medigraphic.com
ENGLISH

Revista Mexicana de Cirugía Bucal y Maxilofacial

ISSN 2007-3178 (Impreso)
Asociación Mexicana de Cirugía Bucal y Maxilofacial, Colegio Mexicano de Cirugía Bucal y Maxilofacial, A.C.
  • Mostrar índice
  • Números disponibles
  • Información
    • Información general        
    • Directorio
  • Publicar
    • Instrucciones para autores        
    • Envío de artículos
  • medigraphic.com
    • Inicio
    • Índice de revistas            
    • Registro / Acceso
  • Mi perfil

2025, Número 2

<< Anterior Siguiente >>

Rev Mex Cir Bucal Maxilofac 2025; 21 (2)


Fibroma irritativo gigante en cavidad oral. Reporte de caso

Rodríguez Padilla, Dora Luz1,2; Dévora Limones, Roxana1,2; Reyes Méndez, Edgar1,3
Texto completo Cómo citar este artículo 10.35366/121761

DOI

DOI: 10.35366/121761
URL: https://dx.doi.org/10.35366/121761
Artículos similares

Idioma: Español
Referencias bibliográficas: 12
Paginas: 87-91
Archivo PDF: 1411.54 Kb.


PALABRAS CLAVE

fibroma gigante, fibroma traumático, lesión benigna oral, tamaño irregular.

RESUMEN

Introducción: el fibroma irritativo es una hiperplasia reactiva de tejido conectivo fibroso causada por irritación o daño local, por lo cual no se considera una verdadera neoplasia. Su crecimiento depende del estímulo que lo provoca; esto quiere decir que, en ausencia de estímulo, el crecimiento se detiene. El tamaño de crecimiento por lo general es menor a 1.5 cm, sin embargo, hay algunos reportados de 4-6 cm. Su etiología se debe a trauma, fricción o roce constante, asociado a masticación, restauraciones defectuosas o desbordantes y prótesis dentales mal adaptadas. Objetivo: reportar el caso de un fibroma de tamaño irregular, considerado gigante. Presentar sus características clínicas e histológicas. Presentación de caso: se presenta el caso clínico de un paciente femenino de 50 años de edad con un aumento de volumen de 10 años de evolución en la región del carrillo derecho, de forma esférica, de 10 cm de diámetro aproximadamente, con crecimiento lento, coloración igual a la de la mucosa adyacente, y dolor leve a la masticación. Se identificó como un fibroma irritativo con previo diagnóstico histopatológico y se llevó a cabo un tratamiento quirúrgico efectivo.



INTRODUCCIóN

El fibroma es una hiperplasia reactiva de tejido conectivo fibroso que se desarrolla por una irritación o daño local, por lo cual no se considera una verdadera neoplasia.1 En cavidad bucal, el fibroma traumático es la lesión más frecuente.

Su crecimiento depende del estímulo que lo provoca; esto quiere decir que, en ausencia de estímulo, el crecimiento se detiene. Esta lesión puede aparecer en zonas de irritación constante, tales como reborde alveolar edéntulo, mucosa de revestimiento, lengua, labios y paladar.2 El tamaño del crecimiento es generalmente menor a 1.5 cm, sin embargo, hay algunos reportados de 4-6 cm.3 Los fibromas de gran tamaño son poco comunes y su presentación irregular puede complicar el diagnóstico. Los diagnósticos diferenciales para esta entidad dependen del tamaño y localización de la lesión. Si llega a desarrollar tamaños considerables, se deben establecer diagnósticos diferenciales con otras lesiones como fibromas de células gigantes, mucoceles de gran tamaño, rabdomiomas, leiomiomas, fibromas odontogénicos periféricos y hasta carcinomas espinocelulares.4

Los fibromas afectan por igual a ambos sexos, sin embargo, algunos autores aseguran que tienen predominio en el sexo femenino.4

Clínicamente aparecen como lesiones ovaladas, sésiles o pediculadas de crecimiento lento, recubiertas por mucosa normal, blanquecina, papilomatosa o inflamada.5

Se conoce también como fibroma irritacional, fibroma traumático, hiperplasia fibrosa focal, nódulo fibroso o pólipo fibroepitelial.6

La injuria crónica induce inicialmente inflamación seguida por reparación. Si el agente causal persiste, hay una acumulación de colágeno producido por fibroblastos, causando la formación de un tejido acelular tipo cicatrizal.7

El objetivo del presente artículo es reportar el caso de un fibroma de tamaño irregular, considerado gigante. Se presentan sus características clínicas e histológicas.



