medigraphic.com
ENGLISH

Acta Ortopédica Mexicana

ISSN 2992-8036 (Digital)
ISSN 2306-4102 (Impreso)
Órgano Oficial del Colegio Mexicano de Ortopedia y Traumatología
  • Mostrar índice
  • Números disponibles
  • Información
    • Información general        
    • Directorio
  • Publicar
    • Instrucciones para autores        
  • medigraphic.com
    • Inicio
    • Índice de revistas            
    • Registro / Acceso
  • Mi perfil

2025, Número 5

<< Anterior Siguiente >>

Acta Ortop Mex 2025; 39 (5)


Sarcoma fibroblástico mixoinflamatorio persistente: reporte de caso inusual y revisión de la literatura

Ugalde-Fuentes, JG1,2; Alcántara-Ramos, GL1,3
Texto completo Cómo citar este artículo 10.35366/121080

DOI

DOI: 10.35366/121080
URL: https://dx.doi.org/10.35366/121080
Artículos similares

Idioma: Español
Referencias bibliográficas: 17
Paginas: 313-318
Archivo PDF: 406.98 Kb.


PALABRAS CLAVE

sarcoma fibroblástico mixoinflamatorio, inmunohistoquímica, persistente.

RESUMEN

Introducción: el sarcoma fibroblástico mixoinflamatorio es un tipo raro de sarcoma caracterizado por el crecimiento anormal del tejido mesenquimatoso, presenta un comportamiento localmente agresivo, alta tasa de recurrencia y potencial de metástasis. Clínicamente suele presentarse como una masa subcutánea superficial, indolora, aunque en algunos casos puede manifestarse con dolor y limitación de movimiento. Histológicamente se compone de células fusiformes con estroma mixoide y células grandes atípicas con pleomorfismo nuclear marcado similares a células de Reed-Sternberg. Presentación del caso: mujer de 83 años con una lesión en la región anterior de la pierna izquierda. Se realizó protocolo de estudio para tumor musculoesquelético, complementado con una biopsia incisional para análisis histológico e inmunohistoquímico, que permitió realizar el diagnóstico de sarcoma fibroblástico mixoinflamatorio. Se procedió a la resección quirúrgica del tumor, obteniéndose un reporte transoperatorio y definitivo de bordes quirúrgicos negativos. Resultados: la paciente evolucionó de manera favorable recuperando movilidad total. Dada la alta tasa de recurrencia del sarcoma fibroblástico mixoinflamatorio, se mantuvo en seguimiento. Cuatro meses después, se detectaron signos compatibles con una persistencia local, pero la paciente decidió no aceptar el tratamiento propuesto, optándose por continuar únicamente con vigilancia de la lesión. Conclusiones: este caso subraya la importancia de considerar al sarcoma fibroblástico mixoinflamatorio en el diagnóstico diferencial de lesiones musculoesqueléticas, destacando la necesidad de una colaboración multidisciplinaria para un diagnóstico y tratamiento adecuados.



INTRODUCCIóN

El sarcoma fibroblástico mixoinflamatorio es una rara neoplasia de bajo grado que presenta crecimiento anormal del tejido mesenquimatoso, comportamiento localmente agresivo, tendencia a la recurrencia local y, en algunos casos, metástasis.1,2,3,4 Su identificación y caracterización inicial datan de 1998, cuando tres grupos de investigadores independientes lo describieron bajo distintas denominaciones.5 Con el fin de establecer una terminología unificada, la Organización Mundial de la Salud lo incluyó en su clasificación de tumores óseos y de tejidos blandos bajo el término "sarcoma fibroblástico mixoinflamatorio".6

Este tumor afecta principalmente a personas entre la cuarta y quinta décadas de la vida, aunque también se ha descrito en pacientes pediátricos y geriátricos.2,7 No presenta predilección por género y suele localizarse en las regiones acras del cuerpo,1,2,8 aunque se han documentado casos en otras áreas anatómicas.9,10 Su tasa de recurrencia es alta (22-67% de los casos) y entre 2 y 6% pueden metastatizar.1,2,9,11 Su etiopatogenia es desconocida, pero se ha planteado una asociación con infecciones virales o traumatismos locales, sin evidencia concluyente.11

