medigraphic.com
ENGLISH

Acta Médica Grupo Ángeles

Órgano Oficial del Hospital Ángeles Health System
  • Mostrar índice
  • Números disponibles
  • Información
    • Información general        
    • Directorio
  • Publicar
    • Instrucciones para autores        
    • Envío de artículos
    • Políticas
    • Nombre y afiliación del Comité Editorial
  • Nosotros
    • Plan de gestión e intercambio de datos
    • Objetivos declarados y alcance
  • medigraphic.com
    • Inicio
    • Índice de revistas            
    • Registro / Acceso
  • Mi perfil

2025, Número 5

<< Anterior Siguiente >>

Acta Med 2025; 23 (5)


Prevalencia de variantes anatómicas rinosinusales de interés clínico-quirúrgico, identificadas por tomografía computada en población adulta del Hospital Angeles Mocel

Trigos de la Concha, Carlo Héctor1; González Vergara, Carolina2
Texto completo Cómo citar este artículo 10.35366/121180

DOI

DOI: 10.35366/121180
URL: https://dx.doi.org/10.35366/121180
Artículos similares

Idioma: Español
Referencias bibliográficas: 12
Paginas: 439-445
Archivo PDF: 402.84 Kb.


PALABRAS CLAVE

variantes anatómicas, senos paranasales, tomografía computada de alta resolución, CLOSE, cirugía funcional de senos paranasales .

RESUMEN

Introducción: con la tomografía computada de alta resolución (TCAR) se ha logrado una mejor caracterización de una región compleja como lo son las fosas nasales y senos paranasales, con la finalidad de complementar el protocolo prequirúrgico de cirugía funcional de senos paranasales (CEFS). Objetivo: la prevalencia reportada en estudios recientes va encaminada a las variantes anatómicas con repercusión clínica; sin embargo, es poco lo que se describe respecto a las variantes involucradas en el abordaje endoscópico funcional y drenaje sinusal, que corresponde a las variables de interés en este estudio. Material y métodos: se realizó un estudio retrospectivo, transversal y descriptivo en pacientes dentro de protocolo prequirúrgico para CEFS en un hospital privado, analizando 200 estudios tomográficos realizados en el transcurso de un año. Resultados: se describió y analizó la prevalencia de variantes anatómicas y clasificaciones relevantes de acuerdo al algoritmo "CLOSE" de la Sociedad Radiológica de Norteamérica (RSNA). Conclusión: la valoración preoperatoria por tomografía axial computarizada (TAC) ha permitido disminuir la incidencia de complicaciones postquirúrgicas, por lo que es imperativo conocer las definiciones y prevalencia de las principales variantes anatómicas rinosinusales con el objetivo de realizar un reporte estructurado comprensible entre las especialidades involucradas en el abordaje diagnóstico y terapéutico.



ABREVIATURAS:

  • CEFS = cirugía endoscópica funcional de senos paranasales
  • LCR = líquido cefalorraquídeo
  • TCAR = tomografía computada de alta resolución
  • RSNA = Radiological Society of North America (Sociedad Radiológica de Norteamérica)
  • CLOSE = Acrónimo de : Cribriform plate, Lamina papyracea, Onodi cell, Sphenoid sinus pneumatization, and (anterior) Ethmoidal artery (lámina Cribiforme, Lámina papirácea, celdilla de Onodi, neumatización del Seno esfenoidal y arteria Etmoidal anterior)



INTRODUCCIóN

La rinosinusitis entendida como la inflamación sintomática de la mucosa de la nariz y senos paranasales afecta aproximadamente de 10 a 40% de la población en el ámbito mundial.1 En México, la prevalencia se modifica según el Estado de la República, periodo estacionario, grupo de edad y sexo, factores que influyen en la severidad y refractariedad al manejo médico.

El estudio de los senos paranasales comenzó desde inicios del siglo XX, sin embargo, en años recientes gracias a los avances en cirugía endoscópica funcional de senos paranasales (CEFS) y la tomografía computada de alta resolución (TCAR) que permite una valoración preoperatoria detallada de una región pequeña, compleja y variable, se ha logrado individualizar y mejorar el tratamiento de la patología rinosinusal y disminuir así sus complicaciones.

