medigraphic.com
ENGLISH

Cirugía Plástica

ISSN 2992-8559 (Digital)
ISSN 1405-0625 (Impreso)
  • Mostrar índice
  • Números disponibles
  • Información
    • Información general        
    • Directorio
  • Publicar
    • Instrucciones para autores        
    • Envío de artículos
  • Políticas
  • medigraphic.com
    • Inicio
    • Índice de revistas            
    • Registro / Acceso
  • Mi perfil

2025, Número 3

<< Anterior

Cir Plast 2025; 35 (3)


Experiencia en el uso del colgajo de perforante de arteria toracodorsal pediculado

Chávez-Gómez, Gustavo Alberto1; Valadez-Ramírez, Jesús Alejandro2; Diez-González, Renata3; Mendoza-Hernández, María Gabriela4
Texto completo Cómo citar este artículo 10.35366/121738

DOI

DOI: 10.35366/121738
URL: https://dx.doi.org/10.35366/121738
Artículos similares

Idioma: Español
Referencias bibliográficas: 13
Paginas: 140-145
Archivo PDF: 2761.93 Kb.


PALABRAS CLAVE

colgajo de perforante de arteria toracodorsal, reconstrucción oncológica, secuela de quemadura, colgajo en propela.

RESUMEN

El colgajo de perforante de arteria toracodorsal (TDAP, por sus siglas en inglés) es un colgajo en isla de piel basado en una perforante cutánea de la arteria toracodorsal, el cual se caracteriza por preservar completamente el músculo dorsal ancho y reducir la incidencia de complicaciones en el sitio donante. Este colgajo se ha utilizado para reconstrucción de cuello, codo, brazo, hombro, axila, pectus excavatum, mama, etcétera. En este estudio se documenta el caso de tres pacientes operados de reconstrucción con TDAP pediculado. Para el diseño y realización del colgajo se utilizó la técnica descrita por Angrigiani. Se presentan tres casos de reconstrucción con este colgajo: dos mujeres y un hombre; las áreas reconstruidas fueron hombro, axila y brazo; el rango de edad de los pacientes fue de 27 a 60 años. No se observaron seromas postoperatorios ni necrosis del colgajo, únicamente un paciente presentó una pequeña dehiscencia del área donadora. El TDAP representa una alternativa segura al colgajo dorsal ancho debido a la baja morbilidad y baja tasa de complicaciones en el área donadora; es una opción reconstructiva válida para defectos en hombro, brazo y axila.



INTRODUCCIóN

El colgajo dorsal ancho, descrito desde 1896 por Tansini, representa el caballo de batalla para reconstrucción torácica. Sin embargo, su principal limitación es la morbilidad del sitio donador, sobre todo por la formación de seroma y la pérdida de funcionalidad del músculo dorsal ancho.1 El colgajo de perforante de arteria toracodorsal (TDAP, por sus siglas en inglés), fue descrito en 1995 por Angrigiani y colaboradores como un colgajo de isla de piel basado en una perforante cutánea de la arteria toracodorsal que preserva completamente el músculo dorsal ancho y reduce la incidencia de complicaciones en el sitio donador.2



ANATOMÍA DE LA PERFORANTE DE LA ARTERIA TORACODORSAL

Derivada de la arteria escapular inferior, la arteria toracodorsal emite una rama al músculo serrato anterior y una rama al músculo dorsal ancho. Esta última se divide en una rama horizontal (o transversal) y una rama vertical (o descendente).3 Diversos estudios anatómicos encuentran, en promedio, más de tres perforantes musculocutáneas en el sistema de la arteria toracodorsal, con un diámetro mayor a 0.5 mm y de las cuales la principal proviene de la rama descendente.4,5 Angrigiani y colaboradores encontraron de dos a tres perforantes en la rama vertical de la arteria toracodorsal: la primera se encontró a 8 cm por debajo del pliegue axilar posterior y de 2 a 3 cm posterior al borde lateral del dorsal ancho; la segunda, de 2 a 4 cm distal a la primera; la tercera, de 2 a 4 cm distal a la segunda.2