Clínicamente se presenta como una masa subcutánea superficial, por lo general indolora, aunque puede presentarse con dolor, inflamación y limitación de la movilidad.8,10,11 Su tamaño varía desde pocos milímetros hasta 30 centímetros (cm), con un promedio de 3-4 cm.7 Microscópicamente presenta una proliferación de células epitelioides y fusiformes, acompañado de un abundante estroma mixoide e infiltrado inflamatorio. Además, contiene células grandes y atípicas con uno o más nucléolos y pleomorfismo nuclear marcado, lo que puede llevar a confundirlas con células de Reed-Sternberg.1,5,7,8

Entre los marcadores inmunohistoquímicos más relevantes se encuentran CD68, CD34 y la proteína vimentina, debido a que presentan inmunorreactividad positiva en la mayoría de los casos reportados, lo que podría facilitar el diagnóstico.4,9,10 En cuanto a las características imagenológicas, éstas suelen ser inespecíficas, pero en resonancia magnética se presenta, por lo regular, como una masa hipointensa de tejido blando con realce homogéneo en T1, mientras que en T2, STIR y PD se observa como una lesión hiperintensa y heterogénea con áreas focales de hipointensidad.11,12,13 No se ha establecido un protocolo de tratamiento estandarizado, pero en la actualidad, la escisión quirúrgica con márgenes amplios, idealmente negativos, es el tratamiento de elección debido al riesgo potencial de recurrencia y/o metástasis.1,2,7 En los casos en los que no se logra preservar una extremidad funcional o cuando se presentan múltiples recurrencias se puede considerar la amputación como tratamiento de elección.2,3



CASO CLíNICO

Paciente femenino de 83 años con antecedente de traumatismo en pierna izquierda, inflamación en región anterior de tibia izquierda, dolor y aumento de volumen de tipo progresivo tres meses previos a su valoración. A la exploración física se encontró lesión de consistencia blanda de aproximadamente 3 × 2 cm con forma irregular, lobulada y dolor en región anterior de pierna izquierda (Figura 1), por lo que se realizó protocolo de estudio para tumor musculoesquelético.

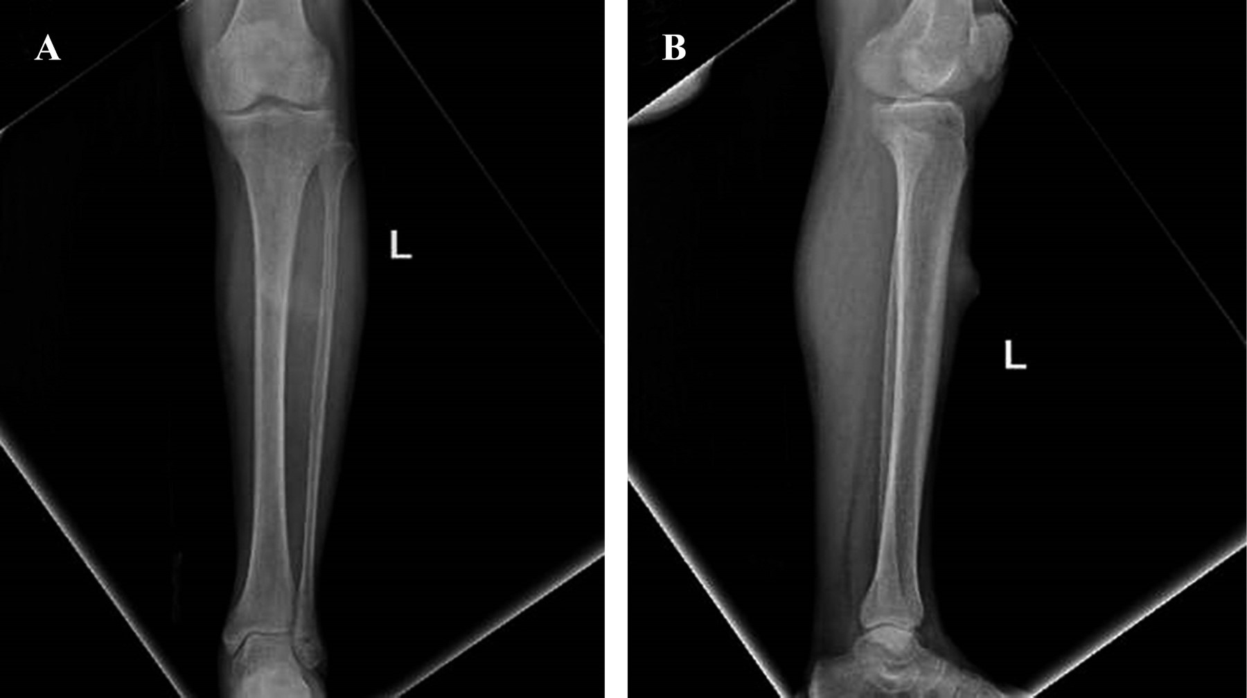
Las radiografías simples mostraron aumento de volumen en tejidos blandos y una lesión radiopaca en región proximal de pierna izquierda (Figura 2). En las imágenes de resonancia magnética se encontró una lesión nodular localizada en piel y tejido celular subcutáneo de la cara anterior del tercio proximal de la pierna izquierda con bordes parcialmente delimitados, lobulados con edema de tejidos blandos adyacentes sin compromiso de la fascia muscular, de comportamiento hipointenso en T1 e hiper/isointenso en T2 y T2 FAT-SAT, con comportamiento heterogéneo de aproximadamente 26 × 27 × 17 mm (Figura 3).

