medigraphic.com
ENGLISH

Revista Mexicana de Trasplantes

ISSN 3122-3893 (Digital)
  • Mostrar índice
  • Números disponibles
  • Información
    • Información general        
    • Directorio
  • Publicar
    • Instrucciones para autores        
    • Envío de artículos
  • Políticas
  • medigraphic.com
    • Inicio
    • Índice de revistas            
    • Registro / Acceso
  • Mi perfil

2025, Número 4

<< Anterior Siguiente >>

Rev Mex Traspl 2025; 14 (4)


Trasplante renal con riñón en herradura de donante cadavérico en un único receptor. Primer caso en México

Hernández-Guedea, Marco Antonio1,2,6; Zapata-Chavira, Homero Arturo1,2,7; Guevara-Charles, Asdrubal1,2,8; Vásquez-Fernández, Francisco1,2,9; Reyna-Sepúlveda, Francisco J1,2,10; Vargas-Santana, Joary1,3,11; Flores-Mendoza, Allina Primavera1,4,12; Pérez Rodríguez, Edelmiro1,5,13
Texto completo Cómo citar este artículo 10.35366/122022

DOI

DOI: 10.35366/122022
URL: https://dx.doi.org/10.35366/122022
Artículos similares

Idioma: Español
Referencias bibliográficas: 10
Paginas: 187-189
Archivo PDF: 446.15 Kb.


PALABRAS CLAVE

riñón en herradura, trasplante renal, trasplantes.

RESUMEN

La anomalía congénita estructural más común renal es el riñón en herradura, el cual puede trasplantarse en bloque o en forma separada. El número creciente de pacientes con enfermedad renal crónica grado 5 en espera de un trasplante renal y que el número de órganos disponibles continúa siendo insuficiente, hace que se consideren el uso de estos órganos con anomalías anatómicas. En general, según informes previos, son una buena opción con buenos resultados.



INTRODUCCIóN

Los riñones en herradura son el defecto de fusión más común de los riñones, con una frecuencia reportada de aproximadamente 1:500.1,2 Se caracterizan por anomalías en la posición, rotación e irrigación vascular del riñón.2-5 En más de 90% de los casos, la fusión se produce en el polo inferior.3,6-9 Varios factores etiológicos pueden contribuir en su desarrollo, entre ellos: el entorno intrauterino, la predisposición genética/cromosómica y los factores estructurales que afectan el desarrollo y la migración del riñón.4-6,10

Dada la demanda de órganos para los pacientes con enfermedad renal crónica grado 5,3,5,6,8 presentamos el siguiente caso con el objetivo de valorar las técnicas en las que se puede hacer uso de órganos con anomalías estructurales.



