medigraphic.com
ENGLISH

Revista ADM Órgano Oficial de la Asociación Dental Mexicana

ISSN 0001-0944 (Impreso)
Órgano Oficial de la Asociación Dental Mexicana
  • Mostrar índice
  • Números disponibles
  • Información
    • Información general        
    • Directorio
  • Publicar
    • Instrucciones para autores        
    • Envío de artículos
  • medigraphic.com
    • Inicio
    • Índice de revistas            
    • Registro / Acceso
  • Mi perfil

2025, Número 5

<< Anterior

Rev ADM 2025; 82 (5)


Tratamiento de un paciente adulto con apiñamiento moderado inferior y ligero superior anterior y desgaste interproximal con alineadores Invisalign® con un enfoque en la estabilidad.

García López, Salvador1,2; Villanueva Arriaga, Rosina Eugenia1
Texto completo Cómo citar este artículo 10.35366/121642

DOI

DOI: 10.35366/121642
URL: https://dx.doi.org/10.35366/121642
Artículos similares

Idioma: Español
Referencias bibliográficas: 45
Paginas: 301-309
Archivo PDF: 6156.29 Kb.


PALABRAS CLAVE

apiñamiento moderado, sin extracciones, Invisalign®, estabilidad.

RESUMEN

Se brinda atención a un hombre de 25 años con una relación de incisivos de clase I sobre un patrón esquelético también clase I, quien presenta un ligero aumento de la altura de la cara inferior y apiñamiento moderado anterior inferior y superior ligero. El paciente fue tratado con 28 alineadores Invisalign®, sin extracciones, con reducción interproximal. La forma de las arcadas superior e inferior se mantiene. Asimismo, se conserva la distancia intercanina, dejando los incisivos inferiores en su posición original posterior al tratamiento. Se consiguen estética, función y estabilidad. Se plantean las diferentes propuestas de tratamientos sugeridas por las recomendaciones del sistema Invislign® con sus ventajas y limitaciones para lograr la excelencia del tratamiento con alineadores.



INTRODUCCIóN

Hoy en día, los pacientes adultos demandan tratamientos de ortodoncia estética y confortable. Los alineadores transparentes han llamado la atención por lo estético que son. Originalmente descritos por Kesling en 19471 y popularizados por Sheridan en 1993,2 los alineadores Invisalign® se introdujeron en la práctica de ortodoncia aproximadamente tres décadas atrás (1997), por Align Technology (Santa Clara, California, USA). Aunque estos alineadores han mejorado su eficiencia a través de los años con la incorporación de nuevos materiales y diferentes aditamentos que incluyen: los cortes de precisión, botones, brazos auxiliares y los power ridges, la biomecánica debe lograr resultados de tratamiento predecibles.3

En comparación con los aditamentos fijos, los alineadores han mostrado no producir desmineralización del esmalte, mejor control gingival4 y, en algunos casos, reducir el tiempo de tratamiento.5 Sin embargo, hoy en día, como todos los tratamientos relacionados con la ortodoncia, deben ser cuidadosamente planeados con una terapéutica apropiada basada en la evidencia científica.

Tradicionalmente, la planeación del tratamiento se basa en diferentes análisis cefalométricos como auxiliares del diagnóstico. Cada análisis está relacionado con el objetivo de proveer función, estabilidad y estética, para lo cual se toma en consideración la posición del incisivo inferior como punto central del tratamiento.6-17 Al incrementar la distancia intercanina inferior, así como ampliar la forma de arcada en el arco superior y proinclinar los incisivos inferiores con el tiempo tiende a tomar la forma inicial pretratamiento.18-23 Por esto, es muy común escuchar que la recidiva de la irregularidad de los incisivos inferiores postratamiento se originó por los terceros molares, una evidencia equivocada.24,25 La presentación de este caso fue con el propósito de implementar principios de estabilidad con alineadores Invisalign® en un paciente que fue tratado sin extracciones, con desgaste interproximal.