Ante los hallazgos en los estudios de imagen, se complementaron con gammagrafía ósea de tres fases con 99mTc-MDP, la cual reportó flujo y pool sanguíneo incrementados focalmente en tercio medio de pierna izquierda, en relación con la lesión ricamente vascularizada en tejidos blandos e incremento en la actividad osteoblástica en tercio superior y medio de la cara anterior de tibia izquierda (Figura 4).

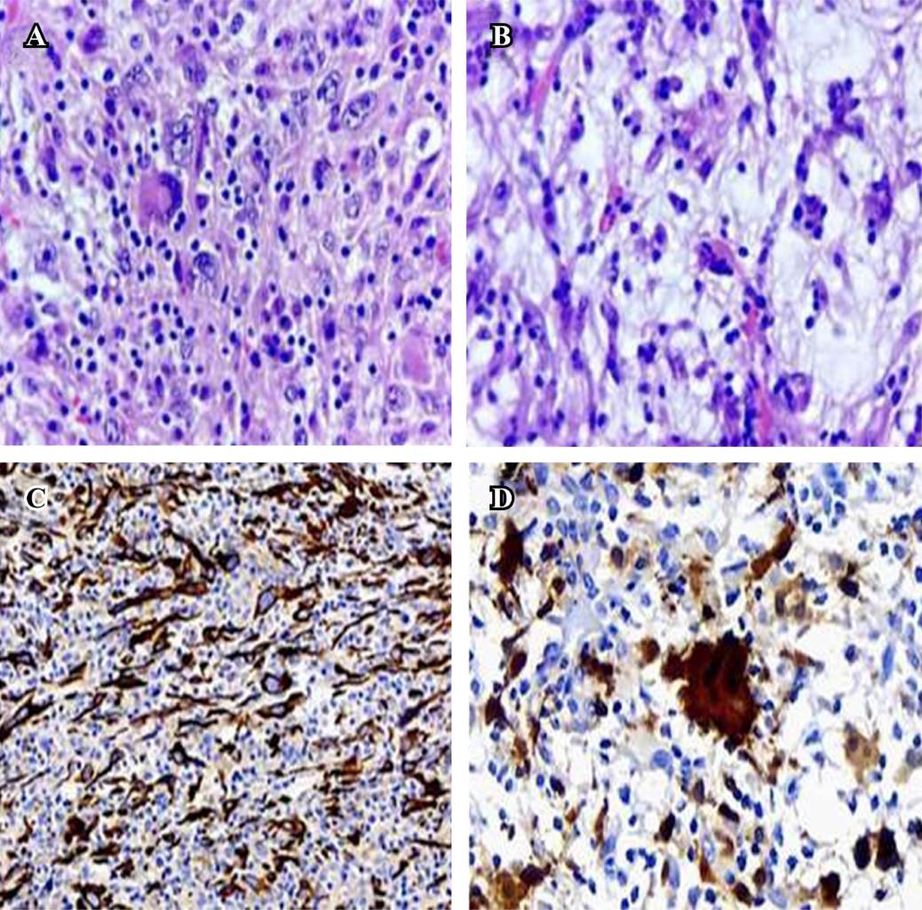
Se realizó una biopsia incisional para el análisis histológico e inmunohistoquímico de la lesión, revelando una neoplasia mesenquimatosa maligna con características celulares y morfológicas consistentes con un sarcoma fibroblástico mixoinflamatorio (Figura 5). En el examen inmunohistoquímico las células tumorales mostraron positividad para desmina y S-100, confirmando el diagnóstico.

