medigraphic.com
ENGLISH

Revista Mexicana de Anestesiología

ISSN 3061-8142 (Digital)
ISSN 0484-7903 (Impreso)
  • Mostrar índice
  • Números disponibles
  • Información
    • Información general        
    • Directorio
  • Publicar
    • Instrucciones para autores        
  • medigraphic.com
    • Inicio
    • Índice de revistas            
    • Registro / Acceso
  • Mi perfil

2025, Número 4

<< Anterior Siguiente >>

Rev Mex Anest 2025; 48 (4)


Utilidad de las guías ERAS en la laparotomía de emergencia

Caparrós-Lledó, Alegría1,2; Fernández-Torres, Bartolomé1,2,3; González López-Cepero, Adolfo1,2; García-Cebrián, María José1,4
Texto completo Cómo citar este artículo 10.35366/121402

DOI

DOI: 10.35366/121402
URL: https://dx.doi.org/10.35366/121402
Artículos similares

Idioma: Español
Referencias bibliográficas: 9
Paginas: 256-260
Archivo PDF: 929.05 Kb.


PALABRAS CLAVE

obstrucción intestinal, recuperación acelerada después de cirugía, emergencia, laparotomía, guías.

RESUMEN

Las causas más frecuentes de laparotomía de emergencia incluyen la perforación, obstrucción intestinal y dehiscencia de sutura. Aunque es una patología con alta morbimortalidad, en los últimos años presenta una tendencia decreciente y en 2023 se publicaron las primeras guías ERAS (Enhanced Recovery After Surgery) centradas en la cirugía de emergencia. Presentamos el caso de un paciente con una obstrucción intestinal de larga evolución, que llega a alcanzar niveles de distensión difícilmente imaginables, en el que realizamos un manejo de los aspectos exclusivamente anestésicos centrado en las recomendaciones ERAS. Sin embargo, estas guías remarcan la necesidad de utilizar escalas validadas específicas para la identificación temprana del deterioro fisiopatológico, sepsis, riesgo quirúrgico, fragilidad, riesgo de tromboembolismo venoso y delirio postoperatorio. Incorporar estas escalas constituye uno de los aspectos de mejora de nuestro manejo anestésico, ya que permite mejorar la comunicación, asignar el nivel de cuidados apropiado y optimizar el manejo clínico.



ABREVIATURAS:

  • APACHE II = Acute Physiology and Chronic Health Evaluation II
  • ERAS = Enhanced Recovery After Surgery
  • MEWS = Modified Early Warning Score
  • NSQIP = National Surgical Quality Improvement
  • POSSUM = Physiological and Operative Severity Score for the enUmeration of Mortality and Morbidity P-POSSUM = Portsmouth POSSUM
  • qSOFA = quick Sequential Organ Failure Assessment
  • SIRS = Systemic Inflammatory Response Syndrome



INTRODUCCIóN

La obstrucción intestinal representa 15-20% de pacientes con abdomen agudo(1) y se caracteriza por una interrupción del tránsito gastrointestinal, con distensión de asas y alteraciones fisiopatológicas multiorgánicas. Aunque inicialmente el tratamiento puede incluir medidas conservadoras, en situaciones de emergencia requiere una laparotomía terapéutica.

De acuerdo con la definición de las guías ERAS (Enhanced Recovery After Surgery) recientemente publicadas, se entiende como laparotomía de emergencia "una exploración quirúrgica del abdomen agudo para detectar una serie de patologías subyacentes", aunque este término excluye las laparotomías por traumatismo, emergencias vasculares, apendicectomías y colecistectomías(2-4). Dentro de las laparotomías de emergencia, las causas más frecuentes son la perforación, obstrucción intestinal y dehiscencia de sutura.

Aunque la laparotomía de emergencia presenta una alta morbimortalidad, en los últimos años muestra una tendencia decreciente. En 2012, la National Surgical Quality Improvement (NSQIP) hacía referencia a una mortalidad en los primeros 30 días del 14%, porcentaje que se ha reducido hasta 8.7% en 2020(5). El desarrollo de guías y proyectos orientados específicamente a este tipo de intervenciones ha influido de forma determinante en la mejora de los resultados. En el manejo de estos pacientes, cobra especial relevancia las directrices de recuperación acelerada tras cirugía para laparotomías de emergencia, publicadas en 2023, con el objetivo principal de reducir las complicaciones, estancia hospitalaria y costes asociados(2-4). Son las primeras guías ERAS publicadas para cirugía de emergencia ya que, hasta ahora, las directrices sólo se habían publicado sobre cirugía electiva.

