medigraphic.com
ENGLISH

Revista Mexicana de Trasplantes

ISSN 3122-3893 (Digital)
  • Mostrar índice
  • Números disponibles
  • Información
    • Información general        
    • Directorio
  • Publicar
    • Instrucciones para autores        
    • Envío de artículos
  • Políticas
  • medigraphic.com
    • Inicio
    • Índice de revistas            
    • Registro / Acceso
  • Mi perfil

2025, Número 4

<< Anterior Siguiente >>

Rev Mex Traspl 2025; 14 (4)


Podocitopatía en paciente con trasplante renal y epidermólisis bullosa: reporte de caso

Sánchez-Sustaita, Jesús Rafael1,2; Acosta-García, Nayeli1,2; Castillo-Guitarrero, Sergio1,3; Uribe-Urbe, Norma Ofelia4; Bautista-Martínez, Brenda4; Sánchez-Benítez, Fred Alexander4
Texto completo Cómo citar este artículo 10.35366/122020

DOI

DOI: 10.35366/122020
URL: https://dx.doi.org/10.35366/122020
Artículos similares

Idioma: Español
Referencias bibliográficas: 1
Paginas: 180-182
Archivo PDF: 878.37 Kb.


PALABRAS CLAVE

epidermólisis bullosa, trasplante renal, podocitopatía, glomerulopatía.

RESUMEN

Introducción: la epidermólisis bullosa distrófica (EBD) es una genodermatosis grave asociada con complicaciones sistémicas, entre ellas enfermedad renal crónica (ERC) secundaria a diversas glomerulopatías. En casos avanzados, el trasplante renal constituye una opción terapéutica viable, aunque con riesgo de complicaciones inmunológicas. Caso clínico: hombre de 41 años con EBD congénita y ERC de 17 años de evolución, tratado inicialmente con hemodiálisis y posteriormente trasplantado en 2010. En seguimiento por trasplante se documentó proteinuria nefrótica (3.74 g/24 h) sin síndrome nefrótico clínico, con función renal basal alterada (Cr 2.03 mg/dL). Se realizó biopsia del injerto renal, que reveló rechazo crónico activo (i-IFTA 2, i2, t1, ptc1), glomerulopatía crónica (cg2), lesión tubular aguda e IFTA 30%, y en microscopia electrónica, fusión podocítica difusa de 90%. Se instauró tratamiento con metilprednisolona y rituximab, con mejoría parcial de la proteinuria. Conclusiones: las glomerulopatías en pacientes con EBD son una entidad emergente y probablemente subdiagnosticada. Este caso demuestra una evolución postrasplante prolongada con aparición tardía de podocitopatía y rechazo crónico activo, subrayando el valor diagnóstico de la biopsia con microscopia electrónica. El manejo inmunosupresor debe ser personalizado, dada la vulnerabilidad inmunológica e infecciosa de estos pacientes.



INTRODUCCIóN

La epidermólisis bullosa (EB) es una enfermedad genética poco frecuente caracterizada por fragilidad de piel y mucosas. Las formas recesivas severas, como la EB distrófica generalizada, se asocian a mayor riesgo de daño renal y diversas glomerulopatías. El trasplante renal es una alternativa terapéutica válida en estos casos, aunque con riesgo de complicaciones. Se presenta el caso de un adulto con EB y podocitopatía postrasplante.1



