medigraphic.com
ENGLISH

Revista ADM Órgano Oficial de la Asociación Dental Mexicana

ISSN 0001-0944 (Impreso)
Órgano Oficial de la Asociación Dental Mexicana
  • Mostrar índice
  • Números disponibles
  • Información
    • Información general        
    • Directorio
  • Publicar
    • Instrucciones para autores        
    • Envío de artículos
  • medigraphic.com
    • Inicio
    • Índice de revistas            
    • Registro / Acceso
  • Mi perfil

2025, Número 5

<< Anterior Siguiente >>

Rev ADM 2025; 82 (5)


Herramientas digitales: alternativa a la rehabilitación protésica inmediata.

García Muñoz, Juan Carlos1,2; García González, Francisco Gerardo1,3; Gómez Anguiano, Medardo1,4; Gámez Martínez, Aída1,5; Fernández Medina, Leonardo1,6
Texto completo Cómo citar este artículo 10.35366/121641

DOI

DOI: 10.35366/121641
URL: https://dx.doi.org/10.35366/121641
Artículos similares

Idioma: Español
Referencias bibliográficas: 9
Paginas: 296-300
Archivo PDF: 1996.75 Kb.


PALABRAS CLAVE

CAD-CAM, prótesis dental total inmediata, rehabilitación bucal, maxilares edéntulos.

RESUMEN

Introducción: las tecnologías digitales han simplificado el flujo de trabajo tanto en clínica como en el laboratorio dental; y nos han introducido a nuevos materiales y técnicas. Objetivo: describir el flujo de trabajo digital para la fabricación de dos prótesis totales inmediatas por diseño y fabricación por computadora (CAD/CAM), así como su personalización con agregados de acrílico de autocurado. Presentación del caso: paciente femenino de 48 años de edad quien acude a las clínicas dentales de la Universidad de Monterrey, el motivo principal de consulta fue rehabilitar su dentadura. Conclusiones: en la actualidad se pueden sumar las técnicas análogas y digitales para fabricar prótesis que se integren de mejor manera a las características de cada paciente, lo cual asegura un resultado de mayor estética y adaptabilidad.



INTRODUCCIóN

La fabricación de prótesis totales ha cambiado conforme a las tecnologías de diseño y fabricación asistida por computadora (CAD/CAM: Computer-Aided Design / Computer-Aided Manufacturing) han ido evolucionando y mejorando los procesos de producción de estas mismas. Cada vez se ha vuelto más fácil y rápido realizar un diseño asistido por computadora, al igual que efectuar correcciones rápidas y con un menor esfuerzo. Igualmente, los dentistas y técnicos han incursionado en el uso de nuevos materiales y técnicas, los cuales han demostrado ser más resistentes, precisos e igual de biocompatibles.1,2

La rehabilitación de un paciente que eventualmente se convertirá en portador de dentadura es todo un reto, esto se debe a que en muchas ocasiones se requiere combinar distintas modalidades de tratamientos. Cuando un paciente va a ser sometido a extracciones múltiples se recomienda que en la misma cita en la que se realicen los procedimientos quirúrgicos se coloquen prótesis inmediatas.3 Y con ello, la necesidad de adoptar tratamientos protésicos en los que la estética y la función son prioridad en el tratamiento, incluso por periodos de tiempo limitado; por este motivo, es necesario utilizar métodos sustitutivos que satisfacen este tipo de demandas.4

En el caso de las prótesis removibles realizadas por CAD/CAM se ha observado que la producción de sus bases ha mostrado ser de un tono monocromático, y estas mismas no muestran características que podríamos conseguir en una prótesis realizada de forma tradicional; utilizando diversos tonos de acrílicos. Hoy en día existen diversos materiales que pueden brindar una mayor estética a las prótesis removibles creadas por CAD/CAM;5 pero estos materiales suelen ser más costosos o de difícil acceso en distintas zonas, como lo es en Latinoamérica. Por tal motivo se buscan nuevas alternativas para el diseño estético de nuevas prótesis dentales. La idea principal es utilizar materiales convencionales (acrílicos y monómeros) junto con la tecnología del diseño asistido y fabricado por computadora para realizar prótesis inmediatas con un mayor nivel de estética.