Se trata de 35 ítems en los cuales se abordan situaciones específicas que ocurren a lo largo de las fases pre, intra y postoperatoria. En ellas, se contemplan recomendaciones para la optimización del estado del paciente previo a la cirugía, como el uso de herramientas para el diagnóstico precoz de trastornos y su tratamiento. Se abordan aspectos tanto del manejo quirúrgico como del anestésico durante la intervención enfocados a la recuperación precoz postoperatoria. Por último, incluyen recomendaciones sobre cuál es la mejor unidad para los cuidados postquirúrgicos (cuidados intensivos, planta de hospitalización, unidades de reanimación, etcétera) o directrices para acelerar su recuperación. De manera adicional, se destaca la importancia de involucrar a los familiares en el proceso, mediante la comunicación de riesgos y pronóstico del paciente.

Presentamos el caso de un paciente con obstrucción intestinal de larga evolución, que llega a alcanzar niveles de distensión difícilmente imaginables, centrándonos en los aspectos de las guías ERAS que pueden suponer una mejora en la atención del paciente con esta patología. Se ha obtenido el consentimiento informado por escrito del paciente para la publicación del caso clínico y las imágenes radiológicas.



CASO CLÍNICO

Se trata de paciente masculino de 59 años que acude a urgencias por cuadro de tres semanas de evolución de estreñimiento, dolor y aumento progresivo del perímetro abdominal. A la exploración, se encuentra en regular estado general, taquicardia (140 lpm) con estabilidad tensional, taquipnea, abdomen marcadamente distendido (Figura 1), no depresible, a tensión, timpánico en todos los cuadrantes y doloroso a la palpación.

Ante la sospecha de obstrucción intestinal se solicitan analítica y pruebas de imagen.

