medigraphic.com
ENGLISH

Revista Latinoamericana de Infectología Pediátrica

ISSN 2683-1678 (Impreso)
Órgano Oficial de la Sociedad
Latinoamericana de lnfectología Pediátrica.
Órgano de la Asociación Mexicana de
Infectología Pediátrica, A.C.
Órgano difusor de la Sociedad Española
de lnfectología
  • Mostrar índice
  • Números disponibles
  • Información
    • Información general        
    • Directorio
  • Publicar
    • Instrucciones para autores        
  • medigraphic.com
    • Inicio
    • Índice de revistas            
    • Registro / Acceso
  • Mi perfil

2025, Número 3

<< Anterior Siguiente >>

Rev Latin Infect Pediatr 2025; 38 (3)


Complicación infrecuente del absceso cerebral en una paciente pediátrica: reporte de caso

Hernández Cedeño, Miguel Á1,2; Zambrano Leal, Mildred P1,3
Texto completo Cómo citar este artículo 10.35366/121975

DOI

DOI: 10.35366/121975
URL: https://dx.doi.org/10.35366/121975
Artículos similares

Idioma: Español
Referencias bibliográficas: 16
Paginas: 126-130
Archivo PDF: 801.15 Kb.


PALABRAS CLAVE

abscesos cerebrales, otitis media aguda, otomastoiditis, trombosis del seno venoso.

RESUMEN

Introducción: los abscesos cerebrales son infecciones mortales si no se tratan a tiempo. Tienen prevalencia en niños, en comparación con adultos, y se asocian a mayores índices de mortalidad. Generalmente son precedidos por infecciones respiratorias como otitis y sinusitis. En la mayoría de los casos se emplea el tratamiento combinado con antibióticos y drenaje quirúrgico. Las posibles complicaciones pudieran ser fatales, aún con la terapia adecuada. Reporte de caso: se presenta el caso de una preescolar de tres años de edad, de sexo femenino, con antecedente de cuadro respiratorio, que acude a la emergencia por presentar convulsiones y cefalea; al examen físico llama la atención otalgia izquierda asociada a dolor y aumento en la sensibilidad en la región mastoidea. En los exámenes de laboratorio se observa leucocitosis (18,770/mm3) con neutrofilia, trombocitosis 628,000/mm3, elevación ligera de reactante de fase aguda PCR 8.35 mg/dL (valores normales 0.10-0.30 mg/dL), ferritinemia 250.20 ng/dL (valores normales 7-140 ng/dL). Con base en los hallazgos clínicos y de laboratorio, se solicitaron estudios de imágenes; en la tomografía se evidenció una hipodensidad en el hemisferio izquierdo, confirmada en la resonancia magnética, además de trombosis del seno transverso izquierdo. La paciente recibió cobertura antibiótica adecuada durante su hospitalización, terapia anticoagulante con heparina de bajo peso molecular, así como manejo quirúrgico, con buen resultado clínico. Conclusiones: los abscesos cerebrales son infecciones mortales. En el caso descrito, tras presentar dos eventos convulsivos asociados con los hallazgos de las imágenes, el inicio temprano de antibióticos y la terapia anticoagulante, la paciente presentó una evolución clínica favorable.



INTRODUCCIóN

Los abscesos cerebrales son infecciones intracraneales generalmente precedidas por infecciones respiratorias.1 La incidencia global de los abscesos cerebrales oscila entre 0.3 a 1.3 por cada 100,000 casos; en la población pediátrica, la incidencia es de 0.5 por cada 100,000 niños.2

El nivel socioeconómico desempeña un rol fundamental en este tipo de patologías; la falta de recursos limita el acceso a los servicios de salud, exponiendo mucho más a la población de bajos recursos en comparación con los niños cuyos padres tienen un estrato económico superior.3 Durante la pandemia de COVID-19, la incidencia de infeccionas intracraneales sufrió un incremento, incluso en estratos socioeconómicos altos.4,5