PRESENTACIóN DEL CASO

Paciente femenino de 48 años de edad, que acudió a la Clínica de Prevención Dental de la Universidad de Monterrey, con motivo de consulta: "Quiero arreglarme mis dientes". La paciente indicó no tener ningún antecedente personal patológico ni consumir ningún medicamento. En su examen extraoral se observó una pérdida de dimensión vertical y un nulo soporte labial. Intraoralmente se encontró un edentulismo parcial tanto superior como inferior, la existencia de restos radiculares y un reborde alveolar irregular. Radiográficamente se pudo observar que no existe un soporte fijo en ambas arcadas (Figura 1).

Se realizó el siguiente plan de tratamiento dividido en fases:

Fase 1: extracción de restos radiculares y alveoloplastia en maxilar superior.

Fase 2: extracción de los restos radiculares, al igual que de los órganos dentales (OD) 4.4 y 4.5, y alveoloplastia en mandíbula. Se decidió tomar este orden de extracciones debido a que durante el procedimiento de extracción pueden caer residuos, como fragmentos de amalgama, coronas fracturadas y esquirlas de hueso, en los alvéolos vacíos de los dientes inferiores si la cirugía inferior se ha realizado en primer lugar.6 Para la regulación del proceso, se optó hacer el alisado con una lima ósea.

Fase 3: posteriormente, en una semana se citó a la paciente para retiro de puntos de sutura y toma de impresiones de alginato con cucharillas individuales, previamente fabricadas, para la toma de registro de mordida con bases y rodillos, utilizando yeso tipo III para la fabricación de los modelos, que posteriormente se escanearon.

Se realizaron las placas bases (Graff Perfex®) y rodillos. Utilizando platina de Fox, se tomaron las medidas necesarias, así como la inclinación, posición y altura de los rodillos; por último, se procedió a tomar las posiciones de línea media, de máxima sonrisa y de caninos.

Las prótesis inmediatas fueron realizadas utilizando inLab CAD Software de Dentsply Sirona® en el laboratorio dental de la Universidad de Monterrey. Se tomaron ambos modelos y se procedió a escanearlos, al igual que al registro de mordida. Posteriormente, se comprobó la oclusión y se definió el eje de inserción de las prótesis removibles provisionales; de igual manera, la extensión de la línea base de las prótesis, y se editaron los puntos de referencia anatómicos. El software lanzó un estimado sobre la colocación de las piezas dentales y, posteriormente, se realizaron ajustes en la posición dental (Figura 2). La paciente tenía mordida clase II y se decidió mantenerla en clase II compensada (esto se logró inclinando los OD anterosuperiores hacia lingual e inclinando los anteroinferiores). Una vez que se realizaron las modificaciones en las piezas dentales, estos mismos se compararon con las referencias de los rodillos previamente tomados para que se tuviera la seguridad de la estética y que pudiera desempeñar una correcta función (Figura 2). Por último, se procedió a editar la base de la prótesis y se realizaron ajustes basándonos en las líneas de referencias de máxima sonrisa de los rodillos (Figura 2).

Se imprimieron ambas prótesis inmediatas en resina fotopolimerizada a base de metacrilato color A2 (Temporary CB Resin de la marca Formlabs®) (Figura 3). Se llevó a cabo con la impresora 3D modelo IBEE de la marca UNIZ® utilizando un grosor de capa de 25 micras.

Se caracterizó la prótesis inmediata con acrílico termocurado color R5V. Para evitar superposiciones de acrílico en la dentadura, se colocó vaselina en las piezas dentales y se cubrió con una llave de silicona (se utilizó la marca Speedex®). Al terminar, se recubrió la prótesis en toda su superficie con sellante de composite de alta penetración de la marca PermaSeal® (Figura 3).