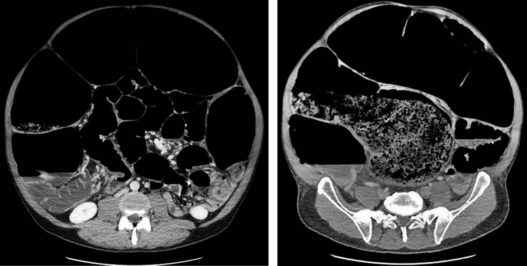
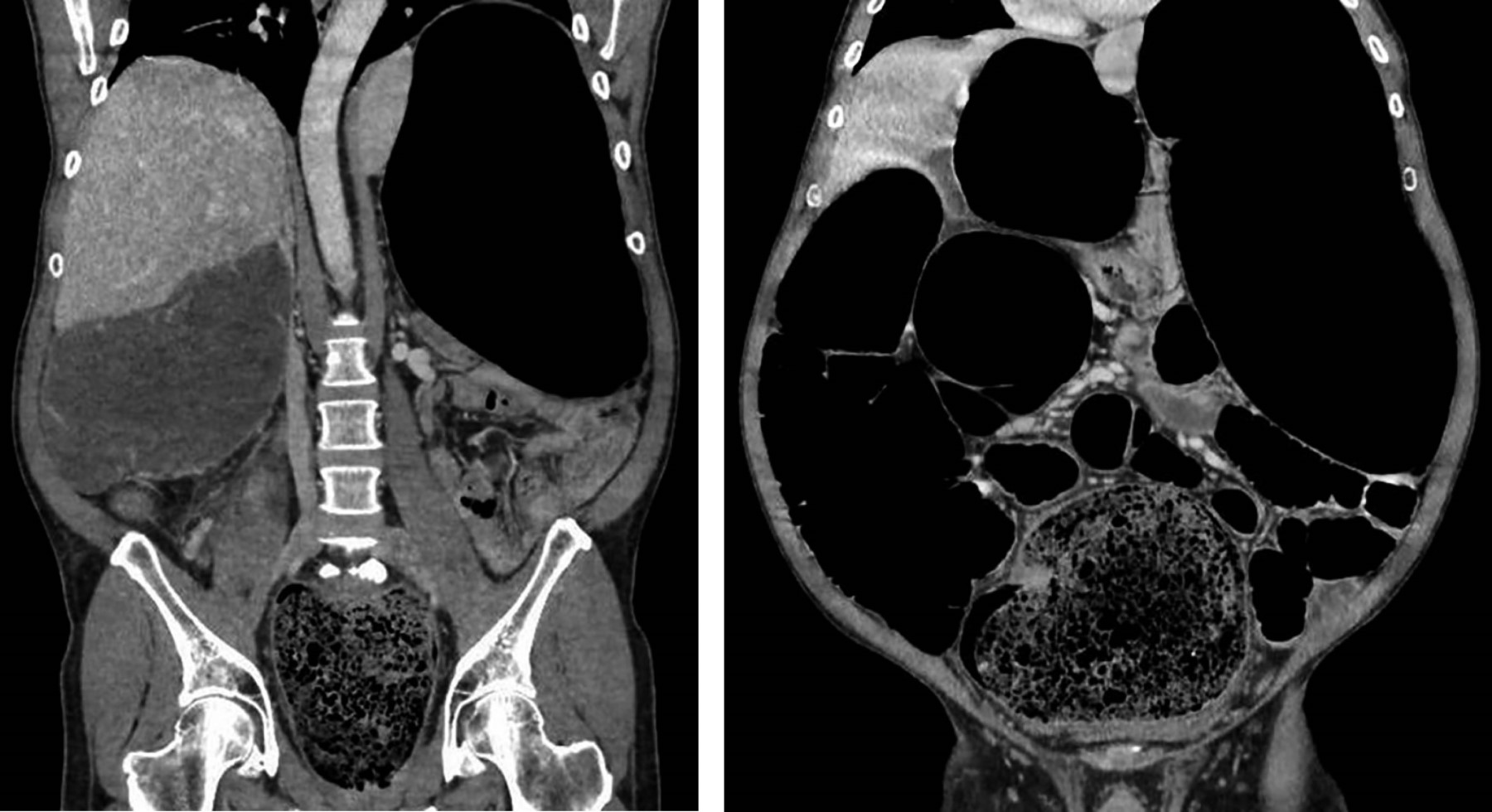
En la primera gasometría resulta llamativa la escasa afectación del equilibrio ácido-base (pH 7.4, PCO2 40.4 mmHg, CO3H- 28.3 mEq/L) e iónico (K+ 3.4, Na++ 135, Ca++ 1.10, Cl- 97), aunque presenta hemoglobina 16.4 g/dL y lactato 3.8 mmol/L. La analítica muestra 520,000 plaquetas/µL, sin afectación renal (urea 51 mg/dL, creatinina 1.16 mg/dL) ni trastornos de la coagulación (INR [International Normalized Ratio] 1.16, TTPAratio [Tiempo De Tromboplastina Parcial Activado-Relación] 1.11). La tomografía axial computarizada (TAC) muestra un gran fecaloma en ampolla rectal que provoca dilatación significativa colorrectal (16 cm en colon transverso y 13 cm en ciego) de íleon y yeyuno distal (Figuras 2 y 3). El estómago e intestino delgado proximal están colapsados y no existe neumoperitoneo ni líquido libre intraabdominal.

Valorado por Cirugía General, se desestima actitud quirúrgica urgente optando por manejo conservador con enemas y extracción manual. Ante la inefectividad de este tratamiento se recurre a realizar colonoscopía, consiguiendo desimpactación parcial y colocación de sonda larga rectal. En este contexto, el paciente presenta deterioro a nivel respiratorio de tipo restrictivo atribuido a la gran distensión abdominal, por lo que se realiza nueva TAC, que muestra imágenes de neumatosis intestinal en colon izquierdo. Ante la refractariedad a las medidas conservadoras y el empeoramiento clínico-radiológico, el Servicio de Cirugía General indica laparotomía de emergencia 36 horas después de la llegada del paciente al hospital. En ese momento se informa al Servicio de Anestesiología de la existencia y situación clínica del paciente, que aún permanece ingresado en el área de Urgencias.

