medigraphic.com
ENGLISH

Cirugía Cardiaca en México

ISSN 2448-5640 (Impreso)
Diario Oficial de la Sociedad Mexicana de Cirugía Cardiaca, A.C., y del Colegio Mexicano de Cirugía Cardiovascular y Torácica, A.C.
  • Mostrar índice
  • Números disponibles
  • Información
    • Información general        
    • Directorio
  • Publicar
    • Instrucciones para autores        
    • Envío de artículos
  • medigraphic.com
    • Inicio
    • Índice de revistas            
    • Registro / Acceso
  • Mi perfil

2025, Número 4

<< Anterior Siguiente >>

Cir Card Mex 2025; 10 (4)


Timoma tipo A resecado quirúrgicamente mediante timectomía de mínima invasión

Jiménez-González RJ, Ogaz-Escarpita MC, Guillén-Ramírez RM, Marmolejo-Rivera R, García-Villarreal OA
Texto completo Cómo citar este artículo 10.35366/121362

DOI

DOI: 10.35366/121362
URL: https://dx.doi.org/10.35366/121362
Artículos similares

Idioma: Ingles.
Referencias bibliográficas: 16
Paginas: 138-141
Archivo PDF: 1037.83 Kb.


PALABRAS CLAVE

mediastino, procedimientos quirúrgicos mínimamente invasivos, neoplasias torácicas, procedimientos quirúrgicos torácicos, toracoscopia, timoma.

RESUMEN

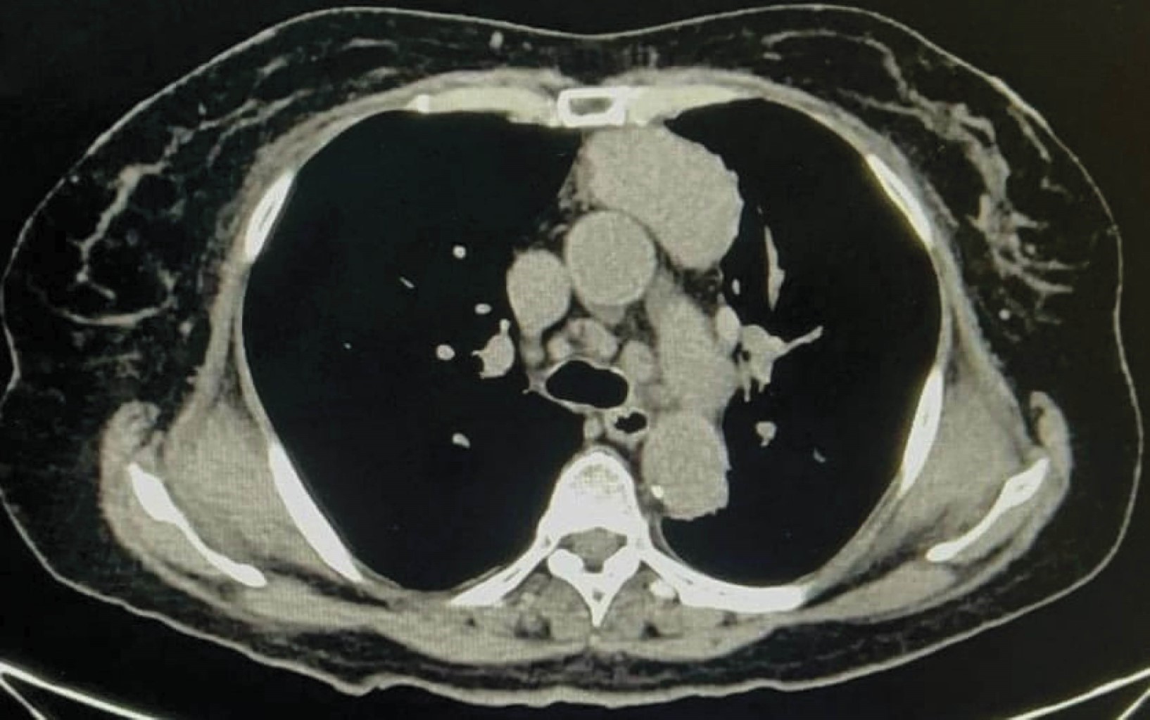
El timoma es el tumor mediastínico más común y consiste en una neoplasia de las células epiteliales del timo. Provoca síntomas compresivos locales como efecto de una masa en el cuello. La cirugía es el tratamiento principal. Recientemente, se han propuesto abordajes mínimamente invasivos asistidos por toracoscopia. Estos abordajes se caracterizan por estancias hospitalarias más cortas, bajas tasas de morbilidad y buenos resultados estéticos. Sin embargo, es importante individualizar el mejor tipo de abordaje para cada paciente, destacando la importancia de la resección quirúrgica completa en el manejo de estos tumores.


