medigraphic.com
ENGLISH

Acta Médica Grupo Ángeles

Órgano Oficial del Hospital Ángeles Health System
  • Mostrar índice
  • Números disponibles
  • Información
    • Información general        
    • Directorio
  • Publicar
    • Instrucciones para autores        
    • Envío de artículos
    • Políticas
    • Nombre y afiliación del Comité Editorial
  • Nosotros
    • Plan de gestión e intercambio de datos
    • Objetivos declarados y alcance
  • medigraphic.com
    • Inicio
    • Índice de revistas            
    • Registro / Acceso
  • Mi perfil

2025, Número 5

<< Anterior Siguiente >>

Acta Med 2025; 23 (5)


Aneurisma venoso periférico

Mendoza Romo Ramírez, Miguel Ángel1; Sáenz Talavera, Ricardo2
Texto completo Cómo citar este artículo 10.35366/121182

DOI

DOI: 10.35366/121182
URL: https://dx.doi.org/10.35366/121182
Artículos similares

Idioma: Español
Referencias bibliográficas: 4
Paginas: 451-453
Archivo PDF: 234.99 Kb.


PALABRAS CLAVE

aneurisma venoso, aneurisma de extremidad inferior, aneurismorrafia.

RESUMEN

Los aneurismas venosos son la dilatación de dos a tres veces mayor diámetro de la vena normal circundante, son raros y generalmente asintomáticos excepto cuando se presenta una ruptura, se pueden clasificar en primarios o secundarios. El diagnóstico se realiza mediante exploración física y la confirmación diagnóstica mediante ecografía dúplex, tomografía computarizada o resonancia magnética. El tratamiento de los aneurismas venosos depende de sus características y ubicación; este caso contribuye a la literatura para la introducción de algoritmos terapéuticos más precisos.



INTRODUCCIóN

En general, los aneurismas venosos se pueden definir como un área de dilatación de dos a tres veces la vena normal circundante.1 Los aneurismas venosos son raros y se han presentado en todas las venas del cuerpo; sin embargo, se hace énfasis en la presentación clínica de aneurisma venoso periférico. Por lo general son asintomáticos, excepto cuando se presentan en una ruptura y se pueden clasificar en primarios (debido a una patología congénita) que predispongan a la debilidad en la pared venosa, por ejemplo, Klippel-Trenaunay, o secundarios (adquiridos) por traumatismos o estrés mecánico por mencionar algunos.2 Las complicaciones incluyen trombosis, embolización, ruptura o efectos de masa locales con o sin edema.

El diagnóstico puede realizarse mediante exploración física y la confirmación diagnóstica mediante ecografía dúplex, tomografía computarizada o resonancia magnética. El tratamiento de los aneurismas venosos se realiza individualmente desde manejo conservador para aneurismas pequeños y/o asintomáticos o tratamiento quirúrgico de los aneurismas grandes o asociados con complicaciones, consiste en aneurismectomía tangencial, resección del aneurisma con anastomosis primaria, resección del aneurisma con injerto de interposición o ligadura del segmento venoso afectado. No existe un tratamiento endovascular estándarizado.3



PRESENTACIóN DEL CASO

Mujer de 43 años, menonita, con antecedente patológico de obesidad e insuficiencia venosa crónica. Antecedente quirúrgico de histerectomía hace cuatro años, que posteriormente inició aumento de volumen en región inguinal, progresivo, fluctuante, cursando asintomática, hasta cinco días antes de su primera consulta, donde se presenta con induración de región inguinal, dolor a la deambulación y eritema localizado.

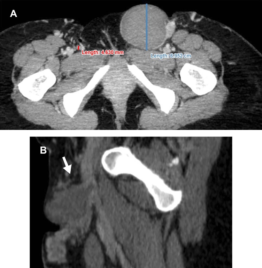
A la inspección se observan trayectos varicosos trombosados en segmento correspondiente de safena accesoria anterior. Angiotomografía con hallazgo de aneurisma venoso de 6.9 cm diámetro mayor, dependiente de safena mayor en su Union Safeno Femoral (USF), con relación a 4 mm de safena mayor contralateral (Figura 1).