En la valoración preoperatoria presenta taquicardia sinusal a 130 lpm, tensión arterial (TA) 130/80 mmHg, taquipnea y SpO2 90% respirando aire ambiente. La gasometría arterial muestra una insuficiencia respiratoria parcial (PO2 59.3 mmHg, pH 7.4, PCO2 34.2 mmHg, CO3H- 26.2 mEq/L). Ante la ausencia de familiares en el hospital, se explican los riesgos del procedimiento únicamente al paciente, que firma el consentimiento informado.

Aunque la TAC muestra una cámara gástrica colapsada, realizamos inducción de secuencia rápida con presión cricoidea y laringoscopía directa. La intervención, una pancolectomía con ileostomía terminal, transcurre sin incidencias a pesar de la marcada distensión abdominal, con estabilidad hemodinámica y mejoría de la complianza y presiones en vía aérea al realizar la laparotomía. Se lleva a cabo el despertar y extubación del paciente en quirófano y se traslada a la Unidad de Cuidados Intensivos, donde permanece las primeras 48 horas del postoperatorio. Tras una reintervención por dehiscencia del muñón rectal, es dado de alta 17 días después del ingreso.



DISCUSIóN

A menudo existen aspectos mejorables en los cuidados anestésicos relacionados con una laparotomía de emergencia, y el caso expuesto no es una excepción. En procedimientos complejos con alta morbimortalidad, las guías ERAS aportan una evidencia científica que permite la optimización de aspectos clínicos y organizativos. Estas guías ofrecen un enfoque completo del paciente durante el perioperatorio comenzando por su optimización desde la fase prequirúrgica. Aunque resulta obvio la imposibilidad de abordar los 35 ítems, sí es factible remarcar aspectos importantes relacionados tanto con la evaluación e información de riesgos como con la detección precoz, prevención y tratamiento de complicaciones.

A la vista de estas recomendaciones, el manejo de nuestro paciente tiene puntos de mejora y el más relevante posiblemente sea la comunicación con el resto del equipo quirúrgico. Los anestesiólogos tenemos un papel relevante en la optimización preoperatoria del paciente, tanto a nivel hemodinámico como del equilibrio ácido-base y alteraciones hidroelectrolíticas, pero resulta imposible si desconocemos la existencia de un paciente. Dada la singularidad clínico-radiológica de nuestro paciente y su más que probable indicación quirúrgica, es difícil entender una demora de 36 horas desde el ingreso hasta que se informa a nuestro servicio, con una indicación quirúrgica ya establecida, un cuadro clínico en deterioro progresivo y sin tiempo suficiente para optimizar. Hay que tener en cuenta que las guías recalcan, con nivel de evidencia alto y grado de recomendación fuerte, que ni la optimización prequirúrgica ni las pruebas diagnósticas deben retrasar la laparotomía de emergencia si hay indicación quirúrgica, por el aumento asociado en la mortalidad.

En referencia con aspectos exclusivamente anestésicos, las guías ERAS para laparotomía de emergencia apenas difieren de las implantadas en cirugía colorrectal electiva. No existen modificaciones relevantes en relación con la monitorización de la profundidad anestésica, ventilación pulmonar, manejo de la temperatura y fluidos, terapia hemodinámica dirigida por objetivos y utilización de estrategias multimodales para analgesia y náuseas y vómitos postoperatorios.

Uno de los aspectos anestésicos más relevantes en la obstrucción intestinal es la prevención de la regurgitación y aspiración pulmonar, que incluye la utilización de sonda nasogástrica, inducción de secuencia rápida y presión cricoidea. En nuestro paciente se utilizaron estas tres medidas, pero hay que tener en cuenta que, aunque la inducción de secuencia rápida es una recomendación ERAS, en las guías no existe una posición clara con respecto a la presión cricoidea, refiriendo que debe o no utilizarse en función de las directrices marcadas por las guías y la práctica habitual de cada país(2,6,7). Tampoco existe una postura clara con respecto a la inserción preoperatoria de la sonda nasogástrica, refiriendo que su uso debe considerarse de forma individual.