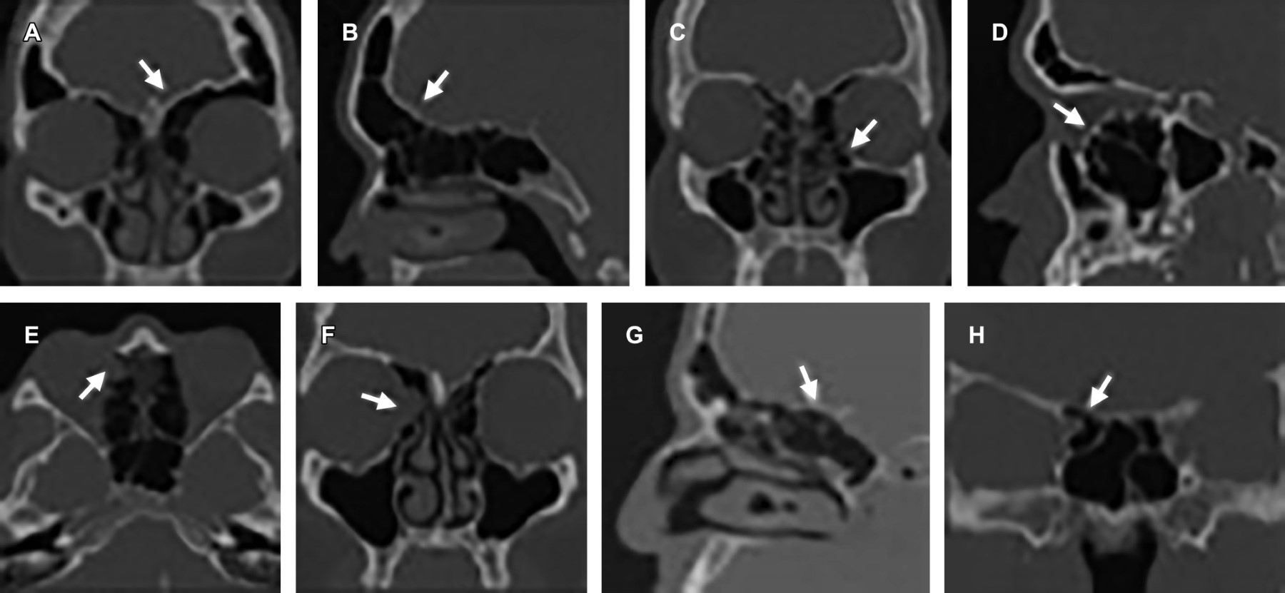
El objetivo principal de la CEFS es el receso frontal y el complejo osteomeatal, que constituye la vía de drenaje principal para los senos maxilares, celdillas etmoidales anteriores y senos frontales.2,3 Sin embargo, múltiples estructuras conforman las fosas nasales y senos paranasales que en conjunto constituyen una unidad funcional compleja desde el punto de vista anatómico y funcional (Figura 1).

En sus inicios hacia el año de 1980, la incidencia de complicaciones mayores como lesión del nervio óptico, fístulas de líquido cefalorraquídeo (LCR), meningitis, lesión carotídea, lesión orbitaria y lesión del conducto nasolagrimal era de aproximadamente 8%. Conforme se perfeccionó la técnica quirúrgica y de la mano de la TCAR como protocolo prequirúrgico,2 se logró una disminución en la incidencia de las mismas, actualmente con una incidencia de complicaciones quirúrgicas mayores entre 0.36-1.3%.4,5

Una adecuada descripción de las variantes anatómicas y la relación que tienen con estructuras involucradas en el abordaje endoscópico funcional y drenaje sinusal, permite al cirujano eludir posibles complicaciones. No obstante, constituye un reto diagnóstico tanto identificar como discernir entre las variantes que tienen implicaciones clínicas y quirúrgicas, para así poder realizar un informe radiológico estructurado que beneficie tanto al paciente como a los implicados en su salud.

