medigraphic.com
ENGLISH

Revista ADM Órgano Oficial de la Asociación Dental Mexicana

ISSN 0001-0944 (Impreso)
Órgano Oficial de la Asociación Dental Mexicana
  • Mostrar índice
  • Números disponibles
  • Información
    • Información general        
    • Directorio
  • Publicar
    • Instrucciones para autores        
    • Envío de artículos
  • medigraphic.com
    • Inicio
    • Índice de revistas            
    • Registro / Acceso
  • Mi perfil

2025, Número 4

<< Anterior Siguiente >>

Rev ADM 2025; 82 (4)


Aumento de fondo vestíbulo con injerto gingival libre mediante técnica de Clark.

López Silva, Luis Gerardo1,2; Garzón Abad, Cecilia1,3; Fontes García, Zureya1,3; Gómez Flores, Mara1,4; García Arévalo, Fernando1,3
Texto completo Cómo citar este artículo 10.35366/121017

DOI

DOI: 10.35366/121017
URL: https://dx.doi.org/10.35366/121017
Artículos similares

Idioma: Español
Referencias bibliográficas: 13
Paginas: 239-243
Archivo PDF: 393.46 Kb.


PALABRAS CLAVE

vestibuloplastia, injerto gingival libre, técnica de Clark, encía queratinizada.

RESUMEN

La vestibuloplastia es una modificación quirúrgica de la unión mucogingival para modificar la profundidad del vestíbulo. En la actualidad, realizar dicho procedimiento en conjunto con un injerto gingival libre (IGL), el cual continúa siendo el estándar de oro para aumentar la encía queratinizada, arroja resultados favorables en el aumento de la longitud de la profundidad del vestíbulo y en el ancho de la encía queratinizada, brindando grandes beneficios para la rehabilitación mediante prótesis mucosoportadas o implantosoportadas. Se realiza un reporte de caso de un paciente masculino desdentado total en maxilar, que acude para la modificación de la profundidad de vestíbulo. El procedimiento se llevó a cabo mediante la técnica de Clark en conjunto con IGL recolectado del paladar del paciente, se evaluaron los resultados seis semanas posteriores a la intervención quirúrgica, observando cambios dimensionales favorables.



ABREVIATURAS:

  • IGL = injerto gingival libre
  • UABC = Universidad Autónoma de Baja California



INTRODUCCIóN

En el mantenimiento de una buena salud oral y una sonrisa estética se involucran distintos factores que aportan en gran medida el resultado y éxito de tratamientos protésicos y quirúrgicos, entre ellos se encuentran el tejido gingival, la profundidad del vestíbulo, así como la forma y apariencia de los dientes.1,2

La profundidad del vestíbulo es la medida desde el borde coronal de la encía insertada hasta la línea mucogingival.3 En pacientes desdentados, las dimensiones del vestíbulo pueden ser modificadas por procedimientos quirúrgicos que ocasionan la disminución de los rebordes alveolares residuales. En el caso de una disminución del vestíbulo, las fibras de los músculos pueden producir alta tensión o fuerza en la inserción relacionada con la cresta del reborde alveolar desdentado, lo que produce dificultad para la adaptación y mantenimiento de una prótesis. Una alternativa puede ser el uso de prótesis implantosoportadas, sin embargo, se ha demostrado que la falta de encía queratinizada está relacionada con la acumulación de placa bacteriana (biofilm), recesión gingival y pérdida de inserción, lo que sugiere que una deficiencia de encía queratinizada alrededor de un implante puede ser propenso a desarrollar mucositis periimplantaria y periimplantitis. Para la resolución de esta característica, se realiza la vestibuloplastia con distintas técnicas para lograr una corrección en la dimensión del vestíbulo mediante la modificación de la inserción del tejido gingival para optimizar la integración de prótesis.2,4-7

En la actualidad, el injerto gingival libre (IGL) es el estándar de oro para aumentar pequeñas áreas de mucosa queratinizada. Sin embargo, las desventajas que pueden presentarse incluyen la incapacidad de extraer injertos más grandes, la alta tasa de morbilidad después del procedimiento quirúrgico y el compromiso estético debido a las diferencias en la textura y color de las áreas adyacentes.5,8-11

Las distintas técnicas brindan resultados diversos, siendo unas más favorables que otras, en este caso se presenta el procedimiento con la técnica Clark que consiste en realizar una incisión horizontal sobre la unión mucogingival, seguida de una disección supraperióstica hasta obtener la profundidad vestibular deseada, finalmente se sutura el colgajo en una posición apical con sutura absorbible a la profundidad vestibular.3



