medigraphic.com
ENGLISH

Acta Médica Grupo Ángeles

Órgano Oficial del Hospital Ángeles Health System
  • Mostrar índice
  • Números disponibles
  • Información
    • Información general        
    • Directorio
  • Publicar
    • Instrucciones para autores        
    • Envío de artículos
    • Políticas
    • Nombre y afiliación del Comité Editorial
  • Nosotros
    • Plan de gestión e intercambio de datos
    • Objetivos declarados y alcance
  • medigraphic.com
    • Inicio
    • Índice de revistas            
    • Registro / Acceso
  • Mi perfil

2025, Número 5

<< Anterior Siguiente >>

Acta Med 2025; 23 (5)


Hepatocarcinoma roto: experiencia en el manejo complementario

Gallardo Navarro, Elias1; Melchor Ruan, Javier2
Texto completo Cómo citar este artículo 10.35366/121183

DOI

DOI: 10.35366/121183
URL: https://dx.doi.org/10.35366/121183
Artículos similares

Idioma: Español
Referencias bibliográficas: 5
Paginas: 454-456
Archivo PDF: 222.62 Kb.


PALABRAS CLAVE

hepatocarcinoma, ruptura espontánea, abdomen agudo, hemoperitoneo, TACE.

RESUMEN

El riesgo de ruptura espontánea tumoral de un hepatocarcinoma con hemorragia intraperitoneal es un padecimiento potencialmente mortal, y el primer manejo médico debe ser la estabilidad hemodinámica del paciente; sin embargo, el tratamiento definitivo se reserva al manejo oncológico. Presentamos el caso del tratamiento complementario multidisciplinario oncológico tras ruptura de hepatocarcinoma, con un abordaje complementario en la institución, de manera que primero se comenzó con quimioembolización transarterial (TACE) y posteriormente con segmentectomía. Por lo tanto, consideramos de interés aportar nuestra experiencia en el manejo diagnóstico y terapéutico en el paciente con antecedente de hepatocarcinoma roto.



INTRODUCCIóN

El hepatocarcinoma es el tumor maligno más común del hígado, con casi 800,000 muertes cada año, la edad varía entre 44 y 68 años. Actualmente, la incidencia de hemorragia intraperitoneal ha ido en aumento, alcanzando hasta el 10-15%, lo que conlleva una alta tasa de mortalidad del 50%, esto demuestra que no es una complicación rara.1,2 La gravedad de esta enfermedad se relaciona con factores que pueden comprometer el pronóstico del paciente, como hepatopatía crónica, extensión peritoneal de la afectación tumoral y la respuesta a la cirugía citorreductora.3,4



PRESENTACIóN DEL CASO

Se trata de paciente masculino de 61 años, quien en el año 2013 presentó síncope y dolor abdominal brusco en hipocondrio derecho, por lo que acudió a un hospital externo, donde se diagnosticó abdomen agudo y choque hipovolémico, se intervino quirúrgicamente con laparotomía exploratoria en la cual se observó tumoración hepática en segmento V y hemoperitoneo de 4,500 mL, por lo que se decidió realizar resección en cuña. El reporte histopatológico fue carcinoma hepatocelular, con límite parenquimatoso con invasión a la cápsula de Glisson e invasión vascular presente, motivo de envío a esta unidad para manejo definitivo.

