medigraphic.com
ENGLISH

Acta Ortopédica Mexicana

ISSN 2992-8036 (Digital)
ISSN 2306-4102 (Impreso)
Órgano Oficial del Colegio Mexicano de Ortopedia y Traumatología
  • Mostrar índice
  • Números disponibles
  • Información
    • Información general        
    • Directorio
  • Publicar
    • Instrucciones para autores        
  • medigraphic.com
    • Inicio
    • Índice de revistas            
    • Registro / Acceso
  • Mi perfil

2025, Número 5

<< Anterior Siguiente >>

Acta Ortop Mex 2025; 39 (5)


Fijación espinopélvica combinada con instrumentación larga en un paciente con lesión multifragmentada de sacro y fracturas múltiples de cuerpos vertebrales lumbares: reporte de caso y revisión de la literatura

Altamirano-Cruz, MA1,2; Baltazar-Rodríguez, GM1,3
Texto completo Cómo citar este artículo 10.35366/121079

DOI

DOI: 10.35366/121079
URL: https://dx.doi.org/10.35366/121079
Artículos similares

Idioma: Español
Referencias bibliográficas: 13
Paginas: 305-312
Archivo PDF: 534.20 Kb.


PALABRAS CLAVE

politraumatismo, disociación espinopélvica, fractura de pelvis, fractura de columna, instrumentación larga de columna.

RESUMEN

El politraumatismo hace referencia a lesiones significativas de tres o más puntos según Abbreviated Injury Scale (AIS), en dos o más regiones anatómicas y al menos una variable fisiológica. El politraumatismo es por sí solo un reto clínico y terapéutico; sin embargo, la fractura combinada de columna y pelvis conlleva a sus propios desafíos. En la fractura combinada de columna y pelvis puede estar presente una disociación espinopélvica, que se caracteriza por la incapacidad de transmisión de cargas a través de la columna vertebral hacia la pelvis y consecuentemente hacia las extremidades inferiores, interfiriendo con la estabilidad del cuerpo. En este tipo de situaciones clínicas se ha demostrado que las placas y tornillos convencionales no son suficientes. Se ha visto que una fijación larga posterior de columna puede ser una buena alternativa ya que ha demostrado proporcionar mayor estabilidad y una rehabilitación más temprana.



ABREVIATURAS:

  • DE = disociación espinopélvica
  • EVA = escala visual análoga
  • ISS = Injury Severity Score
  • NISS = New Injury Severity Score
  • TAC = tomografía axial computarizada



INTRODUCCIóN

En el ámbito internacional el politraumatismo es una de las principales causas de muerte, con un fuerte impacto socioeconómico, la mayor incidencia se reporta entre los 40-50 años de edad y predominio en el sexo masculino (60%).1 Existen varias escalas para medir la severidad de los traumatismos, siendo las más utilizadas la ISS (Injury Severity Score) y NISS (New Injury Severity Score).

Entre los pacientes politraumatizados, se reporta que 25% de ellos tendrá lesión pélvica, 30% lesión en la columna y 65% en alguna extremidad; sin embargo, la combinación de más de una lesión es más rara.1 Se calcula que 5% de las pacientes tendrán de forma concomitante una fractura de pelvis y de columna vertebral.

Respecto a las fracturas de la columna vertebral, están asociadas a un gran número de complicaciones, siendo las más relevantes lesión espinal, lesión vascular, deformidad e inestabilidad.2 Por otro lado, las principales complicaciones en fracturas de pelvis son hemorragia significativa llegando incluso a choque hipovolémico, síndrome compartimental y déficits neurológicos.3

Cuando a una fractura de pelvis se le agrega una fractura de columna, representa un reto mayor para el manejo. Según Navas y colaboradores, uno de los predictores más importantes para un peor pronóstico en una fractura de pelvis es una fractura agregada de columna, teniendo un ISS más alto, mayor inestabilidad hemodinámica e inestabilidad del anillo pélvico.4 En el contexto de un politrauma, más cuando se ha confirmado una fractura combinada de columna y pelvis, es importante descartar una disociación espinopélvica (DE). La DE es una lesión que se caracteriza por la incapacidad de transmisión de cargas a través de la columna vertebral hacia la pelvis y consecuentemente hacia las extremidades inferiores.5 Esto implica un agravante para la estabilización, ya que se ha estudiado que el uso de placas y tornillos convencionales difícilmente resisten las fuerzas de cizallamiento verticales directas durante la transmisión de cargas y han demostrado ser subóptimas para el manejo definitivo.6