PRESENTACIóN DEL CASO

Paciente masculino de 50 años de edad, sistémicamente sano, soltero, fumador (20 cigarrillos diarios aproximadamente) se presenta a la Facultad de Odontología Mexicali, Universidad Autónoma de Baja California (UABC), en la Clínica del Postgrado de Periodoncia buscando una solución para devolver su salud oral. En la clínica de periodoncia se realizó la historia clínica general del paciente y un periodontograma, con base en los datos recopilados se estableció el diagnóstico periodontal de periodontitis generalizada estadio IV grado C, teniendo además un pronóstico cuestionable (McGuire y Nunn)12 en los dientes de la arcada maxilar.

Se realizó interconsulta con el departamento de prostodoncia, donde el diagnóstico protésico para rehabilitación dental no fue viable para la rehabilitación protésica del maxilar. Por lo que se expuso el plan de tratamiento al paciente que consistió en realizar extracciones de los dientes remanentes 1.3, 2.3, 2.4, 2.5 y 2.6 preservando el alveolo para en el futuro colocar una dentadura implantosoportada mediante cuatro implantes en la arcada superior, sin embargo, posterior a la extracción de los dientes maxilares, se propuso realizar una vestibuloplastia con IGL para la obtención de encía queratinizada y un vestíbulo profundo para la rehabilitación protésica temporal (Figura 1).

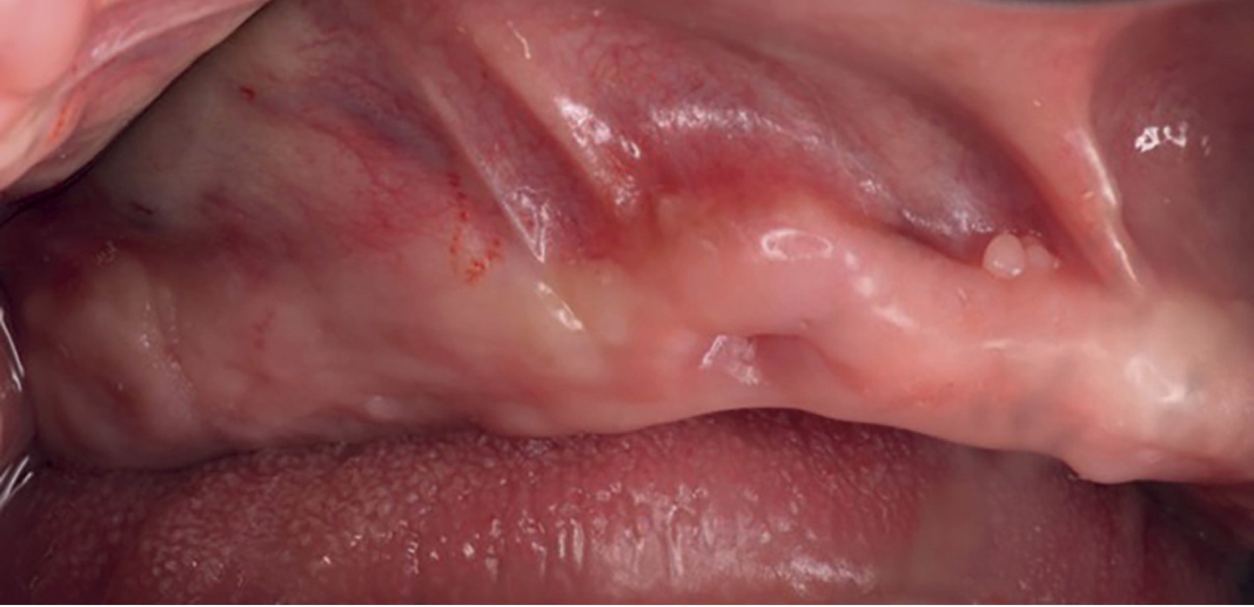
El procedimiento quirúrgico se llevó a cabo bajo anestesia local, mediante las técnicas de alveolares posteriores superiores, alveolares medios, técnica infraorbitaria en la zona receptora de la vestibuloplastia. Para la toma del IGL se anestesió mediante la técnica palatina mayor y nasopalatina. Se inició con una incisión a nivel de la línea mucogingival con descarga distal y mesial y posteriormente se continuó con la elevación de un colgajo parcial y la disección de las fibras musculares (Figura 2). Una vez preparado el lecho receptor, se procedió a la toma del IGL de la mucosa palatina y se realizó la disección del injerto para obtener un grosor de 1 mm aproximadamente (Figuras 3 y 4). Luego, se colocó el IGL en la zona receptora y se fijó mediante puntos simples con Vicryl 5.0 en los extremos del injerto al periostio, seguido de puntos en X fijados en el periostio en la zona apical y en la encía queratinizada hacia el reborde. Finalmente, se colocaron puntos simples para llevar el borde bucal de la herida hacia la porción más apical (Figura 5).