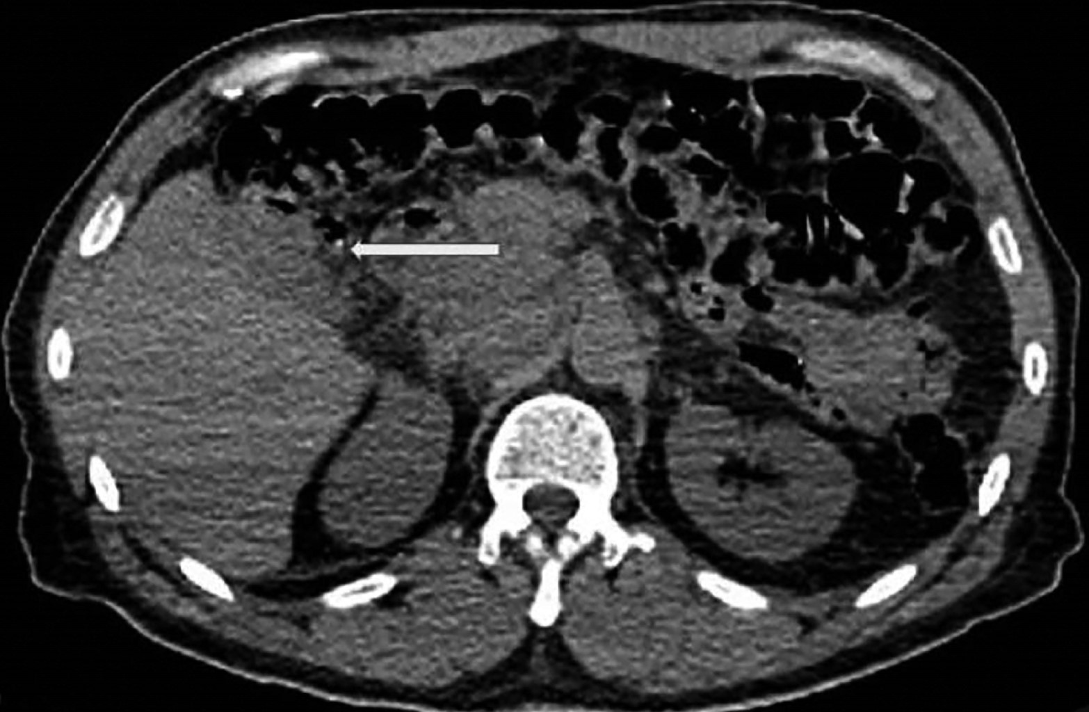
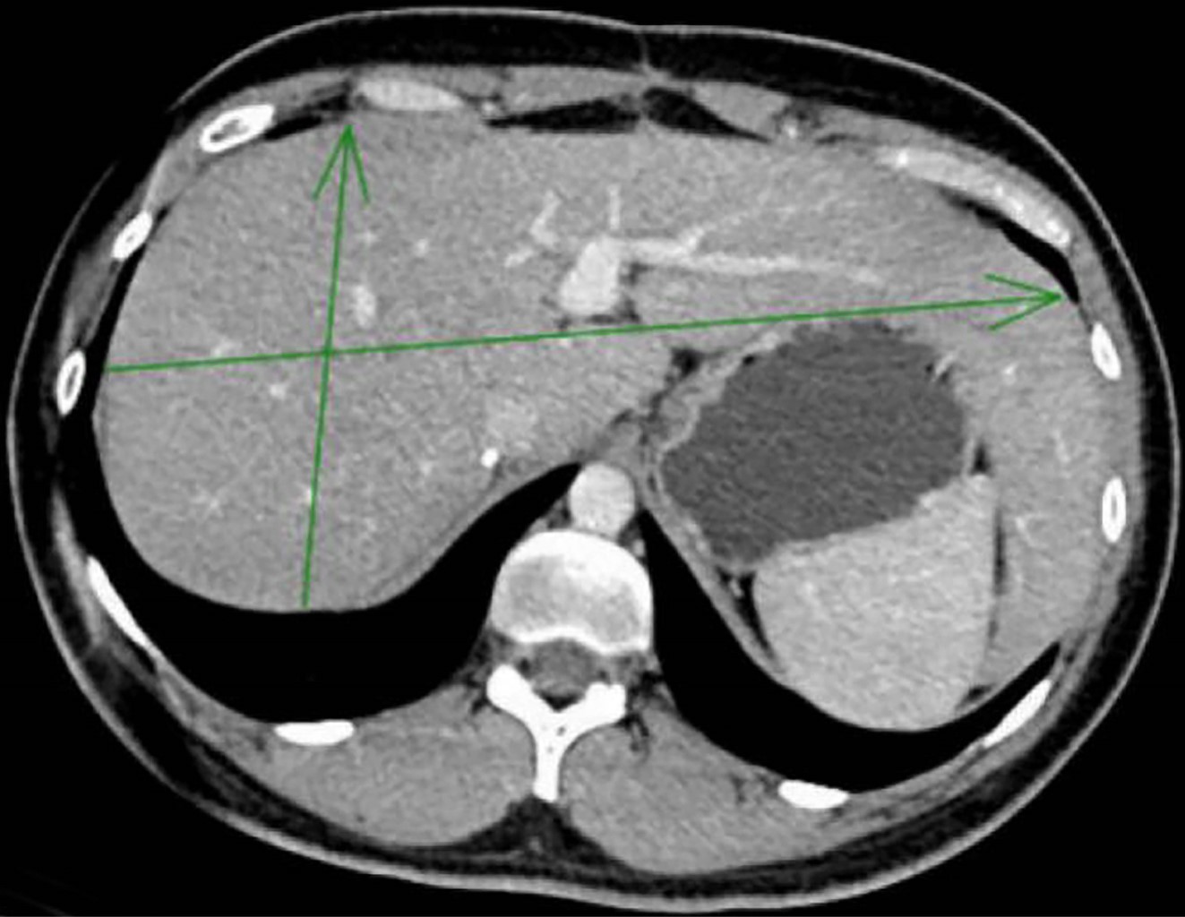
A la exploración física, el paciente se encontró en buenas condiciones generales, se propuso segmentectomía V-IVB; sin embargo, por antecedente de infarto agudo de miocardio se sometió a quimioembolización transarterial (TACE), después se solicitó una tomografía axial computarizada (TAC) con presencia de lesión hipodensa mal definida en segmento V (Figuras 1 y 2), por lo que es sometido a colecistectomía y resección de segmento V y VI, con reporte de carcinoma hepatocelular moderadamente diferenciado con patrón trabecular y sólido focal, sin células neoplásicas en el lecho quirúrgico. Al presentar metástasis peritoneales dentro de su seguimiento, se decidió su adyuvancia con quimioterapia, el paciente mostró adecuada respuesta al disminuir las metástasis peritoneales 10 años después. En la actualidad, el paciente sigue vivo en adecuadas condiciones clínicas.