Un aspecto importante para el tratamiento de una disociación espinopélvica es restaurar la estabilidad. La columna vertebral es una estructura con una biomecánica complicada. Su estabilidad mecánica depende de una serie de variables. Dos conceptos importantes son la zona neutral y la zona elástica. La zona neutral se refiere a la flexibilidad de la columna en una posición neutra, mientras que la zona elástica comprende la flexibilidad hasta el límite máximo de movimiento. Su conjunto nos da el rango completo del movimiento. Un mayor alcance de la zona neutral ha demostrado una correlación significativa con otros signos indicativos de inestabilidad espinal después de una lesión por traumatismo o en degeneración. La inestabilidad espinal comienza con una respuesta alterada a cargas neutrales y fisiológicas.7 Para el mantenimiento de las cargas neutrales y fisiológicas es además necesaria la alineación sagital, la cual a su vez es crucial para el equilibrio y la estabilidad (Figura 1).8 Por este motivo, tanto las fracturas de pelvis como las de columna son difíciles de tratar, ya que conllevan un reto para la restauración de la estabilidad, y se han buscado alternativas para el manejo quirúrgico de una DE.

En los últimos años, se ha notado que la fijación larga posterior de columna, es una buena alternativa, ya que ha demostrado proveer una mejor estabilidad, un inicio más temprano a la marcha y una más pronta rehabilitación para los pacientes.9

En este reporte de caso, mostramos un paciente masculino politraumatizado con ISS de 18 puntos y una disociación espinopélvica secundaria a fractura del anillo pélvico con una fractura compleja de sacro y que además está asociado con fractura de los cuerpos vertebrales lumbares L1, L5 y apófisis transversas de L1 hasta L5.



CASO CLíNICO

Hombre de 37 años ingresado después de una caída. El mecanismo de lesión fue secundario a caída desde un árbol en posición sedente de una altura aproximada de 10 metros. Después del accidente, el paciente presenta incapacidad para la deambulación y dolor intenso en extremidades inferiores. Fue atendido inicialmente en un Hospital General de Zona donde brindan atención primaria y posteriormente es transferido a nuestra unidad de ortopedia. A la exploración física, se realiza protocolo de atención de urgencias ATLS (por sus siglas en inglés, Advanced Trauma Life Support) y se encuentra paciente con dolor intenso con escala visual análoga (EVA) del dolor de 8 de 10, sin datos de inestabilidad hemodinámica, con dolor a la ventilación profunda en región de hemitórax izquierdo sin datos clínicos de neumotórax o hemotórax y dolor a la palpación de región costal a la altura de la quinta y sexta costillas. En la exploración neurológica, el paciente está consciente y orientado en sus tres esferas con escala de coma de Glasgow de 15 puntos. Extremidad superior izquierda con presencia de dolor, deformidad, aumento de volumen y limitación para la movilización en codo izquierdo, resto sin alteraciones.

Extremidades inferiores con fuerza motora conservada, pero con dificultad para la movilización secundaria a dolor en las mismas, actitud de rotación externa bilateral y parestesias en nivel sensitivo de L4 a distal.