PRESENTACIóN DEL CASO

Paciente femenino de 50 años de edad que acude a consulta al servicio de Cirugía Maxilofacial en el Hospital "Luz González Cosío" con osteoartritis y fibromialgia de 15 años de evolución, en tratamiento farmacológico. Presenta un aumento de volumen de 10 × 5 cm con 10 años de evolución, localizado en el reborde alveolar superior. Antecedentes médico-familiares: diabetes mellitus tipo 2 (DM2) por línea materna.

A la exploración clínica se observa lesión cupuliforme en la hemicara derecha de aproximadamente 10 cm. A la exploración intraoral se encuentra: aumento de volumen de color rosa coral, de forma ovoide, de 10 cm de diámetro, indurado, base pediculada, dependiente del reborde alveolar superior derecho en brecha edéntula, presentando ulceraciones dispersas en la superficie, indolora a la palpación, bordes irregulares con crecimiento lento (Figura 1). Con dolor leve a la masticación.

Con base en estos hallazgos, se le informa a la paciente de forma detallada, tanto de forma verbal como escrita, a través de un consentimiento informado, sobre la posible etiología y los pasos a seguir para llevar a cabo la escisión quirúrgica de la lesión.

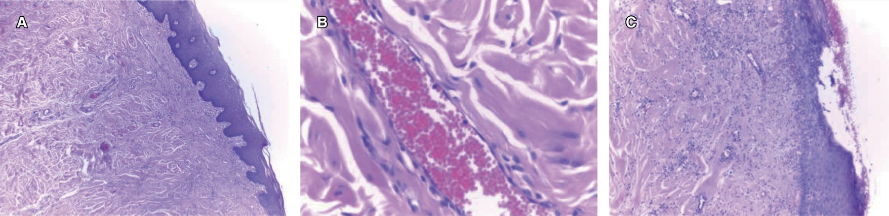
Se programa biopsia incisional bajo anestesia local, obteniendo muestra de 1.5 × 1 × 0.5 cm color blanquecino, aspecto fibroso y consistencia ahulada, la cual se envía a estudio histopatológico (Figura 2). El resultado indica que es compatible con fibroma irritativo.

Se inicia protocolo prequirúrgico: biometría, hemática, química, sanguínea y tiempos de coagulación, los cuales se encuentran dentro de los parámetros normales. Se programa para la escisión quirúrgica completa bajo anestesia general, manifestando un mejor manejo y manipulación de la lesión por el tamaño que presentaba (Figura 3). Se logra su eliminación total del ligamento periodontal y el periostio, evitando así la posibilidad de recurrencia y complicaciones como obstrucción de la vía aérea o hemorragias intraoperatorias importantes.



PROCEDIMIENTO QUIRÚRGICO

Mediante anestesia general con intubación nasotraqueal, previa asepsia y antisepsia de la región peribucal con yodopovidona, así como previa colocación de taponamiento orotraqueal y campos estériles, se infiltra lidocaína con epinefrina al 2%; posteriormente se realiza corte con electrocauterio, desprendiendo la lesión desde la base pediculada ubicada en la región alveolar de la arcada superior.

En el control postoperatorio, a un mes de la cirugía, se observó reposición total del espesor de la mucosa.



DISCUSIóN

Los fibromas son lesiones benignas que están compuestas de tejido fibroso o conectivo. Pueden crecer en todos los órganos, surgiendo del tejido mesenquimatoso. Los aumentos de tejidos blandos intraorales, aislados o focales, ocurren con mayor frecuencia como hiperplasia reactiva y rara vez son de origen neoplásico.8

En el caso del fibroma bucal, esto se debe a que la mucosa bucal está sometida a diferentes tipos de traumas crónicos derivados de la masticación, la ingestión de alimentos, el cepillado bucal, la presencia de prótesis y restauraciones, entre otras, las cuales representan su principal factor etiológico.4

Desde el punto de vista clínico, es una lesión que se caracteriza por ser elevada, de coloración normal a pálida, debido a una relativa carencia de vasos sanguíneos, y donde la superficie puede ser lisa o ulcerada; esto último depende en gran medida de la localización y tamaño de la lesión. Puede ser sésil o pediculada y su crecimiento es lento, incluso puede mantener el mismo tamaño durante años. Su consistencia puede ser dura o blanda a la palpación, dependiendo de su grado de vascularización y fibrosis, y por lo general se presenta de forma asintomática.4