PRESENTACIóN DEL CASO

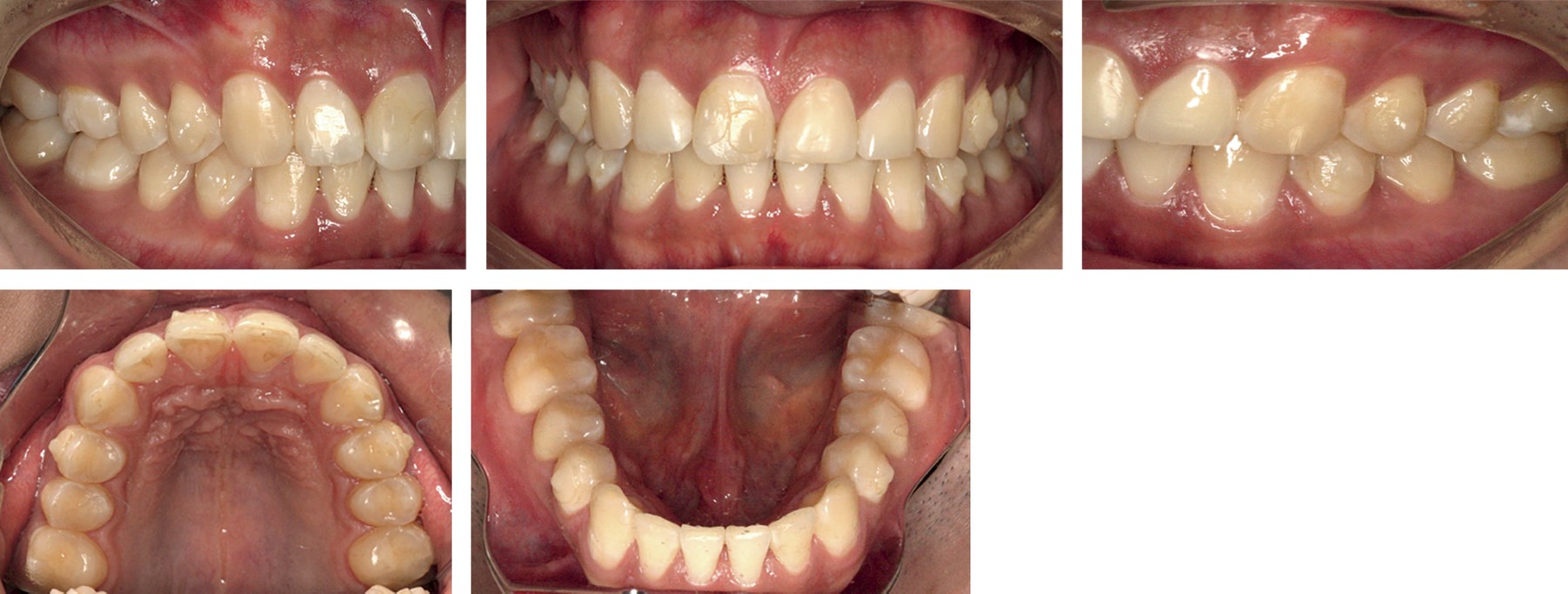
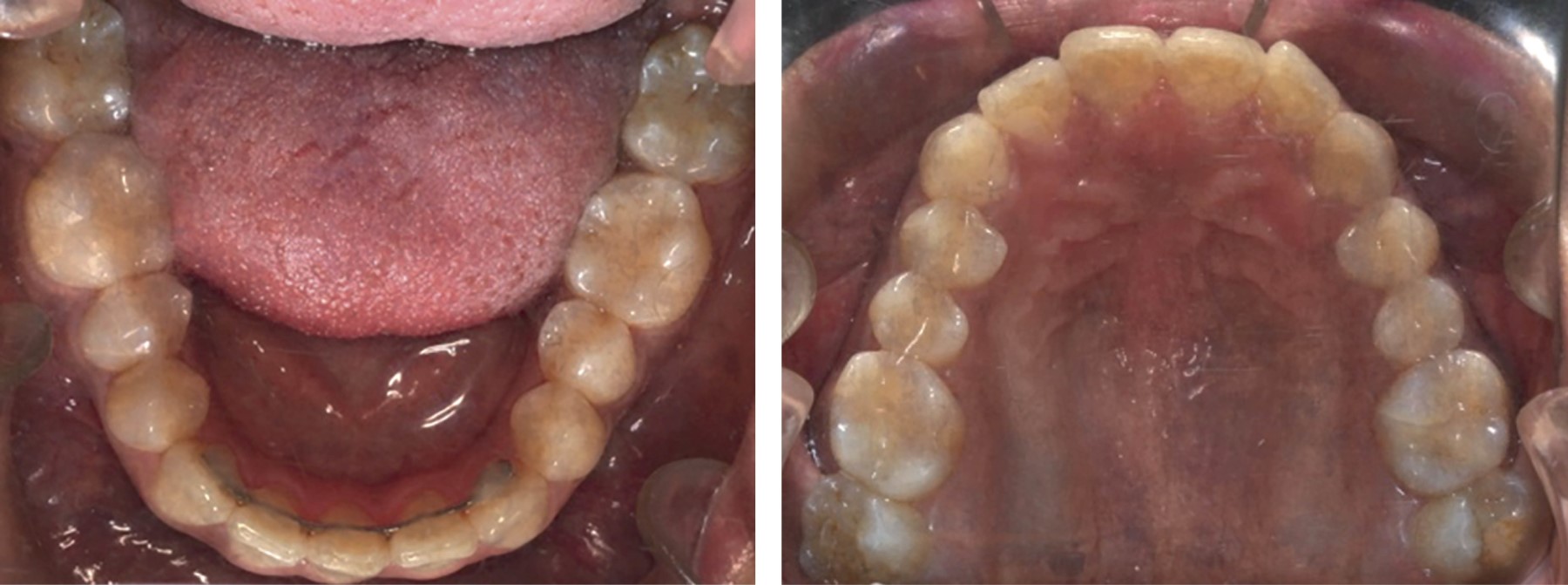
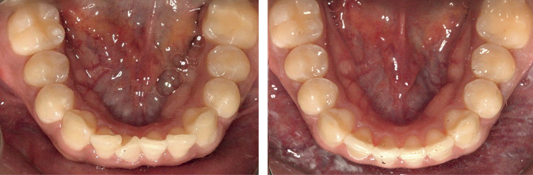
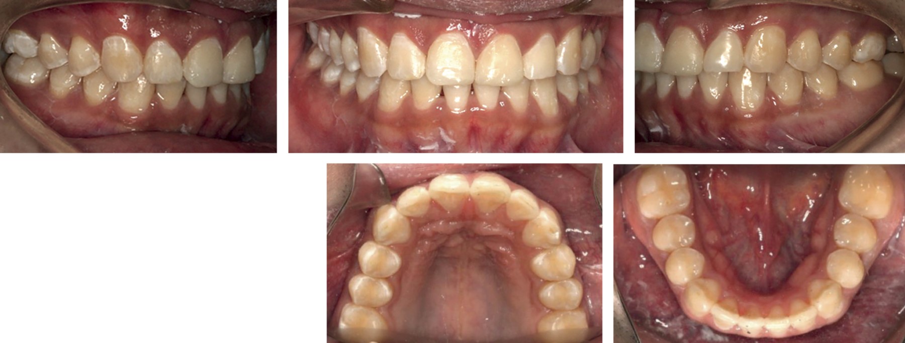
Hombre de 25 años con una relación de incisivos de clase I sobre una base esquelética I, con un ligero aumento de la altura de la cara inferior y apiñamiento moderado anterior inferior y superior ligero (Figuras 1 y 2). Motivos del tratamiento: no le gusta el apiñamiento anterior inferior y superior; no desea tratarse con aparatos fijos. Historia médica: sin anormalidades médicas relevantes detectables. Higiene bucal: buena. Patrón de tejidos blandos: labios competentes, línea normal del labio inferior y desde la lengua hasta los incisivos superiores presenta un patrón de deglución normal. Sin antecedentes de hábitos pasados. Articulación temporomandibular: no hay evidencia de signos o síntomas de disfunción de la articulación temporomandibular (ATM) ni asimetría facial considerable. Todos los dientes erupcionaron; sin embargo, presenta retención del tercer molar inferior izquierdo. En oclusión: relación de los incisivos de clase I, línea central bien alineada, sobremordida horizontal de 6 mm y vertical de 3 mm. Oclusión posterior: clase I de Angle, segmento labial superior de 7 mm, e inferior de 8 mm de apiñamiento, segmento bucal superior e inferior razonablemente bien alineados, no hay mordidas cruzadas, ni desplazamientos mandibulares. Pronóstico del tratamiento: bueno. Etiología con patrón esquelético clase I y desproporción dentoalveolar (Figura 3).

