medigraphic.com
ENGLISH

Revista Mexicana de Pediatría

ISSN 0035-0052 (Impreso)
  • Mostrar índice
  • Números disponibles
  • Información
    • Información general        
    • Directorio
  • Publicar
    • Instrucciones para autores        
    • Envío de artículos
  • medigraphic.com
    • Inicio
    • Índice de revistas            
    • Registro / Acceso
  • Mi perfil

2025, Número 4

<< Anterior Siguiente >>

Rev Mex Pediatr 2025; 92 (4)


Cistoadenoma congénito de ovario

Castro-Antonio, Max Abraham1; Morales-Ferrer, Gilda2; Hernández-Castillo, Demetrio3; García-Rayón, José Francisco4
Texto completo Cómo citar este artículo 10.35366/121826

DOI

DOI: 10.35366/121826
URL: https://dx.doi.org/10.35366/121826
Artículos similares

Idioma: Español
Referencias bibliográficas: 16
Paginas: 151-155
Archivo PDF: 1232.60 Kb.


PALABRAS CLAVE

quiste de ovario, cistoadenoma, ultrasonido, cirugía, recién nacido.

RESUMEN

Introducción: los quistes de ovario tienen una incidencia de 1 en 2,600 embarazos. Generalmente resuelven de forma espontánea, pero algunos casos ameritan resolución quirúrgica. Caso clínico: recién nacido femenino de un mes de edad; a la exploración física se identificó una tumoración abdominal. Por estudios de imagen se determinó presencia de quiste de ovario. Fue sometida a laparotomía exploradora realizándose resección de quiste de ovario izquierdo, con buena evolución postoperatoria. El reporte histopatológico fue de cistoadenoma congénito. Conclusiones: la identificación oportuna de quistes de ovario permite planear el tipo de atención de cada paciente, a fin de mejorar su pronóstico.



INTRODUCCIóN

Los quistes fetales intraabdominales son un hallazgo ecográfico común durante el embarazo, principalmente en el segundo y tercer trimestres.1-4 La evaluación y el diagnóstico de las lesiones quísticas abdominales se pueden dividir en tres, según su origen: órganos sólidos (p. ej., hígado, riñones, páncreas, ovario, bazo y glándulas suprarrenales), mesenterio (p. ej., quiste mesentérico, malformación linfática y teratoma quístico) u órganos huecos (p. ej., quistes de duplicación gastrointestinal en el intestino).2-5

Los quistes ováricos son las masas intraabdominales más comunes en fetos femeninos,6-8 con una incidencia a nivel mundial de 1 de cada 2,600 embarazos.4,9,10 El primer caso se informó en 1889 en una autopsia de un feto prematuro.9

La hipótesis más aceptada de la fisiopatología del desarrollo de los quistes es la hiperestimulación ovárica provocada por hormonas maternas y placentarias.4,5,11 La mayoría de los quistes se originan de tejidos epiteliales foliculares, pero también existen quistes de teca y cuerpo lúteos, o bien, quistes simples, cuyo origen no está definido.12

En general, la mayoría se resuelven espontáneamente durante los primeros meses de vida, por la reducción de la estimulación hormonal materna.6,12 Sin embargo, los quistes que persisten después del nacimiento pueden causar síntomas o complicaciones que requieren intervención quirúrgica.13

El diagnóstico se realiza principalmente por ecografía, pudiendo ser detectados desde el periodo prenatal.2 Cuando se detecta en el primer trimestre, se debe evaluar la posible asociación con otras alteraciones.8,14 Un tamaño mayor a 20 mm se considera patológico.8 De acuerdo con Nussbaum et al, los quistes se clasifican en simples y complejos;4 los simples se caracterizan por ser redondos, anecoicos, uniloculares, de contorno regular, bien delimitados y, por lo general, de paredes delgadas. Por su parte, los quistes complejos tienen múltiples tabiques, paredes engrosadas y su contenido no es homogéneo por hemorragia, tabiques o vegetaciones.4,10,15

Los quistes ováricos pueden ser identificados al nacimiento de manera accidental, o bien, por datos clínicos, como la presencia de masa abdominal. La torsión ovárica puede manifestarse como taquicardia fetal por irritación peritoneal. Pero también puede ocurrir su ruptura con hemoperitoneo, hemorragia y compresión de otras vísceras que requieren un procedimiento quirúrgico urgente.4,5,7

La elección del método de tratamiento depende de las características del quiste, su tamaño, la presencia de síntomas y sus complicaciones.4,11 Los quistes ováricos simples menores de 40 mm, tienen bajo riesgo de torsión y alta tasa de resolución, por lo que son candidatos para vigilancia. Por el contrario, las pacientes con quistes de dimensión mayor tienen más riesgo de torsión y baja tasa de resolución.6,10 En lactantes, la intervención quirúrgica se reserva para quistes grandes o que causan dolor abdominal, distensión abdominal, dificultad para la alimentación, emesis o daño orgánico.2,4,6 En general, cuando se realiza el tratamiento quirúrgico se debe tratar de salvar el tejido ovárico, ya que puede haber implicaciones en el futuro reproductivo.4,6 La cirugía puede efectuarse por laparotomía o por laparoscopía.16



PRESENTACIóN DEL CASO

Se trata de un recién nacido femenino, producto de la tercera gesta, embarazo normoevolutivo, obtenida por cesárea electiva a las 39 semanas, Apgar 9/9, peso 3.3 kg, talla 53 cm.