Sin embargo, lo más llamativo son las recomendaciones para utilizar escalas validadas específicas para la identificación temprana del deterioro fisiopatológico, sepsis, riesgo quirúrgico, fragilidad, riesgo de tromboembolismo venoso y delirio postoperatorio. En todos los casos el nivel de evidencia de utilización de estas escalas es alto, con un grado de recomendación fuerte(2,3), por lo que deberíamos incorporar estas herramientas lo antes posible a nuestra práctica clínica. La utilización sistemática de estas escalas de valoración es uno de los aspectos de mejora de los pacientes sometidos a laparotomía de emergencia en nuestro hospital.

La primera directriz de las guías ERAS expone la importancia de la detección precoz de las posibles alteraciones fisiopatológicas subyacentes mediante el uso de herramientas de detección temprana como APACHE II (Acute Physiology and Chronic Health Evaluation II), POSSUM (Physiological and Operative Severity Score for the enUmeration of Mortality and Morbidity), P-POSSUM (Portsmouth POSSUM) o MEWS (Modified Early Warning Score). Puntuaciones anormales son altamente predictivas de mortalidad y deben desencadenar una escalada rápida en el nivel de cuidados. Además, este tipo de pacientes con frecuencia presentan un síndrome de respuesta inflamatoria sistémica o sepsis, por lo que se recomienda un despistaje precoz con escalas como qSOFA (quick Sequential Organ Failure Assessment) o SIRS (Systemic Inflammatory Response Syndrome), a pesar de las limitaciones que pueden tener en la cirugía de emergencia. La monitorización del lactato sanguíneo como marcador de riesgo y de evaluación de la respuesta fisiológica a la reanimación debe considerarse incluso en ausencia de sepsis(2).

Con respecto a la estimación del riesgo, hay que tener en cuenta que los facultativos con poca experiencia en laparotomías de emergencia subestiman el potencial de malos resultados, por lo que una escala de riesgo facilita la priorización clínica y mejora la comunicación con el paciente y su familia sobre pronóstico y limitaciones(2). En una revisión reciente, la escala NELA (UK National Emergency Laparotomy Audit) ha mostrado ser superior a ACS-NSQIP, P-POSSUM y APACHE II(8). Independientemente de la escala, la evaluación del riesgo debe realizarse y documentarse en todos los pacientes antes y al final de la cirugía(2).

Debido a la patología que presentan y al riesgo asociado e inherente a la laparotomía de emergencia, estos pacientes desarrollan con frecuencia fenómenos tromboembólicos, por lo que deben instaurarse precozmente medidas preventivas mecánicas o farmacológicas. De modo adicional, deben ser evaluados en el momento del ingreso con una herramienta validada para medir el riesgo tromboembólico(3) y las escalas de Caprini y Rogers son comúnmente aceptadas en pacientes quirúrgicos, aunque tienen la limitación de que están diseñadas para la cirugía electiva(9).

Aunque no se aplica en nuestro paciente, en personas de más de 65 años también es aconsejable evaluar en el preoperatorio la fragilidad y función cognitiva mediante escalas validadas junto a un cribado periódico del delirio para su prevención y tratamiento precoz. Esta detección, junto a medidas para mantener al paciente orientado y evitar fármacos que puedan causar daño según los criterios de Beers, son la base para disminuir la morbimortalidad, reingresos hospitalarios y deterioro cognitivo a largo plazo(3).

En definitiva, las guías ERAS en laparotomía de emergencia no incorporan aspectos novedosos desde un punto de vista estrictamente anestésico. Sin embargo, remarcan la necesidad de incorporar de forma sistemática a nuestra práctica clínica un elevado número de escalas validadas que permiten mejorar la comunicación dentro del equipo quirúrgico, asignar el nivel de cuidados apropiado a cada paciente y optimizar su manejo clínico, a la vez que facilita informar de forma objetiva, tanto al paciente como a sus familiares, de los riesgos inherentes a una cirugía de alta morbimortalidad.



