medigraphic.com
ENGLISH

Revista Mexicana de Anestesiología

ISSN 3061-8142 (Digital)
ISSN 0484-7903 (Impreso)
  • Mostrar índice
  • Números disponibles
  • Información
    • Información general        
    • Directorio
  • Publicar
    • Instrucciones para autores        
  • medigraphic.com
    • Inicio
    • Índice de revistas            
    • Registro / Acceso
  • Mi perfil

2025, Número 4

<< Anterior Siguiente >>

Rev Mex Anest 2025; 48 (4)


Correlación de la grasa pretraqueal medida por ultrasonido con el grado de Cormack-Lehane

Livas-Fuentes, Miriam Sofia1; Puga-García, Diana Marisol2; Martínez-Padrón, Hadassa Yuef3; García-Ruiz, Itzanami4
Texto completo Cómo citar este artículo 10.35366/121395

DOI

DOI: 10.35366/121395
URL: https://dx.doi.org/10.35366/121395
Artículos similares

Idioma: Español
Referencias bibliográficas: 15
Paginas: 215-218
Archivo PDF: 683.90 Kb.


PALABRAS CLAVE

manejo de la vía aérea, intubación, laringoscopía, vía aérea difícil, grasa pretraqueal, ultrasonido.

RESUMEN

Introducción: el manejo de la vía aérea es esencial para el soporte vital de los pacientes. En los últimos años, el uso del ultrasonido ha sido explorado como una herramienta para estimar la probabilidad de dificultades en el manejo de la vía aérea. Objetivo: determinar la relación entre la grasa pretraqueal medida mediante ultrasonido y los grados de Cormack-Lehane. Material y métodos: estudio prospectivo, observacional, transversal y analítico, realizado en el Servicio de Anestesiología. Se utilizó un muestreo no probabilístico por disponibilidad; los datos obtenidos incluyeron mediciones y la escala de Cormack-Lehane, y se evaluó la correlación mediante la prueba r de Pearson. Resultados: el 54.7% de los participantes fueron mujeres y 45.2% hombres, con un rango de edad de 23 a 85 años. Las variables demográficas mostraron una edad promedio de 46 años, peso de 78.8 kg, talla de 1.62 m e índice de masa corporal de 29.7 en pacientes sometidos a intubación orotraqueal. Conclusión: la correlación entre la grasa pretraqueal y el grado de Cormack-Lehane fue de 0.20.



ABREVIATURAS:

  • AGB = anestesia general balanceada
  • ECG = electrocardiograma
  • IMC = índice de masa corporal
  • PANI = presión arterial no invasiva
  • SpO2 = saturación de oxígeno



INTRODUCCIóN

La intubación orotraqueal es un procedimiento esencial en diversas situaciones médicas(1). La dificultad en la intubación está asociada a un mayor riesgo de complicaciones, como hipoxemia, hipercapnia y, en casos extremos, la muerte(2-5). Diversos factores pueden dificultar la intubación, incluyendo la obesidad, la anatomía de la vía aérea, la presencia de enfermedades neurológicas o musculares, así como la administración inadecuada de fármacos(5,6).

La escala de Cormack-Lehane es un método estándar para evaluar la dificultad de la intubación durante la laringoscopía directa(7,8). Esta escala clasifica la visualización de las estructuras laríngeas en cuatro grados, desde una visualización completa del anillo glótico (grado I) hasta la imposibilidad de visualizar la epiglotis (grado IV). Un grado III o IV indica una intubación difícil. Estudios recientes han demostrado que el ultrasonido puede ser una herramienta útil para evaluar la anatomía de la vía aérea antes de la intubación(9,10).

Por lo anterior, en la presente investigación se buscó determinar la relación de la grasa pretraqueal mediante ultrasonido con los grados de Cormack-Lehane.



MATERIAL Y MéTODOS

Se realizó un estudio no experimental, observacional, prospectivo, transversal, analítico, correlacional, no invasivo. Se incluyeron personas de ambos sexos, mayores de 18 años con intubación con laringoscopía directa o vide olaringoscopio y a pacientes sometidos a intubación orotraqueal programada en el Hospital Regional de Alta Especialidad de Ciudad Victoria (HRAEV). Se excluyeron pacientes con intubación orotraqueal de urgencia que no permita realizar las mediciones correspondientes, paciente con dificultad en las mediciones o que no tenga una imagen o medida clara, paciente orointubado en otra institución.