Los factores de riesgo para desarrollar abscesos cerebrales son infecciones respiratorias como otitis, mastoiditis o sinusitis; por otro lado, existen factores de riesgo no respiratorios como procedimientos gastrointestinales, dilataciones esofágicas, enfermedades cardiacas y, sobre todo, estados de inmunosupresión.1,3,6,7 Los microorganismos involucrados en esta patología dependen de factores de riesgo como edad, inmunocompetencia, localización, estrato cultural y socioeconómico; de mayor prevalencia son Streptococcus, Staphylococcus y bacterias entéricas gramnegativas.2,8-10

Los abscesos cerebrales pueden estar ubicados por encima o por debajo de la duramadre, conocidos como epidural o subdural, respectivamente; su fase inicial se conoce como cerebritis. El tratamiento depende de la ubicación y es dual: clínico, basado en terapia antibiótica, y quirúrgico.8,9



REPORTE DE CASO

Se trata de una niña de tres años de edad con antecedente de rinitis crónica. La paciente acude por un cuadro clínico de 17 días de evolución que inicia con fiebre y otalgia izquierda, el cual fue tratado con cefuroxima por siete días, persistiendo la fiebre y agregándose rinorrea y halitosis. Acude por segunda ocasión a su médico solicitando nuevos exámenes, en los cuales se reportó cultivo de orina E. coli, recibiendo terapia antibiótica con amoxicilina/clavulánico y amikacina. Sin embargo, tres días previos al ingreso, presenta cefalea de moderada intensidad; el día de su ingreso presenta movimientos tónicos clónicos por dos ocasiones, asociados a nistagmo, chupeteo y movimientos clónicos de la mano derecha. Se administra oxígeno suplementario y diazepam, luego impregnación con fenitoína a 20 mg/kg y mantenimiento a 5 mg/kg/día.

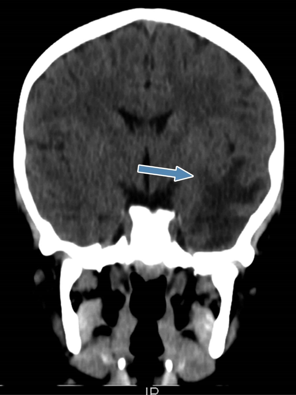
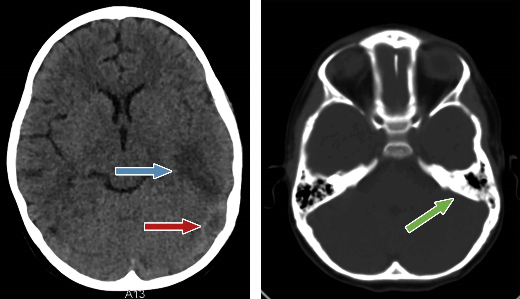
Al examen físico se evidenció otalgia izquierda asociada a dolor y aumento en la sensibilidad en la región mastoidea. Los exámenes solicitados revelaron leucocitosis (18.770/mm3) con neutrofilia, trombocitosis (628.000/mm3), elevación de reactante de fase aguda PCR 8.35 mg/dL (valores normales 0.10-0.30 mg/dL), elevación de ferritina 250.20 ng/dL (valores normales 7-140 ng/dL). Ante la alta sospecha de otomastoiditis, se inició terapia antibiótica intravenosa con ceftriaxona (100 mg/kg/día) y vancomicina (60 mg/kg/día). La paciente fue valorada por los servicios de neurología, neurocirugía e infectología; se solicitó estudio de imágenes y se realizó tomografía contrastada del cerebro, donde se evidenció una imagen hipodensa en el hemisferio izquierdo, compatible con absceso cerebral, además de signos de trombosis del seno sigmoideo izquierdo. En el corte de hueso mastoideo izquierdo se evidenciaron signos de hiperdensidad, confirmándose la otomastoiditis (Figura 1). Debido a ello, se solicitó resonancia magnética de cerebro (Figura 2), así como venografía cerebral (Figura 3), evidenciándose el absceso en el lóbulo temporal izquierdo, rodeado por edema perilesional y ausencia de flujo sanguíneo en el seno venoso transverso y sigmoideo izquierdo.