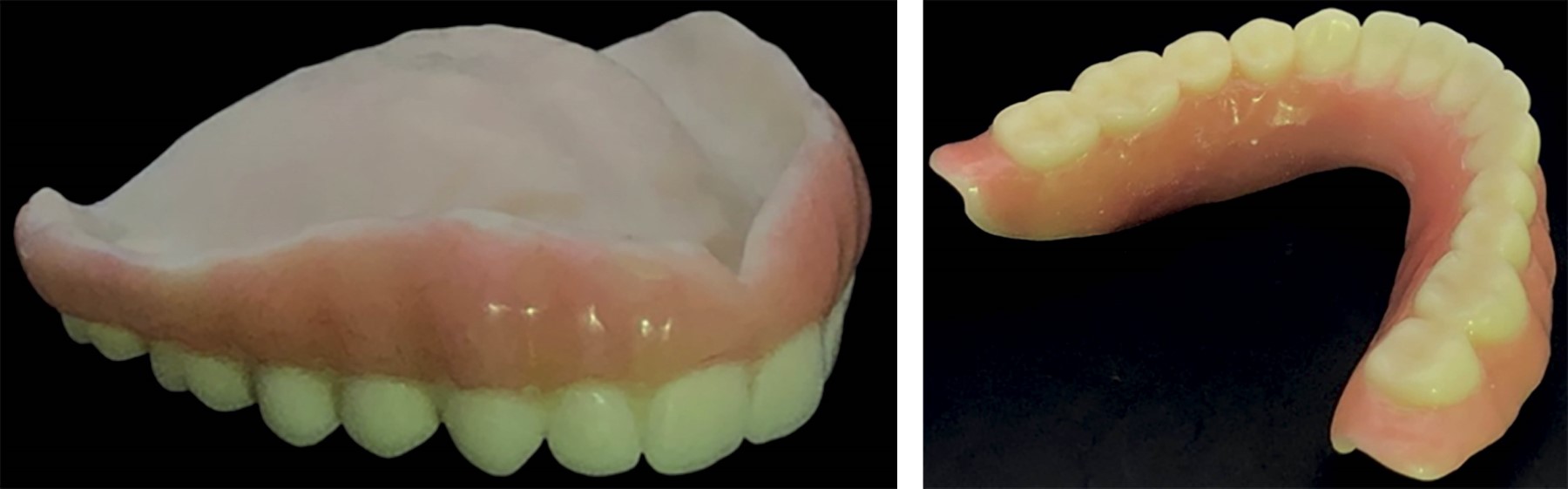
Se realizó la entrega de las prótesis inmediatas (Figura 4). Al colocar se utilizó un acondicionador de tejidos para bases y rebases de la marca Softy®. Se colocó el material en la prótesis inmediata superior y posteriormente en la inferior y con ello se le indicó a la paciente que mordiera. Después se realizaron ajustes en la línea de la base de la dentadura y ajustes oclusales (Figura 4).



DISCUSIóN

El objetivo de este plan de tratamiento fue resolver la problemática por las que son reconocidas las prótesis inmediatas: imposibilidad de lograr un potencial estético, dificultad para registrar adecuadamente las relaciones craneomandibulares, problemas para adaptar las prótesis el día de las extracciones, sobrecontorneado de prótesis, etcétera.3 Se logra una mayor estabilidad de ambas prótesis, así como una mejoría en la estética y en la adaptación de la paciente a éstas. Con ello se reduce la aparición de úlceras traumáticas y se incrementa la comodidad en su uso, proporcionando mayores beneficios en comparación con una prótesis inmediata convencional.2,7

El desarrollo de nuevas tecnologías en odontología está permitiendo a los clínicos realizar restauraciones de una manera más rápida, sencilla y precisa.7 Por ello fue fácil realizar cada una de las etapas de fabricación de las prótesis, puesto que gracias a la tecnología CAD/CAM todos estos procesos se han automatizado y reducen considerablemente los tiempos. Anteriormente una prótesis convencional podría estar lista en un tiempo incierto de días, mientras que, utilizando métodos aditivos y sustractivos, para la fabricación de prótesis totales, pueden tardar algunas horas en que una prótesis se encuentre lista para su entrega.2,8 Otra ventaja al utilizar el CAD/CAM son las herramientas virtuales de encerado para ajustar la forma, el tamaño y las posiciones de los dientes permitiendo que cada caso sea personalizado.8

De igual manera, se puede realizar una prótesis inmediata estética y a un menor costo; esto gracias a la adherencia que existe entre resinas y acrílicos. Existen mejores materiales para brindar una mejor estética a las prótesis;5 pero dichos materiales son de difícil acceso y tienen un costo elevado, además se requiere de una habilidad artística para realizar dichos aspectos estéticos, ya sea si se utilizan acrílicos termocurados o agentes colorantes a base de resina.5

En la actualidad, el uso del método de impresión se utiliza comúnmente para las prótesis totales provisionales y para realizar pruebas de enfilado; mientras que la técnica de fresado es la preferida para la producción de prótesis completas definitivas.5,9 En un futuro se espera que las tecnologías por adherencia superen en precisión, estética y rapidez a aquellas que se realizan por sustracción: puesto que los materiales que se utilizan son mucho más accesibles, al igual que las máquinas utilizadas.



