medigraphic.com
ENGLISH

Revista Mexicana de Cirugía Bucal y Maxilofacial

ISSN 2007-3178 (Impreso)
Asociación Mexicana de Cirugía Bucal y Maxilofacial, Colegio Mexicano de Cirugía Bucal y Maxilofacial, A.C.
  • Mostrar índice
  • Números disponibles
  • Información
    • Información general        
    • Directorio
  • Publicar
    • Instrucciones para autores        
    • Envío de artículos
  • medigraphic.com
    • Inicio
    • Índice de revistas            
    • Registro / Acceso
  • Mi perfil

2025, Número 2

<< Anterior Siguiente >>

Rev Mex Cir Bucal Maxilofac 2025; 21 (2)


Reconstrucción secundaria de fractura orbitocigomático maxilar consolidada: reporte de caso clínico

Cisternas Covarrubias, Sebastián1,2; Mendoza Tapia, Juan Pablo1,3; Hernández Flores, Patricio1,4
Texto completo Cómo citar este artículo 10.35366/121762

DOI

DOI: 10.35366/121762
URL: https://dx.doi.org/10.35366/121762
Artículos similares

Idioma: Español
Referencias bibliográficas: 11
Paginas: 92-97
Archivo PDF: 1868.01 Kb.


PALABRAS CLAVE

procedimiento quirúrgico reconstructivo, fracturas orbitales, fracturas cigomáticas, fracturas maxilares.

RESUMEN

Introducción: las fracturas orbitocigomático maxilares (OCM) representan un patrón común en el trauma facial y, cuando no reciben tratamiento oportuno, pueden consolidarse en una posición inadecuada, comprometiendo tanto la función como la estética del paciente. Objetivo: presentar un caso de fractura OCM consolidada tratada con osteotomía correctiva y osteosíntesis, destacando la estrategia quirúrgica y sus resultados. Presentación de caso: hombre de 57 años de edad que acude derivado a servicio maxilofacial para tratamiento de fractura OCM originada hace 43 días con secuelas en estética facial y limitación en su dinámica ocular, luego de su valoración clínica preoperatoria se diagnostica como una fractura consolidada. El tratamiento quirúrgico consistió en una refractura controlada de los segmentos óseos desplazados, seguido de su reducción y estabilización en dos puntos anatómicos clave. Resultados: la evaluación postoperatoria a los seis meses demostró una restitución de la simetría facial, mejora en la proyección malar y aumento del campo visual del paciente, resultados similares a los descritos en la literatura. Conclusiones: la osteotomía de corrección con placas OTS (pOTS) puede considerarse una alternativa efectiva en la reconstrucción secundaria de una fractura orbitocigomático maxilar consolidada. Se requieren estudios multicéntricos y seguimientos prolongados para validar este abordaje.



ABREVIATURAS:

  • OCM = orbitocigomático maxilar
  • pOTS = placas de osteosíntesis



INTRODUCCIóN

En tiempos recientes ha ido en aumento el número de pacientes con traumatismo facial, por lo que las fracturas orbitocigomático maxilares (OCM) se han vuelto lesiones comunes en la cirugía maxilofacial, generalmente causadas por trauma directo, como accidentes automovilísticos, caídas o agresiones por terceros.1-3

En la fractura OCM, el punto de impacto está centrado en el malar, donde cuatro áreas están sometidas a tensión y tienden a fracturarse, tales como el arco cigomático, la sutura cigomático frontal, el pilar cigomático maxilar y el borde orbitario inferior.1-4 Estas fracturas afectan tanto la estética facial como las funciones sensoriales y motoras, dado que comprometen estructuras clave como la órbita ocular, el pómulo y la cavidad maxilar.1-5 Por lo tanto, el manejo adecuado de estas fracturas es fundamental para evitar complicaciones funcionales y estéticas.3

En el contexto de las fracturas OCM, el uso de placas de osteosíntesis (pOTS) ha demostrado ser una técnica eficaz para garantizar la consolidación de la fractura y prevenir desplazamientos posteriores. Este enfoque quirúrgico ofrece una estabilidad excelente, lo que permite una recuperación más rápida y segura para el paciente. Pero existen casos donde el paciente no puede acceder a la cirugía de manera prematura (durante las primeras tres semanas), por lo que al momento de la consulta ya se formó una mala unión ósea, lo que conlleva deformidades cosméticas (como aplanamiento malar) y problemas funcionales.6,7

Uno de los manejos quirúrgicos utilizados en fracturas óseas consolidadas es la osteotomía de corrección, técnica que ayuda en el proceso de alineación y para aplicar una nueva fijación.7

Sin embargo, la utilización de estas placas en fracturas ya consolidadas sigue siendo un área en constante evolución, y se requiere un análisis detallado para evaluar sus beneficios y limitaciones en estos casos.