Posteriormente, se llevó a cabo la resección quirúrgica del tumor con reporte transoperatorio de bordes quirúrgicos negativos, así como la rotación de un colgajo y la colocación de un autoinjerto para cubrir la zona de la escisión (Figura 6). El reporte final de patología también reportó bordes quirúrgicos negativos.

La paciente mostró una evolución favorable, logrando una adecuada integración del injerto y recuperando movilidad total. Se programaron radiografías de seguimiento, las cuales inicialmente no mostraron anormalidades; sin embargo, cuatro meses posteriores a la resección, la paciente experimentó dolor en la zona previamente afectada y nuevas radiografías mostraron una persistencia local en la pierna izquierda. Se discutió con la paciente la necesidad de una nueva intervención quirúrgica aunado a tratamiento con radioterapia, finalmente la paciente decidió no aceptar el tratamiento. Ante su decisión, se optó por continuar solamente con vigilancia de la lesión.



DISCUSIóN

El sarcoma fibroblástico mixoinflamatorio es un tumor muy raro que normalmente se origina en los tejidos blandos, es localmente agresivo ya que puede infiltrar estructuras adyacentes, tiene una alta tasa de recurrencia y capacidad de generar metástasis.1,2,3,14 Esta neoplasia afecta a ambos sexos por igual, se presenta con mayor frecuencia en personas entre la cuarta y quinta décadas de la vida y tiene una predilección por desarrollarse en los sitios acros del cuerpo; no obstante, se han descrito casos en los que se desarrollan en otras zonas del cuerpo como ingle, espalda, tórax, hombros, cuello, nariz, cuero cabelludo, en maxilares e incluso desarrollo intraarticular.1,2,9,11,15

Nuestro caso tiene la particularidad de presentarse en una paciente octogenaria, lo cual difiere de la mayoría de los casos reportados en la literatura, así como de los estudios de Suster y colaboradores,5 Kumar y su equipo,11 Laskin y colegas,16 y Sakaki y su grupo,17 quienes reportan una edad promedio en pacientes con esta patología de 49.8, 42, 50 y 38 años, respectivamente; además, el sitio anatómico en donde se desarrolló el tumor no es un sitio de localización común en este tipo de sarcomas, ya que éstos se suelen desarrollar con mayor frecuencia en la extremidad superior del cuerpo.5,16

Es importante recordar que la paciente refiere un traumatismo en pierna izquierda tres meses previos a la aparición de la masa tumoral, sin embargo, no podemos afirmar que existe una relación causal entre el traumatismo y el desarrollo del sarcoma fibroblástico mixoinflamatorio, ya que no todas las personas que lo desarrollan tienen este antecedente2,4,9,11,14,16 y, como se mencionó previamente, no se ha demostrado que un traumatismo local sea un factor desencadenante en el desarrollo de estos sarcomas.11

El sarcoma fibroblástico mixoinflamatorio muestra características inespecíficas en la resonancia magnética debido a su amplia variabilidad histológica, lo que puede afectar su apariencia en los estudios de imagen.16 Sin embargo, en nuestro caso, los hallazgos imagenológicos son consistentes con los descritos en otros casos reportados.2,3,4,11,14 En cuanto a las características histológicas, éstas también resultaron concordantes con la mayoría de los casos recopilados en nuestra revisión,2,3,4,5,9,10,11,16 a excepción del caso reportado por Boran y colaboradores, el cual presentó necrosis por coagulación, así como proliferación fibroblástica en el tejido óseo.15