CONCLUSIONES

La utilización de una técnica digital combinada puede brindar una estética adecuada y personalizada para cada paciente. De mejor modo, utilizar pigmentos resinosos nos brinda una correcta, más rápida y cómoda caracterización de las prótesis removibles, ya sean inmediatas o definitivas. Este método nos brinda una mejor adaptación a los bordes alveolares de ambas arcadas, al igual que un menor tiempo en el consultorio con la paciente tratando de realizar modificaciones en dichas prótesis.


REFERENCIAS (EN ESTE ARTÍCULO)

  1. Srinivasan M, Kalberer N, Kamnoedboon P, Mekki M, Durual S, Ozcan M et al. CAD-CAM complete denture resins: an evaluation of biocompatibility, mechanical properties, and surface characteristics. J Dent. 2021; 114: 103785.

  2. Jurado CA, Tsujimoto A, Alhotan A, Villalobos-Tinoco J, AlShabib A. Digitally fabricated immediate complete dentures: case reports of milled and printed dentures. Int J Prosthodont. 2020; 33 (2): 232-241. doi: 10.11607/ijp.6305.

  3. Reséndiz Melgar H, Bernal Arciniega R. De las prótesis inmediatas a la sobredentadura: Reporte de un caso. Rev Odont Mex. 2014; 18 (4): 241-248.

  4. Bortolotti L. Prótesis removibles clásicas e innovaciones. Caracas, Venezuela: AMOLCA; 2006. p. 171.

  5. Contrepois M, Sireix C, Soenen A, Pia JP, Lasserre JF. Complete denture fabrication with CAD/CAM technology: a case report. Int J Esthet Dent. 2018; 13 (1): 66-85.

  6. Ellis E, Tucker MR, Hupp JR. Cirugía oral y maxilofacial contemporánea. 7a edición. Barcelona: Elsevier; 2020. p. 139.

  7. Jurado C, Sayed M, Fu CC, Villalobos-Tinoco J, Tsujimoto A. Computer-aided design and computer-aided manufacturing (CAD/CAM) complete dentures for atrophic alveolar ridges: workflow combining conventional and novel techniques. Cureus. 2022; 14 (1): e21093. doi: 10.7759/cureus.21093.

  8. Mendonca G, Edwards SP, Mayers CA, Meneghetti PC, Liu F. Digital immediate complete denture for a patient with rhabdomyosarcoma: a clinical report. J Prosthodont. 2021; 30 (3): 196-201. doi: 10.1111/jopr.13305.

  9. Chaturvedi S, Addas MK, Alqahtani NM, Al Ahmari NM, Alfarsi MA. Clinical analysis of CAD-CAM milled and printed complete dentures using computerized occlusal force analyser. Technol Health Care. 2021; 29 (4): 797-811. doi: 10.3233/THC-202766.



AFILIACIONES

1 Universidad de Monterrey. Nuevo León, México.

2 Cirujano dentista.

3 Cirujano maxilofacial.

4 Maestría en Odontología Avanzada.

5 Maestría en Salud Publica y Nutrición.

6 Médico cirujano dentista.



Conflicto de intereses: no hay conflicto de intereses por parte de los autores.

Aspectos éticos: se realizó firma del consentimiento informado de la paciente que fue atendida en las clínicas dentales de la Universidad de Monterrey.

Financiamiento: no fue financiado este caso.



CORRESPONDENCIA

Juan Carlos García Muñoz. E-mail: juan.garciam@udem.edu




Recibido: 13 de octubre de 2023. Aceptado: 15 de septiembre de 2025.

Figura 1
Figura 2
Figura 3
Figura 4

2020     |     www.medigraphic.com

Mi perfil

C?MO CITAR (Vancouver)

Rev ADM. 2025;82

ARTíCULOS SIMILARES

CARGANDO ...