Por lo tanto, este estudio tiene por objetivo presentar un caso de fractura OCM consolidada tratada con osteotomía correctiva y pOTS, donde su éxito ha sido poco registrado en la literatura.



PRESENTACIóN DEL CASO

Motivo de consulta: hombre de 57 años de edad que acude el día 13-02-2025 al Instituto Traumatológico "Dr. Teodoro Gebauer Weisser" debido a un traumatismo facial secundario a agresión por terceros, originada hace 43 días. Relata no estar conforme con su estética, dificultad para ver hacia la derecha y ocluir de forma distinta (Figura 1).

Antecedentes: paciente niega hipertensión arterial, diabetes mellitus, enfermedades óseas, musculares y articulares.

Examen físico general: el paciente deambula por sus propios medios, con marcha estable y sincrónica. En adecuado estado de conciencia y orientado en tiempo y espacio (escala Glasgow 15). Estado nutricional endomorfo, con índice de masa corporal de 26. Signos vitales dentro de rangos normales: presión arterial 119 mmHg, frecuencia cardíaca 80 lpm, temperatura 36.4 °C y frecuencia respiratoria 17 rpm.

Examen maxilofacial: heridas erosivas en la región supraciliar derecha del tercio superior, con heridas en estado costra y sutura previa (Figuras 2 y 3).

Tercio medio: equimosis en la región infraorbitaria derecha, con presencia de escalón óseo en el reborde infraorbitario derecho y dolor a la palpación. El paciente presenta parestesia en la región geniana derecha, con compromiso de los ramos labial, nasal y palpebral. Se aprecia hundimiento leve en las regiones malar e infraorbitaria derechas. Asimismo, se constatan heridas erosivas en la región preauricular derecha, con herida estado costra y cierre quirúrgico previo.

Examen ocular: el paciente refiere limitación en la motilidad ocular al dirigir la mirada hacia la derecha. La agudeza visual se encuentra conservada. No se evidencia diplopía en visión frontal ni lateral, el reflejo fotomotor es positivo. El caso cuenta con pase y alta médica desde la unidad de trauma ocular para evaluación especializada por cirugía maxilofacial.

Tercio inferior: la apertura bucal se encuentra dentro de parámetros normales, con dinámica mandibular conservada, presentando dolor únicamente en apertura máxima.

Examen intraoral: equimosis en la mucosa labial inferior derecha y desviación leve hacia la izquierda durante la apertura máxima. No se observa movilidad en bloque del maxilar durante la manipulación. El paciente refiere alteración en la oclusión, corroborándose la presencia de un tope molar posterior derecho.



ESTUDIOS COMPLEMENTARIOS

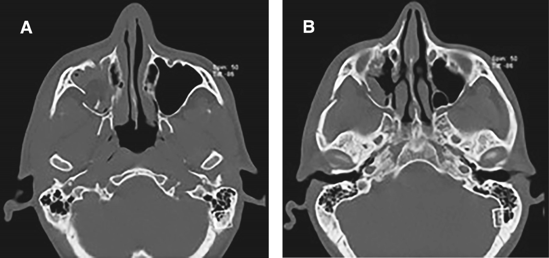
Se realizó tomografía computarizada (TAC) maxilofacial con reconstrucción tridimensional (3D) en las etapas preoperatoria y postoperatoria (a los seis meses de seguimiento). El electrocardiograma evidenció ritmo sinusal. Los exámenes de laboratorio se encontraron dentro de los rangos fisiológicos de normalidad (Figuras 4, 5 y 6).



DIAGNÓSTICO

Fractura orbitocigomático maxilar derecha consolidada. Se consideró como fractura consolidada utilizando los criterios clínicos que presentaba el paciente como ausencia de dolor, inmovilidad de los fragmentos fracturados y buen control de hemostasia. Además, fue relevante la cantidad de días transcurridos desde origen del trauma.