En 2016 la Sociedad Radiológica de Norteamérica (RSNA por sus siglas en inglés) propuso el acrónimo CLOSE en consenso con otorrinolaringólogos, donde se describen múltiples elementos que hay que evaluar y reportar.3 Con base en esto, se propuso describir e identificar la prevalencia de las variantes anatómicas rinosinusales en una muestra representativa de población mexicana para así poder familiarizarnos y llegar a un consenso entre especialidades médicas en lo que respecta a los hallazgos tomográficos de interés en la valoración prequirúrgica de CEFS.



MATERIAL Y MéTODOS

Previa aprobación del comité de ética institucional, se realizó un estudio retrospectivo, transversal y descriptivo en pacientes dentro de protocolo prequirúrgico de cirugía endoscópica funcional de nariz y senos paranasales de un hospital privado, a los que se les realizó TCAR de nariz y senos paranasales desde el mes de marzo del año 2022 hasta el mes de diciembre del año 2023, con tomógrafo SOMATOM Go de Siemens® de 64 cortes. Se evaluaron 200 estudios, realizando adquisiciones axiales y reconstrucciones multiplanares de 0.6 mm de grosor en ventana ósea desde el borde superior de los senos frontales hasta el borde inferior de los senos maxilares.

Cada protocolo se evaluó a través del sistema Vue PACS Carestream© 2014, por dos médicos radiólogos en diferentes periodos de tiempo. Los casos en los que existiera discordancia interobservador, fueron reevaluados hasta llegar a un consenso.

Para un universo de 9'210,000 de personas en la Ciudad de México, con un nivel de confianza de 95% y un margen de error de 7%, el tamaño de muestra fue de 200 pacientes (calculado mediante QuestionPro©), de los cuales 86 eran hombres y 114 mujeres, con un rango de edad de 18 a 68 años. Los criterios de exclusión fueron: antecedente de procedimiento quirúrgico o traumatismo que involucre nariz y senos paranasales y ocupación significativa de las cavidades que impidiera la correcta caracterización de las mismas.

La información obtenida (nombre, edad, fecha de nacimiento, fecha de examen, médico que solicita el estudio, etcétera) se mantuvo en anonimato y confidencialidad. El procesamiento de la información se realizó en una base de datos Excel de Microsoft®.

Para el análisis estadístico, las variables cualitativas se expresaron en frecuencia y porcentaje (%), con respuestas dicotómicas (presencia o ausencia) y clasificadas según la escala correspondiente referida en la bibliografía.



RESULTADOS

Se revisaron 200 estudios tomográficos con protocolo de nariz y senos paranasales en fase simple, de los cuales 86 fueron pacientes del sexo masculino (43%) y 114 pacientes del sexo femenino (57%). La edad media fue de 40 años con mínima de 18 y máxima de 68 años (desviación estándar de 12.8).