En lo referente a la inmunohistoquímica, observamos particularidades en nuestro caso, ya que difieren con los hallazgos más frecuentes descritos en la literatura; no obstante, existe una pequeña proporción de casos con reactividad positiva a S-100 y desmina.3,4,15,16 Estos hallazgos atípicos podrían ser el resultado de la variabilidad histológica presente en este tipo de neoplasia, la cual puede influir en la expresión variada de los marcadores inmunohistoquímicos, dando como resultado una expresión heterogénea entre los casos.

A pesar de realizar una resección con márgenes negativos existe un riesgo potencial de recidiva y persistencia local, es por ello que la paciente se mantuvo en seguimiento con el fin de detectar y tratar oportunamente cualquier posible recidiva, pero debido a la decisión de la paciente se optó por continuar con vigilancia clínica exclusivamente.



CONCLUSIONES

Este caso destaca la importancia de considerar al sarcoma fibroblástico mixoinflamatorio en el diagnóstico diferencial de lesiones musculoesqueléticas, especialmente en pacientes con presentaciones clínicas atípicas. La colaboración multidisciplinaria entre especialistas en tumores óseos y musculoesqueléticos, imagenología y patología es fundamental para el diagnóstico y tratamiento adecuado de esta entidad poco común.

Hasta ahora, no se ha identificado un perfil inmunohistoquímico característico del sarcoma fibroblástico mixoinflamatorio. Aunque este tipo de estudio es útil, no constituye un método diagnóstico definitivo para esta patología. Por lo tanto, un perfil inmunohistoquímico atípico, como el observado en nuestro caso, no descarta la posibilidad diagnóstica de un sarcoma fibroblástico mixoinflamatorio. Es esencial evaluar de manera integral los hallazgos clínicos, de imagen e histológicos del caso para llegar a una conclusión diagnóstica precisa.


REFERENCIAS (EN ESTE ARTÍCULO)

  1. Lucas DR. Myxoinflammatory fibroblastic sarcoma: Review and update. Arch Pathol Lab Med. 2017; 141(11): 1503-7. Available in: http://dx.doi.org/10.5858/arpa.2017-0219-ra

  2. Sly M, Clark K, Wichelt E, Yehia S, Craib S, Alechko S, et al. Myxoinflammatory fibroblastic soft tissue sarcoma with multiple recurrences, case report of uncommon tumor with challenging diagnosis and review of the literature. SM J Sarcoma Res. 2021; 7(4): 1-4. Available in: https://www.jsmcentral.org/article-info/Myxoinflammatory-Fibroblastic-Soft-Tissue-Sarcoma-with-Multiple-Recurrences-Case-Report-of-Uncommon-Tumor-with-Challenging-Diagnosis-and-Review-of-the-Literature

  3. Jagadesh N, Miller DH, Schenk W, Attia S, Sherman CE, Cortese C, et al. Recurrent myxoinflammatory fibroblastic sarcoma: a case report. Clin Case Rep. 2017; 5(6): 871-5. Available in: http://dx.doi.org/10.1002/ccr3.949

  4. Kato M, Tanaka T, Ohno T. Myxoinflammatory fibroblastic sarcoma: A radiographical, pathological, and immunohistochemical report of rare malignancy. Case Rep Orthop. 2015; 2015: 1-5. Available in: http://dx.doi.org/10.1155/2015/620923

  5. Suster D, Michal M, Huang H, Ronen S, Springborn S, Debiec-Rychter M, et al. Myxoinflammatory fibroblastic sarcoma: an immunohistochemical and molecular genetic study of 73 cases. Mod Pathol. 2020; 33(12): 2520-33. Available in: http://dx.doi.org/10.1038/s41379-020-0580-6

  6. Sbaraglia M, Bellan E, Dei Tos AP. The 2020 WHO classification of soft tissue tumours: news and perspectives. Pathologica. 2021; 113(2): 70-84. doi: 10.32074/1591-951X-213.

