medigraphic.com
ENGLISH

Latin American Journal of Oral and Maxillofacial Surgery

ISSN 2992-7757 (Digital)
Órgano de difusión de la Asociación Latinoamericana de Cirugía y Traumatología Bucomaxilofacial (ALACIBU)
  • Mostrar índice
  • Números disponibles
  • Información
    • Información general        
    • Directorio
  • Publicar
    • Instrucciones para autores        
  • medigraphic.com
    • Inicio
    • Índice de revistas            
    • Registro / Acceso
  • Mi perfil

2025, Número 3

<< Anterior

Lat Am J Oral Maxillofac Surg 2025; 5 (3)


Patologías orales relacionadas con la ortodoncia: un caso clínico

Torrealba MF, Troncoso EC, Saavedra NC, Coderch FC, Espíndola MP, Lindgren RE
Texto completo Cómo citar este artículo 10.35366/121714

DOI

DOI: 10.35366/121714
URL: https://dx.doi.org/10.35366/121714
Artículos similares

Idioma: Ingles.
Referencias bibliográficas: 6
Paginas: 106-108
Archivo PDF: 1717.79 Kb.


PALABRAS CLAVE

patología oral, ortodoncia, lesión gingival, hiperplasia gingival espongiótica localizada, diagnóstico interdisciplinario.

RESUMEN

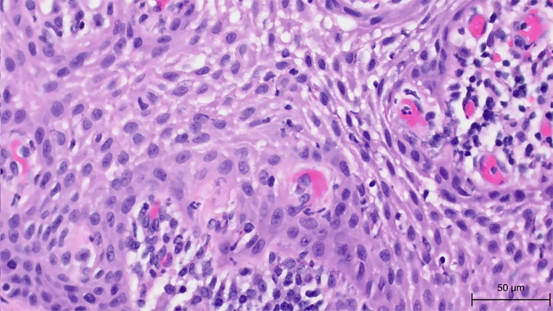
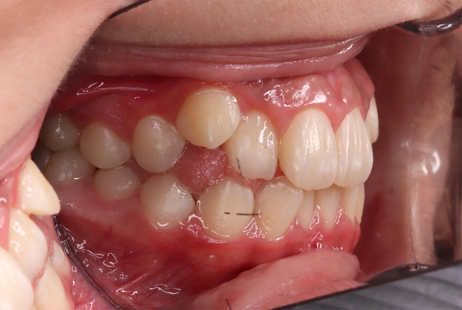
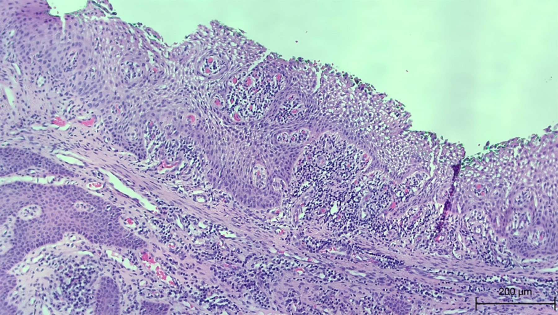
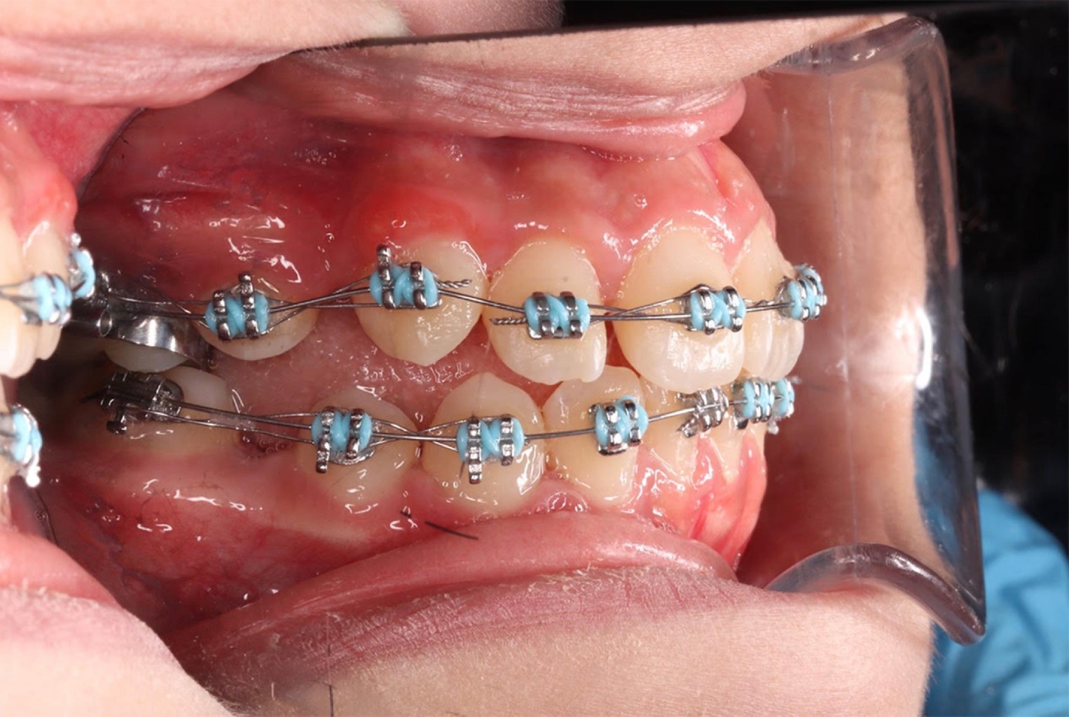
Introducción: la hiperplasia gingival espongiótica localizada (HGEL) es una afección gingival benigna de etiología incierta que puede surgir durante el tratamiento de ortodoncia. Aunque a menudo es autolimitada, algunos casos requieren intervención quirúrgica. Informe del caso: una mujer de 14 años sometida a tratamiento ortodóntico presentó una lesión gingival persistente y asintomática adyacente al diente 1.3. La lesión, observada inicialmente cuando el diente se encontraba en una posición vestibular ectópica, persistió durante varios meses y mostró un agrandamiento con cambios de color en el centro. El examen clínico reveló una lesión eritematosa bien definida y sésil (8 × 3 mm). La biopsia por escisión confirmó el LSGH. La cicatrización transcurrió sin incidentes y no se observó ninguna recurrencia en el seguimiento. Conclusión: durante el tratamiento ortodóntico pueden desarrollarse lesiones patológicas en la mucosa. Las citas de seguimiento periódicas son esenciales para la detección precoz. Cualquier lesión que persista más de 15 días debe ser remitida para su evaluación por un patólogo oral. La colaboración interdisciplinaria entre ortodoncistas y cirujanos orales/patólogos garantiza un diagnóstico oportuno y un tratamiento adecuado.