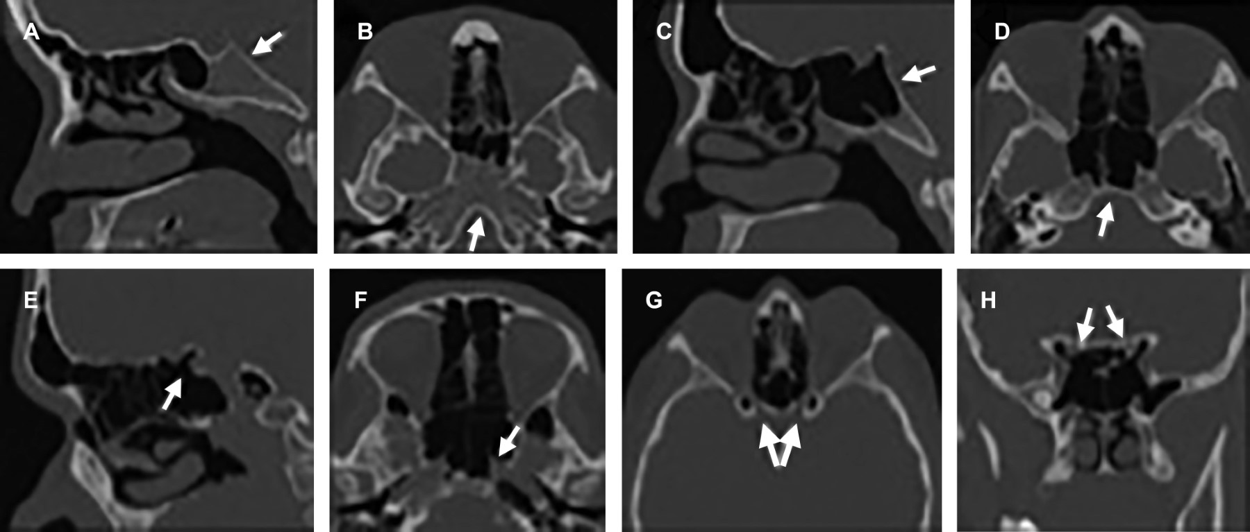
Para la profundidad de la fosa olfatoria, definida como relación vertical entre la lámina cribosa y techo etmoidal, se utilizó la clasificación de Keros (Figura 2). El más frecuentemente visualizado fue el tipo 2 con 59%, luego tipo 3 20% y por último el tipo 1 en 21%.

Para las variantes anatómicas que involucran el proceso uncinado, la atelectasia o contacto con la pared orbitaria no fue identificado en ninguno de los pacientes; sin embargo, la neumatización del mismo se observó en 7% (Figura 2).

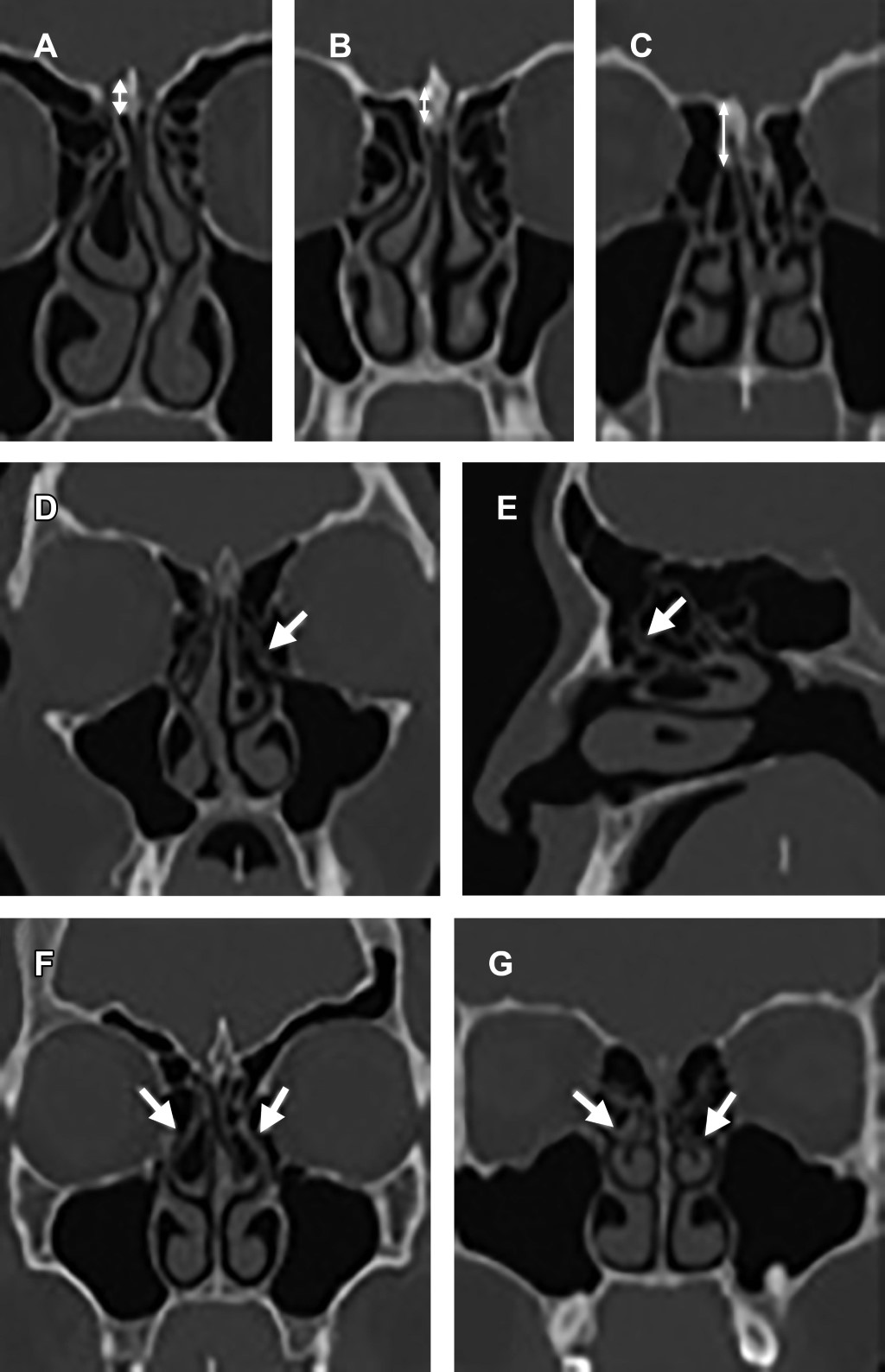
En cuanto a la conformación de las celdillas etmoidales, la neumatización supraorbitaria (superior a la hendidura etmoidal) se encontraba presente en 46% de los pacientes estudiados, mientras que la neumatización adyacente al ostium del antro maxilar y a lo largo del piso de la órbita (celdillas infraorbitarias o de Haller) se observó en 10% (Figura 3). La celdilla de Onodi, definida como celdilla etmoidal posterior que se extiende al margen superior y lateral del seno esfenoidal, se visualizó en 12% de los estudios (Figura 3). La celdilla de agger nasi comprende la neumatización del dorso nasal, anterior a la inserción del cornete medio y corresponde a la variante estudiada más frecuentemente encontrada en hasta 95% (Figura 1).