TRATAMIENTO

En pabellón central bajo anestesia general, intubación nasotraqueal en narina izquierda. Antisepsia de tejido mucocutáneo facial con povidona yodada 10%, conformación de campos estériles. Demarcación de incisión e infiltración anestésica con lidocaína al 2%, aplicación de un tubo subcutáneo en parpado superior derecho y dos tubos en fondo de vestíbulo maxilar derecho. Abordaje blefaroplastia derecha. Incisión con bisturí frío sobre herida. Diéresis roma y luego en pilar frontocigomático derecho se observa el rasgo de fractura sin desplazamiento. Se realiza osteotomía con cincel para separar fragmentos fracturados. Se posiciona placa Synthes sistema 1.5 de 5 orificios, perfil 0.5 mm. Se tracciona malar en sentido cefálico desde cabo inferior de fractura. Se realiza fresado y se posicionan 4 tornillos de 5 mm. Se confirma reducción de fractura esfeno cigomática.

Se realiza un abordaje de vestibulotomía derecha con electrobisturí en fondo de vestíbulo, decolado mucoperióstico hasta exposición ósea maxilar y cigomática. Se observa fractura de unión de ambos huesos con desplazamiento posterior. Se reduce cigoma. Se posiciona placa en L, ocho orificios y puente intermedio, placa synthes sistema 1.5, perfil 0.5 mm. Se posicionaron dos tornillos 6 mm y tres tornillos de 5 mm. Se confirma reducción de fracturas.

Mediante abordaje blefaroplastia, se accede a fosa temporal. Se desimpacta arco cigomático. Reducción de fractura manual mediante legra. Se evidencia buen contorno facial.

Cierre de abordaje vestibulotomía con Vicryl 4-0. Puntos continuos. Cierre de abordaje blefaroplastia por planos. Planos profundos muscular y subcutáneo con Vicryl 4-0. Sutura de piel con prolene 6-0 punto continuo.



DISCUSIóN

El macizo facial alberga estructuras anatómicas vitales, por lo que sus fracturas requieren diagnóstico precoz y manejo oportuno. La mayoría son secundarias a traumatismos de alta energía y con frecuencia se asocian a otras lesiones.8 Dentro de ellas, las fracturas OCM con compromiso orbitario han incrementado su incidencia.1,4,5

Las fracturas OCM afectan tanto la función visual como la estética facial, particularmente el ancho transversal por desplazamiento del malar.5 Cuando requieren cirugía, la reducción se recomienda en las primeras 2-3 semanas para evitar consolidación viciosa; sin embargo, Lu y colaboradores2 reportaron casos de reconstrucción diferida hasta 93 meses, atribuidos al acceso tardío a atención especializada.

En el presente caso, la falta de reducción temprana generó consolidación en mala posición con limitación del campo visual hacia la derecha y hundimiento malar, acompañado de edema y equimosis periorbitaria. Hallazgos similares han sido descritos por Lu y colaboradores2 y Vahidi y su equipo.7

Para fracturas consolidadas, la técnica indicada corresponde a osteotomías de corrección, mediante cinceles para restablecer la alineación ósea en casos de mala unión.7 Esta intervención resulta esencial cuando existen deformidades estéticas o alteraciones funcionales como la maloclusión. En el caso descrito, el paciente recuperó simetría facial, proyección malar y adecuada oclusión posterior.

El tratamiento quirúrgico mediante pOTS obtiene mejores resultados en simetría cuando se fijan múltiples puntos en comparación con un único sitio, como demuestra Raghoebar y su equipo.9 No obstante, la fijación múltiple puede incrementar el tiempo operatorio y las complicaciones asociadas.

Kiemle Trindade y colaboradores10 reportaron fijación en tres zonas (sutura frontocigomática, borde infraorbitario y pilar cigomático maxilar) en 46% de los casos. Sin embargo, cuando la estabilidad se logra con 1 o 2 puntos, no es necesario un tercero.10 En este caso se obtuvo adecuada estabilidad con fijación en dos puntos: pilares frontocigomático y cigomático maxilar.

La selección de dichos puntos obedeció a los signos clínicos observados, concordantes con los criterios descritos por Schneider y colaboradores,11 donde la fijación en la sutura frontocigomática permite recuperar la proyección lateral del malar y en la cresta cigomático maxilar estabilizar la oclusión.

La parestesia del nervio infraorbitario observada constituye la complicación más frecuente en estas fracturas encontrada en la literatura, atribuida principalmente al trauma inicial más que al procedimiento quirúrgico.10

Finalmente, a los seis meses postoperatorios, el paciente presentó mejoría del campo visual y proyección malar con resultado estético satisfactorio, corroborado clínicamente considerando la percepción del paciente y por TAC con reconstrucción 3D. Así, incluso en fracturas consolidadas, la osteotomía con fijación en dos puntos permitiría recuperar función y estética.