REFERENCIAS (EN ESTE ARTÍCULO)

  1. Vargo RJ, Bilodeau EA. Reappraising localized juvenile spongiotic gingival hyperplasia. J Am Dent Assoc. 2019; 150 (2): 147-153.e2.

  2. Silveira HA, Toral-Rizo VH, Lara-Carrillo E, et al. Spongiotic hyperplasia of the oral mucosa: case series and immunohistochemical analysis. Oral Maxillofac Surg. 2022; 26 (2): 333-337.

  3. Theofilou VI, Pettas E, Georgaki M, et al. Localized juvenile spongiotic gingival hyperplasia: microscopic variations and proposed change to nomenclature. Oral Surg Oral Med Oral Pathol Oral Radiol. 2021; 131 (3): 329-338.

  4. Decani S, Lodi G, Sardella A, Varoni EM. Localised juvenile spongiotic gingival hyperplasia: a case of spontaneous resolution and a literature review. Eur J Paediatr Dent. 2021; 22 (2): 159-162.

  5. Mawardi HH. Management of localized juvenile spongiotic gingival hyperplasia: a systematic review. J Dermatol Dermatol Surg. 2021; 25 (1): 1-5.

  6. Nogueira VKC, Fernandes D, Navarro CM, et al. Cryotherapy for localized juvenile spongiotic gingival hyperplasia: preliminary findings on two cases. Int J Paediatr Dent. 2017; 27 (3): 231-235.




Figura 1
Figura 2
Figura 3
Figura 4
Figura 5
Figura 6

2020     |     www.medigraphic.com

Mi perfil

C?MO CITAR (Vancouver)

Lat Am J Oral Maxillofac Surg. 2025;5

ARTíCULOS SIMILARES

CARGANDO ...