Objetivos del tratamiento

  • 1. Eliminar el apiñamiento anterosuperior e inferior
  • 2. Alinear los dientes
  • 3. Mantener la relación canina y molar de clase I
  • 4. Retención
  • 5. Revisión

Plan de tratamiento

    • 1. Escaneo de los dientes (iTero dos elementos)
    • 2. Planificación detallada del tratamiento en la plataforma de Invisalign®
    • 3. Revisión del clincheck
    • 4. Planificación de la versión final del clincheck
    • 5. Colocación de alineadores
    • 6. Segunda etapa de alineadores (refinamiento)
    • 7. Colocación de alineadores
    • 8. Evaluación final del tratamiento
    • 9. Retención
    • 10. Revisión (Figura 4)

    Progreso del tratamiento

    Se realizaron entre 0.2, 3.4 y 0.5 mm de desgaste interproximal en la arcada inferior desde mesial del primer molar permanente hasta mesial del primer molar permanente del otro lado. En la arcada superior, el desgaste interproximal se realizó entre el mesial del primer molar permanente y el mesial del primer premolar en ambos lados. Los aditamentos optimizados se colocaron de acuerdo con el clincheck (Figura 5,6 y 7).



    DISCUSIóN

    El caso presentado utilizó al inicio del tratamiento 14 alineadores por un periodo de siete meses, los cuales se sustituyeron periódicamente cada dos semanas. Posteriormente, fueron utilizados los alineadores de refinamiento por siete meses siguiendo la mecánica de la primera fase.

    El total del tratamiento tomó un año dos meses. El paciente utilizó los alineadores (en promedio) 22 horas por día. Esto, sin dejar de utilizar los alineadores durante todo el tratamiento para evitar el desfase del movimiento dentario.

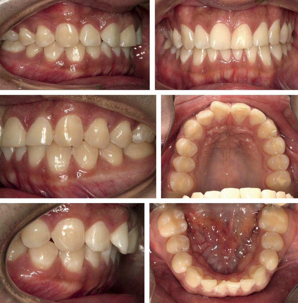
    Se le realizó desgaste interproximal en el segmento labial inferior y superior; se mantuvo la distancia intercanina y la de la anchura de la arcada superior e inferior; se mantuvo la posición original del incisivo inferior después del tratamiento de ortodoncia (Figuras 8, 9 y 10).

