E-mail: soto010@gmail.com




Recibido: 10-Nov-2023. Aceptado: 18-Feb-2025

Figura 1
Figura 2
Figura 3

2020     |     www.medigraphic.com

Mi perfil

C?MO CITAR (Vancouver)

Rev Mex Traspl. 2025;14

ARTíCULOS SIMILARES

CARGANDO ...