PRESENTACIóN DEL CASO

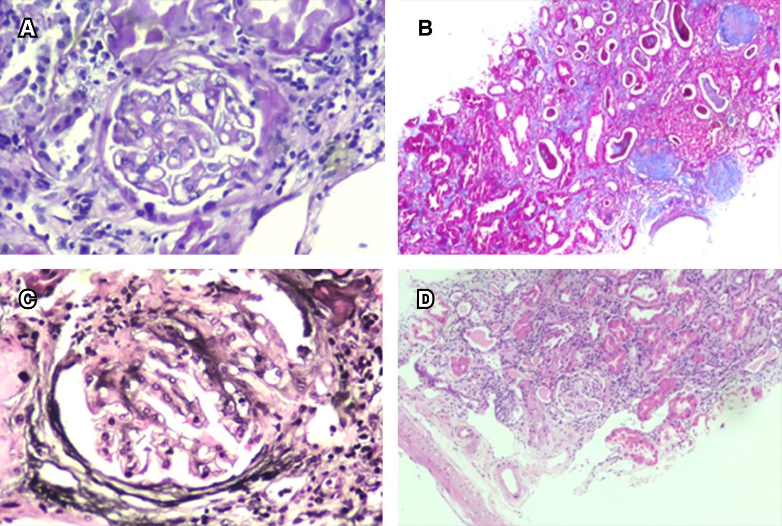
Hombre de 41 años que cuenta con antecedentes de epidermólisis bullosa distrófica congénita y enfermedad renal crónica de 17 años de evolución de etiología no determinada, quien inició terapia de reemplazo renal en 2007 modalidad hemodiálisis con duración de tres años, posteriormente se le realizó trasplante renal (madre) en 2010, tratamiento de inmunosupresión con ciclosporina 50 mg cada 12 h, prednisona 5 mg cada 24 h, ácido micofenólico 360 mg cada 12 h, con creatinina basal de 1.8 mg/dL (2022) durante el seguimiento por servicio de trasplantes, se documenta proteinuria por examen general de orina (EGO), se realiza Pru/Cru con 2.9 mg/g, con posterior cuantificación de proteínas en 24 horas el 13/mayo/2024 con resultados: 3,740 mg/24 h, Cr de 2.03 mg/dL, CT: 197 mg/dL, TG: 114 mg/dL, Alb: 3.5 g/dL, sin presencia de edema, por lo que se realiza biopsia de injerto renal el 28/mayo/2024, con ocho glomérulos, de ellos sólo uno sin esclerosis, se reporta rechazo crónico activo tipo celular grado 1 (inflamación dentro de las áreas de fibrosis interstitial [i-IFTA] 2 + i2 + t1), hallazgos histológicos sugestivos de rechazo humoral crónico activo (ptc1), con lesión tubular aguda y glomerulopatía crónica del trasplante (cg2), se realizó microscopia electrónica con fusión difusa de los procesos podocíticos de 90%, con degeneración microvellosa focal, mesangio con proliferación y expansión de matriz mesangial, IFTA 30%, y atrofia tubular (AT) 25%, recibió bolos de metilprednisolona, rituximab 375 mg/m2, con seguimiento 12/noviembre/2024 proteínas en orina 24 h: 109 mg/dL, Creatinina 2.6 mg/dL (Figura 1).



DISCUSIóN

En pacientes con epidermólisis bullosa distrófica, las glomerulopatías son una causa emergente y subestimada de enfermedad renal crónica. Este caso ilustra una evolución postrasplante prolongada con aparición tardía de proteinuria nefrótica y hallazgos compatibles con rechazo crónico activo y podocitopatía. La presencia de fusión podocítica difusa destaca la importancia de realizar biopsia con microscopia electrónica. El manejo inmunosupresor debe ser individualizado, considerando su vulnerabilidad inmunológica e infecciosa.


REFERENCIAS (EN ESTE ARTÍCULO)

  1. Cicek N, Yildiz N, Asadov R, Yucelten AD, Tugtepe H, Alpay H. Kidney and Urinary Tract Involvement in Epidermolysis Bullosa: Is Routine Follow-Up Necessary? Dermatol Pract Concept. 2021; 11 (3): e2021051. doi: 10.5826/dpc.1103a51



AFILIACIONES

1 Centro Médico ISSEMYM "Lic. Arturo Montiel Rojas". Metepec, Estado de México.

2 Servicio de Nefrología.

3 Departamento de Anatomía Patológica.

4 Departamento de Patología, Instituto Nacional de Ciencias Médicas y Nutrición "Salvador Zubirán". Ciudad de México, México.



CORRESPONDENCIA

Jesús Rafael Sánchez-Sustaita. E-mail: rafaelsanchezsustaita@hotmail.com




Recibido: 23-Jun-2025. Aceptado: 25-Jul-2025

Figura 1

2020     |     www.medigraphic.com

Mi perfil

C?MO CITAR (Vancouver)

Rev Mex Traspl. 2025;14

ARTíCULOS SIMILARES

CARGANDO ...