    De acuerdo con la guía de tratamiento de Invisalign®,26 el apiñamiento moderado en las maloclusiones clase I, sugiere ser atendido de acuerdo con tres modalidades:

    • 1. Expansión-proinclinación-reducción interproximal
    • 2. Extracción de un incisivo inferior
    • 3. Distalización secuencial de molares

    Esta última persigue como propósito el lograr una distalización molar eficaz y eficiente para corregir la relación molar a una clase I y crear espacio para la corrección del apiñamiento anterior, punto que ha sido motivo de debate desde hace muchos años en la práctica de la ortodoncia.27

    La expansión-proinclinación y reducción interproximal se ha practicado durante varias décadas con aparatología fija y también con alineadores,28 en tanto que en otros casos solo se ha aplicado la proinclinación de los incisivos. Un estudio reveló que la inclinación de los incisivos inferiores mayor a 95 grados con una margen gingival libre mayor a 0.5 mm, presentó posteriormente una mayor recesión gingival.29 Por otro lado, es importante tomar en cuenta las dehicencias y fenestraciones presentes antes de comenzar el tratamiento, si es que se considera la proinclinación de incisivos, en tanto que estos defectos óseos pueden incrementar el postratamiento.30 Debe valorarse una retención permanente en este tipo de planeación, ya que la presión del labio y el equilibrio de la presión de la lengua (conocida como zona neutra), los incisivos y la distancia intercanina tienden a regresar a su posición original, lo que da por resultado la reaparición del apiñamiento como efecto de la citada pérdida de retención, al igual que la forma de arcada (Figura 11).18,19,29

    La extracción de un incisivo inferior en el caso del apiñamiento en adultos se ha utilizado, durante mucho tiempo,31 en lugar de extraer los cuatro premolares, siempre que la discrepancia de Bolton sea considerable.32 Sin embargo, esta debe planearse adecuadamente, pues si la discrepancia del arco inferior queda ligeramente menor que la superior, el segmento labial superior tenderá a colapsarse (Figura 12).33

    La reducción interproximal propuesta por Sheridan34 ha sido planteada para las discrepancias del segmento labial inferior.35 Fue así como se realizó en el caso presentado. Se tomó en consideración la recidiva de la proinclinación del segmento labial inferior y se mantuvo la inclinación antes y después del tratamiento. Las fuerzas intrínsecas y extrínsecas entre el labio y la lengua mantienen la posición del incisivo,14,36 además de respetar la distancia intercanina y forma de arcada,18-22 a fin de minimizar la recidiva y lograr la estabilidad a largo plazo. No obstante que los dientes sean rotados, se recomienda la fibrotomía del ligamento periodontal,37 ya que las fibras tienden a remodelarse en un plazo alrededor de los 360 días38 y así evitar la recidiva.

    Por el otro lado, la biomecánica con alineadores ha conllevado una curva de aprendizaje larga pero interesante, ya que en cierta forma el ingenio de cada ortodoncista ha llevado a entender mejor el manejo de los alineadores, lo cual ha dado lugar a que muchos de los reportes en la literatura estén basados en la experiencia clínica y de los "expertos de opinión". En menor grado se cuenta con reportes de la evidencia científica,39 no obstante que ya se acumularon dos décadas y media desde que los alineadores se empezaron a utilizar. Durante este periodo se han encontrado varias ventajas, entre las que se pueden citar: tratamiento estético, disminución de las lesiones blancas, menor problema periodontal y menor dolor.40,41 Por lo general se utilizan y se sustituyen cada semana o dos y el uso debe ser de 22 horas al día. Sin embargo, la biomecánica es diferente a la de los tradicionales brackets preajustados o autoligables, en tanto que los alineadores utilizan fuerzas y presión sobre los dientes en diferentes contactos de la superficie de la corona,42 lo que puede lograr por semana 0.25 mm de movimiento en promedio,43 hasta que los alineadores queden bien adaptados a la superficie de los dientes.