La desviación de la lámina papirácea y estructuras de la órbita hacia el seno etmoidal entendida como prolapso orbitario se encontró en apenas 2% de los pacientes (Figura 3).

Para el patrón de neumatización del seno esfenoidal se utilizó la clasificación Hamberger donde en el tipo conchal existe una disminución en la neumatización que condiciona un margen grueso entre seno esfenoidal y silla turca, en el tipo preselar la neumatización se extiende hasta el margen anterior de la silla turca y en el tipo selar se observa una neumatización que se extiende posteroinferior a la silla turca que condiciona un margen fino respecto al clivus.2 El tipo conchal no se identificó en la muestra de estudios visualizados y el tipo selar fue el más comúnmente encontrado con 72% de estudios, el cual se asoció a dehiscencia del canal carotídeo en 1.3% y nervio óptico en 11.1% (Figura 4).

Se identificó neumatización de cornete medio (a nivel del bulbo, lamela o ambas) en 60% al menos de forma unilateral. El giro paradójico de cornete medio, en el que la convexidad se proyecta hacia la línea media, se observó en 68% de los estudios al menos de forma unilateral (Figura 2).



DISCUSIóN

La población estudiada fue representada por pacientes femeninos en 57% y masculinos en 43%, con edad media similar a la descrita en diferentes estudios (entre 35 y 40 años). Si bien existe una amplia variedad de variantes anatómicas rinosinusales y su implicación aislada como factor de riesgo en la fisiopatología de la rinosinusitis es controversial y fuera del objetivo de esta revisión, el médico radiólogo tiene que estar familiarizado principalmente con las que estén implicadas en el abordaje de cirugía endoscópica funcional por la tendencia a solicitar el estudio tomográfico como valoración prequirúrgica.

La epidemiología descrita en la población mexicana para estas variantes anatómicas en las diferentes publicaciones va encaminada a pacientes con rinosinusitis aguda o crónica y omite algunas que tienen repercusión directa sobre la incidencia de complicaciones quirúrgicas menores y mayores. Por ello, nos dimos a la tarea de describir y obtener la prevalencia de variantes en nuestra población.

