medigraphic.com
ENGLISH

Acta Ortopédica Mexicana

ISSN 2992-8036 (Digital)
ISSN 2306-4102 (Impreso)
Órgano Oficial del Colegio Mexicano de Ortopedia y Traumatología
  • Mostrar índice
  • Números disponibles
  • Información
    • Información general        
    • Directorio
  • Publicar
    • Instrucciones para autores        
  • medigraphic.com
    • Inicio
    • Índice de revistas            
    • Registro / Acceso
  • Mi perfil

2025, Número 5

<< Anterior Siguiente >>

Acta Ortop Mex 2025; 39 (5)


Secuelas de una lesión aguda de Essex Lopresti: a propósito de un caso

Maroto-Rodríguez R, Pérez-Abad M, Tibau-Alberdi M, Pérez-Prieto A, Ferreres A
Texto completo Cómo citar este artículo 10.35366/121081

DOI

DOI: 10.35366/121081
URL: https://dx.doi.org/10.35366/121081
Artículos similares

Idioma: Ingles.
Referencias bibliográficas: 23
Paginas: 319-325
Archivo PDF: 389.35 Kb.


PALABRAS CLAVE

lesión aguda, secuelas, antebrazo, lesión de Essex-Lopresti, intervención quirúrgica.

RESUMEN

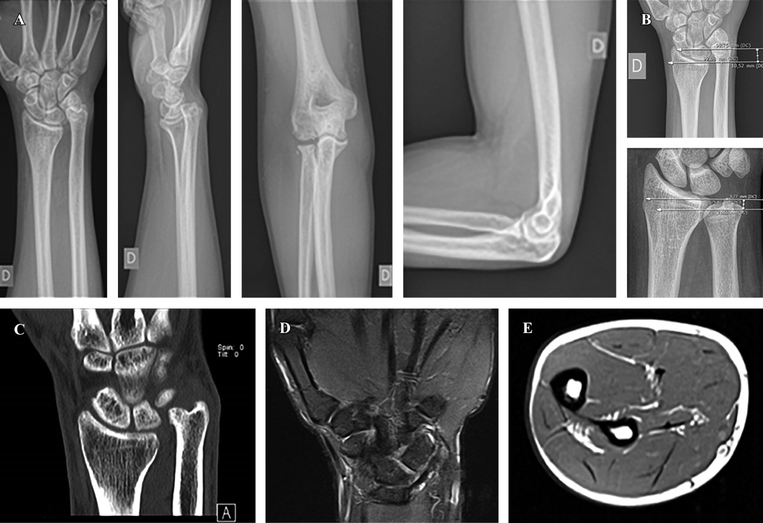
Introducción: el antebrazo puede considerarse como una articulación en sí misma donde interactúan el cúbito y el radio. Está constituida por la articulación radiocubital proximal (ARCP), la membrana interósea (MIO) con la banda medial como componente principal, y la articulación radiocubital distal (ARCD), que incluye el complejo fibrocartílago triangular (CFCT). La lesión de Essex-Lopresti (LEL) es una lesión compleja causada por una carga axial del antebrazo, que conlleva la disociación radiocubital longitudinal y la pérdida de estabilidad debido a la rotura de la MIO, la lesión de la ARCP con la cabeza del radio y lesión de la ARCD por afectación del CFCT. El diagnóstico precoz es crucial ya que el tratamiento de las lesiones crónicas plantea un importante desafío. Objetivo: describir la LEL crónica, revisar la literatura y compartir la experiencia de su tratamiento. Caso clínico: se describe el caso de un varón de 30 años que sufrió un accidente de moto en 2019. Diagnosticado inicialmente de fractura conminuta de cabeza radial derecha, fue tratado inicialmente mediante resección de la misma. El paciente visitó nuestro centro en 2023, la exploración clínica mostró dolor en muñeca y una protrusión dorsal de cúbito reductible pero inestable, sin dolor ni limitación de movimiento en el codo y antebrazo. Las pruebas complementarias, radiología simple y RMN, mostraron una varianza cubital positiva, una subluxación dorsal del cúbito a nivel de la muñeca y una lesión del CFCT, sin evidencia de ruptura aguda de la MIO. Se llevó a cabo un examen bajo anestesia y una evaluación fluoroscópica para examinar la estabilidad y el rango de movimiento del codo y la ARCD, así como la estabilidad longitudinal del antebrazo mediante tracción. Al no observarse inestabilidad longitudinal, se realizó una osteotomía de acortamiento del cúbito de 10 mm y se fijó con una placa y tornillos. De forma artroscópica, se observó la desinserción del CFCT y se reinsertó mediante una modificación de la técnica de Mantovani. Se inmovilizó con una férula de Münster. A los seis meses de seguimiento, tiene un EVA de 0 en codo y muñeca, y una flexión dorso/volar de 80º/80º, y un déficit de supinación/pronación de 10o/10o. Conclusiones: la LEL es una patología infrecuente pero desafiante para el cirujano. Las opciones terapéuticas incluyen diversas intervenciones quirúrgicas, siendo el acortamiento del cúbito con reparación del CFCT una opción viable en casos crónicos sin inestabilidad longitudinal.


REFERENCIAS (EN ESTE ARTÍCULO)

  1. Fontana M, Cavallo M, Bettelli G, Rotini R. Diagnosis and treatment of acute Essex-Lopresti injury: focus on terminology and review of literature. BMC Musculoskelet Disord. 2018; 19(1): 312.