    En los casos de apiñamiento y otro tipo de maloclusión, la predicción que ofrece la plataforma denominada clincheck para la planificación del tratamiento valora el resultado final bastante bien. Sin embargo, en la práctica, durante la primera etapa de uso de los alineadores, no es totalmente predecible.44,45 Es posible lograr mayor predictibilidad con los alineadores de refinamiento y lograr los objetivos del tratamiento.



    CONCLUSIONES

    Diferentes modalidades de tratamiento para el apiñamiento moderado han sido planteadas con sus limitaciones y soluciones.

    El caso presentado fue tratado con reducción interproximal, manteniendo los incisivos en su posición original antes y después, la distancia intercanina y la forma de arcada, con el objetivo de minimizar la recidiva.

    Para el tratamiento se tomó en consideración la estética, función y estabilidad con el uso de alineadores Invisalign®.


    REFERENCIAS (EN ESTE ARTÍCULO)

    1. Kesling HD. The philosophy of the tooth positioning appliance. Am J Orthod Oral Surg. 1945; 31 (6): 297-304. doi: 10.1016/0096-6347(45)90101-3.

    2. Sheridan JJ, LeDoux W, McMinn R. Essix retainers: fabrication and supervision for permanent retention. J Clin Orthod. 1993; 27 (1): 37-45. doi: 10.5005/jp-journals-10021-1138.

    3. Castroflorio T, Sedran A, Parrini S, Garino F, Reverdito M, Capuozzo R et al. Predictability of orthodontic tooth movement with aligners: effect of treatment design. Prog Orthod. 2023; 24 (1): 47. doi: 10.1186/s40510-023-00499-8.

    4. Bisht S, Khera AK, Raghav P. White spot lesions during orthodontic clear aligner therapy: a scoping review. J Orthod Sci. 2022; 11: 9. doi: 10.4103/jos.jos_170_21.

    5. Buschang PH, Shaw SG, Ross M, Crosby D, Campbell PM. Comparative time efficiency of aligner therapy and conventional edgewise braces. Angle Orthod. 2014; 84 (3): 391-396. doi: 10.2319/062113-466.

    6. Hasund A, Ulstein G. The position of the incisors in relation to the lines NA and NB in different facial types. Am J Orthod. 1970; 57 (1): 1-14.

    7. Hasund A, Boe OE. Floating norms as guidance for the position of the lower incisors. Angle Orthod. 1980; 50 (3): 165-168.

    8. Holdaway RA. Changes in relationship of points A and B during orthodontic treatment. Am J Orthod. 1956; 42 (3): 176-193.

    9. Holdaway RA. A soft-tissue cephalometric analysis and its use in orthodontic treatment planning. Part I. Am J Orthod. 1983; 84 (1): 1-28.

    10. Holdaway RA. A soft-tissue cephalometric analysis and its use in orthodontic treatment planning. Part II. Am J Orthod. 1984; 85 (4): 279-293.

    11. Houston WJ. The current status of facial growth prediction: a review. Br J Orthod. 1979; 6 (1): 11-17.

    12. Janson I, Hasund A. Cephalometric guidance for the positioning of the lower incisors. Eur J Orthod. 1981; 3 (4): 237-240.

    13. Lindquist JT. The lower incisor—Its influence on treatment and esthetics. Am J Orthod. 1958; 44 (2): 112-140.

    14. Mills JR. The stability of the lower labial segment. A cephalometric survey. Dent Pract Dent Rec. 1968; 18 (8): 293-306.

    15. Ricketts RM. Perspectives in the clinical application of cephalometrics. The first fifty years. Angle Orthod. 1981; 51 (2): 115-150.

    16. Sebulhof R, Alien RW, Waiters RD, Dreskin M. The mandibular dental arch: lower incisor position. Angle Orthod; 1977; 47 (4): 280-287.

    17. Steiner CC. Cephalometrics for you and me. Am J Orthod. 1953; 39 (10): 729-755.

    18. Little RM, Riedel RA, Artun J. An evaluation of changes in mandibular anterior alignment from 10 to 20 years postretention. Am J Orthod Dentofacial Orthop. 1988; 93 (5): 423-428. doi: 10.1016/0889-5406(88)90102-3.

