medigraphic.com
ENGLISH

Cirugía Cardiaca en México

ISSN 2448-5640 (Impreso)
Diario Oficial de la Sociedad Mexicana de Cirugía Cardiaca, A.C., y del Colegio Mexicano de Cirugía Cardiovascular y Torácica, A.C.
  • Mostrar índice
  • Números disponibles
  • Información
    • Información general        
    • Directorio
  • Publicar
    • Instrucciones para autores        
    • Envío de artículos
  • medigraphic.com
    • Inicio
    • Índice de revistas            
    • Registro / Acceso
  • Mi perfil

2025, Número 4

<< Anterior Siguiente >>

Cir Card Mex 2025; 10 (4)


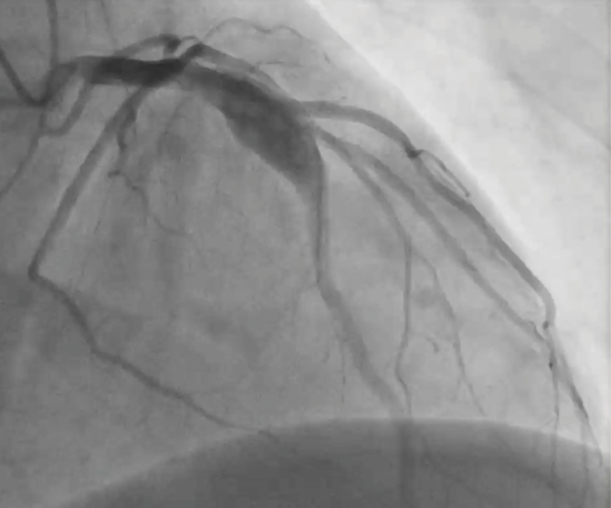
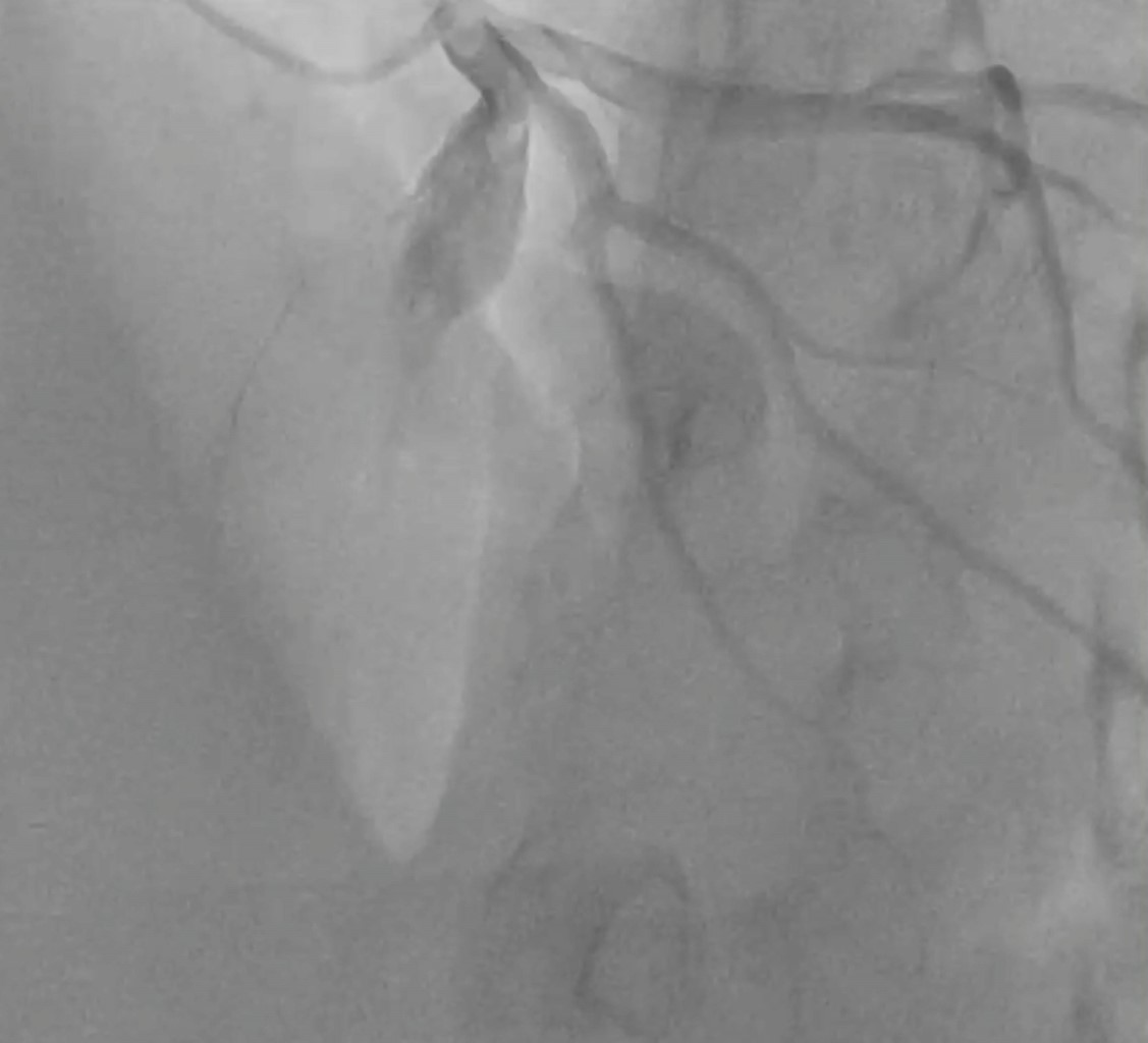
Aneurisma coronario: hallazgo incidental