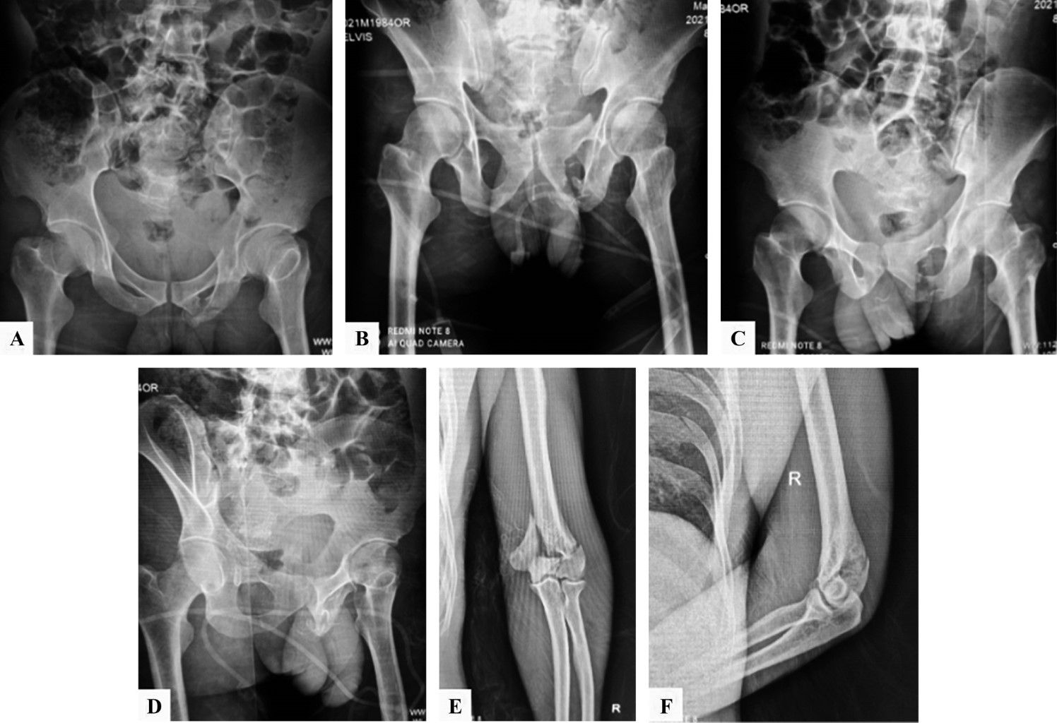
Se realizan radiografías de control serie pélvica y radiografías de codo y columna (Figura 2). En estas series se evidencian disrupción del anillo pélvico anterior del lado izquierdo, fractura articular de húmero, con fractura en arcos costales cinco y seis; serie radiográfica de Judet. Posteriormente se realizan tomografía axial computarizada (TAC) con cortes axiales sagitales y coronales de columna con pelvis (Figura 3) y reconstrucción 3D (Figura 4) donde se observa fractura del anillo pélvico tipo C de Tile por mecanismo de cizallamiento vertical en donde se observan fracturas de rama iliopubiana en zona III de Nakatani e isquiática ipsilateral izquierdas con fractura multifragmentada de sacro con patrón H asociada a hundimiento de plataforma de S1 y fracturas transforaminales bilaterales que se unen a nivel de S2-S3 clasificada como C3 por AO. Se encuentran también fracturas de los cuerpos vertebrales que fueron clasificadas acorde con la propuesta de AO, L1 por compresión tipo A4, fractura de L5 por distracción tipo B2 además de fracturas de las apófisis transversas de L4, L3 y L2 secundarias al cizallamiento vertical tipo A0.

El paciente es estabilizado y se ingresa a la unidad de ortopedia para la realización de manejo quirúrgico definitivo. Se realiza para la columna y pelvis una planificación preoperatoria tridimensional con ayuda de realidad virtual (Figura 5), en donde se decide por la pérdida de capacidad de carga de la columna lumbar y su limitación de transmisión de cargas hacia la pelvis, realizar con un abordaje posterior en línea media de región de columna, una instrumentación posterior espinopélvica larga con colocación de tornillos transpediculares bilaterales en T12, L2 y L4; así como instrumentación de pedículo derecho en L5 y pedículo izquierdo en L3, además de instrumentación de ilíaco bilateral con tornillos en corredor LC2, con barras laterales y dando distracción entre T12 y L1 y entre L5 e ilíacos, se coloca además un crosslink para incrementar la rigidez del constructo de nuestra instrumentación espinopélvica larga. Además, se procede en el mismo tiempo quirúrgico una reducción abierta y directa con osteotomía del olécranon tipo Chevron y fijación interna del húmero distal bajo principio biomecánico de sostén con doble placa de reconstrucción en configuración medial y lateral con placas paralelas (Figura 6). En el postquirúrgico inmediato se realiza tomografía con supresión de metales y reconstrucción 3D para valorar adecuada posición de los tornillos transpediculares (Figura 7).