  2. Masouros PT, Apergis EP, Babis GC, Pernientakis SS, Igoumenou VG, Mavrogenis AF, et al. Essex-Lopresti injuries: an update. EFORT Open Rev. 2019; 4(4): 143-150.

  3. Matson A, Ruch D. Management of the Essex-Lopresti Injury. J Wrist Surg. 2016; 5(3): 172-178.

  4. Essex-Lopresti P. Fractures of the radial head with distal radio–ulnardislocation: report of two cases. J Bone Joint Surg Br. 1951; 33B(2): 244-247.

  5. Adams JE, Culp RW, Osterman AL. Interosseous membrane reconstruction for the Essex-Lopresti injury. J Hand Surg Am. 2010; 35(1): 129-136. doi: 10.1016/j.jhsa.2009.10.007

  6. Hotchkiss RN, An KN, Sowa DT, Basta S, Weiland AJ. An anatomic and mechanical study of the interosseous membrane of the forearm: Pathomechanics of proximal migration of the radius. J Hand Surg Am. 1989; 14(2 Pt 1): 256-261. doi: 10.1016/0363-5023(89)90017-8

  7. Edwards GS Jr JJ. Radial head fractures with acute distal radioulnar dislocation. Essex-Lopresti revisited. Clin Orthop Relat Res. 1988; 234: 61-69.

  8. Venouziou AI, Papatheodorou LK, Weiser RW, Sotereanos DG. Chronic Essex-Lopresti injuries: an alternative treatment method. J Shoulder Elb Surg. 2014; 23(6): 861-866. doi: 10.1016/j.jse.2014.01.043

  9. Bigazzi P, Marenghi L, Biondi M, Zucchini M, Ceruso M. Surgical treatment of chronic Essex-Lopresti lesion: interosseous membrane reconstruction and radial head prosthesis. Tech Hand Up Extrem Surg. 2017; 21(1): 2-7.

  10. Artiaco S, Fusini F, Colzani G, Massé A, Battiston B. Chronic Essex-Lopresti injury: a systematic review of current treatment options. Int Orthop. 2019; 43(6): 1413-1420.

  11. Stabile KJ, Pfaeffle HJ TM. The Essex-Lopresti fracture dislocation factors in early management and salvage alternatives. Hand Clin 2002; 18(1): 195-204.

  12. Tejwani SG, Markolf KL BP. Graft reconstruction of the interosseous membrane in conjunction with metallic radial head replacement: a cadaveric study. J Hand Surg Am. 2005; 30(2): 335-342.

  13. Skahen JR III, Palmer AK,Werner FW FM. Reconstruction of the interosseous membrane of the forearm in cadavers. J Hand Surg Am. 1997; 22(6): 986-994.

  14. Pfaeffle HJ, Stabile KJ, Li ZM, Tomaino MM. Reconstruction of the interosseous ligament restores normal forearm compressive load transfer in cadavers. J Hand Surg Am. 2005; 30(2): 319-325.

  15. Tomaino MM, Pfaeffle J, Stabile K, Li ZM. Reconstruction of the interosseous ligament of the forearm reduces load on the radial head in cadavers. J Hand Surg Br. 2003; 28(3): 267-270.

  16. Marcotte AL, Osterman AL. Longitudinal radioulnar dissociation: identification and treatment of acute and chronic injuries. Hand Clin. 2007; 23(2): 195-208.

  17. Chloros GD, Wiesler ER, Stabile KJ, Papadonikolakis A, Ruch DS, Kuzma GR. Reconstruction of essex-lopresti injury of the forearm: technical note. J Hand Surg Am. 2008; 33(1): 124-130.

  18. Stabile KJ, Pfaeffle J, Saris I, Li ZM, Tomaino MM. Structural properties of reconstruction constructs for the interosseous ligament of the forearm. J Hand Surg Am. 2005; 30(2): 312-318.

  19. Soubeyrand M, Oberlin C, Dumontier C, Belkheyar Z, Lafont C, Degeorges R. Ligamentoplasty of the forearm interosseous membrane using the semitendinosus tendon: anatomical study and surgical procedure. Surg Radiol Anat. 2006; 28(3): 300-307.

  20. Sellman DC, Seitz WH Jr, Postak PD, Greenwald AS. Reconstructive strategies for radioulnar dissociation: a biomechanical study. J Orthop Trauma. 1995; 9(6): 516-522.

  21. Sabo MT, Watts AC. Reconstructing the interosseous membrane: a technique using synthetic graft and endobuttons. Tech Hand Up Extrem Surg. 2012; 16(4): 187-193.

  22. Trousdale RT, Amadio PC, Cooney WP, Morrey BF. Radio-ulnar dissociation. A review of twenty cases. J Bone Joint Surg Am. 1992; 74(10): 1486-1497.

  23. Farr LD, Werner FW, McGrattan ML, Zwerling SR HB. Anatomy and biomechanics of the forearm interosseous membrane. J Hand Surg Am. 2015; 40(6): 1145-1151.e2.




Figura 1
Figura 2
Figura 3
Figura 4
Figura 5
Tabla 1

2020     |     www.medigraphic.com

Mi perfil

C?MO CITAR (Vancouver)

Acta Ortop Mex. 2025 Sep-Oct;39

ARTíCULOS SIMILARES

CARGANDO ...