    19. Horowitz SL, Hixon EH. Physiologic recovery following orthodontic treatment; Am J Orthod. 1969; 55 (1): 1-4. doi: 10.1016/s0002-9416(69)90168-7.

    20. Houston WJ, Edler R. Long-term stability of the lower labial segment relative to the A-Pog line. Eur J Orthod. 1990; 12 (3): 302-310. doi: 10.1093/ejo/12.3.302.

    21. de la Cruz A, Sampson P, Little RM, Artun J, Shapiro PA. Long-term changes in arch form after orthodontic treatment and retention. Am J Orthod Dentofacial Orthop. 1995; 107 (5): 518-530. doi: 10.1016/s0889-5406(95)70119-2.

    22. BeGole EA, Fox DL, Sadowsky C. Analysis of change in arch form with premolar expansion. Am J Orthod Dentofacial Orthop. 1998; 113 (3): 307-315. doi: 10.1016/s0889-5406(98)70302-6.

    23. Saenz-Nevéres P, Justus R, Ondarza-Rovira R, García-López S. Análisis comparativo de la distancia intercanina del arco dental inferior en pacientes con y sin tratamiento de extracciones de primeros premolares. Rev Mex Ortodon. 2020; 8 (4): 225-235.

    24. Harradine NW, Pearson MH, Toth B. The effect of extraction of third molars on late lower incisor crowding: a randomized controlled trial. Br J Orthod. 1998; 25 (2): 117-122. doi: 10.1093/ortho/25.2.117.

    25. Richardson ME. The role of the third molar in the cause of late lower arch crowding: a review. Am J Orthod Dentofacial Orthop. 1989; 95 (1): 79-83. doi: 10.1016/0889-5406(89)90139-x.

    26. Invisaling Planing Guide. Disponible en: https://www.Invisalign.com/provider/education-and-support/clinical-eduaction

    27. Duncan LO, Piedade L, Lekic M, Cunha RS, Wiltshire WA. Changes in mandibular incisor position and arch form resulting from Invisalign® correction of the crowded dentition treated nonextraction. Angle Orthod. 2016; 86 (4): 577-583. doi: 10.2319/042415-280.1.

    28. Shen C, Park TH, Chung CH, Li C. Molar distalization by clear aligners with sequential distalization protocol: a systematic review and meta-analysis. J Funct Biomater. 2024; 15 (6): 137. doi: 10.3390/jfb15060137.

    29. Yared KF, Zenobio EG, Pacheco W. Periodontal status of mandibular central incisors after orthodontic proclination in adults. Am J Orthod Dentofacial Orthop. 2006; 130 (1): 6.e1-e8. doi: 10.1016/j.ajodo.2006.01.015.

    30. Sheng Y, Guo HM, Bai YX, Li S. Dehiscence and fenestration in anterior teeth: comparison before and after orthodontic treatment. J Orofac Orthop. 2020; 81 (1): 1-9. doi: 10.1007/s00056-019-00196-4.

    31. Giancotti A, Garino F, Mampieri G. Lower incisor extraction treatment with the Invisalign® technique: three case reports, J Orthod. 2015; 42 (1): 33-44. doi: 10.1179/1465313314Y.0000000117.

    32. Bolton WA. Disharmony in tooth size and its relation to the analysis and treatment of malocclusion. Angle Orthod. 1958; 28 (3): 113-130.

    33. Dacre JT. The long-term effects of one lower incisor extraction. Eur J Orthod. 1985; 7 (2): 136-144. doi: 10.1093/ejo/7.2.136.

    34. Sheridan JJ. Guidelines for contemporary air-rotor stripping. J Clin Orthod. 2007; 41 (6): 315-320.

    35. Livas C, Jongsma AC, Ren Y. Enamel reduction techniques in orthodontics: a literature review. Open Dent J. 2013; 7: 146-151. doi: 10.2174/1874210601307010146.