La profundidad de fosa olfatoria (equivalente a la longitud de la lamela lateral), comprende tres tipos de acuerdo a la clasificación de Keros según la relación vertical entre la lámina cribosa y techo etmoidal medida en plano coronal.2 Se estima que la prevalencia en población general para el tipo 1 es de 30%, tipo 2 de 49% y tipo 3 de 21%, similar a lo encontrado en los estudios, siendo de 21, 59 y 20% respectivamente. Los tipos 1 y 3 presentan mayor riesgo de lesión iatrogénica, destacando meningitis, fístula de LCR y encefalocele, por comunicación de compartimento intracraneal a cavidades sinusales.2,3 Por lo que, en conjunto, los tipos 1 y 3 corresponden a 41% de los pacientes.

La orientación lateral del proceso uncinado en contacto con la pared orbitaria puede aumentar el riesgo de lesión de la pared medial de la órbita durante la uncinectomía, y el grado de neumatización puede disminuir la amplitud del infundíbulo. Una manipulación inadecuada supone fractura de lámina papirácea o cribosa que condicionaría trastornos olfatorios o fístulas de LCR.6 Si bien no se logró identificar atelectasia de proceso uncinado, la neumatización se identificó en 7% de los pacientes estudiados, mientras que en la población general se observa en aproximadamente 4%.2,7

La neumatización supraortbitaria descrita como neumatización de celdillas etmoidales por arriba de la hendidura etmoidal predispone a lesión de la arteria etmoidal anterior (rama de la arteria oftálmica), en los casos en los que ésta viaje libre dentro del seno etmoidal, presentándose en aproximadamente 26-35% de la población general2,8 y 46% de la población estudiada. Esta variación se pudiera asociar a la manera de cuantificar su presencia de forma unilateral o bilateral en pacientes individuales, cuestión que no fue apartada en el presente estudio. Su lesión condiciona un hematoma retroorbitario por retracción del vaso al seccionarlo de forma inadvertida.

Las celdillas etmoidales infraorbitarias, también conocidas como "celdillas de Haller", se describen como celdillas etmoidales que se proyectan por debajo de la bulla etmoidal a lo largo del piso orbitario, identificada en 10% de nuestra población y descrita en población general entre 3 y 20%,7,9 variación probablemente secundaria a diferencias conceptuales. Cuando no se identifican y resecan durante el procedimiento quirúrgico pueden condicionar fracaso de la antrostomía maxilar.6

Las celdillas esfenoetmoidales o "celdillas de Onodi" son celdillas etmoidales posteriores que se extienden posterosuperior respecto a la pared anterior del seno esfenoidal, condicionando que se modifique el trayecto de arteria carótida interna y nervio óptico y predisponiéndolas a lesiones inadvertidas durante el procedimiento quirúrgico. Se identificaron 24 pacientes en nuestra población (12%), similar a lo reportado en la literatura (8 a 14%).6,10

La celdilla etmoidal más anterior, que se extiende anteriormente en el hueso lacrimal, también recibe el nombre de "celdilla de agger nasi". Superior a la misma, se puede identificar diverso número y grado de neumatización de celdillas frontoetmoidales. Su relevancia radica en que provee un acceso quirúrgico al ostium primario del seno frontal y su resección permite permeabilizar el drenaje, en los casos en los que exista patología del mismo. Wormald y colaboradores mencionan y validan la clasificación de "International Frontal Sinus Anatomy Classification (IFAC)" para describir las variantes anatómicas de la región frontal previo a cirugía endoscópica funcional,11 para con ello disminuir la necesidad de reintervención o persistencia de sintomatología. Se identifican en aproximadamente 3 a 100% de los pacientes, margen amplio a causa de su definición operacional.6,12 En nuestra población se utilizó el concepto anteriormente mencionado, identificándolas en 95% de los estudios. Por ello es imperativo no sólo reconocerlas, sino profundizar en la descripción del grado de neumatización y relación respecto al ostium de drenaje del seno frontal en el reporte tomográfico.

