medigraphic.com
ENGLISH

Revista del Centro Dermatológico Pascua

ISSN 1405-1710 (Impreso)
  • Mostrar índice
  • Números disponibles
  • Información
    • Información general        
    • Directorio
  • Publicar
    • Instrucciones para autores        
  • medigraphic.com
    • Inicio
    • Índice de revistas            
    • Registro / Acceso
  • Mi perfil

2024, Número 3

<< Anterior Siguiente >>

Rev Cent Dermatol Pascua 2024; 33 (3)


Mixoma cutáneo

Ramos-Garibay, José Alberto1; Trejo-Acuña, Juan Ramón2; Torres-Gordillo, Angélica Araceli3; Carrillo-Guajardo, Alejandra Yasbeth4
Texto completo Cómo citar este artículo 10.35366/120951

DOI

DOI: 10.35366/120951
URL: https://dx.doi.org/10.35366/120951
Artículos similares

Idioma: Español
Referencias bibliográficas: 7
Paginas: 83-85
Archivo PDF: 227.44 Kb.


PALABRAS CLAVE

mixoma cutáneo, complejo de Carney, matriz mixoide.

RESUMEN

Los mixomas cutáneos son neoplasias benignas poco frecuentes, compuestas por una matriz mixoide. Pueden presentarse de forma esporádica o asociados a síndromes como el "complejo de Carney". Su manifestación clínica es variable, por lo que el estudio histopatológico es necesario para confirmar el diagnóstico. El tratamiento definitivo es la extirpación quirúrgica. En esta publicación comunicamos el caso de un hombre de 34 años con un mixoma cutáneo en tórax anterior.



INTRODUCCIóN

Los mixomas son neoplasias cutáneas benignas, poco frecuentes y de presentación clínica variable constituidas por una matriz mixoide. Pueden aparecer de forma esporádica o asociados con síndromes como el complejo de Carney (mixomas múltiples atriales, cutáneos y mamarios, más lesiones pigmentadas más anormalidades endócrinas), síndrome de NAME (nevo, mixoma auricular, neurofibroma mixoide y efélides) o síndrome de LAMB (léntigos, mixoma auricular, mixomas mucocutáneos y nevo azul). Se presentan principalmente en hombres alrededor de la quinta década de la vida, y su patogenia aún no está bien descrita.1,2



CUADRO CLÍNICO

Los mixomas pueden aparecer en tronco, cabeza y cuello, extremidades y genitales, siendo la espalda la localización más frecuente.1 Clínicamente se caracterizan por la aparición de una neoformación de aspecto nodular o polilobulada, de color similar al de la piel, de consistencia blanda, asintomática.2



DIAGNÓSTICO

El diagnóstico definitivo se lleva a cabo a través del estudio histopatológico. En éste se observa una tumoración bien circunscrita que ocupa el espesor de la dermis hasta el tejido celular subcutáneo. Está constituida por células fusiformes y estrelladas inmersas en un estroma mixoide abundante.3,4

El diagnóstico histopatológico diferencial debe realizarse con la mucinosis focal. En esta última el aspecto es difuso, con un menor componente vascular. Las células tumorales de los mixomas expresan vimentina, con positividad variable para CD34 y actina, además de que son negativas para la proteína S100, lo cual ayuda a diferenciarlos del neurofibroma mixoide.5

En los últimos años se ha utilizado a la dermatoscopia como auxiliar diagnóstico. En el caso de los mixomas, se ha descrito el "signo del planeta rojo", el cual corresponde a glóbulos translúcidos rojizos con vascularización fina superficial, o bien, se describen como lesiones de aspecto nodular y festoneado con vasos en la superficie. Debido a la heterogeneidad clínica de las lesiones, se considera que los hallazgos dermatoscópicos son inespecíficos.6



TRATAMIENTO

El tratamiento es la extirpación quirúrgica. Se ha descrito que los casos con extirpación incompleta recidivan hasta en 30-40% de los casos.1