Los fibromas poseen un potencial de crecimiento limitado, que por lo general no excede 1 cm de diámetro y rara vez es mayor de 2 cm. Cuando sobrepasan estas dimensiones se denominan "fibromas gigantes". Se han documentado casos de fibromas traumáticos que alcanzan tamaños considerables, algunos de los cuales pueden superar los 5 cm de diámetro.4 Estos casos suelen ser excepcionales y se describen como ejemplos de lesiones inusuales.

La presentación clínica y epidemiología de la mayoría de los crecimientos no neoplásicos en la cavidad oral son similares, por lo que su identificación depende de la diferenciación histopatológica.9

La literatura refiere que el rango de edad en el que puede presentarse este tipo de lesión va de los nueve hasta más de 90 años.10 Histopatológicamente, el fibroma se presenta recubierto por una capa de epitelio escamoso estratificado delgado, acompañado de una atrofia de las crestas epiteliales debido a la masa fibrosa subyacente. Sin embargo, la superficie puede presentar hiperqueratosis debido a la fricción crónica de baja intensidad o mostrar focos de ulceración cuando el trauma es intenso. Este epitelio recubre una masa nodular de tejido conjuntivo fibroso denso formado por abundante colágeno maduro bien organizado, con predominio del tipo I y III, similar al de las cicatrices, aunque en algunos casos es de naturaleza laxa. Los haces de colágeno pueden estar dispuestos en forma radial o arremolinada, encontrándose entrelazados y mezclados con diversos fibroblastos, fibrocitos y pequeños vasos sanguíneos, pero generalmente se encuentran bien localizados. La lesión no se presenta encapsulada y se encuentra más a menudo por debajo de la superficie epitelial. Por lo general esta inflamación es crónica y se compone principalmente de linfocitos y células plasmáticas.11

En muchos casos podría haber regresión o una ligera disminución del tamaño de la lesión si se remueve el origen de la injuria al tejido blando y si la lesión no tiene un tamaño considerable. Sin embargo, Sapp y colaboradores12 aseguran que la involución espontánea es improbable debido a que el exceso de colágeno es permanente.4

Debido a la inflamación persistente, la epidermis exhibe hiperqueratosis e hiperplasia. En el tejido conectivo, hay hiperplasia focal de fibroblastos maduros y fibras de colágeno densas, con poca o ninguna infiltración de las células inflamatorias.1

Su tratamiento consiste en extirpar por completo la lesión quirúrgicamente, ya sea con bisturí, electrocauterio o láser.1

El tratamiento del fibroma de irritación consiste en la eliminación de factores etiológicos relacionados como el descamado de los dientes adyacentes y la escisión quirúrgica agresiva total, junto con el ligamento periodontal y el periostio involucrados, a fin de minimizar la posibilidad de recurrencia. Cualquier irritante identificable, como un aparato dental mal ajustado o una restauración aproximada, deben eliminarse.7

El seguimiento postoperatorio a largo plazo es muy importante debido a la alta tasa de recurrencia de lesiones incompletas.8



CONCLUSIONES

Existen distintos tipos de lesiones del tejido conjuntivo de la región maxilofacial, los cuales se clasifican de acuerdo al tipo de tejido conjuntivo del que se originan. En el caso del tejido fibroso; dicha clasificación se subdivide de acuerdo al tipo de diferenciación celular en su histopatología, incluyendo de naturaleza hiperplásica, proliferación indeterminada o neoplasias malignas. En el reporte de caso se destaca el tamaño inusual de la hiperplasia fibrosa focal (fibroma por irritación) y la cronicidad sugiere la persistencia prolongada de factores irritativos locales, posiblemente exacerbados por hábitos orales traumáticos que no fueron abordados en etapas previas.

Resalta la importancia de la detección temprana y el tratamiento de lesiones en la cavidad oral, lo que puede revelar nuevas características clínicas y tamaños de crecimiento que no se han descrito previamente. El fibroma irritativo puede alcanzar un tamaño considerable y requerir intervenciones más complejas. Esto incentiva una mayor comprensión sobre la variabilidad de tamaños en la presentación de estas lesiones.