  7. Wu H, Laskin WB. Myxoinflammatory fibroblastic sarcoma. Surg Pathol Clin. 2024; 17(1): 83-96.

  8. Nishio J, Nakayama S, Aoki M. Recent advances in the diagnosis, pathogenesis, and management of myxoinflammatory fibroblastic sarcoma. Int J Mol Sci. 2024; 25(2): 1127. doi: 10.3390/ijms25021127.

  9. Srivastava P, Husain N, Neyaz A, Gupta V. Aggressive myxoinflammatory fibroblastic sarcoma with multiple site metastases. BMJ Case Rep. 2018; 2018: bcr2018224259. doi: 10.1136/bcr-2018-224259.

  10. Hassanein AM, Atkinson SP, Al-Quran SZ, Jain SM, Reith JD. Acral myxoinflammatory fibroblastic sarcomas: are they all low-grade neoplasms? J Cutan Pathol. 2008; 35(2): 186-191. doi: 10.1111/j.1600-0560.2007.00789.x.

  11. Kumar R, Lefkowitz RA, Neto AD. Myxoinflammatory fibroblastic sarcoma: clinical, imaging, management and outcome in 29 patients. J Comput Assist Tomogr. 2017; 41(1): 104-115. doi: 10.1097/RCT.0000000000000490.

  12. Martínez-Trufero J, Cruz Jurado J, Gómez-Mateo MC, Bernabeu D, Floría LJ, Lavernia J, et al. Uncommon and peculiar soft tissue sarcomas: Multidisciplinary review and practical recommendations for diagnosis and treatment. Spanish group for Sarcoma research (GEIS - GROUP). Part I. Cancer Treat Rev. 2021; 99: 102259. doi: 10.1016/j.ctrv.2021.102259.

  13. Baheti AD, Tirumani SH, Rosenthal MH, Howard SA, Shinagare AB, Ramaiya NH, et al. Myxoid soft-tissue neoplasms: comprehensive update of the taxonomy and MRI features. AJR Am J Roentgenol. 2015; 204(2): 374-85. doi: 10.2214/AJR.14.12888.

  14. Alhumaidan MI, Bin Makhashen M, Bassas AF, Mater ME, Alsufayan FA, Alfaqeeh FA. Myxoinflammatory fibroblastic sarcoma of the hand. plastic and reconstructive surgery. Global Open. 2023; 11(4): e4934. doi: 10.1097/gox.0000000000004934.

  15. Boran C, Kilitci A, Ahsen H, Y?lmaz F. The first case of myxoinflammatory fibroblastic sarcoma affecting the maxillary bone. Int J Health Sci (Qassim). 2022; 16(2): 37-9.

  16. Laskin WB, Fetsch JF, Miettinen M. Myxoinflammatory fibroblastic sarcoma: a clinicopathologic analysis of 104 cases, with emphasis on predictors of outcome. Am J Surg Pathol. 2014; 38(1): 1-12. doi: 10.1097/PAS.0b013e31829f3d85.

  17. Sakaki M, Hirokawa M, Wakatsuki S, Sano T, Endo K, Fujii Y, et al. Acral myxoinflammatory fibroblastic sarcoma: a report of five cases and review of the literature. Virchows Arch. 2003; 442(1): 25-30. doi: 10.1007/s00428-002-0723-9.



AFILIACIONES

1 Centro Médico Dalinde. Ciudad de México, México.

2 Universidad Autónoma Metropolitana, Unidad Xochimilco. ORCID: 0009-0003-4049-6100

3 Cirujana ortopedista, Subespecialista en Ortopedia Oncológica.



CORRESPONDENCIA

Dr. Jesús Gerardo Ugalde-Fuentes. E-mail: ugaldejg.md@gmail.com




Recibido: 24-08-2024. Aceptado: 04-11-2024.

Figura 1
Figura 2
Figura 3
Figura 4
Figura 5
Figura 6

2020     |     www.medigraphic.com

Mi perfil

C?MO CITAR (Vancouver)

Acta Ortop Mex. 2025 Sep-Oct;39

ARTíCULOS SIMILARES

CARGANDO ...