    36. Proffit WR. Equilibrium theory revisited: factors influencing position of the teeth. Angle Orthod. 1978; 48 (3): 175-186. doi: 10.1043/0003-3219(1978)048<0175:ETRFIP>2.0.CO;2.

    37. Edwards JG. A long-term prospective evaluation of the circumferential supracrestal fiberotomy in alleviating orthodontic relapse. Am J Orthod Dentofacial Orthop. 1988; 93 (5): 380-387. doi: 10.1016/0889-5406(88)90096-0.

    38. Reitan K. Clinical and histologic observations on tooth movement during and after orthodontic treatment. Am J Orthod. 1967; 53 (10): 721-745. doi: 10.1016/0002-9416(67)90118-2.

    39. Mendes-Ribeiro SM, Aragón MLSC, Espinosa DDSG, Shibasaki WMM, Normando D. Orthodontic aligners: between passion and science. Dental Press J Orthod. 2024; 28 (6): e23spe6. doi: 10.1590/2177-6709.28.6.e23spe6.

    40. Albhaisi Z, Al-Khateeb SN, Abu Alhaija ES. Enamel demineralization during clear aligner orthodontic treatment compared with fixed appliance therapy, evaluated with quantitative light-induced fluorescence: a randomized clinical trial. Am J Orthod Dentofacial Orthop. 2020; 157 (5): 594-601.

    41. Fujiyama K, Honjo T, Suzuki M, Matsuoka S, Deguchi T. Analysis of pain level in cases treated with Invisalign® aligner: comparison with fixed edgewise appliance therapy. Prog Orthod. 2014; 15 (1): 64. doi: 10.1186/s40510-014-0064-7.

    42. Upadhyay M, Arqub SA. Biomechanics of clear aligners: hidden truths & first principles. J World Fed Orthod. 2022; 11 (1): 12-21.

    43. Drake CT, McGorray SP, Dolce C, Nair M, Wheeler TT. Orthodontic tooth movement with clear aligners. ISRN Dent. 2012; 2012: 657973. doi: 10.5402/2012/657973.

    44. Grünheid T, Loh C, Larson BE. How accurate is Invisalign® in nonextraction cases? Are predicted tooth positions achieved? Angle Orthod. 2017; 87 (6): 809-815. doi: 10.2319/022717-147.1.

    45. Krieger E, Seiferth J, Marinello I, Jung BA, Wriedt S, Jacobs C et al. Invisalign® treatment in the anterior region: were the predicted tooth movements achieved? J Orofac Orthop. 2012; 73 (5): 365-376. doi: 10.1007/s00056-012-0097-9.



    AFILIACIONES

    1 Departamento de Atención a la Salud, Universidad Autónoma Metropolitana. Ciudad de México, México.

    2 Departamento de Ortodoncia, Universidad Intercontinental. Departamento de Ortodoncia. Hospital General "Dr. Manuel Gea González" UNAM. Ciudad de México, México.



    Conflicto de intereses: los autores declaran que no hay conflicto de intereses.

    Aspectos éticos: ninguno.

    Financiamiento: ninguno.



    CORRESPONDENCIA

    Dr. Salvador García López. E-mail: sgarcía@correo.xoc.uam.mx




    Recibido: 01 de septiembre de 2024. Aceptado: 01 de septiembre de 2025.
  • Figura 1
    Figura 2
    Figura 3
    Figura 4
    Figura 5
    Figura 6
    Figura 7
    Figura 8
    Figura 9
    Figura 10
    Figura 11
    Figura 12

    2020     |     www.medigraphic.com

    Mi perfil

    C?MO CITAR (Vancouver)

    Rev ADM. 2025;82

    ARTíCULOS SIMILARES

    CARGANDO ...