Con frecuencia (70-80% de los casos), la arteria toracodorsal emite una rama cutánea que rodea el borde del músculo, aproximadamente a unos 6-8 cm de la axila; es decir, en el lugar donde el pedículo entra al músculo.6,7 Sin embargo, solo se puede usar una o dos perforantes para mantener un arco de rotación seguro. Se ha descrito que el territorio irrigado por la arteria toracodorsal (TDAP del inglés "thoracodorsal artery perforator") es de 255 cm2.4,5 En México, Haddad y su equipo encontraron resultados similares en su descripción anatomoquirúrgica del colgajo dorsoepigástrico en tres cadáveres, comprobando la constancia de la anatomía del sistema toracodorsal en nuestro medio.8



DISEÑO DEL COLGAJO E IDENTIFICACIÓN CON ULTRASONIDO DOPPLER DE LAS PERFORANTES

Se coloca al paciente en decúbito lateral, se abduce el hombro a 90° y se identifica mediante palpación el borde lateral del músculo dorsal ancho. Esta posición hace que el trayecto de las perforantes sea más perpendicular al plano cutáneo, facilitando así su identificación mediante ultrasonido Doppler.3 En la espalda del paciente se realiza el marcaje de la perforante a 8 cm del pliegue axilar posterior y a 2 cm posterior al borde lateral del músculo dorsal ancho; este punto representa la localización de la perforante2 (Figura 1). Sin embargo, para tomar en cuenta la posibilidad de la rama cutánea directa que está ubicada muy próxima, se marca este punto con una circunferencia de 2-3 cm de diámetro, la cual se debe incluir dentro del diseño del colgajo.6 El eje longitudinal del colgajo se determina con relación a la prueba de pellizco de la espalda y a los deseos de la localización de la cicatriz donadora (vertical y horizontal). Las dimensiones del colgajo pueden ser de 25 × 15 cm.2



USOS

El colgajo TDAP pediculado se ha utilizado para reconstruir una gran variedad de sitios anatómicos tales como cuello, codo, brazo, hombro, axila, pectus excavatum, reconstrucción mamaria en resecciones de más del 50% de la mama, etcétera. De igual forma, el colgajo microquirúrgico, dado el calibre y longitud del pedículo, ha permitido su uso prácticamente para cualquier parte del cuerpo.1,3,9-13

Hamdi y colaboradores presentaron una serie de 90 casos de reconstrucción con colgajo TDAP en los cuales no se encontró seroma. Al comparar la fuerza muscular del dorsal ancho mediante mediciones tomadas con un dinamómetro, en contraste con el lado no operado, no se encontraron diferencias significativas.4 Un metaanálisis reciente, con revisión de 41 estudios, reporta una baja incidencia de seroma en los pacientes operados con colgajo TDAP.1 De igual forma, diversos estudios describen muy bajo riesgo de necrosis parcial y total del colgajo.1,2,4,9-12 La reducción de la morbilidad en la zona donadora, marcada por la disminución del riesgo de seroma postoperatorio y la preservación de la fuerza muscular, es un buen argumento para el uso de este colgajo en comparación con su precursor musculocutáneo.3



TÉCNICA QUIRÚRGICA

Se utilizó la técnica de Angrigiani. Se inicia el levantamiento del colgajo TDAP por encima de la fascia del lado medial del colgajo, hasta encontrar las perforantes que emergen del borde lateral del dorsal ancho. Se continúa la disección de los bordes inferior y lateral, preservando la perforante más grande (diámetro mínimo de 0.5 mm); posteriormente se diseca el tronco de la arteria toracodorsal. El pedículo puede alcanzar una longitud de 15 a 18 cm de largo, respetando las ramas nerviosas con técnica atraumática.2 Idealmente, se debe utilizar la perforante con diámetro mayor a 0.5 mm y pulsátil. En caso de no observar dicho hallazgo, se han descrito técnicas de conversión a diseños que preservan el músculo dorsal ancho, incluyendo una porción del mismo para protección de la perforante y, por tanto, de irrigación del colgajo.4

Las dimensiones del colgajo se diseñaron con relación al tamaño de los defectos. Se utilizaron colgajos de patrón vertical.