En el momento de la consulta se inicia anticoagulación hasta antes de su cirugía, se protocoliza quirúrgicamente por diámetro y riesgo de tromboembolia pulmonar realizando aneurismectomía tangencial con cierre primario, corroborando permeabilidad de vena femoral (Figura 2). La paciente egresa con anticoagulante a dosis profiláctica durante cuatro días, ya que el trombo se localizó sólo hasta USF sin extensión a sistema profundo, sin complicaciones durante el periodo postquirúrgico y citas de control sin complicaciones.



DISCUSIóN

El término aneurisma proviene del griego "?νε?ρυσμα", que significa "dilatación". Un aneurisma venoso es una dilatación anormal de una vena. Se desconoce la prevalencia de la enfermedad venosa por aneurisma de las extremidades inferiores, descrita por primera vez por May y Nissl en 1968, sólo se han publicado informes de casos y series pequeñas. Una reciente serie alemana de 39 casos informó que la prevalencia de aneurismas venosos en extremidad inferior era de 0.06% entre los pacientes con algún trastorno venoso.4 Ocurre por debilidades en la pared venosa, cambios degenerativos, aumento de la presión venosa y factores genéticos. Muchos son asintomáticos y se descubren incidentalmente, pero pueden causar edema, dolor, trombosis o compresión de estructuras adyacentes. Su diagnóstico se realiza por ecografía Doppler, tomografía computarizada o resonancia magnética. Las complicaciones incluyen trombosis, embolia pulmonar y rotura.



CONCLUSIONES

El caso manifiesta factores de riesgo por aumento de la presión venosa y datos clínicos de dolor localizado adyacente a sitio de aneurisma confirmado mediante tomografía; con el presente reporte se contribuye al conocimiento y comprensión de esta condición poco frecuente, sobre todo por la diversidad de manifestaciones clínicas y la importancia del diagnóstico temprano para la educación y con esto evitar las complicaciones asociadas. Se propone la divulgación para reportar experiencias que contribuyan a los algoritmos terapéuticos.


REFERENCIAS (EN ESTE ARTÍCULO)

  1. Gillespie DL, Villavicencio JL, Gallagher C, Chang A, Hamelink JK, Fiala LA et al. Presentation and management of venous aneurysms. J Vasc Surg. 1997; 26 (5): 845-852.

  2. Davila V, Money S. Venous aneurysms and their management. In: Sidawy A Perler BA, Rutherford's vascular surgery and endovascular therapy, 9th (eds), New York, EUA, Elsevier, Inc.; 2022, pp. 2195-2199.

  3. Román GE, Ruiz MH, Nolasco RAL, Hernández QJM, Jiménez LMÁ, Soto CJM et al. Aneurisma venoso subdiagnosticado como hernia femoral asociado a tromboembolismo pulmonar y revisión de la literatura. Rev Mex Angiol. 2011; 39 (4): 160-163.

  4. Patel R, Hanish S, Baril D, Woo K, Lawrence P. Contemporary management of lower extremity venous aneurysms. J Vasc Surg Venous Lymphat Disord. 2019; 7 (6): 860-864.



AFILIACIONES

1 Residente de Angiología rotante en Hospital Angeles Chihuahua, México. ORCID: 0000-0001-7595-9265

2 Angiólogo adjunto en Hospital Angeles Cuauhtémoc, Chihuahua, México.



Si desea consultar los datos complementarios de este artículo, favor de dirigirse a editorial.actamedica@saludangeles.mx



CORRESPONDENCIA

Miguel Ángel Mendoza Romo Ramírez. Correo electrónico: miguelmerz575@gmail.com




Recibido: 12-07-2024. Aceptado: 26-07-2024.

Figura 1
Figura 2

2020     |     www.medigraphic.com

Mi perfil

C?MO CITAR (Vancouver)

Acta Med. 2025;23

ARTíCULOS SIMILARES

CARGANDO ...