REFERENCIAS (EN ESTE ARTÍCULO)

  1. Hamid UI, Jones JM. Mediastinal mass. BMJ Case Rep. 2010;2010:bcr1120092471. doi: 10.1136/bcr.11.2009.2471.

  2. Almeida PT, Heller D. Anterior mediastinal mass. 2024 Apr 19. In: StatPearls [Internet]. Treasure Island (FL): StatPearls Publishing; 2025 Jan–. PMID: 31536215. Last access: 12 June, 2025. Available in: http://www.ncbi.nlm.nih.gov/books/NBK546608/

  3. Páramo Lovera AA, Lezama Urtecho CA. Thymoma: experience and results in a tertiary care center. Estud Perspect Rev Científica Académica. 2024;4(2):2452-2463. doi: 10.61384/r.c.a..v4i2.385.

  4. Santillán-Doherty P, del Campo GLAM. Neoplasias epiteliales del timo. Cir Gen. 2010;32(Suppl: 1):75-77.

  5. Lara Mejía LA, Heredia Vázquez DJ, Arrieta O, Maldonado Magos F, Lozano Ruiz FJ, Corona Cruz JF. Oncoguía de neoplasias del timo 2023. Lat Am J Clin Sci Med Technol. 2024;6(1):80-85. doi: 10.34141/LJCS4683615.

  6. Alqaidy D. Thymoma: an overview. Diagnostics. 2023;13(18):2982. doi: 10.3390/diagnostics13182982.

  7. Shelly S, Agmon-Levin N, Altman A, Shoenfeld Y. Thymoma and autoimmunity. Cell Mol Immunol. 2011;8(3):199-202. doi: 10.1038/cmi.2010.74.

  8. Marx A, Chan JKC, Chalabreysse L, et al. The 2021 WHO Classification of tumors of the thymus and mediastinum: what is new in thymic epithelial, germ cell, and mesenchymal tumors? J Thorac Oncol. 2022;17(2):200-213. doi: 10.1016/j.jtho.2021.10.010.

  9. Jans BJ, González LR. Results of minimally invasive (video-assisted) thoracic surgery in the treatment of myasthenia gravis. Rev Chil Cir. 2013;65(1):64-72. doi: 10.4067/S0718-40262013000100013.

  10. Palafox D, Palafox J. Usefulness of thoracoscopic thymectomy in myasthenia gravis. Rev Med Hosp Gen Méx. 2012;75(1):9-13.

  11. Gurowich L, Maxwell A, Rice A, Yiin G. Post-thymectomy myasthenia gravis: a case report and systematic review of literature. BMJ Case Rep. 2021;14(12):e246005. doi: 10.1136/bcr-2021-246005.

  12. Cap M, Erdogan E, Akyüz A, Kanbal Cap N, Erdur E. Progressive pulmonary stenosis due to huge mediastinal thymoma. Anatol J Cardiol. 2021;25(7):E28-E29. doi: 10.5152/AnatolJCardiol.2021.11069.

  13. Qin L, Wang F, Chen L, Li T, Wang G, Zhou N. Rare, atypical type a thymoma: a case report and literature review. Diagn Pathol. 2024;19(1):145. doi:10.1186/s13000-024-01565-3.

  14. Den Bakker MA, Roden AC, Marx A, Marino M. Histologic classification of thymoma: a practical guide for routine cases. J Thorac Oncol. 2014;9(9):S125-S130. doi: 10.1097/JTO.0000000000000297.

  15. Ricciardi R, Melfi F, Maestri M, et al. Endoscopic thymectomy: a neurologist's perspective. Ann Cardiothorac Surg. 2016;5(1):38-44. doi: 10.3978/j.issn.2225-319X.2015.12.02.

  16. Shimomura M, Ishihara S, Okada S, Inoue M. Robotic subxiphoid-optical thymectomy. Interact Cardiovasc Thorac Surg. 2022;35(2):ivac104. doi: 10.1093/icvts/ivac104.




Figura 1
Figura 2
Figura 3

2020     |     www.medigraphic.com

Mi perfil

C?MO CITAR (Vancouver)

Cir Card Mex. 2025;10

ARTíCULOS SIMILARES

CARGANDO ...