Acudió a cita de revisión de rutina pediátrica a los 45 días de vida, la madre la refiere asintomática. En la exploración, el abdomen era blando, no distendido, no doloroso, peristalsis intestinal normal; pero en el hemiabdomen a nivel de flanco izquierdo se palpó una masa tumoral, blanda, móvil, no dolorosa de aproximadamente 6 cm de diámetro.

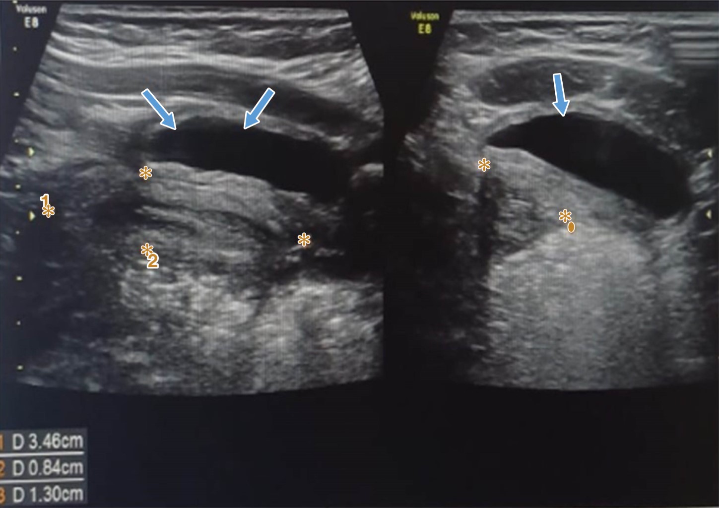
Por lo anterior, se solicitó ultrasonido abdominal, en el cual el ovario izquierdo tenía dimensiones de 51 × 39 × 41 mm, con una imagen quística bien definida, con volumen de 42.5 mL. Ovario derecho y útero normales (Figura 1). Tomografía de abdomen: tumor quístico posiblemente de ovario, sin captación ni realce en fase contrastada, tamaño de 5.7 × 5.2 × 7 cm.

Exámenes de laboratorio: antígeno CA125: 5.87 U/mL (valor de referencia 0-20 U/mL), alfafetoproteína 11,115 ng/mL (referencia 300-60,000 ng/mL). Biometría hemática, con hemoglobina 10.7 g/dL, glóbulos blancos de 5,500/mm3, plaquetas 286,000/mm3, tiempos de coagulación normales. Grupo sanguíneo O positivo.

Se programó para laparotomía exploradora, encontrando quiste de ovario izquierdo con su fimbria edematizada (Figura 2). El útero, ovario derecho y su trompa de Falopio normales.

