medigraphic.com
ENGLISH

Cardiovascular and Metabolic Science

ISSN 2954-3835 (Digital)
ISSN 2683-2828 (Impreso)
Antes Revista Mexicana de Cardiología

Ver Revista Mexicana de Cardiología


  • Mostrar índice
  • Números disponibles
  • Información
    • Información general        
    • Directorio
  • Publicar
    • Instrucciones para autores        
    • Envío de artículos
  • medigraphic.com
    • Inicio
    • Índice de revistas            
    • Registro / Acceso
  • Mi perfil

2025, Número 3

<< Anterior Siguiente >>

Cardiovasc Metab Sci 2025; 36 (3)


Evaluación multimodal de la compresión extrínseca de la arteria circunfleja cinco años post-valvuloplastia mitral

Salinas-Casanova JA, Ibarrola-Peña JC, Enríquez-Cervantes C, De PE, Jerjes-Sánchez C
Texto completo Cómo citar este artículo 10.35366/121370

DOI

DOI: 10.35366/121370
URL: https://dx.doi.org/10.35366/121370
Artículos similares

Idioma: Inglés [English version]
Referencias bibliográficas: 11
Paginas: 161-165
Archivo PDF: 1241.90 Kb.


PALABRAS CLAVE

compresión extrínseca crónica, estenosis de la arteria circunfleja, valvuloplastia mitral, anillo de anuloplastia, ecografía intravascular.

RESUMEN

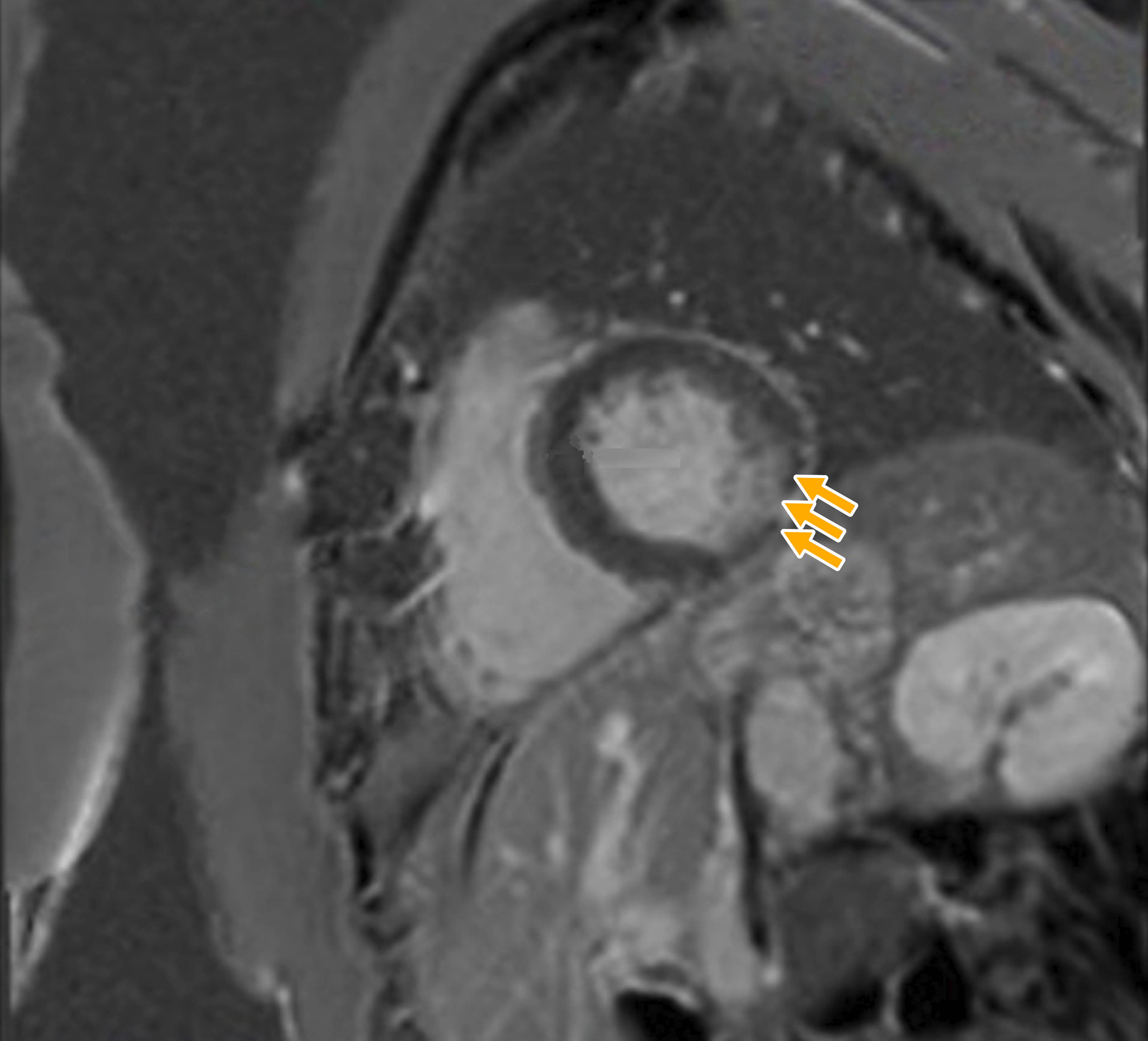
Introducción: las complicaciones agudas son frecuentes tras una sustitución o anuloplastia de la Válvula Mitral (VM). La isquemia inducida por la estenosis de la Arteria Circunfleja (ACx) causada por las suturas de la anuloplastia de la VM es la complicación aguda más frecuente. Presentación del caso: una mujer de 69 años con anuloplastia de la VM realizada con éxito cinco años previos se presentó con una historia de cuatro meses de dolor precordial opresivo al esfuerzo. Un ecocardiograma de esfuerzo mostró isquemia e hipocinesia de la pared inferolateral. La angiografía coronaria por tomografía computarizada reveló estenosis extrínseca en el tercio medio de la ACx, cerca del anillo de anuloplastia, en consonancia con los hallazgos de la angiografía coronaria. La resonancia magnética cardiaca demostró hipocinesia de la pared inferolateral y necrosis transmural de la pared inferolateral basal. Se realizó intervención coronaria percutánea con Ultrasonido Intravascular (IVUS) que mostró la estenosis. Realizamos angioplastia y colocación de stent con IVUS post-stent que mostró una adecuada aposición. El paciente fue dado de alta dos días después con tratamiento médico óptimo. La estenosis crónica de la ACx tras anuloplastia de la VM es extremadamente rara, con sólo cuatro casos descritos en la literatura. Conclusión: un enfoque multimodal, que incluye el uso de IVUS, puede ayudar a identificar el mecanismo de isquemia de una oclusión crónica de la ACx y en la toma de decisiones clínicas para un abordaje apropiado.