La valoración preanestésica se realizó tomando en cuenta los antecedentes sociodemográficos y clínicos mediante interrogatorio directo o indirecto, la información obtenida se reflejará en el expediente clínico, así como exploración física, la cual también incluyó presión arterial no invasiva (PANI), electrocardiograma (ECG), saturación de oxígeno (SpO2), índice de masa corporal (IMC).

Posteriormente, se midió la grasa pretraqueal mediante ultrasonido convencional y se evaluaron los grados de Cormack-Lehane durante la intubación endotraqueal mediante laringoscopía directa para correlacionar ambos valores, los procedimientos se describen a continuación:

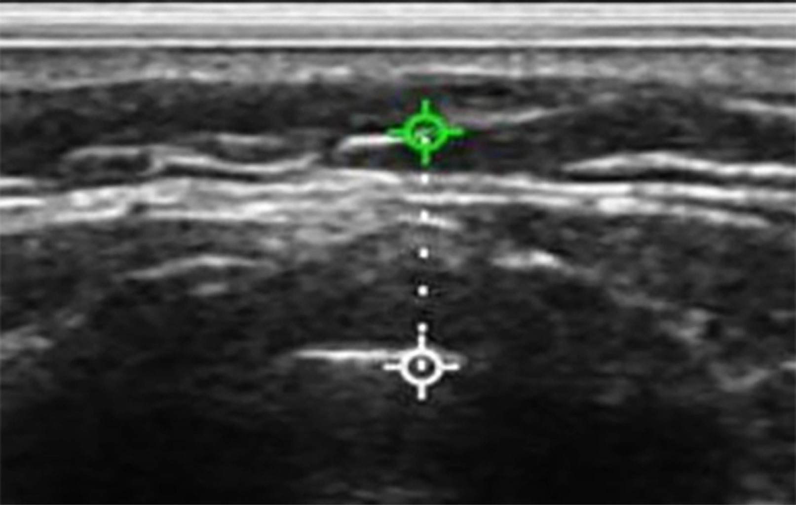
Para la correcta medición de la grasa pretraqueal: se colocó al paciente en estado consciente en posición supina con cabeza en hiperextensión (posición de olfateo), con el objetivo de exponer el cuello para su medición. Se utilizó el ultrasonido de la marca Sonowireless Plus I adaptado a un transductor lineal con frecuencias de 7.5 y 10 MHz. El ultrasonido se conectó de forma inalámbrica a un teléfono celular personal para visualizar imagen y tomar medidas con herramienta de regla incluida en la aplicación "WirelessKUS" (Figuras 1 y 2). El transductor se colocó entre la piel y membrana cricotiroidea. Para visualizar la grasa pretraqueal del paciente se evaluó la distancia comprendida entre la piel y el anillo traqueal.

Posteriormente, el paciente ingresó a la sala de quirófano y se colocó monitoreo no invasivo comprendido en PANI, ECG y oximetría de pulso. Se colocó una almohadilla de 10 cm de altura en la región occipital (como medida de alineación de los ejes oral, faríngeo y laríngeo) para una adecuada técnica de laringoscopía con hoja Macintosh No. 3 para intubación orotraqueal.

Los pacientes se sometieron a anestesia general balanceada (AGB): la cual proporcionó sedación, analgesia, hipnosis y relajación neuromuscular, se utilizó dosis estandarizadas ya determinadas, las cuales son calculadas por kg de peso, cumpliendo con los tiempos de acción de cada uno de los fármacos y estandarizados para este estudio. Se procedió a la realización de la laringoscopía directa con la técnica ya descrita por un operador experto y se registraron los siguientes datos en una base diseñada para el estudio: número de intentos requeridos para la realización de intubación, número de operadores, uso de otras técnicas alternativas, tipo de dispositivo utilizado, diagnóstico, cirugía realizada y grado de clasificación de Cormack-Lehane. Posteriormente, se continuó con el procedimiento quirúrgico-anestésico. Se registró esta última escala en la base de datos para su posterior análisis.

Se evaluaron los grados de Cormack-Lehane durante la intubación endotraqueal mediante laringoscopía directa para correlacionar ambos valores. Se utilizó estadística descriptiva para los datos generales de la población en estudio y las características clínicas descritas. Se empleó el porcentaje como medida de proporción, la media como medida de tendencia central y la desviación estándar como medida de dispersión. El intervalo de confianza de 95%, utilizado como medida de variabilidad de la media. Para evaluar la correlación entre la medida de la grasa pretraqueal mediante ultrasonido convencional con los grados de Cormack-Lehane se usó el coeficiente r de Pearson. Todos los datos fueron analizados utilizando software SPSS, versión 22, para Windows.