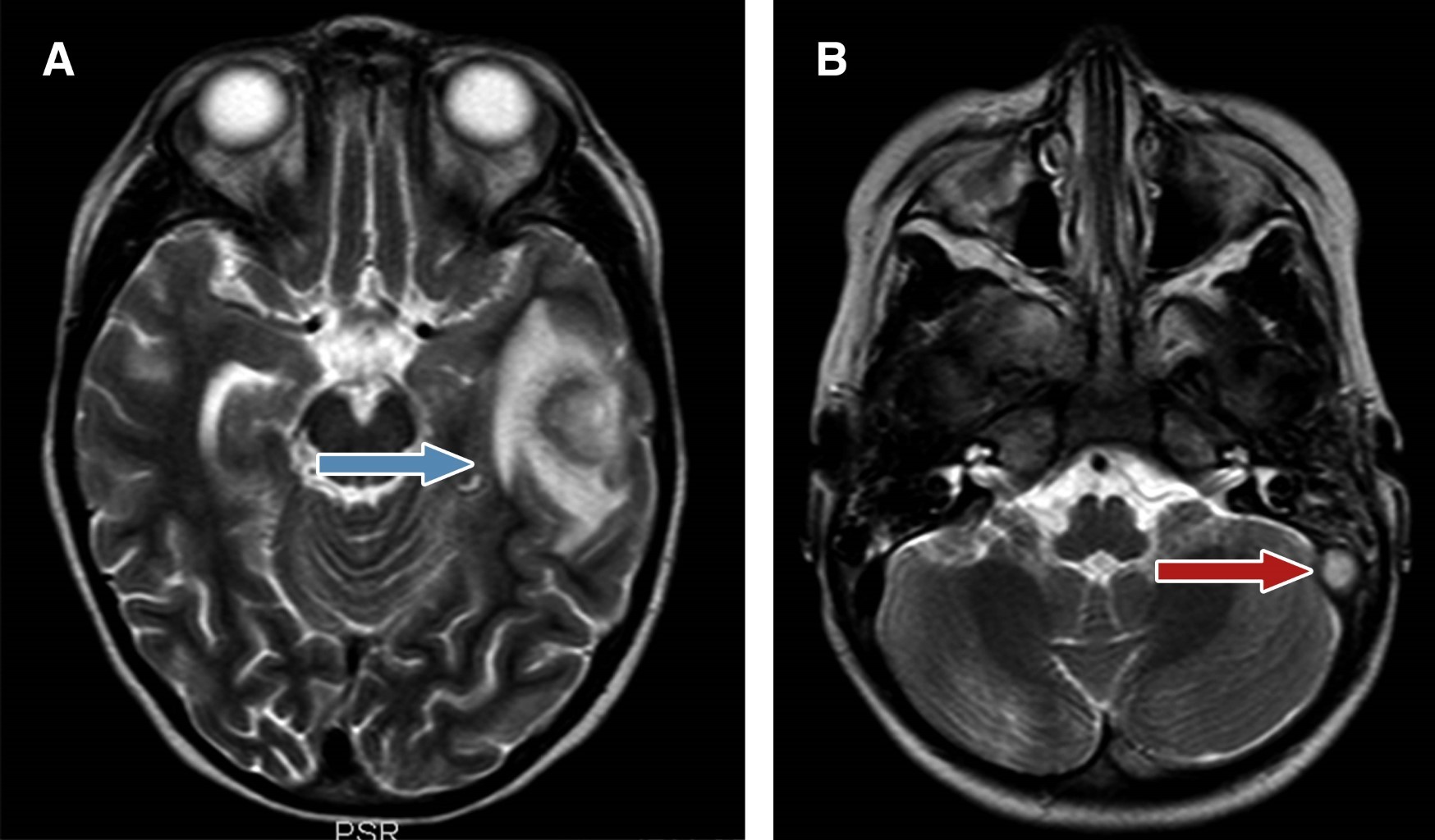
Con base en estos hallazgos, se agregó a la terapéutica heparina de bajo peso molecular una dosis estándar de 1 UI/kg dos veces al día para tratar la trombosis del seno venoso. Después de 25 días de haber recibido antibiótico vía endovenosa, la paciente fue intervenida quirúrgicamente, realizándole craniotomía y drenaje de la secreción purulenta, así como lavados con amikacina intratecal, con resultados favorables. Recibió antibióticos durante cuatro semanas y heparina de bajo peso molecular, sin nuevos eventos convulsivos ni deterioro clínico. Previo al alta, se realizó una tomografía cerebral de control, con buena resolución del absceso (Figura 4).