CASOS CLíNICOS

Caso 1. Mujer de 27 años con diagnóstico de cicatriz retráctil en axila izquierda como secuela de quemadura por ignición, lo que ocasiona limitación en la abducción del hombro. Se realizó liberación de la cicatriz hasta lograr una adecuada abducción del hombro, y se diseñó el colgajo TDAP con relación al área cruenta residual, de aproximadamente 10 × 15 cm. Después de disecar la perforante y levantar el colgajo, se rotó la isla de piel en propela a 90°, logrando adecuada cobertura cutánea. Se realizó cierre directo del área donadora de colgajo. La evolución postoperatoria fue favorable, sin complicaciones. El seguimiento a los cuatro meses nos muestra una reconstrucción con adecuada calidad de piel en axila sin limitación funcional y una adecuada capacidad para la abducción completa del hombro (Figura 2).

Caso 2. Mujer de 60 años con diagnóstico de carcinoma de células de Merkel en superficie posterior de tercio proximal de brazo derecho. Posterior a la resección amplia por oncología, con área cruenta residual de 15 × 17 cm, se diseñó un colgajo con isla cutánea de dichas dimensiones. Después de la disección de la perforante, se rotó el colgajo en propela a 110°, logrando adecuada cobertura cutánea. El área donadora de colgajo se manejó con cierre primario, sin presentar complicaciones. El seguimiento a los 10 meses de la operación nos muestra una adecuada movilidad del hombro, sin limitación funcional. Sin otras complicaciones (Figura 3).

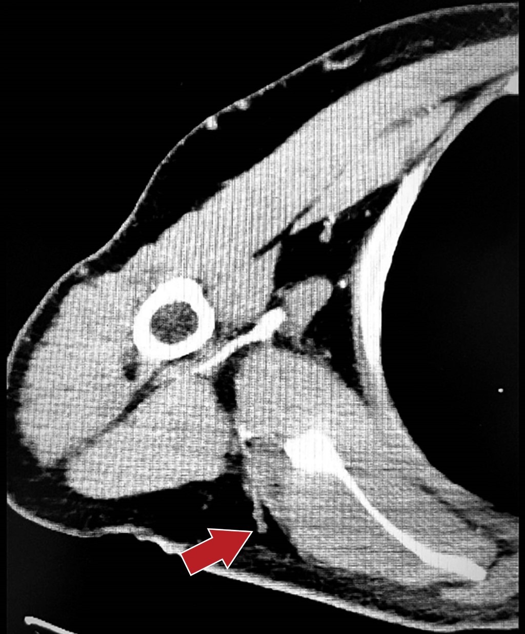
Caso 3. Hombre de 53 años con diagnóstico de sarcoma fibromixoide en hombro derecho, antecedente de una resección amplia previa, el cual fue reconstruido con colgajo de trapecio. Se realiza mapeo de perforante con tomografía computarizada contrastada y ultrasonido Doppler (Figura 4). Posterior a la resección amplia y procedimiento de Tikhoff-Linberg por cirugía oncológica, se observa un área cruenta de 20 × 20 cm en el hombro, con exposición parcial de articulación acromioclavicular y escápula. Se levanta colgajo de 15 × 20 cm para reconstrucción de la superficie más lateral de defecto; en el resto del defecto medial y el área donadora de colgajo, se realizó cierre primario. Después de la disección del colgajo TDAP se realizó su rotación en propela a 180°. Durante el seguimiento el paciente desarrolló dehiscencia de 1 cm en el área donadora, la cual cicatrizó por segunda intención. El seguimiento a siete meses demuestra una limitación funcional del hombro para la abducción debido al procedimiento de Tikhoff-Linberg; sin embargo, el paciente es capaz de realizar sus actividades cotidianas. Sin otras complicaciones (Figura 5).