Pese a los resultados favorables del presente caso, se requieren estudios longitudinales que validen la eficacia de estas técnicas en fracturas OCM consolidadas.



CONCLUSIONES

El manejo quirúrgico de las fracturas orbitocigomático maxilares consolidadas mediante osteotomía de corrección y fijación con pOTS puede considerarse una alternativa efectiva en casos seleccionados para restaurar la estructura ósea y mejorar la funcionalidad del sujeto. En este caso, se logró una adecuada proyección malar, simetría facial y una mejoría en el campo visual. La correcta planificación y ejecución de la cirugía permitieron minimizar complicaciones y optimizar los resultados estéticos y funcionales. Por lo tanto, este reporte de caso permite aportar evidencia a un área con pocos reportes publicados; sin embargo, para estandarizar el protocolo quirúrgico y validar los resultados obtenidos, se requiere de estudios multicéntricos y seguimientos postoperatorios más prolongados.


REFERENCIAS (EN ESTE ARTÍCULO)

  1. Castillo CMG, Flores VJL, González OA, Cervantes GG, Cervantes CGA, Ramírez SMV et al. Fracturas faciales, manejo quirúrgico y resultados en un hospital de tercer nivel. Rev Esp Cir Oral Maxilofac. 2021; 43 (3): 96-100.

  2. Lu W, Zhou H, Xiao C, Shen Q, Lin M, Fan X. Late correction of orbital-zygomatic-maxillary fractures combined with orbital wall fractures. J Craniofac Surg. 2012; 23 (6): 1672-1676.

  3. Morales ND, Grau LIB. Fracturas del complejo cigomático. Rev Cubana Estomatol. 2019; 56 (1).

  4. Cruz AAV, Eichenberger GCD. Epidemiology and management of orbital fractures: Curr Opin Ophthalmol. 2004; 15 (5): 416-421.

  5. Peretti N, MacLeod S. Zygomaticomaxillary complex fractures: diagnosis and treatment. Curr Opin Otolaryngol Head Neck Surg. 2017; 25 (4): 314-319.

  6. Ellis E 3rd, Reddy L. Status of the internal orbit after reduction of zygomaticomaxillary complex fractures. J Oral Maxillofac Surg. 2004; 62 (3): 275-283.

  7. Vahidi N, Kwak P, Sismanis D, Schuman T, Hawkins D, Lee TS. Management of complications and secondary deformity after fractures of the midface, orbit, and upper third of the maxillofacial skeleton. Otolaryngol Clin North Am. 2023; 56 (6): 1151-1167.

  8. Marcelo MM, Fernández TMA, Bravo AR, Pedemonte TC, Ulloa MC. Traumatología máxilo facial: diagnóstico y tratamiento. Rev Med Clin Condes. 2011; 22 (5): 607-616.

  9. Raghoebar II, Rozema FR, de Lange J, Dubois L. Surgical treatment of fractures of the zygomaticomaxillary complex: effect of fixation on repositioning and stability. A systematic review. Br J Oral Maxillofac Surg. 2022; 60 (4): 397-411.

  10. Trindade PAK, Vieira EH, Gabrielli MAC, Gabrielli MFR, Pereira-Filho VAT. Int J Odontostomatol. 2012; 6 (3): 255-262.

  11. Schneider M, Besmens IS, Luo Y, Giovanoli P, Lindenblatt N. Surgical management of isolated orbital floor and zygomaticomaxillary complex fractures with focus on surgical approaches and complications. J Plast Surg Hand Surg. 2020; 54 (4): 200-206.



AFILIACIONES

1 Instituto Traumatológico "Dr. Teodoro Gebauer Weisser". Santiago, Región Metropolitana, Chile.

2 Cirujano dentista, pasante del Servicio de Cirugía Maxilofacial.

3 Implantólogo bucomaxilofacial, pasante del Servicio de Cirugía Maxilofacial.

4 Cirujano maxilofacial, jefe del Servicio de Cirugía Maxilofacial.



Conflicto de intereses: no se declara ningún conflicto de intereses.



CORRESPONDENCIA

Sebastián Cisternas Covarrubias. E-mail: dr.cisternasrx@gmail.com lscisternas@miuandes.cl




Recibido: Julio 2025. Aceptado: Octubre 2025.

Figura 1
Figura 2
Figura 3
Figura 4
Figura 5
Figura 6

2020     |     www.medigraphic.com

Mi perfil

C?MO CITAR (Vancouver)

Rev Mex Cir Bucal Maxilofac. 2025;21

ARTíCULOS SIMILARES

CARGANDO ...