Guzmán-Salgado JA, Ramírez J, Meza-Carmona J, Hernández-Rendón E, Tarelo-Saucedo JM, Ortega-Romo EE
Texto completo Cómo citar este artículo 10.35366/121361

DOI

DOI: 10.35366/121361
URL: https://dx.doi.org/10.35366/121361
Artículos similares

Idioma: Ingles.
Referencias bibliográficas: 6
Paginas: 134-137
Archivo PDF: 1129.44 Kb.


PALABRAS CLAVE

cirugía de aneurisma, aneurisma de las arterias coronarias, ectasia de las arterias coronarias, revascularización coronaria, intervención percutánea coronaria, angina inestable.

RESUMEN

El aneurisma de la arteria coronaria es una entidad rara en la población general. Presentamos el caso de un paciente masculino de 51 años con angina inestable, en quien se identificó un aneurisma de la arteria coronaria descendente anterior durante la intervención coronaria percutánea. El tratamiento quirúrgico consistió en ligadura, resección y revascularización coronaria, logrando una recuperación satisfactoria y siendo dado de alta cinco días después. La cirugía aneurismática es fundamental en el tratamiento de aneurismas verdaderos, especialmente en pacientes sintomáticos, como medida preventiva y óptima.


REFERENCIAS (EN ESTE ARTÍCULO)

  1. Kawsara A, Núñez Gil IJ, Alqahtani F, Moreland J, Rihal CS, Alkhouli M. Management of coronary artery aneurysms. JACC Cardiovasc Interv. 2018;11(13):1211-1223. doi: 10.1016/j.jcin.2018.02.041.

  2. Abou Sherif S, Ozden Tok O, Taskoylü O, Goktekin O, Kilic ID. Coronary artery aneurysms: a review of the epidemiology, pathophysiology, diagnosis, and treatment. Front Cardiovasc Med. 2017; 4: 24. doi: 10.3389/fcvm.2017.00024.

  3. Singh SK, Goyal T, Sethi R, Chandra S, Devenraj V, Rajput NK, et al. Surgical treatment for coronary artery aneurysm: a single-centre experience. Interact Cardiovasc Thorac Surg. 2013;17(4):632-636. doi: 10.1093/icvts/ivt282.

  4. Zhu X, Zhou Q, Tong S, Zhou Y. Challenges and strategies in the management of coronary artery aneurysms. Hellenic J Cardiol. 2021;62(2):112-120. doi: 10.1016/j.hjc.2020.09.004.

  5. Kawsara A, Núñez Gil IJ, Alqahtani F, Moreland J, Rihal CS, Alkhouli M. Management of coronary artery aneurysms. JACC Cardiovasc Interv. 2018;11(13):1211-1223. doi: 10.1016/j.jcin.2018.02.041.

  6. Rosen JL, Vemuri S, Rame JE, Rajapreyar IN, Bermudez CA, Plestis KA, et al. Left main coronary artery aneurysm surgical treatment by "no-touch" technique with concomitant left ventricular assist device. Ann Thorac Surg Short Rep. 2023;2(1):44-47. doi: 10.1016/j.atssr.2023.11.020.




Figura 1
Figura 2
Figura 3
Figura 4

2020     |     www.medigraphic.com

Mi perfil

C?MO CITAR (Vancouver)

Cir Card Mex. 2025;10

ARTíCULOS SIMILARES

CARGANDO ...