REFERENCIAS (EN ESTE ARTÍCULO)

  1. Vahanian A, Beyersdorf F, Praz F, Milojevic M, Baldus S, Bauersachs J et al. 2021 ESC/EACTS Guidelines for the management of valvular heart disease. Eur Heart J. 2022; 43 (7): 561-632.

  2. Hiltrop N, Bennett J, Desmet W. Circumflex coronary artery injury after mitral valve surgery: A report of four cases and comprehensive review of the literature. Catheter Cardiovasc Interv. 2017; 89 (1): 78-92.

  3. Gagnier JJ, Kienle G, Altman DG, Moher D, Sox H, Riley D; CARE Group. The CARE guidelines: consensus-based clinical case reporting guideline development. Headache. 2013; 53 (10): 1541-1547.

  4. Busu T, Alqahtani F, Kawsara A, Hijazi M, Alkhouli M. Iatrogenic circumflex artery stenosis following mitral valve repair. Cureus 2017; 9 (9): e1680.

  5. Dai Q, Song J, He J, Xu B. A rare case of anomalous original left circumflex artery stenosis after artificial mitral valve replacement. JACC Cardiovasc Interv. 2017; 10 (7): e71-e73.

  6. Wykrzykowska J, Cohen D, Zimetabum P. Mitral annuloplasty causing left circumflex injury and infarction: novel use of intravascular ultrasound to diagnose suture injury. J Invasive Cardiol. 2006; 18 (10): 505-508.

  7. Batra K, Saboo SS, Kandathil A, Canan A, Hedgire SS, Chamarthy MR et al. Extrinsic compression of coronary and pulmonary vasculature. Cardiovasc Diagn Ther. 2021; 11 (5): 1125-1139.

  8. Wali E, Nathan S. What is the clinical utility of intravascular ultrasound? Curr Cardiol Rep. 2018; 20 (11): 122.

  9. Mintz GS, Matsumura M, Ali Z, Maehara A. Clinical utility of intravascular imaging: past, present, and future. JACC Cardiovasc Imaging. 2022; 15 (10): 1799-1820.

  10. Truesdell AG, Alasnag MA, Kaul P, Rab ST, Riley RF, Young MN et al. Intravascular imaging during percutaneous coronary intervention: JACC state-of-the-art review. J Am Coll Cardiol. 2023; 81 (6): 590-605.

  11. Neumann FJ, Sousa-Uva M, Ahlsson A, Alfonso F, Banning AP, Benedetto U et al. 2018 ESC/EACTS Guidelines on myocardial revascularization. Eur Heart J. 2019; 40 (2): 87-165.




Figura 1
Figura 2
Figura 3
Figura 4
Figura 5

2020     |     www.medigraphic.com

Mi perfil

C?MO CITAR (Vancouver)

Cardiovasc Metab Sci . 2025;36

ARTíCULOS SIMILARES

CARGANDO ...