DISCUSIóN

El colgajo TDAP representa una alternativa segura al colgajo dorsal ancho, debido a la baja morbilidad y baja tasa de complicaciones en el área donadora. En ninguno de los casos reportados se presentó necrosis del colgajo, lo que demuestra la adecuada vascularización de este dada por la perforante disecada, descrita por Angrigiani.2,6

Recomendamos el uso de ultrasonido Doppler para mapeo de las perforantes, lo que ayuda al diseño del colgajo; se debe incluir la zona con más perforantes en el diseño de la isla de piel. En el caso 3, mostramos el mapeo realizado con ayuda de una tomografía axial contrastada, lo que ayudó a su diseño (Figura 5). Diseñamos la isla de piel en sentido vertical, debido a que con esto se logra una mayor longitud de la isla cutánea, característica deseada sobre todo en este caso.4 Durante la cirugía, en los tres pacientes se logró observar por lo menos una perforante, la cual era mayor a 0.5 mm y con pulso visible.

En ninguno de los casos reportados se presentó seroma ni hematoma, similar a lo reportado en la mayoría de los estudios revisados.1 Sin embargo, en todas las áreas donadoras se utilizaron drenajes cerrados, los cuales fueron retirados en 6-7 días. De igual forma, los casos 1 y 2 no tuvieron limitación funcional para la movilidad del hombro, debido a que se respetó la integridad del músculo dorsal ancho. Por el contrario, el caso 3 presentó una limitación leve para la abducción del hombro, debido al procedimiento de Tikhoff-Linberg realizado durante la resección amplia por el cirujano oncólogo. A pesar de ello, el paciente es capaz de llevar a cabo sus actividades cotidianas.

Otra de las ventajas de usar el colgajo TDAP es que proporciona una piel de características similares a la del hombro, brazo y axila.9 Dentro de las limitantes observadas, en el caso 2 se observa como resultado un colgajo voluminoso, esto debido probablemente a una sobrestimación de las dimensiones del colgajo. En el caso 3 observamos una leve dehiscencia (1 cm2) del área donadora, debido probablemente al gran tamaño de la isla de piel diseñada (15 × 25 cm).

Conforme a lo reportado en la literatura,1,9 podemos confirmar la versatilidad del colgajo TDAP pediculado, ya que el colgajo TDAP proporcionó las dimensiones suficientes para cubrir defectos en hombro, axila y brazos, sin las principales complicaciones del uso del colgajo dorsal ancho. De igual forma, estamos convencidos de que el uso del colgajo TDAP se debe extender en la práctica clínica dadas sus ventajas demostradas.



CONCLUSIóN

El colgajo TDAP pediculado representa una opción reconstructiva válida para defectos en hombro, brazo y axila en pacientes en donde podemos prescindir del uso del colgajo dorsal ancho, obteniendo el beneficio de la disminución de la morbilidad, manteniendo la funcionalidad anatómica.


REFERENCIAS (EN ESTE ARTÍCULO)

  1. Gatto A, Parisi P, Brambilla L, Simonelli I, Vestri A, Torto FL et al. Thoracodorsal artery perforator flap, muscle-sparing latissimus dorsi, and descending branch latissimus dorsi: A multicenter retrospective study on early complications and meta-analysis of the literature. J Plast Reconstr Aesthet Surg 2022; 75 (11): 3979-3996.

  2. Angrigiani C, Grilli D, Siebert J. Latissimus dorsi musculocutaneous flap without muscle. Plast Reconstr Surg 1995; 96 (7): 1608-1614.