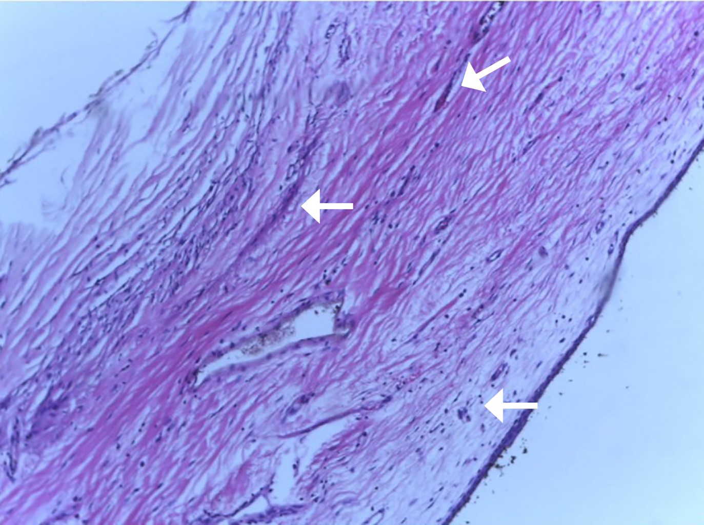
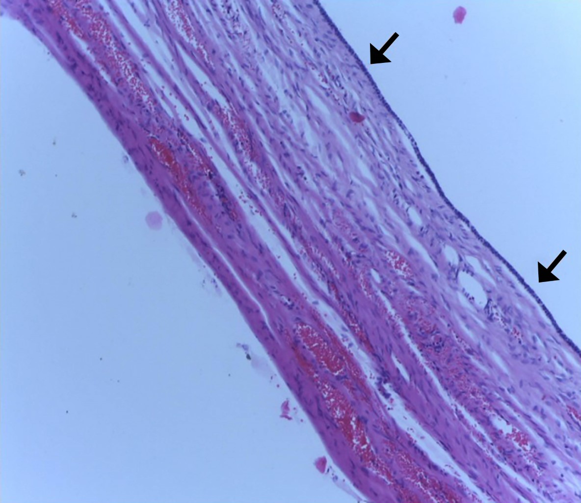
En el reporte del estudio histopatológico se describe de la siguiente manera: tumor de ovario izquierdo, mide 4.8 × 4 × 2.3 cm, de forma ovoide, con aspecto quístico, cápsula íntegra, superficie externa lisa, transparente, de color blanco grisáceo. Al corte, se encuentra lleno de líquido transparente, la superficie de la cavidad tumoral es lisa, color blanco, la pared mide menos de 1 mm de espesor, la consistencia del tejido es suave (Figuras 3 y 4). A la revisión microscópica, con tinción de hematoxilina/eosina se observó pared de tumor quístico formada por corteza de ovario, zona de hemorragia, presencia de macrófagos con pigmento compatible con hemosiderina y células gigantes tipo cuerpo extraño (Figura 5). La cara interna del quiste formada por epitelio cúbico simple sin atipias (Figura 6). Con todo lo anterior, se integró el diagnóstico de cistoadenoma congénito.

Posterior a la cirugía, la paciente se encontraba asintomática y sin evidencia de recurrencia.



DISCUSIóN

La paciente que presentamos no tuvo oportunidad de un adecuado control prenatal y, por lo tanto, se realizó el hallazgo posterior al nacimiento. La mayoría de los quistes de ovario suelen resolverse espontáneamente posterior al mes de vida. Gai et al.2 llevaron a cabo un estudio retrospectivo longitudinal donde incluyeron 190 fetos con un quiste intraabdominal, observando 94 casos (49.4%) de regresión espontánea (32 casos de regresión prenatal y 62 de regresión postnatal). En 33 (17.3%) el tratamiento fue conservador y en 63 (33.2%) requirieron intervención quirúrgica. Al respecto, en la paciente de este reporte, el quiste se evidenció de manera clínica y por imagen, por lo cual fue necesario realizar un procedimiento quirúrgico definitivo.

Safa N et al.13 describen que existe una enorme variabilidad en la evaluación y el tratamiento de estas lesiones, por lo que recomiendan el abordaje multidisciplinario; en particular, como los quistes pueden ser detectados prenatalmente, el ginecoobstetra puede ser el primero en identificarlo. Al nacimiento, el pediatra será el responsable, pero se requiere del apoyo de especialistas en radiología, anatomía patológica y cirugía para el correcto diagnóstico y manejo.

De acuerdo con García-Aguilar et al.1 el pronóstico depende de diferentes factores. Los quistes ováricos de más de 40 mm de tamaño detectados prenatalmente y sin resolución espontánea, tienen una mayor probabilidad de requerir cirugía. El nivel de alfafetoproteína se puede utilizar como marcador de lesiones tumorales del ovario fetal, como aquéllos de origen del seno endodérmico vaginal, ya que niveles elevados pueden orientar a tumores malignos de células germinales, coriocarcinoma y carcinomas de células embrionarias.14 En nuestro caso, se reportó un cistoadenoma seroso congénito; Chama-Naranjo et al.10 reportaron un caso similar con torsión ovárica.


REFERENCIAS (EN ESTE ARTÍCULO)

  1. Garcia-Aguilar P, Maiz N, Rodó C, Garcia-Manau P, Arévalo S, Molino JA et al. Fetal abdominal cysts: Predicting adverse outcomes. Acta Obstet Gynecol Scand. 2023; 102(7): 883-890. doi: 10.1111/aogs.14584.

  2. Gai S, Wang L, Zheng W, Xu B, Luo Q, Qin J. Outcomes of sonographically-suspected fetal intra-abdominal cysts: Surgical intervention, conservative management and spontaneous regression. Front Pediatr. 2022; 10: 1015678.

  3. Ozkose ZG, Suzen Caypinar S, Bestel A, Ozdemir O. Predictive value of prenatal ultrasound in foetal intraabdominal cystic lesions and evaluation of perinatal outcomes: a single-centre study results. J Obstet Gynaecol. 2022; 42(7): 2659-2664. doi: 10.1080/01443615.2022.2081791.