El paciente evoluciona sin infección y con cicatrización completa de las heridas sin sufrimiento cutáneo. El seguimiento del paciente a la actualidad muestra progresión en la consolidación de las fracturas del anillo pélvico y columna a los tres meses de evolución sin colapso de los cuerpos vertebrales ni cizallamiento del sacro sobre los ilíacos, el paciente recuperó la función de la marcha adecuadamente, con mejoría en la sensibilidad completa; se recomienda el retiro de implantes de la columna vertebral para lograr el máximo beneficio.

Actualmente el paciente es capaz de deambular autónomamente sólo con necesidad de bastón. Refiere no presentar dolor en la cadera que interfiera con sus actividades con un Harris hip score de 43. Refiere dolor tolerable en región lumbar, sin que este sea incapacitante. Se anexan fotos actuales de su estado postquirúrgico (Figura 8).



DISCUSIóN

La DE es una lesión que se caracteriza anatómicamente por la incapacidad de transmisión de cargas a través de la columna vertebral hacia la pelvis y consecuentemente hacia las extremidades inferiores.5 Si a esta lesión le agregamos fracturas a nivel de los cuerpos vertebrales, la pérdida de capacidad de carga será desde el primer cuerpo vertebral afectado, por lo que una fijación estable de este segmento es importante para la restitución de la biomecánica normal.

Estas lesiones suelen estar en el contexto de un traumatismo con alta liberación de energía, siendo una causa frecuente caídas de grandes alturas con mecanismo de carga axial sobre el sacro que condiciona fuerzas cizallantes deformantes, como fue en el caso del paciente del caso. Anteriormente se asoció este tipo de fracturas a intento de suicidio, por lo que también se describió como "fractura del saltador suicida".10 Sin embargo, no existe una descripción precisa sobre las fracturas con disociación espinopélvica asociadas con fracturas múltiples de cuerpos vertebrales lumbares, lo que consideramos que es un claro factor agravante de esta lesión, según Navas y colaboradores, uno de los predictores más fiables de un peor resultado en un paciente politraumatizado es la presencia de lesión espinal.4

La DE en un contexto traumático refiere un diagnóstico raro. Sin embargo, Navas y su equipo encontraron que, dentro de los pacientes con fracturas de pelvis, 13.6% de ellos tenía una fractura o lesión espinal, una relación mucho mayor a la anteriormente descrita en la bibliografía, lo cual significa que es una entidad probablemente infradiagnosticada, por lo cual requiere una alta sospecha diagnóstica. Las manifestaciones clínicas se asocian frecuentemente a déficits neurológicos, siendo más predominantes en los territorios de L5 y S1, nuestro paciente expone parestesias de L4 a distal.10

El estándar de oro para la DE es quirúrgico. En donde la fijación espinopélvica es la fijación de elección ya que ha demostrado proporcionar mayor estabilidad y una rehabilitación más temprana. Hay pocos estudios en la literatura sobre la fijación espinopélvica. Una de las preocupaciones iniciales respecto a este procedimiento eran las complicaciones, siendo las más prevalentes las molestias del material de osteosíntesis y las infecciones. En un análisis retrospectivo de 326 casos realizado por Nguyen J y su grupo, se muestran las siguientes tasas de complicaciones: 14.2% persistencia del dolor, 7.7% complicaciones relacionadas con los tornillos (4.6% fractura y 3.5% aflojamiento), 8.8% pseudoartrosis a nivel de L5-S1, 2.7% complicaciones de la herida requiriendo una segunda intervención. Éstas son menores a las reportadas anteriormente por la literatura.11,12,13

En este caso se decidió realizar una fijación espinopélvica larga, ya que los componentes anatómicos de la lesión que involucran fracturas por compresión de L1, fracturas de las apófisis transversas de L2, L3 y L4, así como una fractura por distracción de L5, acompañada de fractura del sacro tipo C3 según la clasificación de fracturas de sacro de AO, son lesiones que requieren adecuada estabilidad.