DISCUSIóN

En general, los abscesos cerebrales son infecciones encapsulada producidas por lesiones focales cerca del parénquima cerebral. Dentro de las principales causas de esta patología están las infecciones óticas (25% en niños y 55% en adultos), lo que coincide con el caso descrito; otros factores son trauma local, sinusitis crónica y meningitis bacteriana.11,12 La incidencia mundial de los abscesos cerebrales en la población pediátrica es baja, alrededor de 0.5-1 caso por cada 100,000 niños; este porcentaje es similar a los pocos datos que existen en Latinoamérica. Además, en esta región existen altos índices de mortalidad asociados a abscesos cerebrales,13 a diferencia del caso descrito, que tuvo una evolución clínica favorable.

El nivel socioeconómico juega un papel fundamental, ya que las poblaciones con bajos recursos padecen con mayor frecuencia esta patología. Durante la pandemia de COVID-19 hubo casos infradiagnosticados y se ocultaron cifras acerca de la morbimortalidad de acuerdo al estrato socioeconómico.1,3,5

La otitis media aguda es la principal causa identificada como desencadenante de abscesos cerebrales, aún con la terapia antibiótica correcta.12 Esto coincide con el caso descrito, ya que, posterior a recibir triple esquema antibiótico por vía oral, éste no fue efectivo para impedir el desarrollo del absceso cerebral secundario a otomastoiditis.

La mayoría de los patógenos descritos son los microorganismos encapsulados grampositivos y negativos como S. pneumoniae, S. del grupo B, S. aureus, H. influenzae y N. meningitidis.3,9 Con menor frecuencia se describen los microorganismos gramnegativos y anaerobios como Proteus mirabilis, S. aureus meticilino-resistente, Peptostreptococcus, Fusobacterium spp, lo cual coincide con lo descrito en Latinoamérica.9,14 Pese a haber realizado el cultivo de la secreción aspirada posterior a craniotomía, no se aisló ningún germen, probablemente por el uso de antibiótico previo.

Las complicaciones de la mastoiditis pueden ser fatales si no se tratan pronto. Una de ellas, la más temible, es la trombosis del seno venoso asociada con absceso cerebral, con independencia de su localización intracraneal, subdural o epidural.15 Sin embargo, en el caso descrito, la paciente presentó buena evolución, a pesar de haber presentado el absceso cerebral y la trombosis del seno venoso. En general, los abscesos cerebrales deben ser tratados de manera urgente. Algunos factores pueden retrasar el tratamiento inicial con los antimicrobianos incorrectos; así, se debe tomar en cuenta el estrato socioeconómico, ya que los pacientes que se encuentran dentro de la ciudad tienen facilidades de acceso al hospital y posibilidades de recibir el tratamiento adecuado tempranamente, en comparación con los que viven en áreas rurales.

La terapia combinada con antibióticos, junto al tratamiento neuroquirúrgico, tienen resultados favorables; la elección del antibiótico correcto depende de la sensibilidad del cultivo de secreción obtenido.15 En el caso descrito se empleó la misma terapéutica, con resultados favorables, a pesar del retraso de la intervención quirúrgica. El uso de anticoagulantes en pacientes con trombosis del seno venoso tiene buen pronóstico y resultados favorables, en comparación con quienes no lo emplean.16 Esto coincide con una evolución clínica satisfactoria en el caso descrito a partir del uso de la terapia anticoagulante. Por otra parte, la demora en el uso de anticoagulante puede llevar a complicaciones fatales con alta tasa de mortalidad.



CONCLUSIONES

El absceso cerebral es una enfermedad desafiante. Si no se diagnostica y se trata a tiempo, puede tener consecuencias fatales, incluso la muerte. El uso correcto de antibiótico debe ser inmediato; además, el uso de terapia neuroquirúrgica es crucial en la evolución favorable de los pacientes.


REFERENCIAS (EN ESTE ARTÍCULO)

  1. Shachor-Meyouhas Y, Bar-Joseph G, Guilburd JN, Lorber A, Hadash A, Kassis I. Brain abscess in children - epidemiology, predisposing factors and management in the modern medicine era. Acta Paediatr. 2010; 99 (8): 1163-1167.