REFERENCIAS (EN ESTE ARTÍCULO)

  1. Thakur V, Sharma D, Bhardwaj V, Sachdeva SK. Minimal invasive management of a large gingival fibroma: report of a case. Int Dent J Stud Res. 2024; 12 (2): 103-107. doi: 10.18231/j.idjsr.2024.020.

  2. Sosa D, Graterol A, Albornoz E, Gudiño R. Fibroma traumático gigante. Reporte de caso. Lat Am J Oral Maxillofac Surg. 2023; 3 (3): 133-135. doi: 10.35366/114536.

  3. Kumar SR, Gupta S, Saly A. Irritational fibroma in children: a case report. Pedodontics. 2023. Disponible en: https://www.guident.net/articles/pedodontics/IRRITATIONAL-FIBROMA-IN-CHILDREN:-A-CASE-REPORT.html

  4. López-Labady J, Villarroel M, Lazarde J, Rivera H. Fibroma traumático: revisión de la literatura y reporte de dos casos. Acta Odontol Venez. 2000; 38 (1): 47-49. Disponible en: https://ve.scielo.org/scielo.php?script=sci_arttext&pid=S0001-63652000000100008

  5. Bosch García RJ, López Navarro N, Herrera Acosta E. Tumores benignos de la mucosa oral. Piel (Barc, Internet). 2009; 24 (2): 86-96. Disponible en: https://www.elsevier.es/es-revista-piel-formacion-continuada-dermatologia-21-articulo-tumores-benignos-mucosa-oral-13133003

  6. Correa PE, Arias-Mendieta S. Resección de fibroma en mucosa oral. Técnica del estrangulamiento (Resection of fibrous lesion in oral mucosa. Throttling technique). CES odontol. 2016; 29 (1): 82-87. Disponible en: https://revistas.ces.edu.co/index.php/odontologia/article/view/3926

  7. López-Labady J. Estudio epidemiológico del fibroma traumático en una muestra de la población venezolana durante el periodo 1991-2001. Acta Odontol Venez. 2009; 47 (3): 60-62. Disponible en: https://ve.scielo.org/scielo.php?script=sci_arttext&pid=S0001-63652009000300011

  8. Agarwal M Reader, Muthunagai Reader, Sivasankary PG Std. Unusually huge traumatic or irritation fibroma - A case report. ClinicalDent. 2020. Disponible en: https://doi.org/10.33882/ClinicalDent.14.25381

  9. Manjunatha VA, Vemanaradhya GG, Kulkarni M, Machetty L. Electro-surgical management of a traumatic fibroma with clinical assessment of re-epithelialization using methylene blue assay: a clinico-histopathological case report. Natl J Maxillofac Surg. 2023; 14 (3): 477-481. doi: 10.4103/njms.njms_376_21.

  10. Navas-Aparicio M del C, Hernández-Rivera P. Hiperplasia fibrosa focal: lesión benigna de la mucosa oral. Revisión de la literatura. Rev Estomatol Hered. 2021; 31 (3): 186-193. doi: https://doi.org/10.20453/reh.v31i3.4048

  11. Rocafuerte-Acurio MA, Universidad Complutense de Madrid (UCM). España. Fibroma traumático en cavidad oral – una revisión. Kiru. 2019; 16 (1): 41-46. doi: 10.24265/kiru.2019.v16n1.07.

  12. Sapp JP, Eversole LR, Wysocki GP. Patología oral y maxilofacial contemporánea. 2da ed. Madrid: Elsevier Mosby; 2005.



AFILIACIONES

1 Hospital General de Zacatecas "Luz González Cosío". Zacatecas, Zacatecas, México.

2 Médico Cirujano Dentista. Pasante de Servicio Social Externo del Departamento de Cirugía Oral y Maxilofacial.

3 Cirujano Maxilofacial. Departamento de Cirugía Oral y Maxilofacial.



Conflicto de intereses: no se declara ningún conflicto de intereses.



CORRESPONDENCIA

Edgar Reyes Méndez. E-mail: 64edgareyes@gmail.com




Recibido: Febrero 2025. Aceptado: Agosto 2025.

Figura 1
Figura 2
Figura 3

2020     |     www.medigraphic.com

Mi perfil

C?MO CITAR (Vancouver)

Rev Mex Cir Bucal Maxilofac. 2025;21

ARTíCULOS SIMILARES

CARGANDO ...