La fractura de L1 requiere una fijación de T12 a L2 y la combinación de la fractura de L5 y el sacro de este paciente requieren instrumentar desde L4 hacia los ilíacos; sin embargo, esta configuración dejaría L3 con un estrés muy grande por la rigidez generada entre la instrumentación superior e inferior, por lo que puede condicionar a un fallo en el disco intervertebral, así que se tomó la decisión de puentear L3 instrumentando desde T12 hasta ilíaco. Para este paciente no realizamos fijación de los elementos anteriores (rama púbica), ya que las fracturas de la rama de manera unilateral no representan un cambio significativo en la estabilidad al tener una fijación posterior suficiente y estable.



CONCLUSIONES

Con esta información podemos concluir que la DE significa un reto diagnóstico y terapéutico. Debido a su heterogeneidad clínica, actualmente sigue siendo una entidad infradiagnosticada, por lo cual requiere una alta sospecha diagnóstica y descartar siempre ante el contexto de un paciente politraumatizado con lesión del anillo pélvico. La importancia de este reporte de caso es recalcar que en un contexto de politraumatismo es necesario descartar una DE, ya que esto cambia el abordaje y tratamiento quirúrgico. Además, aclarar componentes de la biomecánica de la columna y cómo la estabilización y la capacidad de transmisión de cargas debe ser prioritario a la hora de planear una operación. Las limitaciones de este reporte de caso radican en la poca literatura reportada para este diagnóstico y falta de artículos donde comparen la fijación convencional con una fijación larga.

Es de suma importancia entender el concepto de transmisión de cargas en la mecánica de la marcha y bipedestación normal, para poder entender cuándo es necesario realizar una fijación espinopélvica. De este modo comprendemos que la fuerza de carga es transmitida desde la columna vertebral a través del sacro y hacia los ilíacos, y de este punto a las extremidades inferiores y, por lo tanto, ante una fractura en donde el sacro está afectado en su continuidad impidiendo la transmisión de cargas hacia los ilíacos, ya sea por un hundimiento de la plataforma de S1 o por fracturas bilaterales transforaminales o extraforaminales completas del sacro, que además se unen entre sí por un trazo transverso o en casos como el presentado donde se combinan estas tres lesiones y junto con el concepto de restituir la capacidad de carga de un hueso ante una fractura después de realizar una fijación estable, se comprende la necesidad de cuándo realizar este tipo de fijaciones vertebro-pelvinares y además ante el agravante de las fracturas lumbares, entender la necesidad de restituir el soporte de la carga mediante implantes para permitir la consolidación de los trazos de fractura tanto de la columna vertebral como de la pelvis.

En conclusión, a continuación, describimos las indicaciones para realizar una fijación espinopélvica: fracturas de sacro con patrones en H, Y, U, fracturas por compresión de la plataforma superior de S1, fracturas de sacro con combinación de fractura de L5, fracturas de sacro que afecten la pars articularis de L5 y S1 de manera bilateral. En los casos donde exista además fracturas de cuerpos vertebrales que requieran manejo mediante instrumentación se recomienda extender la instrumentación hasta las vértebras afectadas, valorando la opción de realizar instrumentaciones vertebrales cortas en los casos seleccionados o realizar una instrumentación larga para evitar zonas que favorezcan una enfermedad de disco adyacente o subsecuente.

Actualmente, la fijación espinopélvica se considera una terapéutica adecuada para su tratamiento. Sigue existiendo poca literatura sobre este tema, por lo cual es importante aún continuar con artículos y revisiones sistemáticas, para un mejor abordaje de esta patología.


REFERENCIAS (EN ESTE ARTÍCULO)

  1. Schindler CR, Sturm R, Horauf JA, Marzi I, Stormann P. The sequence of the treatment of combined fractures of the pelvis, spine, and extremities in polytraumatized patients. EFORT Open Rev. 2023; 8(5): 372-81.

  2. Whitney E, Alastra AJ. Vertebral fracture. In: StatPearls [Internet]. Treasure Island (FL): StatPearls Publishing; 2024.

  3. Davis DD, Tiwari V, Kane SM, et al. Pelvic fracture. In: StatPearls [Internet]. Treasure Island (FL): StatPearls Publishing; 2024.