Se recetó amoxicilina 500 mg una cada ocho horas durante siete días, ibuprofeno 600 mg una cada ocho horas durante cinco días y enjuagues con periosan (quitosan) dos veces al día.



RESULTADOS

Al momento de la fase prequirúrgica, se realizó medición con una sonda periodontal de la profundidad del vestíbulo tomando como puntos de referencia el borde coronal del reborde residual y la ubicación de la línea mucogingival del paciente, obteniendo un resultado de 3 mm. Con los objetivos protésicos previamente establecidos, se decidió aumentar aproximadamente 5 mm la profundidad del vestíbulo con apoyo del IGL.

En la revisión postquirúrgica a las seis semanas, se observaron mediciones de 9 mm desde el borde coronal de la encía insertada hacia la línea mucogingival en comparación con la situación inicial (Figuras 6, 7 y 8).



DISCUSIóN

El vestíbulo poco profundo puede ser el resultado de la atrofia del reborde alveolar posterior a la extracción dental. Este proceso se encuentra relacionado con el ancho del tejido queratinizado que se observa reducido en la región de la antigua cresta.3,6,10,13

Shrestha y colaboradores describieron la vestibuloplastia como una modificación quirúrgica de la unión mucogingival que incluye la profundización del vestíbulo ampliando la zona de la encía insertada.3 En la actualidad, un IGL es el principal tipo de injerto utilizado para el aumento de tejido queratinizado, sin embargo, el injerto de matriz de colágeno de porcino ha representado una alternativa viable para este tipo de procedimientos.5

En un estudio comparativo realizado por Schmitt y colegas encontraron resultados similares entre los procedimientos quirúrgicos de vestibuloplastia realizados con IGL y matriz de colágeno de porcino, resultando como la ventaja y característica principal de este último que la recolección de tejido es prescindible, por lo tanto, el tiempo quirúrgico puede ser reducido y el resultado puede ser más estético.5,13

Respecto a la técnica quirúrgica, la técnica de Clark posee la virtud de mejorar la estética en la cicatrización y disminuir la probabilidad de una reinserción muscular, ya que se produce una epitelización secundaria. No obstante, la posibilidad de recaída o reinserción muscular aún puede estar presente.2

De acuerdo con Shrestha y colaboradores, las desventajas principales de la técnica de Clark es una cantidad considerable de recaída en la profundidad vestibular por la manera en que la epitelización secundaria cicatriza de manera similar a la herida, causando una reinserción de las fibras musculares. Debido a esto, un injerto para corrección excesiva de mucosa, como el IGL, puede ayudar a superar las dificultades que el resultado postquirúrgico presenta.3

Las características principales que el IGL puede aportar para sobrepasar la recaída en este tipo de tratamientos quirúrgicos son que el injerto puede permanecer en la zona deseada, con muy poca o mínima movilización de la unión mucogingival, y por lo tanto no se relaciona con las tensiones musculares o con movimientos de la mucosa.9



CONCLUSIóN

El tratamiento de vestibuloplastia en conjunto con un IGL nos proporcionó dimensiones de profundidad de vestíbulo adecuadas y se obtuvo el tejido queratinizado suficiente para un futuro manejo de la rehabilitación de la zona. Además, no se encontraron signos de inserción muscular, considerándose un éxito en la intervención quirúrgica.


REFERENCIAS (EN ESTE ARTÍCULO)

  1. Díaz Caballero A, del Rio Rocha D, Harris Ricardo J. Vestibuloplastia con la técnica de Edlan Mejchar: descripción de cuatro casos clínicos. Universitas Odontológica. 2018; 37 (78): 2027-3444. Disponible en: https://doi.org/10.11144/Javeriana.uo37-78.vtem

  2. Gogoi A. Enhancing gingival phenotype with vestibuloplasty and free gingival graft: improving maintenance of regular oral hygiene. Cureus. 2022; 14 (3): e23642. Available in: http://dx.doi.org/10.7759/cureus.23642