PRESENTACIóN DEL CASO

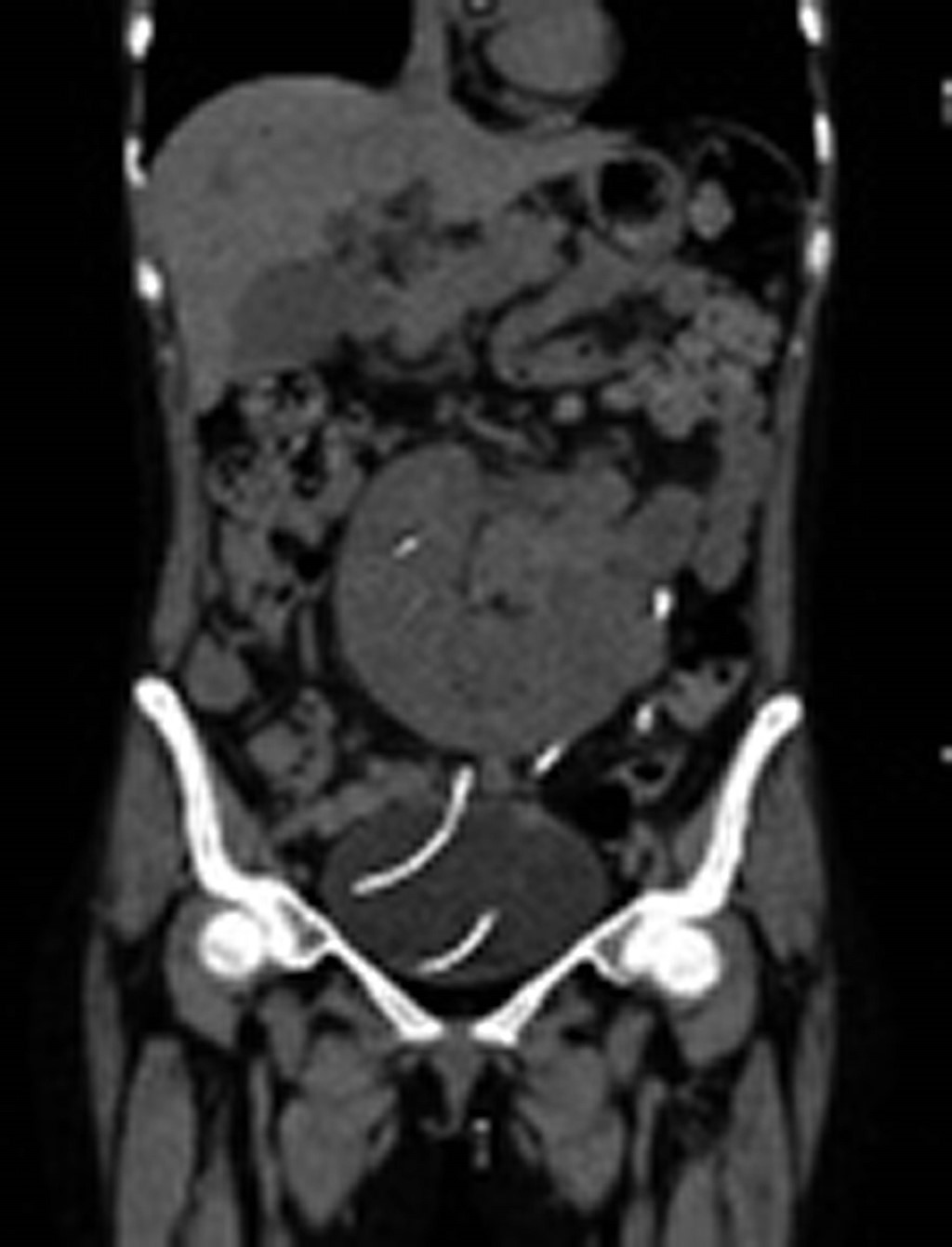
Donador masculino de 26 años, previamente sano, es declarado con muerte cerebral debido a herida por arma de fuego. Se inició protocolo de donación de órganos. Previo a la procuración, se le realizó ultrasonido renal en Unidad de Cuidados Intensivos (UCI) y los riñones no fueron reportados con anormalidades estructurales; sin embargo, al momento de la procuración se identificó riñón en herradura (Figura 1). La receptora fue una paciente femenina de 51 años, con antecedentes de enfermedad renal crónica de etiología desconocida diagnosticada en el año 2012, quién recibió un primer trasplante renal de donante fallecido en 2014, con complicaciones inmediatas de tromboembolismo pulmonar submasivo, además de rechazo mixto en 2016 con posterior disfunción crónica del injerto. Ingresó nuevamente a lista de espera en el 2019 con tasa de filtrado glomerular estimada (TFGe) CKD-EPI 13 mL/min/1.73 m2. Dados los hallazgos en la procuración y con el consentimiento de ella, recibe el injerto en herradura, el 2 de marzo de 2024. Se realizó trasplante de riñón en herradura, el cual contaba con dos arterias y dos venas por injerto, por lo que se realiza procuración en bloque con aorta y vena cava. Se realiza implante intraabdominal con abordaje por laparotomía, con anastomosis arterial terminolateral a arteria ilíaca externa derecha, y venosa terminolateral a la vena cava infrarrenal, así como doble implante ureteral independiente (Figura 2). La inmunosupresión de inducción fue con timoglobulina y metilprednisolona. Durante el evento quirúrgico se reportó sangrado de 1,800 mL, transfusión de tres unidades de concentrado eritrocitario intraoperatorio, tiempo de isquemia caliente 35 minutos, tiempo de isquemia fría cuatro horas y media. Presentó uresis espontánea tras reperfusión del injerto. En las primeras 24 horas postrasplante desarrolló estado alterado de conciencia, dificultad respiratoria, con signos de choque hipovolémico, requirió intubación orotraqueal y vasopresores. El equipo de trasplante decidió reexplorar y se descartó hemorragia, requirió soporte transfusional e ingreso en UCI. En los días siguientes evolucionó favorablemente; fue extubada, sin complicaciones, y dada de alta el 12 de marzo de 2024, con creatinina 0.4 mg/dL; actualmente, en su cuarto mes postrasplante, con creatinina de 0.6 mg/dL.



DISCUSIóN

Existe poca evidencia de casos relacionados de trasplante renal asociado a riñón en herradura, que incluye reportes de casos que muestran trasplante en bloque a dos receptores, a diferencia de nuestro caso que involucró un solo receptor. Los trasplantes de órganos han aumentado en todo el mundo, aunque la disponibilidad de órganos para trasplantes sigue siendo limitada. Este procedimiento representa un desafío quirúrgico debido a la diferencia en anatomía y tipo de abordaje, por lo que es de relevancia clínica.