  4. Navas L, Mengis N, Zimmerer A, Rippke JN, Schmidt S, Brunner A, et al. Patients with combined pelvic and spinal injuries have worse clinical and operative outcomes than patients with isolated pelvic injuries analysis of the German pelvic registry. BMC Musculoskelet Disord. 2022; 23(1): 251.

  5. Hirschfeld M, Pascual-López FJ, Guerado E. Spinopelvic dissociation: current concepts. Rev Esp Cir Ortop Traumatol. 2024; 68(4): 398-408.

  6. Patel S, Ghosh A, Jindal K, Kumar V, Aggarwal S, Kumar P. Spinopelvic fixation for vertically unstable AO type C pelvic fractures and sacral fractures with spinopelvic dissociation- A systematic review and pooled analysis involving 479 patients. J Orthop. 2022; 29: 75-85.

  7. Joseph JR, Okonkwo DO. Evaluation and classification of spinal instability. In: Winn HR, ed. Youmans and Winn neurological surgery. 8th ed. Philadelphia (PA): Elsevier Inc; 2023.

  8. Wang W, Pei B, Wu S, Lu D, He P, Ma C, et al. Biomechanical responses of human lumbar spine and pelvis according to the Roussouly classification. PLoS One. 2022; 17(7): e0266954.

  9. Sobhan MR, Abrisham SM, Vakili M, Shirdel S. Spinopelvic fixation of sacroiliac joint fractures and fracture-dislocations: a clinical 8 years follow-up study. Arch Bone Jt Surg. 2016; 4(4): 381-6.

  10. Cearra I, Alonso R, Martinez-Ogalla D, Hoyos J, Lauzirika A, Mongil R, et al. Sacral fracture with spino-pelvic dissociation: a literature review. Rev Esp Cir Ortop Traumatol. 2013; 57(6): 434-42.

  11. Nguyen JH, Buell TJ, Wang TR, Mullin JP, Mazur MD, Garces J, et al. Low rates of complications after spinopelvic fixation with iliac screws in 260 adult patients with a minimum 2-year follow-up. J Neurosurg Spine. 2019; 30(5): 635-43.

  12. Berk T, Zderic I, Schwarzenberg P, Drenchev L, Skulev HK, Pfeifer R, et al. Antegrade posterior column acetabulum fracture screw fixation via posterior approach: a biomechanical comparative study. Medicina (Kaunas). 2023; 59(7): 1214.

  13. Yang H, Li Z, Hai Y, Pan A, Guan L, Liu Y. Comparison of complications, revisions, spinopelvic parameters, and health-related quality of life after posterior spinal fusion using multiple-rod constructs or two-rod constructs for adult spinal deformity: a systematic review and meta-analysis. Eur Spine J. 2023; 32(10): 3634-50.



AFILIACIONES

1 Escuela de Medicina y Ciencias de la Salud, Instituto Tecnológico y de Estudios Superiores de Monterrey, Campus Guadalajara. Guadalajara, Jalisco, México.

2 Profesor de Cátedra de Ortopedia. Departamento de Cirugía de Pelvis y Politrauma, Unidad Médica de Alta Especialidad del Centro Médico Nacional de Occidente, Instituto Mexicano del Seguro Social. Guadalajara, Jalisco, México. ORCID: 0000-0001-8896-4186

3 Médico pasante de Servicio Social. ORCID: 0009-0002-3858-6337



Consideraciones éticas: el paciente fue informado de su padecimiento y del tratamiento que se tenía que realizar. Todos los procedimientos se realizaron bajo consentimiento informado y con previa conocimiento del paciente. Asimismo, el paciente dio su permiso para la publicación del caso y el uso de sus fotografías.

Conflicto de intereses: no existe conflicto de intereses.



CORRESPONDENCIA

Marco Antonio Altamirano-Cruz. E-mail: marco.altamirano@tec.mx




Recibido: 06-08-2024. Aceptado: 24-09-2024.

Figura 1
Figura 2
Figura 3
Figura 4
Figura 5
Figura 6
Figura 7
Figura 8

2020     |     www.medigraphic.com

Mi perfil

C?MO CITAR (Vancouver)

Acta Ortop Mex. 2025 Sep-Oct;39

ARTíCULOS SIMILARES

CARGANDO ...