DISCUSIóN

El mecanismo de ruptura espontánea aún no se conoce con exactitud, sin embargo, el diámetro superior a 5 cm es un factor de riesgo, así como tumores que sobresalen a más de 1 cm de la superficie del hígado. La relación de la disfunción vascular provoca que los vasos sanguíneos se formen rígidos y débiles, esto puede explicar la propensión a romperse de manera espontánea en circunstancias que involucren un aumento abrupto de volumen sanguíneo.2,4 La presentación clínica es el dolor abdominal agudo, que puede acompañarse de distensión abdominal, vómitos o repercusión hemodinámica.3,5 En cuanto al manejo, primero es la estabilización hemodinámica, posteriormente se recomienda la embolización seguida de cirugía programada. Nuestro paciente desarrolló metástasis peritoneal meses después de la rotura espontánea, el tiempo que transcurrió desde la ruptura hasta la documentación de la metástasis peritoneal es similar a la literatura, sin embargo, aún no se conoce la relación entre el tumor metastásico y los factores de riesgo.4,5



CONCLUSIóN

La rotura espontánea del carcinoma hepatocelular (CHC) es un padecimiento que compromete la vida del paciente, siendo la estabilidad hemodinámica el primer manejo médico, y posteriormente dar un tratamiento oncológico definitivo.


REFERENCIAS (EN ESTE ARTÍCULO)

  1. Xia F, Ndhlovu E, Zhang M, Chen X, Zhang B, Zhu P. Ruptured hepatocellular carcinoma: current status of research. Front Oncol. 2022; 12: 848903. doi: 10.3389/fonc.2022.848903.

  2. Marini P, Vilgrain V, Belghiti J. Management of spontaneous rupture of liver tumours. Dig Surg. 2002; 19 (2): 109-113.

  3. Ding JH, Chua TC, Al-Mohaimeed K, Morris DL. Hepatocellular carcinoma peritoneal metastases: report of three cases and collective review of the literature. Ann Acad Med Singap. 2010; 39 (9): 734-737.

  4. Lai EC, Lau WY. Spontaneous rupture of hepatocellular carcinoma: a systematic review. Arch Surg. 2006; 141 (2): 191-198. doi: 10.1001/archsurg.141.2.191.

  5. Schiappacasse-Faúndes G, Díaz-Araneda I, Vargas-Hudson P, Vivanco-Lacalle M, Rencoret-Palma G. Hematocele y hemoperitoneo como manifestación inicial de carcinoma hepatocelular: caso clínico. Rev Méd Chile. 2021; 149 (4): 635-640.



AFILIACIONES

1 Residente de tercer año de Cirugía General, Hospital Español. Ciudad de México. ORCID: 0000-0003-3183-9872

2 Jefe del Departamento de Tumores Gastrointestinales, Instituto Nacional de Cancerología. Ciudad de México. ORCID:0000-0001-5915-2103



Si desea consultar los datos complementarios de este artículo, favor de dirigirse a editorial.actamedica@saludangeles.mx



CORRESPONDENCIA

Elías Gallardo Navarro. Correo electrónico: gallardo18@gmail.com




Recibido: 12-07-2024. Aceptado: 08-09-2024.

Figura 1
Figura 2

2020     |     www.medigraphic.com

Mi perfil

C?MO CITAR (Vancouver)

Acta Med. 2025;23

ARTíCULOS SIMILARES

CARGANDO ...