CONCLUSIONES

El trasplante de riñón en herradura es técnicamente factible, pero puede aumentar el riesgo de complicaciones urinarias. Realizar una partición renal (split) puede beneficiar a dos receptores cuando esto sea posible. Se recomienda considerar cuidadosamente los riesgos y beneficios cuando un profesional de trasplante se enfrenta a esta opción. Actualmente el uso de estos injertos con esta variante anatómica es considerado una técnica, quirúrgica y bioquímicamente, exitosa. Se continúa con la vigilancia a largo plazo para evaluar la supervivencia del injerto y si existen complicaciones asociadas, ya que se han relacionado con síndromes asociados y posterior malignidad.



AGRADECIMIENTOS

Agradecimiento a nuestro Hospital por las facilidades, al Jefe del Departamento, y a nuestros pacientes por permitirnos ser sus médicos.


REFERENCIAS (EN ESTE ARTÍCULO)

  1. Goyal A, Gaitonde K, Sagade SN, Shah BV, Kamat MH. Transplantation of horseshoe kidney from living-related donors: report of two cases. Transplant Proc. 2003; 35 (1): 32-34. doi: 10.1016/s0041-1345(02)03898-8

  2. Vijay A, Ghasemian SR. Case report: horseshoe kidney transplantation using split technique. Transplant Proc. 2022; 54 (8): 2179-2181. doi: 10.1016/j.transproceed.2022.08.023

  3. De Pablos-Rodríguez P, Suárez JF, Riera Canals L, Sanz-Serra P, Vigués F. Horseshoe kidney splitting technique for transplantation. Urol Case Rep. 2021; 37: 101604. doi: 10.1016/j.eucr.2021.101604

  4. Stroosma OB, Scheltinga MR, Stubenitsky BM, Kootstra G. Horseshoe kidney transplantation: an overview. Clin Transplant. 2000; 14 (6): 515-519. doi: 10.1034/j.1399-0012.2000.140601.x

  5. Bang JB, Lee JM, Oh CK, Lee KW, Park JB, Kim SJ, Lee SH. En bloc transplantation of horseshoe kidney in Korea. Ann Surg Treat Res. 2017; 92 (3): 168-172. doi: 10.4174/astr.2017.92.3.168

  6. Natsis K, Piagkou M, Skotsimara A, Protogerou V, Tsitouridis I, Skandalakis P. Horseshoe kidney: a review of anatomy and pathology. Surg Radiol Anat. 2014; 36 (6): 517-526. doi: 10.1007/s00276-013-1229-7. Epub 2013 Nov 1. PMID: 24178305.

  7. Pontinen T, Khanmoradi K, Kumar A, Kudsi H, Cheng-Kung S, Chewaproug D et al. Horseshoe kidneys: an underutilized resource in kidney transplant. Exp Clin Transplant. 2010; 8 (1): 74-78.

  8. Stroosma OB, Smits JM, Schurink GW, de Boer J, Persijn GG, Kootstra G. Horseshoe kidney transplantation within the eurotransplant region: a case control study. Transplantation. 2001; 72 (12): 1930-1933. doi: 10.1097/00007890-200112270-00011

  9. Stroosma OB, Schurink GW, Smits JM, Kootstra G. Transplanting horseshoe kidneys: a worldwide survey. J Urol. 2001; 166 (6): 2039-2042. doi: 10.1016/s0022-5347(05)65501-2

  10. Uzzo RG, Hsu TH, Goldfarb DA, Taylor RJ, Novick AC, Gill IS. Strategies for transplantation of cadaveric kidneys with congenital fusion anomalies. J Urol. 2001; 165 (3): 761-765.



AFILIACIONES

1 Hospital Universitario "Dr. José Eleuterio González". Monterrey, Nuevo León, México.

2 Médico adscrito. Departamento de Cirugía.

3 Médico residente. Departamento de Nefrología.

4 Médico adscrito. Departamento de Nefrología.

5 Médico adscrito. Departamento de Cirugía General.
ORCID:

6 0000-0002-4673-9754

7 0000-0001-9815-7126

8 0000-0003-3345-6840

9 0000-0001-7706-5863

10 0000-0002-2334-5031

11 0009-0006-0226-7632

12 0000-0002-5417-4968

13 0000-0002-5173-8414



CORRESPONDENCIA

Marco Antonio Hernández-Guedea. E-mail: hguedea@hotmail.com




Recibido: 14-Jul-2024. Aceptado: 25-Jul-2025

Figura 1
Figura 2

2020     |     www.medigraphic.com

Mi perfil

C?MO CITAR (Vancouver)

Rev Mex Traspl. 2025;14

ARTíCULOS SIMILARES

CARGANDO ...