RESULTADOS

Se evaluaron 42 pacientes a los cuales se les realizó la medida de la grasa pretraqueal con ultrasonido, luego fueron sometidos a intubación orotraqueal durante nueve meses, de los cuales 54.7% son mujeres y 45.2% son hombres, con un intervalo de edad de 23 a 85 años con edad promedio de 46 años.

Las medidas somatométricas de los pacientes fueron: peso de 50-119.5 kg con un promedio de 78.8 kg y de estatura entre 1.47-1.80 cm con un promedio de 1.62 cm. Se evaluaron antecedentes clínicos donde 72% de la población tenían al menos una comorbilidad, siendo la obesidad la más frecuente con 37%, seguido de diabetes mellitus tipo 2 con 18%, hipertensión arterial 13%, enfermedad renal crónica 4%, ambos pacientes con terapia de hemodiálisis.

Los pacientes sometidos a intubación presentaron diversos diagnósticos, los cuales destacan por el número de frecuencia: colecistitis crónica litiásica con 19%, colelitiasis 16.6% y colecistitis aguda con 11.9%. Al evaluar la grasa pretraqueal en pacientes sometidos a intubación orotraqueal, se observó que el promedio fue de 6.5 mm, la cifra más alta 9.9 mm y la menor 2.2 mm. Respecto a la frecuencia del grado de grasa pretraqueal, destaca que 40.6% presentó un rango entre 6.01 a 8.00 mm (Tabla 1 y Figura 3).

Al evaluar los grados de la escala Cormack-Lehane se observó que la escala con mayor predominancia fue la 1 con 50%, seguido de la escala 2 con 37%, la clasificación 3 con 13%, en la escala 4 no se observaron pacientes en esta categoría.

Finalmente, se evaluó la correlación entre la grasa pretraqueal evaluada por ultrasonidos convencional y la escala de Cormack-Lehane se observó una correlación de 0.20.



DISCUSIóN

La obesidad es el principal factor de riesgo en la población evaluada (37%). La incidencia tiene como origen los hábitos alimenticios, éstos comprenden la alta ingesta de grasas y dieta hipercalórica(11).

Se determinó que el promedio de grasa pretraqueal fue de 6.5 mm, la cifra más alta 9.9 mm y la menor 2.2 mm, las cifras obtenidas son bajas en comparación con otros autores(12,13), teniendo el promedio de 28 mm a nivel de la membrana tirohioidea.

Al evaluar el grado de complejidad a la intubación orotraqueal se observó que la escala con mayor predominancia fue la 1 con 50%, se considera una intubación sin dificultad, aun cuando los pacientes presentaron sobrepeso. La dificultad se puede explicar por el aumento de la cantidad de tejido blando del cuello pretraqueal y que en estos pacientes perjudique la laringoscopía al reducir la movilidad anterior de las estructuras faríngeas(14).

El análisis de la correlación entre medición de grasa pretraqueal y el grado de Cormack-Lehane mostraron una r de 0.20 de correlación, no obstante, esta correlación es baja. Esto quiere decir que los hallazgos por ultrasonido convencional coinciden en 20% con los reportados por la escala(15).



CONCLUSIONES

Se determinó un promedio de grasa pretraqueal de 6.5 mm, siendo la cifra más alta 9.9 mm y la menor 2.2 mm, además se observó que 38% de la población se sitúa en sobrepeso IMC de 25 a 29.9. Al evaluar el grado de complejidad a la intubación orotraqueal de acuerdo con la escala de Cormack-Lehane se observó que la escala con mayor predominancia fue la 1 con 50% (n = 21). Al evaluar la correlación de Pearson (r) entre la medición de grasa pretraqueal y el grado de Cormack-Lehane se obtuvo 0.20, lo cual indica una correlación positiva débil. Esto significa que existe una tendencia a que, a medida que aumenta la cantidad de grasa pretraqueal, también tienda a aumentar ligeramente el grado de dificultad para visualizar la laringe durante una intubación (según la clasificación de Cormack-Lehane).


REFERENCIAS (EN ESTE ARTÍCULO)

  1. García-Araque HF, Gutiérrez-Vidal SE. Aspectos básicos del manejo de la vía aérea: anatomía y fisiología, Rev Mex Anestesiol. 2015;38:98-107.