  3. Shrestha B, Lamichhane KP, Pradhan S, Gorkhali RS, Koirala PK. Técnica de vestibuloplastia de Clark - reporte de un caso. J Nepal Soc Perio Oral Implantol. 2020; 4 (2): 93-95. Disponible en: https://doi.org/10.3126/jnspoi.v4i2.34305

  4. Thoma DS, Buranawat B, Hammerle CHF, Held U, Jung RE. Efficacy of soft tissue augmentation around dental implants and in partially edentulous areas: a systematic review. J Clin Periodontol. 2014; 41 Suppl 15: S77-91. Available in: http://dx.doi.org/10.1111/jcpe.12220

  5. Schmitt CM, Tudor C, Kiener K, Wehrhan F, Schmitt J, Eitner S et al. Vestibuloplasty: porcine collagen matrix versus free gingival graft: a clinical and histologic study. J Periodontol. 2013; 84 (7): 914-923. Available in: http://dx.doi.org/10.1902/jop.2012.120084

  6. Lim H-C, An S-C, Lee D-W. A retrospective comparison of three modalities for vestibuloplasty in the posterior mandible: apically positioned flap only vs. free gingival graft vs. collagen matrix. Clin Oral Investig. 2018; 22 (5): 2121-2128. Available in: http://dx.doi.org/10.1007/s00784-017-2320-y

  7. Tarasenko S, Ashurko I, Taschieri S, Repina S, Esaya N A, Corbella S. Comparative analysis of methods to increase the amount of keratinized mucosa before stage-two surgery: a randomized controlled study. Quintessence Int. 2020; 51 (5): 374-387. Available in: http://dx.doi.org/10.3290/j.qi.a44216

  8. Sarduy BL, Corrales AM. Injerto libre de encía en el tratamiento de la recesión periodontal. Medicentro Electrónica. 2014; 18 (3): 135-139. Disponible en: http://scielo.sld.cu/scielo.php?script=sci_arttext&pid=S1029-30432014000300010&lng=es

  9. Carreño Pérez Luis, Castro-Rodríguez Yuri. Técnica de doble injerto gingival libre para incremento de encía queratinizada. Rev Cubana Invest Bioméd. 2021; 40 (1): e813. Disponible en: http://scielo.sld.cu/scielo.php?script=sci_arttext&pid=S0864-03002021000100020&lng=es

  10. Hashemi HM, Parhiz A, Ghafari S. Vestibuloplasty: allograft versus mucosal graft. Int J Oral Maxillofac Surg. 2012; 41 (4): 527-530. Available in: http://dx.doi.org/10.1016/j.ijom.2011.09.014

  11. Bhola M, Newell DH, Hancock EB. Acellular dermal allograft for vestibuloplasty--an alternative to autogenous soft tissue grafts in preprosthetic surgical procedures: a clinical report. J Prosthodont. 2003; 12 (2): 133-137. Available in: http://dx.doi.org/10.1016/S1059-941X(03)00039-1

  12. McGuire MK, Nunn ME. Prognosis versus actual outcome. II. The effectiveness of clinical parameters in developing an accurate prognosis. J Periodontol. 1996; 67 (7): 658-665. doi: 10.1902/jop.1996.67.7.658.

  13. Schmitt CM, Moest T, Lutz R, Wehrhan F, Neukam FW, Schlegel KA. Long-term outcomes after vestibuloplasty with a porcine collagen matrix (Mucograft®) versus the free gingival graft: a comparative prospective clinical trial. Clin Oral Implants Res. 2016; 27 (11): e125-133. Available in: http://dx.doi.org/10.1111/clr.12575



AFILIACIONES

1 Facultad de Odontología Mexicali, Universidad Autónoma de Baja California, México.

2 Residente de la Especialidad de Periodoncia.

3 Maestro de la Especialidad de Periodoncia.

4 Doctora y Coordinadora de la Especialidad de Periodoncia.



Conflicto de intereses: ninguno.

Aspectos éticos: el paciente autorizó su participación mediante firma en el consentimiento informado incluido en el expediente clínico de la Facultad de Odontología Mexicali.

Financiamiento: sin financiamiento.



CORRESPONDENCIA

Luis Gerardo López Silva. E-mail: luis.lopez22@uabc.edu.mx




Recibido: 06 de junio de 2023. Aceptado: 13 de junio de 2025.

Figura 1
Figura 2
Figura 3
Figura 4
Figura 5
Figura 6
Figura 7
Figura 8

2020     |     www.medigraphic.com

Mi perfil

C?MO CITAR (Vancouver)

Rev ADM. 2025;82

ARTíCULOS SIMILARES

CARGANDO ...