  4. Toker Kurtmen B, Divarci E, Ergun O, Ozok G, Celik A. The role of surgery in antenatal ovarian torsion: retrospective evaluation of 28 cases and review of the literature. J Pediatr Adolesc Gynecol. 2022; 35(1): 18-22. doi: 10.1016/j.jpag.2021.08.007.

  5. Dimitraki M, Koutlaki N, Nikas I, Mandratzi T, Gourovanidis V, Kontomanolis E et al. Fetal ovarian cysts. Our clinical experience over 16 cases and review of the literature. J Matern Fetal Neonatal Med. 2012; 25(3): 222-225. doi: 10.3109/14767058.2011.575484.

  6. Singh P, Singh SP, Lal H. Daughter cyst sign in the congenital ovarian cyst. BMJ Case Reports CP. 2021; 14: e243963.

  7. Bucuri C, Mihu D, Malutan A, Oprea V, Berceanu C, Nati I et al. Fetal ovarian cyst-a scoping review of the data from the last 10 years. Medicina (Kaunas). 2023; 59(2): 186. doi: 10.3390/medicina59020186.

  8. Rajeswaran PK, Sivanandam S, Arunachalam P. A case series of fetal-neonatal ovarian cyst from a tertiary care hospital. J Lab Physicians. 2023; 15(4): 596-601. doi: 10.1055/s-0043-1768947.

  9. Romiti A, Moro F, Ricci L, Codeca C, Pozzati F, Viggiano M et al. Using IOTA terminology to evaluate fetal ovarian cysts: analysis of 51 cysts over 10-year period. Ultrasound Obstet Gynecol. 2023; 61 (3): 408-414. doi: 10.1002/uog.26061.

  10. Chama-Naranjo A, Borja-Villa C, Medina-Illueca V, Robles-Castro J, Luna-Aguilar FJ, Farell-Rivas J et al. Torsión de ovario por cistoadenoma en una recién nacida. Rev Mex Pediatr. 2021; 88(1): 26-30. https://dx.doi.org/10.35366/99416

  11. Caro-Domínguez P, Victoria T, Bueno Gomez M, Sainz-Bueno JA. Magnetic resonance imaging of fetal abdominal pathology: a complementary tool to prenatal ultrasound. Pediatr Radiol. 2023; 53(9): 1829-1841. doi: 10.1007/s00247-023-05655-0.

  12. Wolf RB. Fetal abdominal imaging. In: Lockwood CJ, Copel JA, Dugoff L, Louis J, Moore TR, Silver RM et al. Creasy & Resnik's maternal-fetal medicine: principles and practice. 9ª ed. Philadelphia, PA: Elsevier; 2023. pp. 366–399.

  13. Safa N, Yanchar N, Puligandla P, Sewitch M, Baird R, Beaunoyer M et al. Treatment and outcomes of congenital ovarian cysts a study by the Canadian Consortium for Research in Pediatric Surgery (CanCORPS). Ann Surg. 2023; 277(5): e1130-e1137. doi: 10.1097/SLA.0000000000005409.

  14. Matonóg A, Drosdzol-Cop A. Alpha-fetoprotein level in fetuses, infants, and children with ovarian masses: a literature review. Front Endocrinol (Lausanne). 2024; 15: 1307619. doi: 10.3389/fendo.2024.1307619.

  15. Safa N, Yanchar N, Puligandla P, Sewitch M, Baird R, Beaunoyer M et al. Differentiating congenital ovarian cysts from other abdominal cystic lesions in female infants: A study by the Canadian Consortium for Research in Pediatric Surgery (CanCORPS). J Pediatr Surg. 2022; 57(5): 877-882. doi: 10.1016/j.jpedsurg.2021.12.043.

  16. Pal S, Kumari P, Jain A, Sinha SK. Fetal ovarian cyst managed laparoscopically in the neonatal period. Indian Pediatr. 2020; 57(9): 866-867.



AFILIACIONES

1 Ginecología y Obstetricia, Hospital Rural No. 30, IMSS-Bienestar. Ixmiquilpan, Hidalgo

2 Hospital Regional Poza Rica. Servicios de Salud de Petróleos Mexicanos. Poza Rica, Veracruz

3 Hospital Infantil de México Federico Gómez. Ciudad de México

4 Hospital General "Dr. Manuel Gea González". Ciudad de México, México.



Conflicto de intereses: los autores declaran que no tienen.



CORRESPONDENCIA

Max Abraham Castro-Antonio . E-mail: max.castroa@uaem.edu.mx




Recibido: 07/02/2025. Aceptado: 14/07/2025

Figura 1
Figura 2
Figura 3
Figura 4
Figura 5
Figura 6

2020     |     www.medigraphic.com

Mi perfil

C?MO CITAR (Vancouver)

Rev Mex Pediatr. 2025;92

ARTíCULOS SIMILARES

CARGANDO ...