La lámina papirácea es un fino recubrimiento de hueso etmoidal que constituye la pared medial de la órbita. En ocasiones, se visualiza una desviación medial que condiciona prolapso de contenido graso o componentes orbitarios hacia las celdillas, mismo que confiere riesgo de penetración orbitaria durante el procedimiento quirúrgico. Se identificó en apenas cuatro pacientes (2%) que no contaban con antecedente quirúrgico, haciendo mención que su dehiscencia se visualiza con mayor frecuencia en pacientes postoperados.

Para el patrón de neumatización del seno esfenoidal, se utilizó la clasificación de Hamberger, que utiliza los límites anatómicos de la silla turca y clivus para referir tres tipos. Conchal, margen grueso entre el seno esfenoidal y silla turca. Preselar, neumatización hasta el margen anterior de la silla turca, y selar, neumatización que se extiende inferoposterior a la silla turca y condiciona un margen delgado con el clivus. El patrón selar se identificó en 72% de los estudios, mismo que confiere riesgo de perforación y comunicación con estructuras intracraneales durante el procedimiento quirúrgico. De igual forma, este patrón de neumatización se relaciona íntimamente con dehiscencia del canal carotídeo y nervio óptico, visualizado en 1.3 y 11% respectivamente que confiere riesgo de lesión inadvertida en su trayecto.10,12

Los cornetes medios presentan una gran variedad de variantes anatómicas. En población general, se identifica su neumatización en aproximadamente 15-35% según el segmento involucrado (lamelar, bulbar o ambas). El giro paradójico se observa en 3 a 30% de los pacientes. Para este estudio se consideró como presente la neumatización de cualquier segmento del cornete al menos de forma unilateral. El giro paradójico se definió como convexidad de orientación medial, considerándose presente al menos de forma unilateral. Fueron visualizadas en 40 y 32% de los pacientes respectivamente.



CONCLUSIóN

Los avances de la CEFS para manejo de rinosinusitis refractaria a tratamiento médico y progreso en la resolución tomográfica para la valoración prequirúrgica de un área pequeña con alto grado de complejidad como lo son las fosas nasales y senos paranasales, obligan a que todo médico radiólogo esté familiarizado con las diferentes variantes anatómicas que tienen implicaciones tanto en el abordaje endoscópico inicial como en el drenaje sinusal.

Es imprescindible la valoración por TCAR en el protocolo prequirúrgico como lo muestra la disminución en la incidencia de complicaciones postquirúrgicas reportada.

Existe una escasa cantidad de artículos que reportan prevalencia de las variantes anatómicas rinosinusales en nuestra población, por lo que es conveniente continuar y ampliar el estudio y caracterización de éstas, para poder realizar un informe estructurado que sea útil y comprensible entre las especialidades involucradas en su abordaje diagnóstico y terapéutico.


REFERENCIAS (EN ESTE ARTÍCULO)

  1. Mancilla-Hernández E, Barnica R, González-Solórzano E, Peregrina JA, Zecua-Nájera Y, Soberanes-Rivas GA et al. Prevalencia de rinitis alérgica y factores asociados en estudiantes mexicanos. Un estudio multicéntrico. Rev Alerg Méx. 2021; 68 (2): 101-111. Disponible en: https://www.scielo.org.mx/scielo.php?script=sci_arttext&pid=S2448-91902021000200101

  2. Vaid S, Vaid N. Normal anatomy and anatomic variants of the paranasal sinuses on computed tomography. Neuroimaging Clin N Am. 2015; 25 (4): 527-548. Available in: https://pubmed.ncbi.nlm.nih.gov/26476378/

  3. O'Brien WT Sr, Hamelin S, Weitzel EK. The preoperative sinus CT: avoiding a "CLOSE" call with surgical complications. Radiology. 2016; 281 (1): 10-21. Available in: http://dx.doi.org/10.1148/radiol.2016152230.