  3. Sinna R, Qassemyar Q. The thoracodorsal artery perforator flap. Ann Chir Plast Esthet 2011; 56 (2): 142-148.

  4. Hamdi M, Van Landuyt K, Hijjawi JB, Roche N, Blondeel P, Monstrey S. Surgical technique in pedicled thoracodorsal artery perforator flaps: a clinical experience with 99 patients. Plast Reconstr Surg 2008; 121 (5): 1632-1641.

  5. Thomas BP, Geddes CR, Tang M, Williams J, Morris SF. The vascular basis of the thoracodorsal artery perforator flap. Plast Reconstr Surg 2005; 116 (3): 818-822.

  6. Angrigiani C. Colgajo perforante toracodorsal. Cir Plas Iberolatinoam 2006; 32 (4): 281-286.

  7. Heitmann C, Guerra A, Metzinger SW, Levin LS, Allen RJ. The thoracodorsal artery perforator flap: anatomic basis and clinical application. Ann Plast Surg 2003; 51 (1): 23-29.

  8. Haddad J, Jiménez G. Descripción anatómico-quirúrgica del colgajo dorsoepigástrico: una opción diferente en reconstrucción mamaria. Cir Plást Iberolatinoam 2012; 38 (1): 27-34.

  9. Sever C, Uygur F, Kulahci Y, Karagoz H, Sahin C. Thoracodorsal artery perforator fasciocutaneous flap: A versatile alternative for coverage of various soft tissue defects. Indian J Plast Surg 2012; 45 (3): 478-484.

  10. Abdelrahman EM, Nawar AM, Balbaa MA, Shoulah AA, Shora AA, Kharoub MS. Oncoplastic volume replacement for breast cancer: latissimus dorsi flap versus thoracodorsal artery perforator flap. Plast Reconstr Surg Glob Open 2019; 7 (10): e2476.

  11. Elgohary H, Nawar AM, Zidan A, Shoulah AA, Younes MT, Hamed AM. Outcome of pedicled thoracodorsal artery perforator flap in the surgical treatment of stage II and III hidradenitis suppurativa of axilla. Ann Plast Surg 2018; 81 (6): 688-693.

  12. Berna P, Sinna R, De Dominicis F. Use of the thoracodorsal artery perforator flap for bronchial reinforcement in patients with previous posterolateral thoracotomy. Ann Thorac Surg 2012; 93 (5): 1743-1745.

  13. Huang A, Wong DE, Hanson SE. Oncoplastic techniques and tricks to have in your toolbox. Plast Reconstr Surg 2024; 153 (4): 673e-682e.



AFILIACIONES

1 Cirujano plástico y reconstructivo. Unidad Médica de Alta Especialidad, Hospital de Pediatría "Dr. Silvestre Frenk Freund", Centro Médico Nacional Siglo XXI, Instituto Mexicano del Seguro Social (IMSS). Ciudad de México. ORCID: 0009-0007-9939-372X

2 Cirujano plástico, estético y reconstructivo del Hospital de Especialidades Centro Médico Nacional de Occidente (CMNO), IMSS. México. ORCID: 0009-0001-1358-1583

3 Residente de cirugía plástica, estética y reconstructiva del Centro Médico Nacional 20 de Noviembre, Instituto de Seguridad y Servicios Sociales de los Trabajadores del Estado (ISSSTE). México. ORCID: 0009-0009-4272-7367

4 Estudiante de Medicina de la Facultad de Estudios Superiores Iztacala, Universidad Nacional Autónoma de México. México. ORCID: 0009-0009-2346-9374



Conflicto de intereses: los autores declaran no tener conflicto de intereses.



CORRESPONDENCIA

Dr. Gustavo Alberto Chávez-Gómez. E-mail: g.chavez1404@gmail.com




Recibido: 23 abril 2025. Aceptado: 09 agosto 2025

Figura 1
Figura 2
Figura 3
Figura 4
Figura 5

2020     |     www.medigraphic.com

Mi perfil

C?MO CITAR (Vancouver)

Cir Plast. 2025;35

ARTíCULOS SIMILARES

CARGANDO ...