  2. Rivera K, Truckner R, Furiato A, Martinez S. The diagnostic challenge of the pediatric brain abscess. Cureus. 2021; 13 (6): e15402.

  3. Robertson FC, Lepard JR, Mekary RA, Davis MC, Yunusa I, Gormley WB et al. Epidemiology of central nervous system infectious diseases: a meta-analysis and systematic review with implications for neurosurgeons worldwide. J Neurosurg. 2018; 130 (4): 1107-1126.

  4. Penney JA, Zhang Y, Bragg T, Bryant R, Lockett C. Notes from the field: pediatric intracranial infections - Clark County, Nevada, January-December 2022. MMWR Morb Mortal Wkly Rep. 2023; 72 (22): 606-607. doi: 10.15585/mmwr.mm7222a4.

  5. Accorsi EK, Chochua S, Moline HL, Hall M, Hersh AL, Shah SS et al. Pediatric brain abscesses, epidural empyemas, and subdural empyemas associated with Streptococcus species - United States, January 2016-August 2022. MMWR Morb Mortal Wkly Rep. 2022; 71 (37): 1169-1173.

  6. Moscote-Salazar LR, Cabeza-Morales M, Alvis-Miranda HR, Alcalá-Cerra G. Absceso cerebral en pacientes pediátricos. Rev Chil Neurocirugía. 2015; 41: 14-20.

  7. Sonneville R, Ruimy R, Benzonana N, Riffaud L, Carsin A, Tadié JM et al. An update on bacterial brain abscess in immunocompetent patients. Clin Microbiol Infect. 2017; 23 (9): 614-620.

  8. Weinberg GA. Brain abscess. Pediatr Rev. 2018; 39 (5): 270-272.

  9. Kanu OO, Ojo O, Esezobor C, Bankole O, Olatosi J, Ogunleye E et al. Pediatric brain abscess - etiology, management challenges and outcome in Lagos Nigeria. Surg Neurol Int. 2021; 12: 592.

  10. Cohen Olivella E, Rojas Soto E. Absceso cerebral en niños. Rev Fac Med. 1999; 47 (4): 210-216.

  11. Sennaroglu L, Sozeri B. Otogenic brain abscess: review of 41 cases. Otolaryngol Head Neck Surg. 2000; 123 (6): 751-755.

  12. American Academy of Pediatrics, American Academy of Family Physicians, Subcommittee on Management of Acute Otitis Media. Diagnosis and management of acute otitis media. Pediatrics. 2004; 113 (5): 1451-1465.

  13. Brizuela M, Pérez G, Martiren S, Varela Baino AN, Cedillo C, Ruvinsky S et al. Absceso cerebral en niños: experiencia en diez años en un hospital pediátrico de alta complejidad. Arch Argent Pediatr. 2017; 115 (4): e230-e232.

  14. Goyo-Rivas JJ, García Castillo E, Correa M. Absceso cerebral en niños. Rev Cubana Pediatr. 1999; 71 (1): 13-22.

  15. Ghadersohi S, Young NM, Smith-Bronstein V, Hoff S, Billings KR. Management of acute complicated mastoiditis at an urban, tertiary care pediatric hospital. Laryngoscope. 2017; 127 (10): 2321-2327.

  16. Wong BY, Hickman S, Richards M, Jassar P, Wilson T. Management of paediatric otogenic cerebral venous sinus thrombosis: a systematic review. Clin Otolaryngol. 2015; 40 (6): 704-714.



AFILIACIONES

1 Hospital de Niños "Dr. Roberto Gilbert E.". Universidad Católica de Santiago de Guayaquil, Ecuador.

2 Residente del primer año de pediatría.

3 Infectóloga pediatra. Coordinadora del departamento.



CORRESPONDENCIA

Miguel Ángel Hernández Cedeño. E-mail: miguelhernandezc96@gmail.com




Recibido: 15-05-2024. Aceptado: 08-09-2025.

Figura 1
Figura 2
Figura 3
Figura 4

2020     |     www.medigraphic.com

Mi perfil

C?MO CITAR (Vancouver)

Rev Latin Infect Pediatr. 2025;38

ARTíCULOS SIMILARES

CARGANDO ...