  2. Coloma OR, Álvarez AJP. Manejo avanzado de la vía aérea. Rev Med Clin Condes. 2011;22:270-279.

  3. Gropper MA, Eriksson LI, Fleisher LA, et al. Capítulo 55: Control de la vía respiratoria en el adulto. En: Gropper MA, Eriksson LI, Fleisher LA, et al. Miller. Anestesia. 8a edición. Elsevier; 2021. p. 1665.

  4. Cook TM, Woodall N, Frerk C. Major complications of airway management in the UK: results of the Fourth National Audit Project of the Royal College of Anaesthetists and the Difficult Airway Society. Part 1: anaesthesia. Br J Anaesth. 2011;106:617-631.

  5. Ostabal Artigas MI. La intubación endotraqueal. Med Integral. 2002;39:335-342.

  6. Kabrhel C, Thomsen TW, Setnik GS, Walls RM. Videos in clinical medicine. Orotracheal intubation. N Engl J Med. 2007;356:e15.

  7. Rojas-Peñaloza J, Zapién-Madrigal JM, Athié-García JM, Chávez-Ruiz I, Bañuelos-Díaz GE, López Gómez LA, et al. Manejo de vía aérea. Rev Mex Anestesiol. 2017;40:287-292.

  8. Fulkerson JS, Moore HM, Anderson TS, Lowe RF Jr. Ultrasonography in the preoperative difficult airway assessment. J Clin Monit Comput. 2017;31:513-530.

  9. Salimi A, Farzanegan B, Rastegarpour A, Kolahi AA. Comparison of the upper lip bite test with measurement of thyromental distance for prediction of difficult intubations. Acta Anaesthesiol Taiwan. 2008;46:61-65.

  10. Frerk C, Mitchell VS, McNarry AF, Mendonca C, Bhagrath R, Patel A, et al. Difficult Airway Society 2015 guidelines for management of unanticipated difficult intubation in adults. Br J Anaesth. 2015;115:827-848.

  11. Gómez-Ríos MA, Gaitini L, Matter I, Somri M. Guías y algoritmos para el manejo de la vía aérea difícil. Rev Esp Anestesiol Reanim. 2018;65:41-48.

  12. Guay J, Kopp S. Ultrasonography of the airway to identify patients at risk for difficult tracheal intubation: Are we there yet? J Clin Anesth. 2018;46:112-115.

  13. Abdelhady BS, Elrabiey MA, Abd Elrahman AH, Mohamed EE. Ultrasonography versus conventional methods (Mallampati score and thyromental distance) for prediction of difficult airway in adult patients. Egypt J Anaesth. 2020;36:83-89.

  14. Stevenson AG, Graham CA, Hall R, Korsah P, McGuffie AC. Tracheal intubation in the emergency department: the Scottish district hospital perspective. Emerg Med J. 2007;24:394-397.

  15. Jairo-Rodriguez J, Melo-Ceballos A, Enriquez-Rodriguez DA, Arteaga-Velasquez J, García-García E, Higuita-Gutierrez LF. Complications of airway management: systematic literature review. Archivos de Medicina. 2018;14:4-7.



AFILIACIONES

1 Residente de Anestesiología de la Facultad de Medicina Matamoros, Universidad Autónoma de Tamaulipas. México. orcid: 0009-0006-3287-8952

2 Médico Especialista en Anestesiología del Hospital Regional de Alta Especialidad de Ciudad Victoria "Bicentenario 2010". Tamaulipas, México. orcid: 0009-0001-9015-9212

3 Doctora en Ciencias. Miembro del Sistema Nacional de Investigadores. Investigadora en Ciencias Médicas B. Subdirección de Enseñanza e Investigación del Hospital Regional de Alta Especialidad de Ciudad Victoria "Bicentenario 2010". Tamaulipas, México. orcid: 0000-0002-0627-4905

4 Médico pasante de Servicio Social de la Universidad La Salle. Ciudad Victoria, Tamaulipas, México. orcid: 0009-0009-5892-2693



CORRESPONDENCIA

Dra. Hadassa Yuef Martínez-Padrón. E-mail: hadassayufo@gmail.com




Recibido: 14-08-2024. Aceptado: 12-11-2024.

Figura 1
Figura 2
Figura 3
Tabla 1

2020     |     www.medigraphic.com

Mi perfil

C?MO CITAR (Vancouver)

Rev Mex Anest. 2025;48

ARTíCULOS SIMILARES

CARGANDO ...