En un estudio publicado en 2022 se analizaron 54 casos, 39 con escisión mediante técnica de rasurado y 12 recibieron escisión con márgenes amplios. Se logró dar seguimiento a 28 pacientes durante 50 meses en los que se encontró sólo un caso de recidiva, por lo cual este estudio sugiere que la recurrencia es menor a lo que se ha reportado hasta el momento.4



CASO CLÍNICO

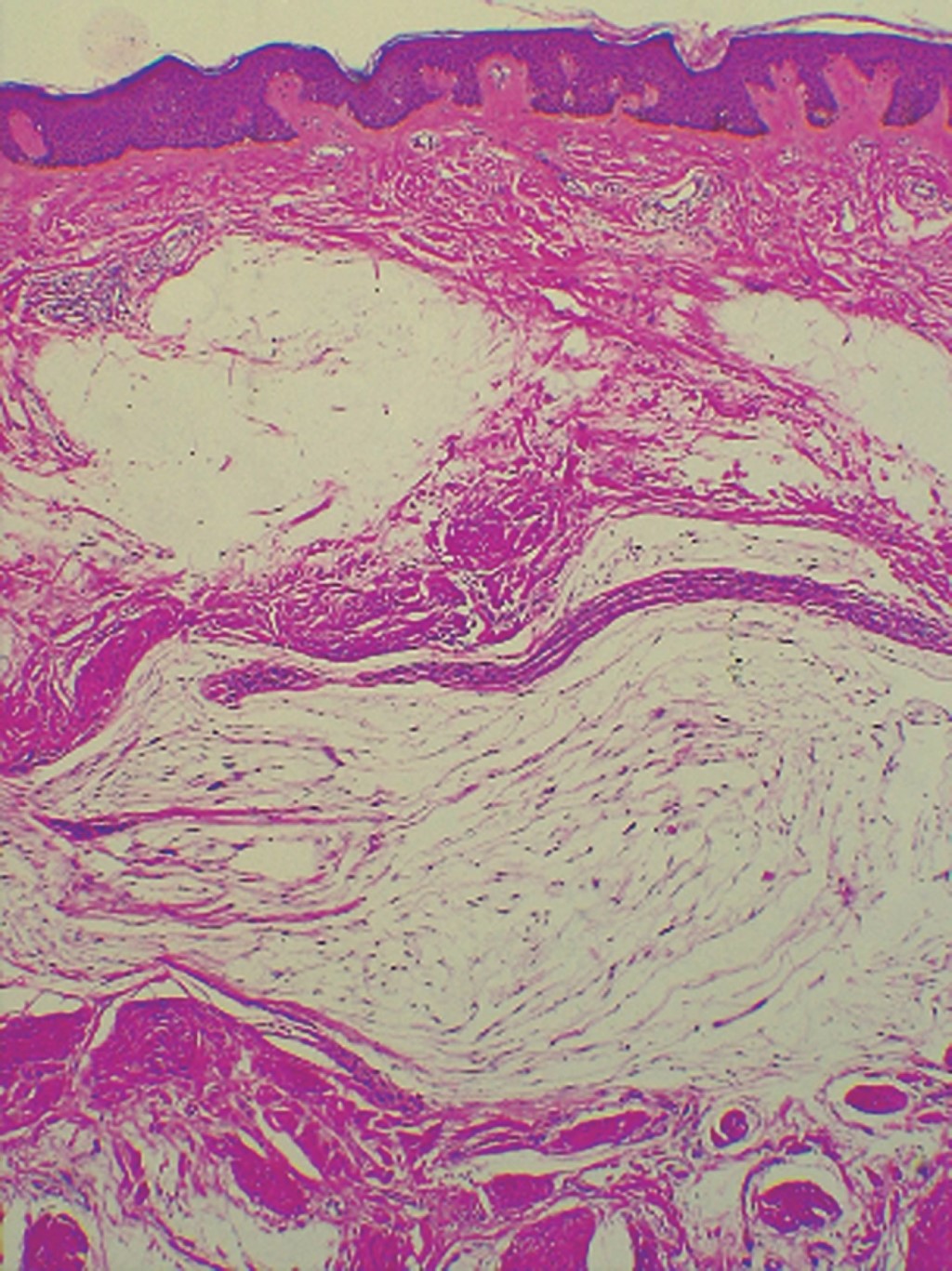
Se trata de un paciente del sexo masculino, de 34 años de edad, sin antecedentes de importancia. Acude a consulta por una dermatosis localizada a tronco, del que afecta cara anterior de tórax en región periareolar derecha. Constituida por una neoformación de 1 cm de diámetro en su eje mayor, del color de la piel, superficie lisa y consistencia blanda con bordes regulares y bien definidos (Figura 1). A la dermatoscopia se observan áreas blancas, color marrón y rojizas sin estructura (Figura 2). Al interrogatorio refiere dos años de evolución. Niega tratamientos previos. Ante la sospecha diagnóstica de un tumor de a nexos vs tejido fibroglandular se realiza la extirpación quirúrgica de la lesión. El estudio histopatológico muestra una lesión cupuliforme a expensas de una tumoración en la dermis reticular. Está ocupada por lagunas mixoides de tamaños variables. En su interior hay células fusiformes y estrelladas (Figura 3); así como, varios vasos capilares y a nexos sudoríparos. Con los hallazgos anteriores se integra el diagnóstico definitivo de mixoma cutáneo con extirpación completa.