  4. Beale TJ, Madani G, Morley SJ. Imaging of the paranasal sinuses and nasal cavity: normal anatomy and clinically relevant anatomical variants. Semin Ultrasound CT MR. 2009; 30 (1): 2-16. Available in: https://www.sciencedirect.com/science/article/pii/S0887217108000954

  5. González TO, Hidalgo GA, Cintra CY. Manejo de las complicaciones durante la cirugía endoscópica nasosinusal. Rev Cubana Cir. 2023; 62 (1): e1467. Disponible en: http://scielo.sld.cu/scielo.php?script=sci_arttext&pid=S0034-74932023000100011&lng=en. Epub Sep 15, 2023

  6. Tramontini JC, Moreno SAC, Mora SJA, Ordóñez OLE. Variantes anatómicas de los senos paranasales: hallazgos por imagen y relevancia quirúrgica. Rev Médica Sanitas. 2015; 18 (1): 39-43. Disponible en: revistas.unisanitas.edu.co/index.php/rms/article/view/391

  7. Baqueiro-Achach A, Waizel-Haiat S. Análisis de las variantes anatómicas rinosinusales encontradas en pacientes con rinosinusitis crónica sometidos a cirugía funcional de nariz y senos paranasales. An Med Asoc Med Hosp ABC. 2019; 64 (4): 241-247. Disponible en: http://dx.doi.org/10.35366/bc194b

  8. Farhan N, Naqvi SU, Rasheed B, Sattar A, Khan M, Rahim A et al. Identification of significant anatomical variations in the nose and anterior skull base using computed tomography: a cross-sectional study. Cureus. 2020; 12 (6): e8449. Available in: http://dx.doi.org/10.7759/cureus.8449

  9. Devaraja K, Doreswamy SM, Pujary K, Ramaswamy B, Pillai S. Anatomical variations of the nose and paranasal sinuses: a computed tomographic study. Indian J Otolaryngol Head Neck Surg. 2019; 71 (Suppl 3): 2231-2240. Available in: http://dx.doi.org/10.1007/s12070-019-01716-9

  10. De Grazia KJA, Miranda GG, Walker JK, Aguirre SV. Prevaléncia de variantes anatómicas naso-sinusales: importancia en el informe radiológico y en la cirugía endoscópica funcional. Rev Chil Radiol. 2014; 20 (1): 5-12. Disponible en: http://dx.doi.org/10.4067/s0717-93082014000100003

  11. Wormald PJ, Hoseman W, Callejas C, Weber RK, Kennedy DW, Citardi MJ et al. The international frontal sinus anatomy classification (IFAC) and classification of the extent of endoscopic frontal sinus surgery (EFSS). Int Forum Allergy Rhinol. 2016; 6 (7): 677-696. Available in: http://dx.doi.org/10.1002/alr.21738.

  12. Nautiyal A, Narayanan A, Mitra D, Honnegowda TM, Sivakumar. Computed tomographic study of remarkable anatomic variations in paranasal sinus region and their clinical importance - a retrospective study. Ann Maxillofac Surg. 2020; 10 (2): 422-428. Available in: http://dx.doi.org/10.4103/ams.ams_192_19



AFILIACIONES

1 Departamento de Radiología e Imagen, Facultad Mexicana de Medicina, Universidad La Salle. Hospital Angeles Mocel. Ciudad de México, México. ORCID: 0009-0005-0998-4645

2 Departamento de Radiología e Imagen. Hospital Angeles Mocel. Ciudad de México, México. ORCID: 0000-0002-6264-5926



Si desea consultar los datos complementarios de este artículo, favor de dirigirse a editorial.actamedica@saludangeles.mx



CORRESPONDENCIA

Carlo Héctor Trigos de la Concha. Correo electrónico: carlotdlc@gmail.com




Recibido: 12-08-2024. Aceptado: 19-09-2024.

Figura 1
Figura 2
Figura 3
Figura 4
Tabla 1

2020     |     www.medigraphic.com

Mi perfil

C?MO CITAR (Vancouver)

Acta Med. 2025;23

ARTíCULOS SIMILARES

CARGANDO ...