CONCLUSIONES

  • 1. Las causas más frecuentes que conducen a una laparotomía de emergencia incluyen la perforación intestinal, la obstrucción intestinal y la dehiscencia de sutura.
  • 2. A pesar de la alta morbimortalidad que presenta la laparotomía de emergencia, en los últimos años muestra una tendencia decreciente.
  • 3. Las directrices de recuperación acelerada tras cirugía, diseñadas para laparotomías de emergencia, tienen como objetivo principal reducir las complicaciones, la estancia hospitalaria y los costos asociados, contribuyendo a la optimización de los resultados clínicos y económicos.
  • 4. Las nuevas guías ERAS enfatizan la necesidad de incorporar de manera sistemática escalas validadas en la práctica clínica, ya que éstas permiten mejorar la comunicación entre el equipo quirúrgico, asignar el nivel adecuado de cuidados a cada paciente y optimizar su manejo clínico.


REFERENCIAS (EN ESTE ARTÍCULO)

  1. Parthasarathy S, Sripriya R, Krishnaveni N. Anesthetic management of intestinal obstruction: a postgraduate educational review. Anesth Essays Res. 2016;10:397-401. doi: 10.4103/0259-1162.177192.

  2. Peden CJ, Aggarwal G, Aitken RJ, Anderson ID, Bang N, Cooper Z, et al. Guidelines for Perioperative Care for Emergency Laparotomy Enhanced Recovery After Surgery (ERAS) Society Recommendations: Part 1—preoperative: diagnosis, rapid assessment and optimization. World J Surg. 2021;45:1272-1290. doi: 10.1007/s00268-021-05994-9.

  3. Scott MJ, Aggarwal G, Aitken RJ, Anderson ID, Balfour A, Foss NB, et al. Consensus Guidelines for Perioperative Care for Emergency Laparotomy Enhanced Recovery After Surgery (ERAS®) Society Recommendations Part 2-Emergency laparotomy: intra- and postoperative care. World J Surg. 2023;47:1850-1880. doi: 10.1007/s00268-023-07020-6.

  4. Peden CJ, Aggarwal G, Aitken RJ, Anderson ID, Balfour A, Foss NB, et al. Enhanced Recovery After Surgery (ERAS®) Society Consensus Guidelines for Emergency Laparotomy Part 3: organizational aspects and general considerations for management of the emergency laparotomy patient. World J Surg. 2023;47:1881-1898. doi: 10.1007/s00268-023-07039-9.

  5. Aggarwal G, Scott M, Peden CJ. Emergency laparotomy. Anesthesiol Clin. 2022;40:199-211. doi: 10.1016/j.anclin.2021.11.010.

  6. El-Orbany M, Connolly LA. Rapid sequence induction and intubation: current controversy. Anesth Analg. 2010;110:1318-1325. doi: 10.1213/ANE.0b013e3181d5ae47.

  7. Zdravkovic M, Berger-Estilita J, Sorbello M, Hagberg CA. An international survey about rapid sequence intubation of 10,003 anaesthetists and 16 airway experts. Anaesthesia. 2020;75:313-322. doi: 10.1111/anae.14867.

  8. Barazanchi A, Bhat S, Palmer-Neels K, MacFater WS, Xia W, Zeng I, et al. Evaluating and improving current risk prediction tools in emergency laparotomy. J Trauma Acute Care Surg. 2020;89:382-387. doi: 10.1097/TA.0000000000002745.

  9. Murphy PB, Vogt KN, Lau BD, Aboagye J, Parry NG, Streiff MB, et al. Venous thromboembolism prevention in emergency general surgery; a review. JAMA Surg. 2018;153(5):479-486. doi: 10.1001/jamasurg.2018.0015.



AFILIACIONES

1 Hospital Universitario Virgen Macarena. Sevilla, España.

2 Servicio de Anestesiología y Reanimación.

3 Departamento de Cirugía, Facultad de Medicina de la Universidad de Sevilla. España.

4 Servicio de Anestesiología y Reanimación, Hospital Universitario San Cecilio. Granada, España.



CORRESPONDENCIA

Dra. Alegría Caparrós-Lledó. E-mail: alecalledo@gmail.com




Recibido: 14-01-2024. Aceptado: 20-11-2024.

Figura 1
Figura 2
Figura 3

2020     |     www.medigraphic.com

Mi perfil

C?MO CITAR (Vancouver)

Rev Mex Anest. 2025;48

ARTíCULOS SIMILARES

CARGANDO ...