En la actualidad el paciente no ha presentado recidivas. Se encuentra en protocolo de estudio para descartar patología agregada.



CONCLUSIóN

Los mixomas cutáneos al ser neoplasias poco frecuentes y con presentaciones clínicas variables requieren de un estudio histopatológico para confirmar el diagnóstico. La importancia de conocer que estos tumores que pueden desarrollarse en personas jóvenes se debe a la necesidad de descartar una asociación con otros síndromes y tumores que pueden tener repercusión sistémica. Entre las asociaciones más comunes se encuentra el síndrome de Carney, con presencia de mixomas atriales, tumoraciones como la hiperplasia hipofisiaria y el adenoma hipofisiario productores de hormona de crecimiento y prolactina.7

El tratamiento suele ser quirúrgico y por lo general se recomiendan márgenes de escisión amplios.


REFERENCIAS (EN ESTE ARTÍCULO)

  1. Iwashita W, Kurabayashi A, Tanaka C, Naganuma S, Kawamura T, Aki F et al. Superficial angiomyxoma of the nipple in a Japanese woman: a case report and review of literature. Int J Surg Pathol. 2020; 28: 683-687.

  2. Lee YB, Lee WS. Cutaneous myxoma coexisting with an epidermal cyst: a case report and brief literature review. Ann Dermatol. 2021; 33: 591-593.

  3. Hurt MA, Weedon D. Weedon's skin pathology. Dermatology practical & conceptual. 3rd ed. London: Churchill Livingstone Elsevier; 2010. pp. 79-82.

  4. Sharma A, Khaitan N, Ko JS, Bergfeld WF, Piliang M, Rubin BP et al. A clinicopathologic analysis of 54 cases of cutaneous myxoma. Hum Pathol. 2022; 120: 71-76.

  5. Elston D. Lever's histopathology of the skin. J Am Acad Dermatol. 2009; 61: 171.

  6. Amores-Martín E, de Los Ángeles Sola Casas M, Fernández-Figueras MT. Superficial Angiomyxoma: dermoscopic findings. Actas Dermosifiliogr (Engl Ed). 2021: S0001-7310(21)00101-0.

  7. Tatsi C, Stratakis CA. The genetics of pituitary adenomas. J Clin Med. 2019; 9: 30.



AFILIACIONES

1 Jefe del Servicio de Dermatopatología.;

2 Dermatólogo adscrito.;

3 Residente del segundo año de Dermatología.;

4 Residente del primer año de Dermatología.
Centro Dermatológico "Dr. Ladislao de la Pascua", SSCDMX.



CORRESPONDENCIA

Dr. Juan Ramón Trejo-Acuña. E-mail: hermesjuanderma@hotmail.com


Figura 1
Figura 2
Figura 3

2020     |     www.medigraphic.com

Mi perfil

C?MO CITAR (Vancouver)

Rev Cent Dermatol Pascua. 2024;33

ARTíCULOS SIMILARES

CARGANDO ...